CASE REPORT
Sporadic Insulinoma in a 10-Year-Old Boy: A Case Report and Literature Review
Ahmed Abu-Zaid1, Lama Abdulhamid Alghuneim1, Mona Tarek Metawee1, Raga Osama Elkabbani1, Hadeel Almana2, Tarek Amin3, Ayman Azzam3,4
1College of Medicine, Alfaisal University; Departments of 2Pathology and Laboratory Medicine and 3Surgical Oncology, King Faisal Specialist Hospital and Research Center (KFSH&RC). Riyadh, Saudi Arabia. 4Department of General Surgery, Faculty of Medicine, Alexandria University. Alexandria, Egypt
ABSTRACT
Context Insulinoma is an exceedingly uncommon pancreatic islet cell neuroendocrine tumor. Its estimated incidence is approximately four cases per million individuals per year. Case report We report the case of sporadic insulinoma in an exceptionally very young 10-year-old boy who presented with a 1-month history of episodic tremulousness, diaphoresis, increased hunger, confusion and fainting. Initial laboratory investigations showed low blood glucose (64 mg/dL) and high blood insulin (6 μU/mL) levels. Patient was admitted in view of frequent hypoglycemic symptoms and possible pancreatic insulinoma. A 48-hour mentored fasting test was done and ceased within 3 hours due to occurrence of hypoglycemic symptoms. During the episode, blood was drawn and results showed low blood glucose level and high insulin, pro-insulin and C-peptide levels. The hypoglycemic symptoms were relieved greatly by glucose administration and Whipple’s triad for insulinoma was met. An abdominal contrast-enhanced computed tomography scan showed a 10x12x17 mm, small, well-demarcated, heterogeneously enhancing lesion within the body of pancreas without dilatation of pancreatic duct. No evidence of lymphadenopathy or distant metastasis was identified. Patient underwent enucleation of pancreatic tumor. Histopathological and immunohistochemical examination of the pancreatic mass confirmed neuroendocrine tumor (insulinoma). Patient had an uneventful recovery. A post-operative 6-month follow-up showed resolution of hypoglycemic symptoms, normalized blood glucose, insulin, pro-insulin and C-peptide levels, and no evidence of recurrence. Conclusion Although rare, sporadic insulinoma should be considered in the differential diagnosis of any young individual presenting with frequent hypoglycemic symptoms (neuroglycopenic and/or autonomic nervous system symptoms). Furthermore, a literature review on insulinoma is presented.
INTRODUCTION
Insulinoma is an exceedingly uncommon pancreatic islet cell neuroendocrine tumor. Its estimated incidence is approximately four cases per million individuals per year [1]. It can occur sporadically (90%) or constitute a part of multiple endocrine neoplasia type 1 (MEN-1) (10%). Sporadic insulinomas tend to largely affect individuals aged between 8 and 82 years of age (median age at presentation is 45-50 years) whereas insulinomas associated with MEN-1 tend to broadly affect individuals at younger ages (median age at presentation is 25 years or less) [1, 2, 3, 4, 5, 6]. Herein, we report the case of sporadic insulinoma in an exceptionally very young 10-year-old boy who presented with a 1-month history of episodic tremulousness, diaphoresis, increased hunger, confusion and fainting. Furthermore, a literature review on insulinoma is presented.
CASE REPORT
A 10-year-old boy presented to King Faisal Specialist Hospital and Research Center (KFSH&RC) with a 1-month history of tremulousness, diaphoresis, increased hunger, confusion and fainting. These symptoms were episodic in nature, worsened by fasting and exercise, and relieved markedly by food and juice intake. Patient denied any history of visual field defects. Past medical history and past surgical history were unremarkable. Systemic review was remarkable for weight gain (4 kg), events of anxiety, nausea, vomiting and lightheadedness at the time of episodes.
At presentation, patient was vitally and hemodynamically stable. Cardiovascular, respiratory, gastrointestinal and neurological examinations were normal. Initial laboratory investigations showed low blood glucose (64 mg/dL; reference range: 70-100 mg/dL) and high blood insulin levels (6 μU/mL; reference range: 0-5 μU/mL). Complete blood count, renal, bone, hepatic, coagulation, thyroid, parathyroid and prolactin profiles were normal. In view of frequent hypoglycemic symptoms and possible pancreatic insulinoma, patient was admitted for further workup.
