CASE REPORT
JOP. J Pancreas (Online) 2014 July 28; 15(4):407-410.
Dynamic Contrast-Enhanced MRI Findings of Acute Pancreatitis in Ectopic Pancreatic Tissue: Case Report and Review of the Literature
Senthur J Thangasamy1, Larry Zheng1, Lacey McIntosh1, Paul Lee2, Abhijit Roychowdhury1
Departments of 1Radiology and 2Pathology, University of Massachusetts Memorial Medical Center. Worcester, MA, USA
ABSTRACT
Context Acute pancreatitis in ectopic pancreatic tissue is an uncommon cause of acute abdominal pain and can be difficult to diagnose on imaging. Our aim is to raise awareness and aid in the diagnosis of this entity by highlighting helpful dynamic contrast-enhanced MRI imaging findings. Case report We report a 51-year-old man with acute onset epigastric pain presented to ER. With the presence of elevated serum lipase, the clinical diagnosis of acute pancreatitis was made. Contrast enhanced CT demonstrated normal pancreas and a focal mass at the duodenojejunal flexure, mimicked a neoplasm. Subsequent dynamic contrast enhanced MR images demonstrated enhancement pattern of the lesion similar to the native pancreatic tissue enhancement, a finding raised the possibility of acute pancreatitis in ectopic pancreatic tissue, but tumor was not excluded. Finally, patient undergone surgical bowel resection including the suspected mass that was proved as an ectopic pancreatic tissue on microscopic examination. Conclusion We concluded that findings on dynamic contrast enhanced MR imaging can be characteristic and diagnostic of acute pancreatitis in ectopic pancreatic tissue in the appropriate clinical setting.
INTRODUCTION
Acute pancreatitis is the most common gastro-intestinal causes of acute hospitalization in the United States [1]. Acute pancreatitis is a clinical diagnosis, usually made on history, physical exam findings and correlation with biochemical markers such as elevated amylase and lipase [2].
Even in the setting of elevated serum pancreatic enzymes and clinical findings of acute pancreatitis, the pancreas may appear normal in CT imaging in very early, non necrotizing pancreatitis i.e. Balthazar grade A acute pancreatitis [3].The sensitivity of CT and MRI in detection of severe acute pancreatitis is 78% and 91% respectively [4, 5]. In such a situation, it is also important to consider the possibility of acute pancreatitis in ectopic pancreatic tissue since the incidence ectopic pancreas is up to 14% at autopsy [6]. Awareness of this entity and knowledge of pertinent imaging findings will aid in detecting this uncommon diagnosis and differentiating it from other mimickers such as submucosal tumors. Thereby, an appropriate initial conservative management can be performed without misdirection towards surgery or biopsy.
At our institution, encountered a case of acute pancreatitis in ectopic pancreas located in the jejunum with imaging features identical to a submucosal tumor. Here, we have described our case, reviewed relevant literature, and discussed the radiologic findings which are helpful to diagnose this condition.
CASE REPORT
A 51-year-old male presented in the emergency department with acute onset of epigastric pain, radiating to both flanks. Past medical history was significant for hypertension, hypercholesterolemia, hypertriglyceridemia, and coronary artery disease status post stent placement. Social history was significant for tobacco use and alcohol abuse. On physical examination, the abdomen was distended eliciting mild diffuse tenderness. Serum lipase was elevated at 177 U/L (reference range: 0-50 U/L), rise in serum aspartate transaminase at 123 U/L (reference range: 10-40 U/L) and rise in serum alanine transaminase at 196 U/L (reference range: 10-40 U/L). The clinical diagnosis of acute pancreatitis was made and decided to perform CT study.
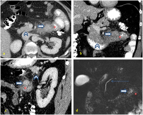
In the ER, CT examination was performed on a 256-slice dual source scanner (SOMATOM Definition Flash, Siemens Medical Solution). Contrast-enhanced CT in venous phase (80 sec delay) was done after intravenous administration of 80 cc of Omnipaque 300 (iohexol with iodine content of 300 mg/mL). The datasets were reconstructed with slice-thickness of 5mm in axial, coronal and sagittal planes. The images demonstrated a focal mass measuring 2.5 x 2.8 cm, located at the duodenojejunal flexure and separate from normal appearing pancreatic body (Figure 1a-c). Additionally, there was focal, moderate jejunal wall thickening and adjacent mesenteric fat stranding. The constellation of these findings suggested a submucosal tumor or jejunal diverticulitis.

