CASE REPORT
JOP. J Pancreas (Online) 2014 July 28; 15(4):385-387.
Intestinal Obstruction by a Pancreatic Bezoar: A Case Report
Margherita Luperto1, Matteo Maternini1, Arianna Ciravegna1, Luca Degrate1, Giulia Lo Bianco1, Stefano Zanella2, Fabrizio Romano1, Luca Gianotti1
1Department of Surgery and Translational Medicine, Milano-Bicocca University and 2Department of Pathology; San Gerardo Hospital, Monza, Italy
ABSTRACT
Context Pancreatic pseudocysts are relatively common complications of pancreatitis. A pseudocyst can result from an episode of acute pancreatitis, exacerbation of chronic pancreatitis, or trauma. Treatment is indicated for persistent, symptomatic pseudocysts and in the case of related complications. Case report We describe the case of a 66-year-old man who referred to our department for bowel obstruction caused by a necrotic pancreatic bezoar occurring 16 days after the patient underwent a jejunal-pseudocyst anastomosis performed to treat a post-pancreatitis voluminous pseudocyst obstructing the gastric outlet. Conclusion In case of intestinal obstruction after a jejunal-pseudocyst anastomosis, pancreatic bezoar should be considered in the armamentarium of the differential diagnosis.
INTRODUCTION
Pancreatic pseudocysts can occur after an episode of acute pancreatitis, exacerbation of a chronic gland inflammation, or pancreatic trauma [1]. A pseudocyst is defined as a collection and organization of pancreatic fluid, rich in enzymes, enclosed by a wall of fibrous or granulation tissue without epithelium.
The rate of pseudocyst formation is low (1.6-4.5%) and it tends to be more common in chronic pancreatitis (40%) as compared to acute pancreatitis (15%) [2].
The most frequent acute complications of pseudocysts are splenic haemorrhage, infarction, splenic vein thrombosis [3], spleen rupture, biliary and portal hypertension, and sepsis for over infection of the content. Gastric and biliary obstruction is among the most frequent chronic complications [1].
CASE REPORT
A 66-year-old man, known for recurrent episodes of acute biliary pancreatitis, was admitted at our Emergency Department with continuous moderate abdominal pain lasting since several days.
Cholecystectomy and endoscopic biliary sphincterotomy were already performed in 2004 during a hospital admission for a similar clinical scenario.
Laboratory exams showed an upper limit of normal range of neutrophilic leukocytes, amylasemia, reactive C protein and procalcitonin.
An abdominal CT scan revealed a necrotic infarction of the body and tail of the pancreas with a collection (16 cm x 9 cm) of fluid and gas bubbles both in the peripancreatic area and bilaterally in the context of the Gerota's fascia. This collection determined a gastric compression.
On admission the patient was treated with antibiotic therapy with imipenem.
A naso-jejunal tube was placed to allow early feeding. He was discharged after 18 day, after a CT scan control that showed a dimensional decrease con pancreatic pseudocysts (13 cm x 7 cm).
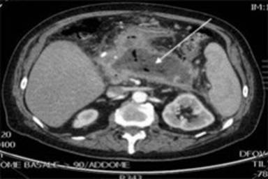
Three months later the patient was admitted to our Department with anorexia and repeated episodes of vomiting. A contrast-enhanced abdominal CT scan showed a voluminous pancreatic pseudocyst [1] occluding the stomach lumen and a pylethrombosis (Figure 1).

|
Figure 1. Voluminous pseudocyst (arrow) compressing the stomach, associated to splenic vein thrombosis |
After a multi-disciplinary team discussion, the patient underwent an endoscopic procedure with the attempt of an ultrasound-guided intragastric drainage of the pseudocyst. Since the procedure failed the patient was candidate to an explorative laparotomy during which the pseudocyst was partially emptied from the necrotic content, and a Roux-en-Y jejunal-pseudocyst anastomosis was performed. Post-operative course was uneventful and the patient was discharged 14 days after surgery.
Two days after discharge the patient re-entered our Emergency Department complaining of acute abdominal pain in the left lower quadrant of the abdomen, nausea and vomiting. Laboratory examinations showed only levels of blood lactate over the upper range.
On physical examination of the abdomen no rebound tenderness was found, bowel sounds were normal and there was no evidence of abdominal masses.
A plain abdominal X ray showed air-fluid levels in some dilated small intestine loops.
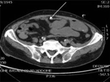
A contrast-enhanced abdominal CT scan showed a stenosis of the small bowel (Figure 2). We decided for an explorative laparotomy. During the procedure we observed no free fluid or blood; there were some loose visceral adhesions and no signs of mesenteric ischemia.

|
Figure 2. Stenosis of the small bowel (arrow). |
An obstructing mass (3 by 6 cm) was found in the mid portion of the ileum (Figure 3). The bulky, solid, brownish, hemorrhagic-like mass was removed through a longitudinal enterotomy and sent for histology.

|
Figure 3. Bezoar removed through an enterotomy. |
The pathological exam identified the mass as a bezoar made up of roughly organized fibro-inflammatory tissue, containing bands of hyalinized collagen, strands of fibrin, necrotic debris and groups of bacteria. A peculiar finding was the presence of several amorphous crystals, diffusely distributed, which may have come from the drainage of the content of the pseudocyst (Figure 4a, 4b).

