CASE REPORT
JOP. J Pancreas (Online) 2013 Nov 10; 14(6):671-673.
Mucinous Cystic Neoplasm in Heterotopic Pancreas Presenting as Colonic Polyp
Joji Abraham, Vinita Agrawal, Anu Behari
Department of Surgical Gastroenterology, Sanjay Gandhi Post-Graduate Institute of Medical Sciences. Lucknow, India
ABSTRACT
Context Pancreatic heterotopia in itself is rare in the colon and to the best of our knowledge a neoplasm arising in a heterotopic tissue in the colon has not been reported. We herein report a pancreatic cystic neoplasm arising from heterotopic pancreatic tissue in colon. Case report A 44-year-old lady presented with a history of lower abdominal colic, associated with mucoid loose stools 10-15 times/day. Fecal occult blood was positive on two occasions. On examination, a vague mass was palpable in the left upper quadrant of abdomen. Colonoscopy showed a polypoid growth at the splenic flexure of colon, which on biopsy was reported to be an inflammatory polyp. She underwent a laparoscopic converted to open left hemicolectomy. Post-operatively she developed a intra-abdominal collection which formed a controlled pancreatic fistula after percutaneous drainage. Histopathology revealed pancreatic heterotopia with pancreatic mucinous cystic neoplasm. Conclusion Despite advances in patient care, preoperative diagnosis of heterotopic pancreas is difficult.
INTRODUCTION
Pancreatic heterotopia in itself is rare in the colon and to the best of our knowledge a neoplasm arising in a heterotopic tissue in the colon has not been reported.
CASE REPORT
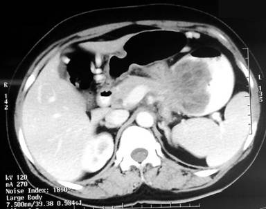
A 44-year-old female presented with lower abdominal colic since two months, associated with mucoid loose stools 10-15 times/day and weight loss of approximately 5 kg in two months. On examination, a firm mass was felt in the left upper quadrant moving with respiration. On further evaluation, she was found to be anemic with hemoglobin of 7.0 g/dL (reference range: 12-16 g/dL). Fecal occult blood was positive on two occasions. Colonoscopy revealed a large polypoidal growth near the splenic flexure of colon almost completely obstructing the lumen. Biopsy was suggestive of inflammatory polyp. Contrast enhanced computed tomography scan (Figure 1) showed an irregular enhancing mass lesion in the colon at the splenic flexure of colon. There was no evidence of significant lymphadenopathy or adjacent organ involvement. The differential diagnoses were adenomatous polyp of the colon or adenocarcinoma of the colon.

|
Figure 1. CECT of the abdomen revealed a polypoidal lesion in the splenic flexure of colon. |
She underwent a laparoscopic converted to open left hemicolectomy. On laparoscopy, growth was felt at the splenic flexure with intense desmoplastic reaction extending into the pancreas; hence colonic mobilization could not be completed laparoscopically. On laparotomy, findings of laparoscopy were confirmed. Mass was shaved off from pancreas. A left hemicolectomy followed by a side-to-side colocolic anastomosis was done. Cut section (Figure 2) revealed a large polypoid growth with overlying smooth mucosa on a long stalk at the splenic flexure. Margins were macroscopically free. Post-operatively she developed an external pancreatic fistula, which closed spontaneously. She also had intra-abdominal collection that was managed with culture-based antibiotics and a percutaneous drain placed in the pelvis.

