MULTIMEDIA ARTICLE
JOP. J Pancreas (Online) 2014 May 27; 15(3):276-277.
An Unusual Complication of Acute Necrotising Pancreatitis Detected by Endoscopic Ultrasound
Surinder Singh Rana, Vishal Sharma, Ravi Sharma, Deepak K Bhasin
Department of Gastroenterology, Post Graduate Institute of Medical Education and Research (PGIMER), Chandigarh, India
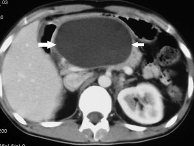
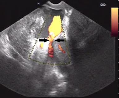
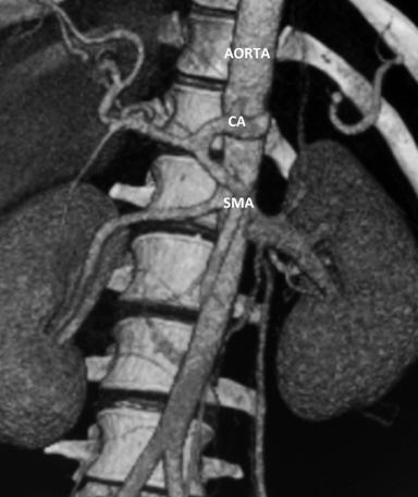
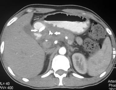
A 32 year old male patient diagnosed as alcohol related acute necrotising pancreatitis (ANP) 2 months ago, now presented with abdominal pain and early satiety. Contrast enhanced computerized tomography (CECT) showed 12 cm walled off pancreatic necrosis (WOPN) (Figure 1). Endoscopic ultrasound (EUS) revealed large WOPN and power doppler revealed vascularity in collection with pulsatile flow suggestive of blood leaking into collection (Figure 2). However, no abnormal vessel or pseudoaneurysm could be identified. CT angiography (CTA) also showed normal major abdominal arteries (Figure 3). Since patient was symptomatic, after informed consent EUS guided transmural drainage was attempted. Now there was no vascularity in collection and procedure was successfully accomplished. A 7 Fr nasocystic drain (NCD) was inserted and it drained purulent material. Patient had marked symptomatic relief but 6 hours later had severe pain and hematemesis with blood coming through NCD also. CTA revealed blood in WOPN but no abnormal bleeding vessel was identified (Figure 4). Digital subtraction angiography (DSA) also did not reveal any abnormal or bleeding vessel. The patient was managed with blood transfusion and NCD was kept patent by intermittent flushing. The bleeding subsided and the effluent from NCD cleared in 48 hours. The NCD was replaced with 10 Fr pigtail stents and CT abdomen done 3 weeks later revealed resolution of WOPN (Figure 5). The patient has been asymptomatic over a follow up period of 13 months.
Gastrointestinal bleeding is rare but potentially lethal complication of acute pancreatitis as well as of transmural drainage of pancreatic collections [1, 2, 3]. CTA is the most common procedure used to detect pseudoaneurysms but it can miss them if they are small or bleeding is intermittent and slow because of compression by collection [4, 5]. In these situations, EUS can help in detecting this potentially catastrophic complication of pancreatitis.

|
Figure 1. Large WOPN (arrow). |

|
Figure 2. EUS: Power Doppler showing vascularity in collection. The blood can be seen leaking into collection (arrow). |

|
Figure 3. CTA: normal major abdominal arteries (CTA: CT angiography; CA: Celiac axis; SMA: Superior Mesenteric Artery). |

|
Figure 4. Hyperdense contents suggestive of blood seen in the collection (black arrow). NCD also seen in the collection (white arrow). |

|
Figure 5. CT: Resolved WOPN with transmural stents seen in the cavity (arrow). |
Received April 22nd, 2014- Accepted April 25th, 2014
Key words Endosonography; Pancreatitis, Acute Necrotizing /complications
Conflict of Interest The authors have no potential conflict of interest.
Correspondence
Surinder Singh Rana
Department of Gastroenterology- PGIMER
Chandigarh
160 012
India
Phone: +91-172-2749123
Fax: +91-172-2744401
E-mail: drsurinderrana@yahoo.co.in
References
1. Balthazar EJ, Fisher LA. Hemorrhagic complications of pancreatitis: radiologic evaluation with emphasis on CT imaging. Pancreatology 2001; 1:306-313. [PMID: 12120209]
2. Rana SS, Bhasin DK, Rao C, Gupta R, Singh K. Non-fluoroscopic endoscopic ultrasound-guided transmural drainage of symptomatic non-bulging walled-off pancreatic necrosis. Dig Endosc. 2013; 25:47-52. [PMID: 23286256]
3. Bhasin DK, Rana SS, Sharma V, et al. Non-surgical management of pancreatic pseudocysts associated with arterial pseudoaneurysm. Pancreatology. 2013; 13:250-253. [PMID: 23719596]
4. Perez C, Launuger J, Pallarbo Y, Sanchis E, JM S. Radiological diagnosisn of pesudoaneurysm complicating pancreatitis. Eur J Radiol 1993; 16:102-106. [PMID: 8462572]
5. Zhou LY, Xie XY, Chen D, Lü MD. Contrast-enhanced ultrasound in detection and follow-up of pancreaticoduodenal artery pseudoaneurysm: a case report. Chin Med J (Engl). 2011; 124:2792-2794. [PMID: 22040446]