CASE REPORT
JOP. J Pancreas (Online) 2014 May 27; 15(3):258-260.
An Unusual Complication of PEG Feeding After Pancreatico-Gastrostomy
Mary Phillips, Katy Hosie, Edward J Griffiths, Nadeen Low, Michelle C Gallagher, Christopher J Tibbs, Nariman D Karanjia
Royal Surrey County Hospital, Guildford, UK
ABSTRACT
Context We describe a late complication of the pancreatico-gastrostomy (PG) anastomosis following pancreatico-duodenectomy (PD). Case report A percutaneous endoscopic gastrostomy (PEG) feeding tube was inserted many months post-operatively. In this patient activated pancreatic enzymes eroded the gastrostomy tract, resulting in pain, recurrent infection and eventual removal of the gastrostomy tube. Conclusions Where surgical insertion of a feeding jejunostomy is not viable or deemed too high risk after Whipple or PPPD, we recommend careful consideration of PEG tube insertion in patients with PG reconstruction. If a PEG is used the prophylactic use of Lanreotide is recommended.
INTRODUCTION
Pancreatico-gastrostomy (PG) was first described in 1946 [1]. Several potential advantages over a pancreatico- jejunostomy (PJ) have been proposed especially in relation to pancreatic anastamotic leaks.
We describe a patient in whom a serious complication occurred following the insertion of a percutaneous endoscopic gastrostomy (PEG) in a patient who had previously undergone a Kausch-Whipple procedure and PG reconstruction.
CASE REPORT
A 54 year old woman with a pancreatic mass suspicious for malignancy, underwent a Kausch-Whipple resection with pancreato-gastrostomy (PG) reconstruction. She was previously fit and well, she was underweight at 41 kg (Body Mass Index (BMI) 15 kg/m2, normal pre-morbid weight 46 kg, BMI 17 kg/m2). She made an uncomplicated recovery and was discharged on the 10th post-operative day. Histology confirmed chronic pancreatitis with no evidence of malignancy.
Post operatively, she experienced significant dumping syndrome and malabsorption. She received supplementary pancreatic enzymes, and vitamin and mineral supplementation, but her symptoms did not respond to dietary modification. She could not tolerate food fortification or the use of oral nutritional supplements.
On review in secondary care, her stool symptoms were suggestive of steatorrhoea and she had a faecal elastase of <15 µg/g (severe pancreatic insufficiency <100
µg/g) supporting the diagnosis of pancreatic exocrine insufficiency. Her enzyme therapy, which had been ill- advisedly stopped in primary care due to constipation, was recommenced. As the histology of the resected pancreatic head confirmed chronic pancreatitis, she was given smoking and alcohol cessation advice.
Over the next 2 years she continued to lose weight despite oral nutritional supplementation and enzyme therapy (Figure 1). Her weight dropped from 41 kg to 32 kg (BMI 11.8 kg/m2, 22% weight loss). Her compliance with nutritional therapy was intermittent due to depression, difficult social circumstances, fatigue and persistent nausea which further compounded her weight loss.
As her weight declined she agreed to a trial of naso-jejunal feeding. Jejunal feeding was selected in place of naso- gastric feeding due to the presence of nausea and ongoing symptoms of dumping syndrome. She was successfully managed at home for 8 weeks. She gained weight, and found her fatigue improved sufficiently to allow her to return to part time clerical employment.

|
Figure 1. Weight history related to enteral feeding. |
The feeding tube was removed at her request, but following this her weight declined again (Figure 1), and she was medically retired.
Her case was re-evaluated at the pancreatic multidisciplinary team meeting. Cross sectional imaging had not demonstrated any structural cause for her ongoing symptoms and the remaining pancreatic duct was noted to be of normal calibre. The window for PEG placement was deemed sufficient and the patient proceeded to PEG placement with a jejunal extension (PEG-J).
A Corflo CH20 PEG with jejunal extension (MERCK, UK) was inserted endoscopically, without complication. It was noted at endoscopy that the pancreatic anastomosis was not visible.
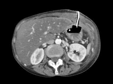
Despite an uneventful PEG-J insertion, the patient returned to the ward complaining of intense pain at the PEG site. Perforation was suspected, and the patient commenced on prophylactic antibiotics. However, a CT scan confirmed correct placement of the PEG-J, although the tract appeared slightly wider than anticipated (Figure 2).
On examination 24 hours following insertion the PEG tube was loose within the tract and the skin around the site sore and excoriated. The tube became increasingly loose over the next two days, and the patient required regular morphine in the form of Patient Controlled Analgesia (PCA).