Patient underwent a 48-hour mentored fasting test. However, it was ceased within roughly 3 hours due to occurrence of hypoglycemic symptoms (palpitations, diaphoresis, tremulousness, slurred speech, confusion and drowsiness). During the episode, blood was drawn and laboratory results showed low blood glucose level (41 mg/dL), and high blood insulin (21 μU/mL), pro-insulin (16.3 pmol/L; reference range: 2-6 pmol/L) and C-peptide (803 pmol/L; reference range: 0-200 pmol/L) levels. Blood screens for sulfonylurea/meglitinide toxicity and anti-insulin antibodies were negative. The hypoglycemic symptoms were relieved markedly by glucose administration and Whipple’s triad for insulinoma was met.
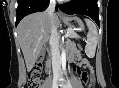
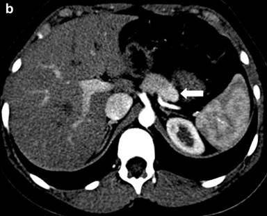
An abdominal contrast-enhanced computed tomography scan showed a 10x12x17 mm, small, well-demarcated, heterogeneously enhancing lesion within the body of pancreas without dilatation of pancreatic duct. No evidence of lymphadenopathy or distant metastasis was identified (Figure 1). Subsequently, patient was scheduled for laparotomy.


|
Figure 1. Coronal (a.) and transverse (b.) views of abdominal contrast-enhanced computed tomography scans: showing a 10x12x17 mm, small, well-demarcated, heterogeneously enhancing lesion within the body of pancreas (white arrow) without dilatation of pancreatic duct. No evidence of lymphadenopathy or distant metastasis was identified. |
At laparotomy, a frozen section from pancreatic mass was consistent with neuroendocrine tumor. Next, patient underwent enucleation (local resection) of pancreatic tumor, pancreatic lymph node dissection, celiac lymph node dissection, cholecystectomy and appendectomy. Macroscopic and microscopic examination of lymph node dissections, gallbladder and appendix exhibited no significant pathology and were negative for malignancy.
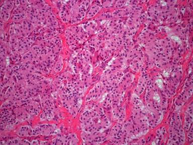
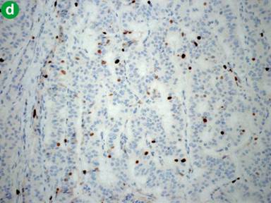
Macroscopically, the pancreatic mass weighted 23 g and measured 23x16x11 mm. The mass was oval-shaped, well-demarcated, soft and pinkish in color. Cut-surface showed tan soft tissue. Microscopically, the uniform intermediate-sized tumor cells were organized in solid trabeculae or nests separated by fibrovascular stroma (Figure 2). The cells had centrally located oval-shaped nuclei, stippled (salt-and-pepper) chromatin and scant finely granular eosinophilic cytoplasm. No evidence of mitosis was identified. Furthermore, there was no evidence of vascular or perineural invasion. Surgical resection margins were tumor-free. Immunohistochemically, tumor cells stained positive for chromogranin A, synaptophysin, insulin and Ki-67 (6%) (Figure 3). Tumor cells stained negative for somatostatin. Based on the clinical, laboratory, imaging, histopathological and immunohistochemical studies, a final diagnosis of benign insulinoma neuroendocrine tumor, World Health Organization (WHO) grade 2, was established.

|
Figure 2. Microscopic examination of the resected pancreatic mass showing that the tumor cells were organized in solid trabeculae or nests separated by fibrovascular stroma (magnification power, 20x). |




|
Figure 3. Immunohistochemical examination of the resected pancreatic mass (magnification power, 40x). a. Tumor cells stained positive for chromogranin A. b. Tumor cells stained positive for synaptophysin. c. Tumor cells stained positive for insulin. d. Tumor cells stained positive for Ki-67 (6%). |
Patient had an eventful surgery without post-operative hyperglycemia. Due to the benign nature of insulinoma, no post-operative radio- or chemo-therapy was offered. Patient was discharged in a stable condition. A post-operative 6-month follow-up showed resolution of hypoglycemic symptoms, normalized blood glucose (102 mg/dL), insulin (1.9 μU/mL), pro-insulin (2.6 pmol/L) and C-peptide (178 pmol/L) levels, and no evidence of recurrence.
DISCUSSION
Insulinomas are functional insulin-secreting neuroendocrine tumors. They are derived from the beta cells of pancreas [7]. They secrete endogenous insulin autonomously and independently of the blood glucose levels, resulting in a state of hyperinsulinemia. Diagnosis of insulinoma is primarily made by documenting Whipple’s triad and inappropriately elevated blood insulin levels (greater than 5-10 μU/mL) [8] during the 48-hour mentored fasting test [9]. Whipple’s triad includes: 1) biochemical evidence of hypoglycemia (blood glucose level less than 45 mg/dL); 2) clinical evidence of hypoglycemic symptoms; and 3) reversal of the hypoglycemic symptoms when carbohydrates are administered [10].
