CASE REPORT
Segmental Arterial Mediolysis: A Case of Mistaken Hemorrhagic Pancreatitis and Review of the Literature
Jennifer L Horsley-Silva1, Saowanee Ngamruengphong2, Gregory T Frey3, Ricardo Paz-Fumagalli3, Michele D Lewis2
Departments of 1Internal Medicine, 2Gastroeterology, and 3Radiology; Mayo Clinic. Jacksonville, FL, USA
ABSTRACT
Context Segmental arterial mediolysis is an uncommon, non-atherosclerotic, non-inflammatory arteriopathy that involves areas of dissecting aneurysms and strictures that are caused by outer media lysis of the arterial wall from areas of medial necrosis of uncertain pathogenesis. It has a predilection for splanchnic arteries and often presents as abdominal pain or hemorrhage in late middle-aged and elderly patients. Diagnosis can be established by computed tomography angiography, magnetic resonance angiography, or angiogram by visualizing typical abnormalities, in addition to excluding other vasculitides. Histological confirmation is the gold standard but is not easily accessible and, as such, is not frequently performed. Case report Here we present an updated review of the literature and a case of segmental arterial mediolysis that presented with spontaneous intra-abdominal bleeding near the pancreas that was originally misdiagnosed as hemorrhagic pancreatitis. Conclusion Diagnosis is important because immunosuppressants for vasculitis can worsen the arteriopathy. Segmental arterial mediolysis can be self-limiting without treatment or may require urgent surgical or endovascular therapy for bleeding and carries a 50% mortality rate. Therefore, it should be included in the differential of causes of abdominal pain as well as in cases of unexplained abdominal hemorrhage.
INTRODUCTION
Segmental arterial mediolysis is an uncommon arteriopathy involving areas of dissection, aneurysm, and strictures caused by the lysis of the outer media of the arterial wall. It is a non-atherosclerotic, non-inflammatory, and non-hereditary vasculopathy with unclear pathogenesis. It has a tendency to affect intra-abdominal arteries, but there have also been cases reported where coronary, intracranial, and retroperitoneal vessels have been involved. Lesions tend to range anywhere from few to numerous and can be “segmental” or in a skipping pattern [1, 2, 3]. The lesions do not have a predilection to bifurcation sites and are often of varying ages in the injury process [1, 2]. They are often found in more than one vascular distribution but never systemically [4, 5]. There have been 50 documented case reports of segmental arterial mediolysis as of November of 2010 reported by Baker-LePain et al. and confirmed by Kalva et al. [6, 7].
CASE REPORT
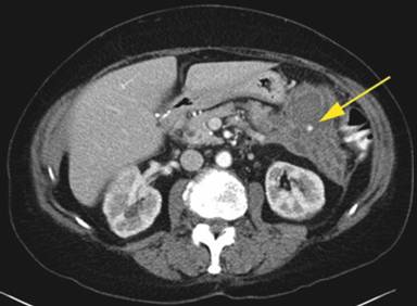
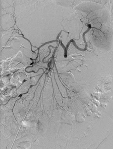
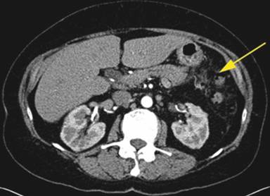
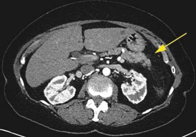
A 64-year-old Caucasian female was referred to our facility for further management of hemorrhagic pancreatitis. The patient had previously presented to an outside hospital with acute onset of severe sharp mid-abdominal pain, back pain, and nausea. She had no prior history of pancreatitis or alcohol use and had a prior cholecystectomy. Initial laboratory tests revealed a normal lipase, calcium, and triglyceride level. She had a history of hypertension, emphysema, depression, and spinal stenosis. She also had breast cancer 13 years prior, which had been treated by lumpectomy, chemotherapy, and radiation. Computed tomography (CT) scan displayed a heterogeneous fluid collection 14.3x11.2x10.0 cm and was interpreted as hemorrhagic pancreatitis involving the body and tail of the pancreas. Before admission to our hospital, she had required intensive care unit support including intravenous antibiotics and a transfusion of one unit packed red blood cells. She was started on total parenteral nutrition and took nothing by mouth. After seven days of support, she continued to have abdominal pain and was referred to our institution. Upon arrival to our facility, the patient was hemodynamically stable and afebrile. A repeat CT of the abdomen with intravenous contrast was performed at our facility 17 days after initial outside presentation (Figure 1), and it demonstrated a heterogeneous fluid collection 9.1x5.8 cm in the anterior pararenal space inferior to pancreatic tail, which likely represented a hematoma. There was also a 6 mm small pseudoaneurysm within the central portion of the fluid collection. There was no evidence of pancreatitis. An angiogram was subsequently performed and demonstrated dilatations and strictures with multiple pseudoaneurysms in the branches of the superior mesenteric artery, inferior mesenteric artery, ileal colic artery, and hepatic arteries, with one being adjacent to the pancreas (Figures 2 and 3). An attempt to embolize the pseudoaneurysm within the hematoma was unsuccessful due to tortuous mesenteric arteries. Other laboratory data obtained included C-reactive protein at 36 mg/L (reference range: 0-8.0 mg/L) and erythrocyte sedimentation rate of 