CASE REPORT
JOP. J Pancreas (Online) 2014 May 27; 15(3):269-273.
Concurrent Pancreatic Head and Tail Arteriovenous Malformations in a 40-Year-Old Gentleman: The First Published Report
Asma Alnajjar1, Ahmed Abu-Zaid1,2, Dina A Al-omem3, Daniah S Aloufi4, Ayman Azzam2,5, Tarek Amin2
1College of Medicine,
Alfaisal University, Riyadh, Saudi Arabia
2Oncology Center, King Faisal Specialist Hospital and Research
Center, Riyadh, Saudi Arabia
3College of Medicine, Qassim University, Riyadh, Saudi Arabia
4College of Medicine, Taiba University, Madinah, Saudi Arabia
5Faculty of Medicine, Alexandria University, Alexandria, Saudi
Arabia
ABSTRACT
Context Pancreatic arteriovenous malformations (AVMs) are uncommon in the gastrointestinal tract. Less than 100 cases have been identified in the medical literature. Approximately 10% of all pancreatic AVMs are sporadic. Case Report Herein, we report the first documented case of sporadic concurrent pancreatic head and tail AVMs in a 40-year-old gentleman who presented with a 10-day history of epigastric pain and one episode of hematemesis. Patient denied any history of traumatic incidents, cigarette smoking, alcohol abuse, chronic gastric/duodenal ulcer, chronic pancreatitis, chronic hepatic disease, difficulty swallowing, respiratory compromise, or weight loss. Physical examination and laboratory results were unremarkable. Contrast-enhanced computed tomography scan showed two hypervascular masses involving the pancreatic head and tail. The celiac trunk angiogram showed proliferating vascular networks involving the pancreatic head and tail. The superior mesenteric angiogram demonstrated significant vascular contribution to the pancreatic head arteriovenous malformation only. Due to the extreme locations of pancreatic AVMs in the head and tail, surgical resection of both lesions (leaving behind the normal pancreatic body) was not possible. Instead, patient underwent intraoperative irradiation therapy (IORT). During the procedure, patient was surgically operated to retract healthy organs/tissues, and then a single concentrated dose of radiation therapy was precisely applied to both pancreatic head and tail AVM lesions. Patient had an uneventful postoperative recovery and was discharged home on the second postoperative day in stable condition. The patient is to be seen in clinic in a 4-month-period during which patient will be completing a 12-month period of postoperative IORT. Conclusion This is the first documented case of sporadic concurrent pancreatic head and tail AVMs. Angiography is the gold standard diagnostic modality.
INTRODUCTION
Pancreatic arteriovenous malformations (AVM) are uncommon in the gastrointestinal tract [1]. Less than 100 cases have been identified in the medical literature [2]. They can be congenital (90%) or sporadic (10%) in origin [3]. Males are affected more than females [2]. Most pancreatic AVMs arise in the head of the pancreas [2]. They are fatal once portal hypertension and severe gastrointestinal bleeding develop [4].
Several imaging modalities can be used for diagnosing pancreatic AVMS such as angiography, Doppler ultrasonography, magnetic resonance imaging (MRI), and computed tomography (CT) scans [4]. A common characteristic finding of pancreatic AVMs on imaging is their hypervascularity, and hence they are often confused with hypervascular lesions and neoplasms [4, 5]. Managing pancreatic AVMs at an early stage is recommended, because once portal hypertension occurs, it becomes often unresponsive to treatment, even if the entire organ is surgically resected [3, 6, 7]. Management can be achieved through surgical resection of the affected organ [4, 5], irradiation therapy [4, 8], transcatheter arterial embolization [4, 5], vascular ligation [5] and portosystemic shunting [4, 5]. Surgery is favored over transcatheter arterial embolization owing to the complete symptomatic recovery and absence of relapsing/recurrent gastrointestinal bleeding [3, 7]. Irradiation therapy has also been indicated in cases where surgery is contraindicated or not technically feasible [8].
Herein, we report the first documented case of sporadic concurrent pancreatic head and tail arteriovenous malformations in a 40-year-old gentleman who presented with a 10-day history of epigastric pain and one episode of hematemesis. Moreover, a literature review on pancreatic arteriovenous malformations is presented.
CASE REPORT
A 40-year-old gentleman presented with a 10-day history of epigastric pain and one episode of hematemesis. Patient denied any history of traumatic incidents, cigarette smoking, alcohol abuse, chronic gastric or duodenal ulcer, chronic pancreatitis, chronic hepatic disease, difficulty swallowing, respiratory compromise, or weight loss. Physical examination and laboratory results were unremarkable.
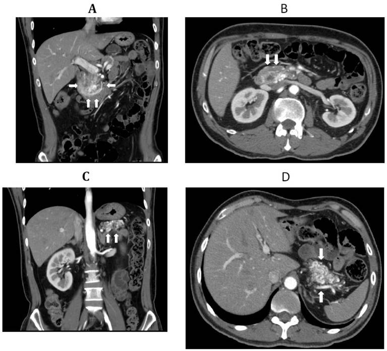
Patient refused upper gastrointestinal endoscopy. Contrast-enhanced computed tomography (CT) scan showed two hypervascular masses involving the pancreatic head and tail (Figure 1: A-D). The CT findings were suspicious for arteriovenous malformations, and accordingly, patient was scheduled for diagnostic celiac and mesenteric angiogram studies.
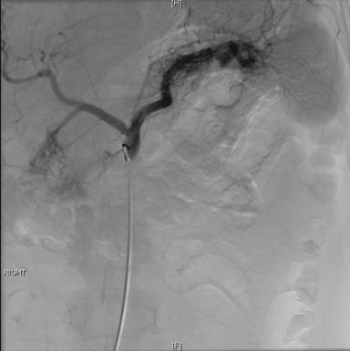
The celiac angiogram demonstrated large vascular malformations involving both the pancreatic head and tail (Figure 2). Superselective angiogram of the splenic artery demonstrated a feeding artery just 2 to 3 cm away from the splenic hilum feeding the pancreatic tail arteriovenous malformation. Superselective catheterizations of hepatic artery and gastrojejunal artery showed no significant contributions to the pancreatic head arteriovenous malformation.