The insulinoma-induced hypoglycemic symptoms are induced by hyperinsulinemia (blood insulin levels greater than 5-10 μU/mL) [8], resulting in neuroglycopenic and autonomic nervous system (adrenergic and cholinergic) symptoms [11].
In addition, the following biochemical parameters are needed to confirm diagnosis of insulinoma-induced hypoglycemia and include [12]: proinsulin levels of more than 5 pmol/L, C-peptide levels of more than 200 pmol/L, negative blood toxicological studies for oral hypoglycemic agents (sulfonylureas, meglitinides, etc) and negative anti-insulin antibodies.
Almost all insulinomas originate from pancreas (98%) [2, 4, 6]. The vast majority of insulinomas (90%) are benign lesions, less than 2 cm in diameter, and distributed evenly throughout the pancreatic head, body and tail [1]. Alternatively, malignant insulinomas (10%) are likely to be greater than 3 cm in diameter [13]. This is of importance in radiologically localizing insulinomas.
Preoperative imaging localization of insulinomas can be achieved with virtually 100% sensitivity by utilizing the combination of biphasic thin-section helical computed tomography scan and endoscopic ultrasound [14]. Magnetic resonance imaging is often reserved for achieving better sensitivity in identifying hepatic metastases [8]. Somatostatin receptor scintigraphy is not helpful in localizing insulinomas as they mostly do not express somatostatin receptors [15].
Histopathologically [16], insulinomas are typical neuroendocrine tumors. Immunohistochemically, insulinomas stain positively for insulin, pro-insulin, chromogranin A, synaptophysin, neuron specific enolase, cytokeratin and Ki-67 (Mib-1) [16]. There are no well-defined histopathological parameters or histochemical markers that surely anticipate the biological behavior of insulinoma, and the definitive diagnosis of malignant insulinoma is solely based on occurrence of distant metastasis and proof of gross local invasion [17].
Surgery is the mainstay of management in insulinoma with an exceedingly high successful cure rate ranging from 77% to 100% [4, 15]. Medical treatment is also available and largely indicated for: 1) preoperative control of blood glucose levels; 2) non-surgical candidates; and 3) patients with unresectable metastatic disease [18]. Diazoxide (50-600 mg/day) is the most effective medical drug for controlling hypoglycemia (50-60% symptomatic control), and works by directly suppressing insulin production by pancreatic beta cells [19]. Other drugs helpful in controlling hypoglycemia with varying therapeutic degrees of usefulness include: glucocorticoids, phenytoin, verapamil and diltiazem [19].
Given that almost all insulinomas (90%) are benign, solitary and small (less than 2 cm in diameter), tumor enucleation (whenever practically possible) is the surgical intervention of preference [4, 15]. Conversely, pancreatectomy (partial/complete) should be considered in all lesions doubtful for malignancy, involving large segments of pancreas, extensively invading adjacent structures, obstructing main pancreatic duct or invading regional (local) lymph nodes [4].
Malignant forms of insulinoma are rare accounting for nearly 10% of all the cases [13]. The most frequent sites of metastasis in malignant insulinoma include mostly liver and lymph nodes, and occasionally bone and peritoneum, resulting in an unrestrained insulin secretion and subsequent debilitating hypoglycemia [20]. Surgical resection of metastatic lesions should be considered whenever feasible [18] and has been associated with prolonged median survival rates [18].
Patients with benign insulinoma have a very favorable prognosis. They are anticipated to live a normal lifespan after a successful surgical resection [1] which largely yields nearly 77-100% cure rate [4, 15]. Conversely, regardless of the miscellaneous therapeutic modalities for patients with malignant metastatic insulinomas (such as surgical excision, surgical debulking (cytoreduction), chemotherapy (streptozocin plus doxorubicin and/or 5-fluorouracil), hepatic artery embolization, hepatic artery chemoembolization, hepatic artery perfusion/infusion, peptide-receptor radionuclide therapy and others), prognosis is extremely unfortunate [1, 20] with a median survival of roughly 2 years [21].