|
Figure 1. Contrast-enhanced CT in portal venous phase (a-c) shows a jejunal mass (block arrow) with density similar to the normal native pancreatic density (arrowhead). Note the adjacent edematous thick wall duodenum and proximal jejunum. (d) MRCP demonstrates the relation between native pancreas (thin long arrow-main pancreatic duct) and ectopic pancreas near the duodenojejunal flexure. No accessory duct was demonstrated in this case. Jejunum is marked as¶. |
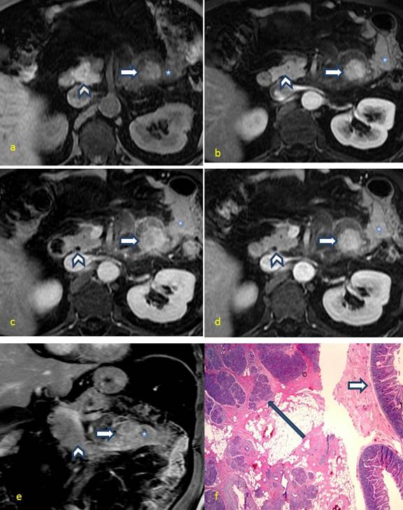
With the given atypical findings, it was decided to perform MRI study with MRCP sequences. On the next day after CT, the MR examination was done on a 1.5T system (MR Signa EXCITE, GE Healthcare). MRCP sequence radial SSFE, coronal 2DSSFE with fat-sat and 3D FSE; then, axialT2-weighted FSE (7/8 mm; 80 and 160 TEs), axial and coronal FIESTA (5mm/0gap), axial eDWI (7mm/0gap), axial LAVA Flex in-phase and out-phase (5mm/0gap) and dynamic contrast-enhanced axial LAVA Flexin early arterial (triggered at right atrium), 30 sec, 1 min and 3 min(5mm/0gap) followed by coronal in 5 minutes after intravenous contrast injection (18 cc of Multihance; gadobenate dimeglumine 0.1 mmol/kg) were performed. All these sequences were done during breath-hold except axial T2-weighted and 3D FSE MRCP which were performed with respiratory trigger. These images revealed a 2.5 x 2.8 cm focal mass at the duodenojejunal flexure which mimicked the signal intensity of the adjacent normal pancreatic parenchyma in all sequences, suggesting ectopic pancreatic tissue (Figure 2a-e). The presence of surrounding fat stranding, normal adjacent pancreas, and a clinical diagnosis of acute pancreatitis raised the possibility of acute ectopic pancreatitis. Immediate surgery was potentially avoided and treated with conservative management for acute pancreatitis until symptoms subsided.

|
Figure 2. Dynamic contrast-enhanced MR images performed before IV contrast, early arterial, 30 sec, 1 minute and 3 minutes after IV contrast administration. (a-d) A jejunal mass (block arrow) near the duodenojejunal flexure shows enhancement nearly similar to the normal native pancreas (arrow head).(e) MRI coronal image 3 minutes after contrast injection demonstrates the relationship of ectopic pancreatic tissue to jejunum and native pancreas. (f) Low power view of the jejunal mass biopsy shows dark purple stained pancreatic acini (long arrow) and ducts within the submucosal layer of jejunum and also shows intestinal villi with glands (short arrow) on the pink stained muscularis mucosa. These findings confirm the ectopic location of the pancreatic tissue within the jejunal wall. Jejunum is marked as¶. |
Additionally, an upper endoscopy was performed 3 days after the MRI study by gastroenterologist and identified the corresponding lesion which demonstrated erythema, edema, and granularity of the mucosa at duodenojejunal flexure along with finding suggestive of extra luminal process. Nearly 2 months after the initial ER admission, the patient had undergone surgical wedge resection of the jejunal mass. Gross examination of operative specimen showed 3.0 x 2.2 x 1.0 cm soft tissue fragment between serosa and mucosa on either side. The cut surface of the mass was lobulated tan/yellow tissue within the muscularis propria and submucosa.