72 mm/h (reference range: 0-29 mm/h). The workup for vasculitis included anti-nuclear antibodies, anti-citrullinated protein antibodies, rheumatoid factor, anti-double stranded DNA antibodies, and complement levels, all of which were within reference limits. Proteinase antibodies and myeloperoxidase antibodies were also negative. Her leukocyte count was not elevated and blood cultures were negative for growth. There was no history of congenital vascular disorders. She had no skin lesions and no renal or neurological abnormalities. A diagnosis of segmental arterial mediolysis was given based on exclusion and imaging. The patient was monitored in the hospital setting for 6 days after transfer and remained hemodynamically stable. Once abdominal pain resolved and the patient was tolerating a regular diet, she was discharged with close follow-up. A CT angiogram conducted four (Figure 4) and eleven months later (Figure 5) revealed resolution of mesenteric pseudoaneurysms and peripancreatic hematoma.

|
Figure 1. CT abdomen with contrast revealing heterogeneous peripancreatic fluid collection with pseudoaneurysm. |

|
Figure 2. Inferior mesenteric angiogram demonstrating large collateral with pseudoaneurysm of a small colic branch corresponding to the pseudoaneurysm seen on CT.
|

|
Figure 3. Superior mesenteric angiogram demonstrating vascular irregularity and pseudoaneurysm formation in the right colic, ileocolic and ileojejunal branches, as well as irregularity and pseudoaneurysm formation of multiple right hepatic arteries. |

|
Figure 4. CT angiogram four months after hospitalization demonstrating resolution of heterogeneous fluid collection. |

|
Figure 5. CT angiogram eleven months after hospitalization demonstrating resolution of heterogeneous fluid collection. |
Etiology and Pathophysiology
Segmental arterial mediolysis was originally described by Slavin and Gonzalez-Vitale in 1976 from three autopsies and coined as segmental mediolytic arteritis [1, 8, 9, 10, 11, 12, 13]. However, the pathologically distinct arteritis may have originally been described by Grunewald in 1949 in epicardial coronary arteries of neonates [14, 15]. It was later termed segmental arterial mediolysis as more examples revealed inflammation was not a part of the disease process [9]. Originally it was thought this pathology could involve immune complexes; however, other etiologies have been suggested, and this is no longer the favored hypothesis [1, 7]. Repeated vasoconstrictor stimuli may cause the changes of medial lysis, and similar pathological findings have been seen in dog and rat models given sympathomimetics [5, 7, 16, 17, 18, 19]. Other factors that support this theory are the observation of reported cases that have depicted a history of hypoxia, shock, stroke, recent surgery, hypertension, pulmonary hypertension, vasopressors, Raynaud’s disease, migraines, and other examples [16, 18]. Arterial injury is suspected to be created by focal endothelial paracrine dysfunction after a pressor response is initiated, causing unopposed vasoconstriction [5, 14].
Arterial disease can be classified based on the size of the vessel involved and by the arterial layer intima, media, or adventitia in which the pathology takes place [20]. There are four diagnostic lesions outlined in segmental arterial mediolysis by Slavin and Inada, which include mediolysis, separation, gaps, and fibrosis [16, 19]. In segmental arterial mediolysis, areas of vacuolar degeneration occur in the smooth muscle cells of the outer arterial media layer, causing gaps in the arterial wall and leading to the media layer separating from the adventitia layer, which has been labeled by some as an injury phase [2, 3, 4, 5, 6, 7, 8, 9, 10, 11, 12, 18, 19, 21, 22]. Smooth muscle cells are then replaced by various sized cytoplasmic vacuoles leading to gaps that initiate at the outer media and adventitial border and sometimes extend throughout the media [4, 5, 10]. As the media separates from adventitia, it can lead to dissecting hematomas creating aneurismal dilatation without intimal disruption [2, 3, 5, 8, 9, 11, 13, 21, 23]. An important feature in pathologic examination is minimal reactive inflammatory changes [18]. Aneurysms can fill with either hematoma, thrombi, or dissect and lead to arterial rupture [10, 11]. After the injury phase, the lesions evolve with fibrin deposition and granulation tissue fills previously formed gaps. Repair follows, forming either smooth arterial walls or distorting arterial walls with stricture and stenosis formation [3, 4, 5, 6, 7, 10, 16, 18, 21]. These variations are what cause a beaded or irregular appearance to the vessels. Dissection and thrombi can cause arterial luminal blockage that results in ischemia and occlusion during the process [16]. Some cases have also shown that these pathological changes can be found in adjacent veins [6, 9, 19, 22]. Cases have demonstrated the phases to be a very acute process with rapid changes, and some of the lesions can form and resolve over days to weeks [4, 6].