|
Figure 4. A) H&E sections show a carpet of red blood cells, fibrin, necrotic tissue and cellular debris, without evidence of epithelial elements (H&E, 20x). B) Some areas of the slide exhibit imprints of amorphous crystals (H&E, 100x). |
The postoperative period was uneventful and the patients were discharged after 15 days.
DISCUSSION
Asymptomatic pseudocysts can be managed conservatively although spontaneous resolution has been demonstrated to occur from 75 to 95% of the cases of acute pancreatitis, and in about 60 % of the cases of chronic pancreatitis [4].
In symptomatic patients, a careful radiologic work-up by CT scan or magnetic resonance are required to indentify the anatomical rapports with other organs because the type of management depends on the location of the pseudocyst. Endoscopic drainage into the stomach under ultrasonographic guidance should be the first choice [5-7]. Despite surgical approach to the treatment of pancreatic pseudocysts is associated with a high incidence of postoperative pancreatic and infectious complications [8], surgical enteric drainage is preferable for giant pseudocysts or for those not amenable to endoscopic drainage. Percutaneous drainage is rarely appropriate for pseudocysts resulting from chronic pseudocysts [1].
Bezoars are masses of ingested foreign material commonly found in the stomach in patients with psychiatric problems or a history of gastrectomy, pyloroplasty, gastroenterostomy and Whipple’s procedure [9-11]. They can be classified on the basis of their composition (trichobezoar and phytobezoar composed of hair and fruit and vegetable fibres respectively). Bezoars represent the fifth most frequent cause of acute small bowel obstruction ranging between 0.4 and 4% [12].
In general, in case of intestinal obstruction by a bezoar, it should be manually broken and advanced thought the cecum. In case of failure of this maneuver, an enterotomy and extraction followed by the examination of the entire gastrointestinal tract due to the elevated incidence of multiple bezoars is recommended [9].
To the best of our knowledge, this is the second case [13] reported in the English literature of small bowel occlusion due to a pancreatic bezoar after a jejunal-pseudocyst anastomosis.
CONCLUSION
It is important to consider this very unusual possibility of bowel obstruction after this type of operation. It seems essential to perform an accurate removal of the necrotic tissue of the pseudocysts before performing an anastomosis with the gut to prevent its content migration into the bowel.
Received May 15th, 2014 – Accepted May 28th, 2014
Key words Bezoars; Intestinal Obstruction; Pancreas; Pancreatic Pseudocyst; Pancreatitis
Conflicts of interest The authors have no potential conflicts of interest.
Correspondence
Luca Gianotti
Department of Surgery
San Gerardo Hospital
Via Pergolesi 33
20900 Monza
Italy
Phone: +39-039.233.2391
Fax: +39-039.233.3652
E-mail: luca.gianotti@unimib.it
References
1. Habashi S, Draganov P. Pancreatic pseudocyst. World J Gastroenterol. 2009; 15: 38-47. [PMCID:PMC2653285]
2. Behrns KE, Ben David K. Surgical Therapy of Pancreatic Pseudocysts. J Gastrointest Surg. 2008; 12: 2231-2239. [PMID:18461418]
3. Ungania S, Panocchia N. Splenic artery rupture in pancreatic pseudocyst. Ann Ital Chir 2000; 71: 251-255. [PMID:10920499]
4. Cannon JW, Callery MP, Vollmer CM Jr. Diagnosis and Management of Pancreatic Pseudocysts: What is the Evidence. J Am Coll Surg. 2009; 209: 385-393. [PMID:19717045]
5. Seicean A, Stan-Iuga R, Badea R, Tantau M, Mocan T, Seicean R, Iancu C, et al. The Safety of Endoscopic. Ultrasonography Guided Drainage of Pancreatic Fluid Collections Without Fuloroscopic Control: a Single tertiary Center Experience. J Gastrointestin Liver Dis. 2011; 39-45. [PMID:21451796]
6. Sadik R, Kalaitzakis E, Thune A, Hansen J, Jonson C. EUS guided drainage is more successful in pancreatic pseudocyst compared with abscesses. World J Gastroenterol. 2001; 17: 499-505. [PMID:21274380]
7. Dohmoto M, Rupp KD. Endoscopic management of pancreatic pseudocysts. Diagn Ther Endosc. 1994; 1: 29-35. [PMID:18493338]
8. Ito K, Perez A, Ito H, Whang EE. Pancreatic pseudocyst: is delayed surgical intervention associated with adverse outcomes? J Gastrointest Surg. 2007; 11: 1317-1321. [PMID:17674114]
9. Shapiro PD, Babbin G, Matolo NM. Phytobezoar and obstruction of the small intestine following gastrectomy. West J Med 1976; 124: 506-508. [PMID:936604]
10. Rogers L, Davis E, Harle T. Phytobezoar formation and food boli following gastric surgery. Am J Roentgenol Radium Ther Nucl Med 1973; 119: 280-290. [PMID:4748215]
11. Wapnick S, Solowiejczyk M. Bezoar formation after vagotomy and pyloroplasty. Int Surg 1974; 59: 241-242. [PMID:4831430]
12. Tayeb M, Khan FM, Raul F, Khan MM. Phytobezoar in a jejunal diverticulum as a cause of small bowel obstruction: a case report. J Med Case Rep. 2011; 5: 482. [PMID:21951579]
13. Katras T, Stein M. Mechanical intestinal obstruction from pseudocyst bezoar following internal drainage of traumatic pancreatic pseudocyst. J Trauma. 1988; 28: 1406-7. [PMID:3418772]