|
Figure 2. On cut section, pedunculated polypoidal mass arising from the splenic flexure of colon. |
Histopathology
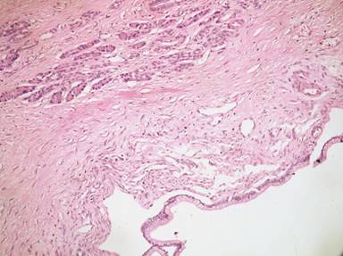
On macroscopic examination the mucosal surface of the colon showed a pedunculated polypoid growth measuring 6x5x2 cm. Outer surface of growth was bosselated and smooth. Cut section of growth showed multi-loculated cystic areas filled with mucin separated by solid areas. Histology (Figure 3). showed mucosal granulation tissue and growth composed of cysts lined by columnar mucinous epithelium with basal mildly anisomorphic round to oval nuclei and abundant pale cytoplasm with apical mucin. At places the cysts showed small papillary projections in the lining epithelium displaying low to high-grade dysplasia with loss of polarity. The sub-epithelial spindle cells stroma was ovarian-like, dense and cellular. The stalk and base of the tumor showed ectopic pancreatic tissue composed of pancreatic acini, islet cells and ducts. No invasive tumor was present. Intra-operative biopsy from the desmoplastic tissue showed fibro-adipose tissue, no evidence of malignancy was noted.

DISCUSSION
Heterotopic (ectopic, aberrant) pancreas is defined as the presence of pancreatic tissue, outside its usual anatomical location and is devoid of any anatomical and vascular continuity with the pancreas proper.
The origin of heterotopic pancreas is most likely because of the several abnormalities of embryological development, although the reason for their various locations cannot be clearly explained. Abnormal migration of the pancreas as it rotates around the gut may account for some of the heterotopic locations [1].
Ectopic pancreatic tissue may be found in approximately one case per 500 explorations of the upper abdomen or 0.6-13.7% of autopsies [2, 3]. They are found mostly along the upper gastrointestinal tract within the stomach, duodenum, and jejunum. It is found in much smaller proportions in the ileum and Meckel’s diverticulum, and rarely in the esophagus, liver, gallbladder, omentum, umbilicus and colon [4, 5, 6]. Occasional findings of pancreatic rest in extra-gastrointestinal tract sites like fallopian tubes, lungs, mediastinum and brain have also been reported [7, 8, 9].
Histologically, heterotopic pancreas can contain acinar tissue, islets, ducts, or any combination thereof. Seventy five percent the rests are submucosal in location. They are seen as firm, yellow nodules, 2-4 cm in diameter, underlying the mucosa [10]. They may have a central umbilication, probably due to the presence of a vestigial duct. This appearance helps in its diagnosis endoscopically. In 1909, Heinrich et al. [11] classified heterotopic pancreas into three types: type I is similar to normal pancreatic tissue defined by the presence of ducts, acini and endocrine islets; type II contains a large number of acini, a few ducts and no islets; type III is characterized by the presence of numerous ducts, a few acini and no islets.
Most patients with ectopic pancreas are asymptomatic and diagnosis is incidental during an endoscopy or laparotomy. Occasionally they may present with abdominal pain, nausea and vomiting [10, 12, 13]. Peptic ulcer disease and upper gastrointestinal bleeding also have been described. Ectopic pancreas may manifest with complications like perforation, bleed, obstruction and malignant transformation [14, 15, 16]. Malignant transformation of heterotopic pancreatic tissue has been mentioned in the liver, stomach and duodenum [16, 17, 18]. Pancreatic heterotopia in itself is rare in the colon [6] whereas malignancy arising in a heterotopic tissue in the colon has not been reported in the English literature to the best of our knowledge.
Received September 15th, 2013 – Accepted October 12th, 2013
Key words Choristoma; Colonic Neoplasms; Pancreas
Conflicts of interest The authors have no potential conflicts to disclose
Correspondence
Joji
Abraham
Department of Surgical Gastroenterology
Sanjay Gandhi Post-Graduate Institute of Medical Sciences
Raibarely Road
Haibat Mau Mawaiya
Kalli Pashchim, UP 226014
Lucknow
India
Phone: +91-800.490.4760
Fax: +91-0522.266.8017/.8078/.8129
E-mail: joyabrahamdr@gmail.com
References
1. Gray SW, Skandalakis JE. Embryology for Surgeons: The Embryological Basis for the Treatment of Congenital Defects. Philadelphia: WB Saunders, 1972
2. De Castro Barbosa JJ, Dockerty MB. Pancreatic heterotopia: review of the literature and report of 41 authenticated surgical cases, of which 25 were clinically significant. Surg Gynecol Obstet. 1946 May; 82:527-42. PMID: 21024692 [PubMed - OLDMEDLINE]
3. Dolan RV, ReMine WH, Dockerty MB. The fate of heterotopic pancreatic tissue: a study of 212 cases. Arch Surg 1974; 109:762-5. PMID: 4420439 [PubMed - indexed for MEDLINE]
4. Wolloch Y. Heterotopic pancreatic tissue in the gallbladder. Acta Chir Scand. 1986 Aug-Sep; 152:557-8. PMID: 3788403 [PubMed - indexed for MEDLINE]