Presentation
Segmental arterial mediolysis has a predilection to the middle-aged and elderly but can occur at any age. The reported age mean in multiple case series is approximately 60 years [12, 19, 22]. It is theorized that the aging population is susceptible because arterial elastic tissue degenerates as we age [19]. Segmental arterial mediolysis has no gender predilection [6, 7, 13, 19, 21]. It has a characteristic segmental distribution and frequently involves the large muscular visceral arteries [5, 6, 7, 11, 12, 13, 14, 18, 19, 24]. The most commonly affected arteries are the celiac artery and the celiac branches, which are involved in 50-60% of cases. The superior and inferior mesenteric arteries are also involved in up to 30% of cases [4, 19]. There have also been cases affecting intracranial vessels, carotid arteries, iliac arteries, and pulmonary arteries [7, 9, 13, 14, 15].
Diagnosis
Diagnosis is established by clinical presentation, specific characteristics on imaging, and exclusion of other vasculitides [13, 16]. Segmental arterial mediolysis usually presents as abdominal pain and sometimes as an acute abdomen with distention, hemorrhage, and hypotension [7, 14]. The most serious presentation is life-threatening hemorrhage from a ruptured aneurysm or a dissection. Varying case reports have shown up to 60% of cases present with abdominal pain and up to 77% of those involve hemorrhaging [12, 13]. Cases with subclinical presentation may be more common than the literature suggests due to spontaneous resolution, or failed diagnosis [4]. Patients may have an elevated C-reactive protein or sedimentation rate [7, 13]. Segmental arterial mediolysis is different from all other vasculitides and is a diagnosis of exclusion [13].
Other potential differential diagnoses include other vasculitides. It has been suggested that injury may be a variant or precursor of fibromuscular dysplasia, which can also have vacuole cellular degeneration and medial defects. It also involves the same distribution of arteries, making it the most difficult to differentiate [24]. Fibromuscular dysplasia demonstrates fibroplasia and collagen deposition, which replaces smooth muscle at the media, leading to stenosis rather than dissection and rupture [7, 12, 16, 20]. Polyarteritis nodosa, Takayasu arteritis, Behcet’s disease, allergic granulomatous angitis, and Henoch-Schonlein purpura all demonstrate inflammation and often other laboratory abnormalities [16]. Infectious causes such as mycotic aneurysms have a tendency to form at bifurcations and lead to infectious deterioration of the arterial wall. Congenital structural vascular disorders need to be considered in the differential diagnosis, and these include neurofibromatosis type I, which can cause stenosis of arteries from surrounding neurofibromatosis tissue, Ehlers-Danlos syndrome type IV, which is associated with dissection of the aorta and its branches, and Marfan syndrome, which can lead to cystic medial degeneration [2, 6, 7, 8, 13].
Histological confirmation is the gold standard but is not easily accessible [7, 13, 16, 19]. There is no official consensus of any noninvasive diagnostic criteria. Kalva et al. describes institutional non-pathological guidelines for diagnosis including clinical, imaging, and laboratory data [7, 13]. Michael et al. reviewed the CT angiography of five cases and felt CT angiography is sufficient to diagnose symptomatic segmental arterial mediolysis and for follow-up imaging because it displays the characteristic patterns and arterial involvement after excluding other vasculitides with clinical and laboratory findings [2].
The most common angiographic findings are arterial dissection, dilatation, or occlusion [14]. Other varying angiographic presentations that can occur during the disease course include arterial dilatation, aneurysms, strings of beads, dissecting hematomas, arterial stenosis or arterial occlusion, arterial wall thickening, elongated arteries, kinked arteries, and possible infarct [4, 6, 7, 12, 13]. The dissections that occur in segmental arterial mediolysis are unique because they involve the outer media and adventitia border without disruption of the intima; therefore, this is the most prominent feature of segmental arterial mediolysis [16, 19].