DISCUSSION
Ectopic pancreatic tissue is defined as presence of pancreas tissue outside the anatomic location of the pancreas without any anatomic continuity or vascular connection [7]. This pancreatic tissue has its duct which drains into the adjacent bowel. The incidence ectopic pancreas is varies from 0.55% to 14% at autopsy [6]. The most common location of ectopic pancreatic tissue is around the pancreas (86%) like duodenum, stomach especially prepyloric antrum, and proximal jejunum [8]. It can also be seen in the ileum and Meckel’s diverticulum.
Individuals with ectopic pancreatic tissue are usually asymptomatic and it is discovered incidentally at surgery or autopsy. When symptomatic, patients tend to experience symptoms in the 4-6th decades [9]. The most common symptoms are abdominal pain, GI bleeding, and obstruction. However, this tissue can also present with any complications occurring in the native pancreatic tissue, such as pancreatitis, as seen in our case. The reported complications are acute pancreatitis, pseudocyst, benign and malignant neoplasm [10-12].
Imaging findings may be confusing or misleading related to the presence of secondary changes from acute or chronic pancreatitis, as in our case, where the morphology most closely resembled a submucosal tumor. Ectopic pancreatic tissue has been well described in the literature on barium examinations as a smooth, elevated mucosal/sub mucosal lesion with central umblication. There can be central linear barium filling the duct, which opens into the bowel lumen [8, 13].
Both CT and MRI are good imaging modalities especially with the high index of suspicion in a patient presenting with acute abdominal pain and biochemical evidence of elevated pancreatic enzyme. Most often and in acute ED settings, CT will be the first imaging modality to evaluate this entity. The contrast enhancement of ectopic pancreatic tissue is depends on the predominance of pancreatic acini which tends to enhance well and similar to normal pancreas. On the other hand, it enhance to a lesser degree if it composed of predominantly duct and smooth muscles [14].
If the location of the heterotopic pancreatic tissue is extra-luminal and within the mesentery, the detection and diagnosis of this lesion by endoscopic visualization and tissue sampling is limited. In such situations, cross sectional imaging is helpful.
The most common CT finding of ectopic pancreas is a well-defined round bowel lesion with density and enhancement similar to the normal pancreas [13, 14]. Sometimes, the presence of pancreatic pseudocyst in an unusual location can be a clue to this uncommon diagnosis. Although rare, the presence of umblication in the luminal surface of the submucosal lesion can be helpful.
MR imaging contribute the diagnosis of ectopic pancreatic tissue presenting with complication. The signal intensity of ectopic pancreas is isointense to normal pancreas on T1, T2, DWI and DCE images in vast majority of cases and almost always in arterial phase (100%) [6]. MRCP is highly sensitive for identification of fluid containing structures such as an ectopic duct. Ectopic pancreatic tissue can be diagnosed by identifying a duct from a mesenteric or bowel mass draining into the bowel lumen [10, 13].
The most important differential diagnoses of ectopic pancreas are GIST and other submucosal bowel tumors like neurogenic, carcinoid and glomus tumor. The signal intensity of GIST is low on T1, high on T2 and DWI images [8] and differs from normal pancreatic tissue signals.
CONCLUSION
Ectopic pancreas presenting as acute pancreatitis is an unusual, but an existing entity. Awareness and knowledge of expected findings are key factors in diagnosing this condition, especially in patients with a clinical diagnosis of acute pancreatitis and normal appearing pancreas on cross sectional imaging. CT and MRI plays significant role in diagnosis of this entity. Findings on dynamic contrast enhanced MR imaging, with the aid of MRCP sequences, can be characteristic and diagnostic in the appropriate clinical setting.
