MULTIMEDIA ARTICLE - Videoclip
JOP. J Pancreas (Online) 2013 Nov 10; 14(6):674-675.
Secondary Varicocele Caused by Pancreatic Pseudocyst Obstructing Testicular Venous Drainage
Yashant Aswani, Priya Hira
Department of Radiology, Seth GS Medical College and KEM Hospital. Mumbai, India
Summary
A pseudocyst is a fluid/debris collection that occurs as a complication of pancreatitis. It can be symptomatic and cause compression of the surrounding structures. Our case report highlights a 29-year-old male who presented with secondary varicocele on left side caused by a huge pseudocyst seen to compress the left renal and testicular veins.
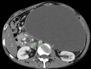
A chronic alcoholic 29-year-old male presented with complaints of heaviness in the scrotum since a few days and lumpish feel in the abdomen since a few weeks. Sonography scrotum revealed multiple dilated, tortuous serpiginous anechoic channels situated on the posterolateral aspect of the left testis (Image 1).These channels were venous in nature and had continuous reversal of flow on Valsalva maneuver. The right testis was normal. On abdominal sonography, there was a 20x12x18 cm huge cystic lesion present predominantly in the epigastrium and left hypochondrium. A CT was performed which confirmed the findings. Besides, there was dilation of the pancreatic duct with calcification in the pancreatic head. The cystic lesion was a huge pseudocyst in the setting of chronic calcific pancreatitis. The pseudocyst was seen to compress the left renal and testicular veins with consequent secondary varicocele on left. There was rightward displacement of the aorta (Image 2: a) and inferior vena cava (Image 2: I). CT in venous phase with coronal reconstruction depicts the huge pseudocyst centered predominantly in epigastrium and left hypochondrium. There is prominence of testicular venous plexus on left (Videoclip). The serum lipase and amylase levels were 501 U/L (reference range: 40-290 U/L) and 1,024 IU/L (reference range: 25-125 IU/L), respectively. A cystogastrostomy was performed which lead to decompression of both the pseudocyst and the varicocele.

|
Image 1 |

|
Image 2 |
A pseudocyst is a fluid/debris collection with a non-epithelial wall seen in the setting of pancreatitis. An incidence of approximately 15% and 30% is seen in acute and chronic pancreatitis, respectively [1]. Often there is direct communication with the pancreatic duct. Complications include symptoms from pressure effects, hemorrhage within the pseudocyst, rupture of pseudocyst into viscera/peritoneum or its infection, pseudoaneurysm of adjacent arteries, erosion into splenic or pancreaticoduodenal arteries and portal and renal veins [2].
Pseudocysts are known to compress adjacent structures like stomach, duodenum, colon, bile duct and portal vein [1]. However, the compression of left renal and testicular veins leading to secondary varicocele is rare and has been reported only once in a 50-year-old alcoholic male [2]. Such a compression is usually caused by a tumor, lymph nodal mass and a hydronephrotic kidney [3]. Therefore, a varicocele examination includes screening of the renal hila; more so in right sided varicocele (since left sided pathology is usually idiopathic) [4].
Our case was unique since it highlights an extremely rare complication of pseudocyst in a 29 year old male who presented with heaviness in the scrotum. The patient underwent cystogastrostomy and his symptoms were relieved. Besides, varicocele is a treatable condition and a common cause of male infertility for which a thorough examination be sought for.
Received October 5th, 2013 – Accepted October 14th, 2013
Keywords Varicocele; Pancreatic Pseudocyst; Pancreatitis, Chronic
Financial support None
Conflicts of interest None
Correspondence
Yashant Aswani
Department of Radiology
Seth GS Medical College and KEM Hospital
Mumbai 400012
India
Phone: 91-902.904.2971
Fax: +91-022.2418.5678
E-mail: yashant_aswani@rediffmail.com
References
1. Aghdassi A, Mayerle J, Kraft M, et al. Diagnosis and treatment of pancreatic pseudocysts in chronic pancreatitis. Pancreas 2008;36:105-112.
2. Dixon JM, Armstrong CP, Eremin O.Varicocele caused by a pancreatic pseudocyst.Gut 1983 may ;24(5):438-40. [PMID:6840618]
3. Dambro TJ, Stewart RR, Carroll BA et al.The scrotum.In: Rumack CM, Wilson SR, Charboneau JW (eds).Diagnostic ultrasound. 2nd edition, St Louis, Mosby.1998;719-822.
4. Middleton WD, Thorne DA, Melson GL.Color Doppler ultrasound of the normal testis. AJR Am J Roentgenol 1989;152:293-297. [PMID:2643264]