Treatment and Surveillance
As the natural history of segmental arterial mediolysis is poorly characterized, no specific therapy has been outlined and tested. Mortality is 40-50% in the acute phase of segmental arterial mediolysis [7, 10, 14]. Treatment options include surgical resection and interventional radiology treatment, which includes coiling, stenting, or watchful waiting [2, 21]. Currently, most cases reserve surgical or interventional radiology treatment for occlusions or ruptured aneurysms [2, 7]. Some argue that the arterial wall in segmental arterial mediolysis is prone to dissection, and therefore, endovascular intervention should be reserved for unstable cases due to the risk of causing further harm [7, 13]. Others feel that the high mortality rate warrants embolization intervention in stable cases of segmental arterial mediolysis without active hemorrhage [12, 14, 16]. There have been few reports of bleeding from long-term aneurysms; however, the potential for aneurysms to rupture is obviously present. Therefore, periodic surveillance is likely of benefit. Some also recommend yearly imaging [4, 7]. Supportive therapy for segmental arterial mediolysis can include controlling blood pressure, pain, and antiplatelet therapy [7].
The natural history of segmental arterial mediolysis is variable. After acute injury, segmental arterial mediolysis can be self-resolving, while up to 40% of cases can display new areas of disease [2, 7, 21]. Three reviews have demonstrated anywhere from 50-80% of cases remain stable or resolved with serial imaging, while new abnormalities or disease progression occurred up to 40% of the time during the variable length of follow-up imaging from months to years [2, 7, 16]. The longest documented follow-up with imaging is nine years, but the majority of reported follow-up imaging is much shorter [7, 16, 22]. Reported variable follow-up suggests that the majority of cases have resolution without disease progression.
DISCUSSION
As presented in our case, segmental arterial mediolysis can be misdiagnosed as acute pancreatitis due to similar symptoms and imaging findings. Both conditions can present with sudden onset, severe abdominal pain radiating to the back, and imaging that can involve fluid collections near the pancreas. It is important to differentiate the two, as treatment differs. Pancreatic fluid collections are frequently drained with ongoing symptoms of pain, and attempting to puncture and place drains in saccular or dissecting vessels or in a contained hemorrhage could be catastrophic. Proper imaging and review with a radiologist, with emphasis on surrounding vascular structures and surrounding parenchyma, may lead to earlier diagnosis and avoidance of incorrect management.
This case increases awareness of segmental arterial mediolysis and also offers insight to the fact that more research is warranted to further elucidate the actual incidence of this disease and the factors that may play a part in its pathogenesis. Gastroenterologists should be aware of the disease given its presentation of abdominal pain and potential consequences of ischemia and infarction, as well as appropriate follow-up and imaging.
Given that the disease can have a subclinical presentation, it is suspect that segmental arterial mediolysis may be more common than suggested by the rare case report and limited available literature. Incidence of segmental arterial mediolysis is likely underestimated since angiography is not routine in the evaluation of abdominal pain and because the disease can be acute in onset and can resolve before imaging is pursued [2, 7, 16]. It should be included in the differential of causes of abdominal pain as well as in cases of unexplained abdominal hemorrhage.
Received October 30th, 2013 – Accepted November 11th, 2013
Key words Abdominal Pain; Aneurysm; Arteritis; Dissection; Hemorrhage; Pancreatitis
Conflicts of interest Authors report no conflicts of interest to disclose
Correspondence
Michele D Lewis
Department of Internal Medicine
Mayo
Clinic
4500 San Pablo Road South
Jacksonville, FL 32224
USA
Phone: +1-904.953.0189
Fax: +1-904.953.6225
E-mail: lewis.michele@mayo.edu
1. Slavin RE, Gonzalez-Vitale JC. Segmental mediolytic arteritis: A clinical pathologic study. Lab Invest 1976;35:23-29. [PMID 940319]