Received April 3rd, 2014 – Accepted June 13th, 2014
Key words Choristoma; Magnetic Resonance Imaging; Pancreas; Pancreatitis, Acute Necrotizing
Correspondence
Senthur J Thangasamy
Department of Radiology
University of Massachusetts Memorial Medical Center
Worcester,
Massachusetts
USA
Phone +1-508.334.1000
Fax: +1-774.442-3785
E-mail: senthur.thangasamy@umassmemorial.org;
senthurjey@gmail.com
References
1. Peery AF, Dellon ES, Lund J, Crockett SD, McGowan CE, Bulsiewicz WJ, Gangarosa LM et al. Burden of gastrointestinal disease in the United States: 2012 update. Gastroenterology. 2012; 143: 1179-1187. [PMID:22885331]
2. Tenner S, Baillie J, DeWitt J, Vege SS, Vege SS. American College of Gastroenterology guideline: management of acute pancreatitis. Am J Gastroenterol. 2013; 108: 1400-15; 1416. [PMID:23896955]
3. Arvanitakis M, Delhaye M, De Maertelaere V, Bali M, Winant C, Coppens E, Jeanmart J, Zalcman M, Van Gansbeke D, Devière J, Matos C. Computed tomography and magnetic resonance imaging in the assessment of acute pancreatitis. Gastroenterology. 2004; 126: 715-23. [PMID:14988825]
4. London NJ, Neoptolemos JP, Lavelle J, Bailey I, James D. Serial computed tomography scanning in acute pancreatitis: a prospective study. Gut. 1989; 30: 397-403. [PMID:2651228]
5. Balthazar EJ, Ranson JH, Naidich DP, Megibow AJ, Caccavale R, Cooper MM. Acute Pancreatitis: prognostic value of CT. Radiology. 1985; 156: 767-72. [PMID: 4023241]
6. Lai EC, Tompkins RK. Heterotopic pancreas. Review of a 26 year experience. Am J Surg. 1986; 151: 697-700. [PMID:3717502]
7. Wong JC, Robinson C, Jones EC, Harris A, Zwirewich C, Wakefield R, Simons RK, Yoshida EM. Recurrent ectopic pancreatitis of the jejunum and mesentery over a 30-year period. Hepatobiliary Pancreat Dis Int. 2011; 10: 218-20. [PMID:21459732]
8. Jang KM, Kim SH, Park HJ, Lim S, Kang TW, Lee SJ, Choi D. Ectopic pancreas in upper gastrointestinal tract: MRI findings with emphasis on differentiation from submucosal tumor. Acta Radiol. 2013; 54: 1107-16. [PMID:23858505]
9. DeBarbosa Castro JJ, Dockerty MB, Waugh JM. Pancreatic heterotopia. Review of the literature and report of 41 authenticated surgical cases, of which 25 were clinically significant. Surg Gynecol Obstet. 1946; 82: 527-542.
10. Lee JC, Wong KP, Lo SS, Cheng CS, Lau KY. Acute ectopic pancreatitis. Hong Kong Med J. 2008; 14: 501-2. [PMID:19060354]
11. Rokach A, Izbicki G, Deeb M, Bogot N, Arish N, Hadas-Halperen I, Azulai H, Bohadana A, Golomb E. Ectopic pancreatic pseudocyst and cyst presenting as a cervical and mediastinal mass-case report and review of the literature. Diagn Pathol. 2013; 8: 176. [PMID:24152726]
12. Ginori A, Vassallo L, Butorano MA, Bettarini F, Di Mare G, Marrelli D. Pancreatic adenocarcinoma in duodenal ectopic pancreas: a case report and review of the literature. Pathologica. 2013; 105: 56-8. [PMID:23946982]
13. Silva AC, Charles JC, Kimery BD, Wood JP, Liu PT. MR Cholangiopancreatography in the detection of symptomatic ectopic pancreatitis in the small-bowel mesentery. AJR Am J Roentgenol. 2006; 187: W195-7. [PMID:16861511]
14. Park SH, Han JK, Choi BI, Kim M, Kim YI, Yeon KM, Han MC. Heterotopic pancreas of the stomach: CT findings correlated with pathologic findings in six patients. Abdom Imaging. 2000; 25: 119-23. [PMID:10675449]