Given the patients previous distal gastrectomy with PG, the progressively widening tract and the burning nature of the pain, we hypothesised pancreatic enzymes were the cause.
Assuming that normally pancreatic enzymes released into the stomach are denatured by stomach acid, patients are managed with a Proton Pump Inhibitor (PPI) to protect residual pancreatic function.
As this patient had a distal gastrectomy, it is assumed that enzymes were active in a neutral to alkali stomach environment. This was confirmed with gastric aspirate, which showed a pH of 5.5. This is the activation pH of pancreatic enzymes. We had assumed that the absence of enterokinase in the gastric mucosa would prevent the activation of proteolytic pancreatic enzymes within the stomach.

|
Figure 2. CT scan following PEG-J insertion. |
Due to the suspected involvement of pancreatic enzymes a trial of octreotide was commenced, and the patient’s pain resolved within 48 hours. As her pain score dropped from 10/10 to 2/10, the PCA was discontinued and Codeine was sufficient to control her pain.
She was transferred onto Lanreotide (a long acting version of Octreotide) and discharged home tolerating full rate PEG-J feeding.
She was maintained on Lanreotide for 5 months until the tract healed, at which stage it was discontinued. She continued to tolerate full rate jejunal feeding, with only moderate discomfort at her PEG-J site for a further 5 months.
At that time she re-presented with abdominal pain, described as ‘internal’ and ‘burning.’ She was treated in her primary care facility for a suspected PEG site infection, and prescribed an antibacterial cream.
We suspected that the problem had recurred. An aspirate taken from the gastric port on her PEG-J confirmed high levels of amylase. A swab of the site was taken to confirm the antibacterial treatment in primary care had been successful.
A further dose of Lanreotide was administered. The PEG-J swab came back positive for yeast, and an antifungal cream was commenced, and feeding was recommenced. Recurrent yeast infections at the PEG-J resulted in the removal of the PEG-J two months later, and the patient recommenced naso-jejunal feeding.
DISCUSSION
This complication of post PG reconstruction is unusual. Essentially, the symptoms and biochemical findings are suggestive of an active digestive process causing inflammation, pain and eventual degradation of the PEG tube tract. This was not anticipated. The reconstruction of PG leads to pancreatic enzymes being present in the stomach. As there is no longer a duodenum, we theorised that the enzyme enterokinase would not enter the stomach and activate pancreatic juice. However it seems likely that the passage of bile past the gastroenterostomy probably allows for zymogen activation in the gastric remnant.
Little work has been published surrounding the longer term complication of PG’s.
Concern was initially raised regarding the potential for poor pancreatic exocrine function due to the acidic environment at the new site of pancreatic enzyme secretion [2], although the same study showed no difference in endocrine function or nutritional markers.
Nutritional failure to thrive is seen in patients following pancreatic resection, and many surgeons insert a feeding jejunostomy intra-operatively to provide a route for feeding. An audit of practice across the UK revealed that 77% of the units do enterally feed patients post operatively. Of these, 58% of these insert surgical feeding jejunostomy, whilst the remainder using naso-jejunal feeding tubes [3].
In those patients that fail to thrive, intra-operatively inserted feeding jejunostomy tubes provide long term enteral access for nutritional support without the need for further intervention. However, in the post operative patient who does not have a feeding jejunostomy, such as the patient described in this report, these tubes may be difficult to place post operatively due to the altered anatomy and presence of adhesions. A PEG-J tube would normally be considered to be a lower risk procedure.
In the normal state, inactive pancreatic ‘pro-enzymes’ or zymogens such as trypsinogen are activated by enterokinase after their release into the duodenum. Enterokinase acts only in a mildly acidic environment (pH 5.5). The enzyme trypsin, formed from trypsinogen activation, thereafter activates other digestive enzymes. Additionally, there is evidence that active trypsin can also cause auto-activation of trypsinogen via a positive feedback mechanism, although this mechanism is thought to contribute less to the normal activation [4]. This process occurs best at pH 5.0 [5].
The stomach is normally a very acidic environment (pH 1-2) and, as described previously, would ordinarily denature pancreatic enzymes. However, following a Whipple procedure with a PG and routine post-operative PPI therapy, one would assume that the pancreatic enzymes in this patient were being released into a more neutral/alkali stomach environment than usual. This was confirmed by a gastric aspirate, showing a pH of 5.5, the pH activation point of pancreatic enzymes by enterokinase [6].
