CASE REPORT
JOP. J Pancreas (Online) 2014 July 28; 15(2):383-384.
Pancreatic Encephalopathy: An Unusual Cause of Asterixis
Vishal Sharma, Ravi Sharma, Surinder S Rana, Deepak K Bhasin
Department of Gastroenterology, PGIMER, Chandigarh, India
ABSTRACT
Context Pancreatic encephalopathy is the occurrence of neuropsychiatric abnormalities in setting of acute pancreatitis which is not otherwise explained by presence of electrolyte abnormities, or organic lesions. The pathogenesis of pancreatic encephalopathy is incompletely understood. The clinical presentation is variable. Case report A 60 year old male, a diabetic for 5 years, was admitted with three days of abdominal pain associated with vomiting and complicated by altered sensorium for one day. He developed asterixis during the course of his hospital stay. Other workup was non-contributory and patient improved with supportive management. Conclusion Asterixis has not hitherto been reported in pancreatic encephalopathy.
INTRODUCTION
Asterixis, the flapping tremor, is a manifestation of inattention and is characterised by an inability to maintain sustained voluntary muscle contraction [1]. Truly speaking asterixis is not a tremor but an inverse myoclonus signifying a defect in motor control. It was first described with hepatic encephalopathy. The usual causes are related to metabolic encephalopathy (like hepatic failure, renal failure or hypercarbia), dyselectrolytemia, drug intoxication and occasionally brain ischemia or haemorrhage [1]. It has not previously been reported in pancreatic encephalopathy.
CASE REPORT
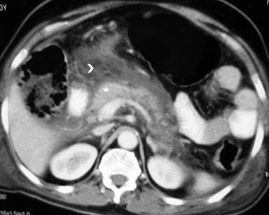
A 60 year old male, a diabetic for 5 years, was admitted with three days of abdominal pain associated with vomiting and complicated by altered sensorium for one day. The diagnosis of acute pancreatitis was made as patients had elevated serum amylase (1980 IU/L, Normal 60-180 IU/L) and computed tomography done on fifth day revealed diffusely bulky pancreas with evidence of peripancreatic necrosis and fluid collection (Figure 1). The patient was a non-smoker and non-alcoholic. He had been on Metformin 2 grams daily for previous three years and had no evidence of microvascular or macrovascular complication. His body mass index was 28.6 (overweight). The evaluation for aetiology was non-contributory: his serum triglyceride, calcium profile and intact parathormone levels and ultrasound abdomen for gall stones were non-contributory. The patient was shifted to intensive care unit and managed with fluid resuscitation and administration of inhalational oxygen for acute lung injury. Initially the patient had a Glasgow Coma scale score of 10 (E2V3M5). The muscle tone was normal, and deep tendon reflexes were normal and plantars flexor. Over next 24 hours the sensorium of the patient improved from the initial delirium to drowsy but arousable state. At this time the patient was noted to have asterixis (Video 1). The muscle tone was normal, bilateral plantars were flexors and the deep tendon reflexes remained normal. The workup for cause of asterixis including PaCO2 (34 mm of Hg), kidney function tests (blood urea: 34 mg/dL, normal: 8-42 mg/dL; serum creatinine: 0.7 mg/dL, normal: 0.3-1.3 mg/dL) and arterial ammonia levels (24 µmol/L, normal:11-35 µmol/L), electrolytes (serum Na: 139 mEq/L, serum K: 3.8 mEq/L, serum Ca: 8.9 mg/dL, serum phosphate: 3.8 mg/dL, serum Mg: 2.1 mg/dL) and blood sugars were normal (134 mg/dL). MRI of the brain was normal and the EEG revealed diffuse slowing of theta range consistent with diffuse encephalopathy. Examination of cerebrospinal fluid showed no white cells and normal sugars and proteins (74 mg/dL and 25 mg/dL, respectively). Asterixis improved over next three days. The patient had transient acute lung injury which improved over 48 hours and the patient was discharged after 20 days of hospitalisation.

|
Figure 1. Abdominal computed tomography showing an enhancing pancreas (star) with peripancreatic necrosis (arrowhead). |
DISCUSSION
Asterixis may indicate a metabolic or structural brain disease but it has no localising value [2-5]. We ruled out usual causes of asterixis in our patient. To the best of our literature search asterixis has not been previously described with pancreatic encephalopathy. Pancreatic encephalopathy is an uncommon and incompletely understood complication associated with acute pancreatitis. The diagnosis is that of exclusion and needs elimination of alcohol withdrawal, Wernicke’s encephalopathy, dyselectrolytaemia, and other metabolic causes like hypoxemia and renal failure. Believed to occur early in the course of disease, pancreatic encephalopathy is associated with neuropsychiatric symptoms like confusion, disorientation, altered consciousness, hallucinations, agitation, apathy, aphasia, dysarthria and convulsions etc [4]. Physical findings may have features of upper motor neuron lesion which was not seen in our patient. The pathogenesis of encephalopathy in acute pancreatitis is multifactorial; interactions of cytokine storm, increased entry of pancreatic enzymes into the central nervous system, haemodynamic dysfunctions, lung and kidney injury, dyselectrolytemia and infectious complications may all contribute [3, 5]. Pancreatic encephalopathy has been associated with diffuse white matter changes but brain imaging can be normal [2]. The MRI brain was normal in our patient. Our patient had confusion and altered sensorium at presentation and was noted to have flaps which persisted for three days. The present case is reported as asterixis in a patient with pancreatic encephalopathy, this has hitherto not been described.
Received April 22nd, 2014 – Accepted May 19th, 2014
Key words Brain Diseases, Metabolic; Dyskinesias; Pancreatitis
Conflict of Interest The authors did not report any potential conflicts of interest
Correspondence
Vishal
Sharma
Department of Gastroenterology
PGIMER
Chandigarh, India
Phone: +91-950.101.3399
Fax: +91-172.274.4401
E-mail: docvishalsharma@gmail.com
References
1. Gokula RM, Khasnis A. Asterixis. J Postgrad Med. 2003; 49: 272-275.
2. Bartha P, Shifrin E, Levy Y. Pancreatic encephalopathy- a rare complication of a common disease. Eur J Intern Med. 2006; 17: 382. [PMID:16864023]
3. Lu XS, Qiu F, Li YX, Li JQ, Fan QQ, Zhou RG. Effect of lower-molecular weight heparin in the prevention of pancreatic encephalopathy in the patient with severe acute pancreatitis. Pancreas. 2010; 39: 516-519. [PMID:20104197]
4. Sharf B, Bental E. Pancreatic encephalopathy. J Neurol Neurosurg Psychiatry. 1971; 34: 357-361. [PMID:5315218]
5. Zhang XP, Tian H. Pathogenesis of pancreatic encephalopathy in severe acute pancreatitis. Hepatobiliary Pancreat Dis Int. 2007; 6: 134-140. [PMID:17374570]