CONCLUSION
Sporadic insulinoma is an extremely rare neuroendocrine tumor and mostly presents in individuals ranged between 8 and 82 years of age (median age at presentation is 45-50 years). However, sporadic insulinoma should be highly considered in the differential diagnosis of any young individual presenting with frequent hypoglycemic symptoms (neuroglycopenic and/or autonomic nervous system symptoms).
Received September 2nd, 2013 – Accepted October 14th, 2013
Key words Case reports; Insulinoma; Pancreas
Conflicts of interest Authors report no conflicts of interest to disclose
Correspondence
Ahmed Abu-Zaid
College of Medicine
Alfaisal University
P.O. Box 50927
Riyadh 11533
Saudi Arabia
Phone:
+966-566.305.700
Fax: +966-11.215.7611
E-mail: aabuzaid@live.com
References
1. Service FJ, McMahon MM, O’Brien PC, Ballard DJ. Functioning insulinoma: incidence, recurrence and long-survival of patients: a 60-year study. Mayo Clin Proc. 1991;66(7):711-9.
2. Jani N, Moser AJ, Khalid A. Pancreatic endocrine tumors. Gastroenterol Clin North Am. 2007;36(2):431-9, x-xi.
3. Stephen AE, Hodin RA. Neuroendocrine tumors of the pancreas, excluding gastrinoma. Surg Oncol Clin N Am. 2006;15(3):497-510.
4. Grant CS. Insulinoma. Best Pract Res Clin Gastroenterol. 2005;19(5):783-98.
5. Oberg K, Eriksson B. Endocrine tumours of the pancreas. Best Pract Res Clin Gastroenterol. 2005;19(5):753-81.
6. Tucker ON, Crotty PL, Conlon KC. The management of insulinoma. Br J Surg. 2006; 93(3):264-75.
7. Abbasakoor NO, Healy ML, O'Shea D, et al. Metastatic insulinoma in a patient with type 2 diabetes mellitus: case report and review of the literature. Int J Endocrinol. 2011;2011:124078.
8. Yao JC, Rindi G, Evans DB. Pancreatic endocrine tumors. In: Devita VT Jr, Hellman S, Rosenberg SA, editors. Cancer principles and practice of oncology. 8th edition. Philadelphia, USA: Lippincott Williams & Wilkins; 2007: 1702-1716.
9. Hirshberg B, Livi A, Bartlett DL, et al. Forty-eight-hour fast: the diagnostic test for insulinoma. J Clin Endocrinol Metab. 2000;85(9):3222-6.
10. Whipple AO, Frantz VK. Adenoma of islet cells with hyperinsulinism: a review. Ann Surg. 1935; 101(6):1299–1335.
11. Boukhman MP, Karam JH, Shaver J, Siperstein AE, Duh QY, Clark OH. Insulinoma—experience from 1950 to 1995. West J Med. 1998;169(2):98-104.
12. Service FJ. Diagnostic approach to adults with hypoglycemic disorders. Endocrinol Metab Clin North Am. 1999;28(3):519-32, vi.
13. McLean A. Endoscopic ultrasound in the detection of pancreatic islet cell tumours. Cancer Imaging. 2004;4(2):84-91.
14. Vaidakis D, Karoubalis J, Pappa T, Piaditis G, Zografos GN. Pancreatic insulinoma: current issues and trends. Hepatobiliary Pancreat Dis Int. 2010;9(3):234-41.
15. Finlayson E, Clark OH. Surgical treatment of insulinomas. Surg Clin North Am. 2004;84(3):775-85.
16. Oberg K. Pancreatic endocrine tumors. Semin Oncol. 2010;37(6):594-618.
17. Lack EE. Pancreatic endocrine neoplasms. In: Lack EE, editor. Pathology of the pancreas, gallbladder, extrahepatic biliary tract and ampullary region. New York, USA: Oxford University Press; 2003: 323–373.
18. de Herder WW, Niederle B, Scoazec JY, et al. Well-differentiated pancreatic tumor/ carcinoma: insulinoma. Neuroendocrinology. 2006;84(3):183-8.
19. Cohen MS, Bower RH, Fidler SM, Johnsonbaugh RE, Sode J. Inhibition of insulin release by diphenylhydantoin and diazoxide in a patient with benign insulinoma. Lancet. 1973;1(7793):40-1.
20. Hirshberg B, Cochran C, Skarulis MC, et al. Malignant insulinoma: spectrum of unusual clinical features. Cancer. 2005;104(2):264-72.
21. Norton JA, Cromack DT, Shawker TH, et al. Intraoperative ultrasonographic localization of islet cell tumors. A prospective comparison to palpation. Ann Surg. 1988;207(2):160-8.