Despite an optimal pH level for activation of pancreatic enzymes in the stomach, it can be assumed that without the presence of enterokinase, significant activation of pancreatic enzymes should not occur. Enterokinase is normally produced by the duodenal brush border cells and therefore usually only present within the lumen of the duodenum which, in this patient, has been removed. This theory additionally helps to explain the mechanism by which the pancreatic anastomosis to the stomach is usually protected from enzyme erosion [6].
It is possible that two processes have contributed to enzyme activation in this patient. The first possibility is auto-activation of trypsinogen as discussed above [7], whilst the second process is that of acute on chronic pancreatitis. Despite a history of chronic pancreatitis, she continued to consume alcohol (40 to 50 units per week) and smoke tobacco (10-20 cigarettes per day). It is possible that an acute pancreatitis flare up occurred in the re-sited gland. This would follow intracellular activation of trypsinogen secondary to lysosomal hydrolases as per the co-localisation theory of pancreatitis [8]. This co- localisation theory suggests that digestive pro-enzymes may be activated if the lysosomal hydrolases are confined to the same intracellular compartment as the zymogen pro-enzymes [9].
CONCLUSIONS
In chronic pancreatitis patients, the disease itself partly contributes to some of the long term nutritional problems, whilst social and psychological factors also impact significantly on management. As such, long term secondary care follow up is crucial in discriminating between these issues, and disease related complications, in order to optimise patient outcome.
In patients with a PG reconstruction after a Kausch Whipple procedure PEG feeding should be either avoided or managed with Lanreotide cover. Degradation of the PEG tract in this patient case is likely due to unexpected activity of pancreatic enzymes within the stomach and possible co-existing pancreatitis. We suggest that careful consideration by a specialist pancreatic unit be given to the placement of a percutaneous gastrostomy feeding tube following PG.
Received March 22, 2014 – Accepted April 3rd, 2014
Key words Gastrostomy; Pancreaticoduodenectomy; Pancreatitis, Chronic
Conflict of Interest The authors have no potential conflict of interest.
Correspondence
Mary
Phillips
Regional Hepato-pancreatico-biliary Unit (Surrey and Sussex)
Royal Surrey County Hospital
Egerton Road
Guildford GU2 7XX
United Kingdom
Phone: +441483 464119
Fax: +441483464868
E-mail: mary.phillips1@nhs.net
References
1. Waugh JM, Clagett OT. Resection of the duodenum and head of the pancreas for carcinoma. An analysis of thirty cases. Surgery 1946; 20:224-32. [PMID:20994806]
2. Jang JY, Kim SW, Pank SJ, Park YH. Comparison of the functional outcome after pylorus preserving pancreaticoduodenectomy: Pancreatogastrostomy and pancreaticojejunostomy. World J Surg 2002; 26:366-71. [PMID:11865376]
3. Phillips M, Lordan JT, Menezes N, Karanjia ND. Feeding patients following pancreaticoduodenectomy: a UK national survey. Ann R Coll Surg Engl 2009; 91:385-8. [PMID:19409147]
4. Ganong WF. Regulations of gastrointestinal function. Review of Medical Physiology. New York: The McGraw-Hill Companies, 2005; 22:26.
5. Leach SD, Modlin IM, Scheele GA, Gorelick FS. Intracellular Activation of Digestive Zymogens in Rat Pancreatic Acini, The Journal of Clinical Investigation 1991; 87:362-6. [PMID:1985109]
6. Pikarsky AJ, Muggia-Sullam M, Eid A, Lyass S, Bloom AL, Durst AL, Shiloni E. Pancreaticogastrostomy after pancreatoduodenectomy; A retrospective study of 28 patients. Arch Surgery 1997; 132:96-299. [PMID:9125031]
7. Figarella C, Miszczuk-Jamska B, Barret AJ. Possible lysosomal activation of pancreatic zymogens: activation of both human trypsinogens by cathepsin B and spontaneous acid activation of human trypsinogen 1. Biol Chem Hoppe-Seyler 1998; 369:293-298. [PMID:3202969]
8. Ohmuraya M, Yamamura K. Autophagy and acute pancreatitis: a novel autophagy theory for trypsinogen activation. Autophagy 2008; 4:1060-1062. [PMID:18776738]
9. Van Acker GJ, Perides G, Steer ML. Co-localisation theory: a mechanism for the intrapancreatic activation of digestive enzymes during the early phases of acute pancreatitis. World J Gastroenterol 2006; 12:1985-90. [PMID:16610045]