5. Curd HH. A histologic study of Meckel’s diverticulum. Arch Surg May 1936:32:506.
6. Yagnik VD, Patel KB, Patel PA, Mulla FI. Ectopic pancreatic tissue in the cecum. Saudi J Gastroenterol. 2010 Jul-Sep; 16(3): 228 PMID: 20616425 [PubMed - indexed for MEDLINE] PMCID: PMC3003203
7. Beskin CA. Intralobar enteric sequestration of the lung containing aberrant pancreas. J Thorac Cardiovasc Surg 1961; 41:314.
8. Jaschke W, Aleksic M, Aleksci D. Heterotopic pancreatic tissue in a bronchogenic cyst: diagnosis and therapy. J Thorac Cardiovasc Surg 1982; 30:58.
9. Caberwal D, Kogan SJ, Levitt SB. Ectopic pancreas presenting as an umbilical mass. J Pediatr Surg. 1977 Aug; 12(4):593-9. PMID: 894461 [PubMed - indexed for MEDLINE]
10.Tadataka Yamada. Textbook of Gastroenterology. Fifth edition. Wiley Blackwell, 2009
11. Von Heinrich H. Ein beitrag zur histologie des sogen: akze- ssotischen pancreas. Virchows Arch Pathol Anat Histopathol 1909; 198: 392-401
12. Armstrong CP, King PM, Dixon JM, Macleod IB. The clinical significance of heterotopic pancreas in the gastrointestinal tract. Br J Surg. 1981 Jun;68(6):384-7. PMID: 7237066 [PubMed - indexed for MEDLINE]
13. Hsia CY, Wu CW, Lui WY. Heterotopic pancreas: a difficult diagnosis. J Clin Gastroenterol. 1999 Mar; 28(2): 144-7. PMID: 10078823 [PubMed - indexed for MEDLINE]
14. Mandal S, Mandal AK. Heterotopic pancreas presenting as a tumour nodule along with perforation and peritontis is rare: report of two cases. ANZ J Surg. 2008 Aug; 78(8): 725 PMID: 18796045 [PubMed - indexed for MEDLINE]
15. Ah-Soune P, Vitton V, Subtil C, Meunier-Carpentier S, Bonmardion R, Desjeux et al. Ectopic pancreas: an exceptional cause of lower intestinal bleeding with hemorrhagic shock.. Gastroenterol Clin Biol. 2008 Feb; 32(2): 202-4 PMID: 18387431 [PubMed - indexed for MEDLINE]
16. Stock C, Keutgen XM, Pisapia D, Crawford C, Zarnegar R. Heterotopic Pancreatic Neoplasm Presenting as an Obstructing Mass at the Fourth Portion of the Duodenum. JOP. 2011 May 6; 12(3): 241-317. PMID: 21546699 [PubMed - indexed for MEDLINE]
17. Teke Z, Zengin NI, Atalay F, Karaman K, Demirbag AE, Akdogan M. A Tumor-Like Lesion Mimicking Mucinous (Colloid) Carcinoma in Heterotopic Pancreas of the Prepyloric Antrum: A Formidable Challenge for Frozen Examination JOP. 2010 May 5; 11(3): 237-43 PMID: 20442519 [PubMed - indexed for MEDLINE]
18. Yan ML, Wang YD, Tian YF, Lin Y. Adenocarcinoma arising from intrahepatic heterotopic pancreas: a case report and literature review. World J Gastroenterol. 2012 Jun 14; 18(22): 2881-4. PMID: 22719201 [PubMed - indexed for MEDLINE] PMCID: PMC3374996