2. Michael M, Widmer U, Wildermuth S, Barghorn A, Duewell S, Pfammatter T. Segmental arterial mediolysis: Cta findings at presentation and follow-up. AJR Am J Roentgenol 2006;187:1463-1469. [PMID 17114538]Basso MC, Flores PC, de Azevedo Marques A, de Souza GL, D'Elboux Guimaraes Brescia M, Campos CR, et al. Bilateral extensive cerebral infarction and mesenteric ischemia associated with segmental arterial mediolysis in two young women. Pathol Int 2005;55:632-638. [PMID 16185293]
3. Slavin RE. Segmental arterial mediolysis: Course, sequelae, prognosis, and pathologic-radiologic correlation. Cardiovasc Pathol 2009;18:352-360. [PMID 19026575]
4. Slavin RE, Saeki K, Bhagavan B, Maas AE. Segmental arterial mediolysis: A precursor to fibromuscular dysplasia? Mod Pathol 1995;8:287-294. [PMID 7617656]
5. Baker-LePain JC, Stone DH, Mattis AN, Nakamura MC, Fye KH. Clinical diagnosis of segmental arterial mediolysis: Differentiation from vasculitis and other mimics. Arthritis Care Res (Hoboken) 2010;62:1655-1660. [PMID 20662047]
6. Kalva SP, Somarouthu B, Jaff MR, Wicky S. Segmental arterial mediolysis: Clinical and imaging features at presentation and during follow-up. J Vasc Interv Radiol 2011;22:1380-1387. [PMID 21840227]
7. Matsuda R, Hironaka Y, Takeshima Y, Park YS, Nakase H. Subarachnoid hemorrhage in a case of segmental arterial mediolysis with coexisting intracranial and intraabdominal aneurysms. J Neurosurg 2012;116:948-951. [PMID 22385002]
8. Ito N, Kuwahara G, Sukehiro Y, Teratani H. Segmental arterial mediolysis accompanied by renal infarction and pancreatic enlargement: A case report. J Med Case Rep 2012;6:307. [PMID 22989228]
9. Sakano T, Morita K, Imaki M, Ueno H. Segmental arterial mediolysis studied by repeated angiography. Br J Radiol 1997;70:656-658. [PMID 9227264]
10. Tomonaga T, Eguchi S, Hidaka M, Takatsuki M, Soyama A, Muraoka I, et al. A case of ruptured segmental arterial mediolysis of the hepatic artery: Report of a case. Hepatogastroenterology 2011;58:1912-1914. [PMID 22234060]
11. Tameo MN, Dougherty MJ, Calligaro KD. Spontaneous dissection with rupture of the superior mesenteric artery from segmental arterial mediolysis. J Vasc Surg 2011;53:1107-1112. [PMID 21276678]
12. Cooke DL, Meisel KM, Kim WT, Stout CE, Halbach VV, Dowd CF, et al. Serial angiographic appearance of segmental arterial mediolysis manifesting as vertebral, internal mammary and intra-abdominal visceral artery aneurysms in a patient presenting with subarachnoid hemorrhage and review of the literature. J Neurointerv Surg 2012. [PMID 22693248]
13. Ryan JM, Suhocki PV, Smith TP. Coil embolization of segmental arterial mediolysis of the hepatic artery. J Vasc Interv Radiol 2000;11:865-868. [PMID 10928523]
14. Gruenwald P. Necrosis in the coronary arteries of newborn infants. Am Heart J 1949; 38:889-97. [PMID 15395920]
15. Chao CP. Segmental arterial mediolysis. Semin Intervent Radiol 2009;26:224-232. [PMID 21326567]
16. Joris I, Majno G. Medial changes in arterial spasm induced by l-norepinephrine. Am J Pathol 1981;105:212-222. [PMID 7315949]
17. Slavin RE, Yaeger MJ. Segmental arterial mediolysis: an iatrogenic vascular disorder induced by ractopamine. Cardiovasc Pathol 2012;21:334-338. [PMID 22036070]
18. Slavin RE, Inada K. Segmental arterial mediolysis with accompanying venous angiopathy: A clinical pathologic review, report of 3 new cases, and comments on the role of endothelin-1 in its pathogenesis. Int J Surg Pathol 2007;15:121-134. [PMID 17478765]
19. Slovut DP, Olin JW. Fibromuscular dysplasia. N Engl J Med 2004;350:1862-1871. [PMID 15115832]
20. Filippone EJ, Foy A, Galanis T, Pokuah M, Newman E, Lallas CD, et al. Segmental arterial mediolysis: Report of 2 cases and review of the literature. Am J Kidney Dis 2011;58:981-987. [PMID 21872379]
21. Inada K, Maeda M, Ikeda T. Segmental arterial mediolysis: Unrecognized cases culled from cases of ruptured aneurysm of abdominal visceral arteries reported in the japanese literature. Pathol Res Pract 2007;203:771-778. [PMID 17920781]
22. Obara H, Matsubara K, Inoue M, Nakatsuka S, Kuribayashi S, Kitagawa Y. Successful endovascular treatment of hemosuccus pancreaticus due to splenic artery aneurysm associated with segmental arterial mediolysis. J Vasc Surg 2011;54:1488-1491. [PMID 21715127]
23. Lie JT. Segmental mediolytic arteritis. Not an arteritis but a variant of arterial fibromuscular dysplasia. Arch Pathol Lab Med 1992;116:238-241. [PMID 1536608]