LETTER
JOP. J Pancreas (Online) 2013 Nov 10; 14(6):684-685.
Gastric Ectopic Pancreas: Not Always an Innocent Bystander
Evangelos Kalaitzakis1, Jacob Elebro3, Jan Johansson2
Departments of 1Gastroenterology and 2Surgery, Skåne University Hospital; 3Clinical Pathology, University and Regional Laboratories Region Skåne. Lund, Sweden
Dear Sir,
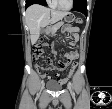
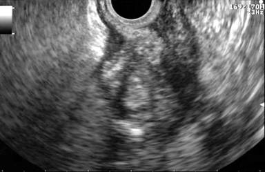
A 38-year-old male patient presented to the emergency room due to acute epigastric pain, nausea and vomiting. Physical examination revealed tenderness in the upper abdomen. Body temperature was 37.3°C. C-reactive protein was 113 mg/L (reference range: 0-3 mg/L) and his white blood cell count was raised (15.5 x109/L; reference range: 3.5-8.8 x109/L). Renal and liver function tests and serum pancreatic amylase were normal. He was otherwise healthy and was not taking any medications. Upper gastrointestinal endoscopy showed a subepithelial lesion in the gastric antrum (Figure 1). Abdominal computed tomography scan revealed a heterogeneous 4 cm malignant-looking lesion in the gastric antrum with suspected invasion of the perigastric fat (Figure 2). Endoscopic ultrasound (EUS) confirmed the presence of a subepithelial lesion in the antrum, that had heterogeneous appearance and involved all subepithelial layers of the gastric wall (Figure 3). An EUS-led fine needle aspiration (FNA) showed inflammatory cells only. The patient recovered symptomatically and blood tests normalized within 5 days. However, on the grounds of the imaging findings, malignancy could not be excluded and distal gastrectomy was performed. Histopathology of the surgical specimen confirmed the presence of ectopic pancreas in the gastric antrum (Figure 4a) but showed no cancer. However, there was both chronic and acute inflammation with neutrophil infiltration (Figure 4b). Twelve months following surgery he was asymptomatic.

|
Figure 1. Upper gastrointestinal endoscopy revealed a subepithelial lesion in the gastric antrum with endoscopic appearance consistent with an ectopic pancreas. |

|
Figure 2. A computed tomography scan showed a heterogeneous 4 cm malignant-looking lesion in the gastric antrum with suspected invasion of the perigastric fat tissue. |

|
Figure 3. EUS showed a heterogeneous lesion involving all layers of the gastric wall (beyond the mucosal layer). |


|
Figure 4. Histopathology of the surgical specimen showed the presence of acini and ductal structures in the proximity of gastric mucosa, i.e. gastric ectopic pancreas (H&E x4) (a.) and acute and chronic inflammation with reactive ductal changes (H&E x60) (b.). |
Although gastric ectopic pancreas is usually an incidental finding, occasionally, it may be the cause of symptoms mainly due to acute inflammation in the ectopic tissue [1, 2]. Malignant transformation has also been described [3]. Differential diagnosis includes other types of subepithelial gastric lesions such as gastrointestinal stromal tumors, leiomyomas, lipomas, etc. [4]. Rarely acute inflammation may develop in ectopic pancreas and pseudocyst formation has also been reported [5]. Clinicians should be aware of the rare occurrence of acute inflammation in gastric ectopic pancreas, as improvement on follow-up EUS [2] together with negative cytology on EUS-FNA and patient recovery may obviate the need for surgery.
Received October 15th, 2013 – Accepted October 16th, 2013
Keywords Abdominal Pain; Endosonography; Accessory pancreas
Competing interests None to declare
Correspondence
Evangelos
Kalaitzakis
Department of Gastroenterology
Skåne University Hospital
221 85 Lund
Sweden
Phone: +46-46.171.000
Fax: +46-46.2110.908
E-mail: evangelos.kalaitzakis@medicine.gu.se;
kalvag@hotmail.com
References
1. Tanaka K, Tsunoda T, Eto T, Yamada M, Tajima Y, Shimogama H, Yamaguchi T, Matsuo S, Izawa K. Diagnosis and management of heterotopic pancreas. Int Surg 1993; 78: 32-5 [PMID:8473080]
2. Watanabe K, Irisawa A, Hikichi T, Takagi T, Shibukawa G, Sato M, Obara K, Ohira H. Acute inflammation occurring in gastric aberrant pancreas followed up by endoscopic ultrasonography. World J Gastrointest Endosc 2012; 4: 331-4 [PMID:22816015]
3. Jeong HY, Yang HW, Seo SW, Seong JK, Na BK, Lee BS, Song GS, Park HS, Lee HY. Adenocarcinoma arising from an ectopic pancreas in the stomach. Endoscopy 2002; 34: 1014-7 [PMID:12471549]
4. Hwang JH, Kimmey MB. The incidental upper gastrointestinal subepithelial mass. Gastroenterology 2004; 126:301-7 [PMID:14699508]
5. Mullolland KC, Wallace WD, Epanomeritakis E, Hall SR. Pseudocyst formation in gastric ectopic pancreas. JOP 2004; 5: 498-501 [PMID:15536290]