|
Figure 1. Contrast-enhanced computed tomography (CT) scans of the abdomen showing: two proliferating hypervascular masses involving the pancreatic head (A. coronal section; B. transverse section; (white arrows)) and tail (C. coronal section; D. transverse section; (white arrows)). |
The superior mesenteric angiogram demonstrated significant vascular contribution to the pancreatic head arteriovenous malformation only (Figure 3). The inferior mesenteric artery angiogram showed no vascular contribution.
Based on the characteristic angiogram findings, a final diagnosis of sporadic concurrent arteriovenous malformations (AVMs) involving the pancreatic head and tail was established.
Due to the extreme locations of pancreatic AVMs in the head and tail, surgical resection of both lesions (leaving behind the normal pancreatic body) was not possible.

|
Figure 2. The celiac angiogram demonstrating: two large vascular arteriovenous malformations involving both the pancreatic head (yellow arrows) and tail (white arrows). |

|
Figure 3. The superior mesenteric angiogram demonstrating: significant vascular contribution to the pancreatic head arteriovenous malformation only (white arrows). |
Instead, patient underwent intraoperative irradiation therapy (IORT). During the procedure, patient was surgically operated to retract healthy organs/tissues, and then a single concentrated dose of radiation therapy was precisely applied to both pancreatic AVM lesions.
Patient had an uneventful postoperative recovery and was discharged home on the second postoperative day in stable condition. The patient is to be seen in clinic in a 4-month-period during which patient will be completing a 12-month period of postoperative IORT.
DISCUSSION
Arteriovenous malformations (AVMs) are vascular anomalies in which there is direct shunting of high arterial blood pressure into veins [9]. Usually, gastrointestinal AVMs are hepatic in origin [10], and extra-hepatic AVMs are remarkably rare [1]. Pancreatic AVMs are exceedingly rare, and less than 100 cases have been diagnosed and reported in medical literature [2]. In a review series of gastrointestinal AVMs, Meyer et al. reported that only 0.9% of all gastrointestinal AVMs originated in the pancreas [1].
Pancreatic AVMs can be congenital or acquired in origin. Approximately 90% of all pancreatic AVMs are congenital [3], arising from remnants of abnormally differentiated primordial vessels [4, 5]. Ten to thirty percent of these often arise in the setting of hereditary hemorrhagic telangiectasia (also known as Osler-Weber-Rendu disease) [3]. On the other hand, acquired pancreatic AVMs constitute only 10% of all pancreatic AVMs [3]. They most commonly occur secondary to malignancies, traumatic injury, pancreatitis, or idiopathically [4, 11]. Pancreatic AVMs are more common among males [2]. The most frequently affected ages range between 7 months and 73 years, and patients usually come to clinical attention by around 53 years of age [2].
The location of AVMs within the pancreas varies [2]. Takemoto et al. outlined various locations of the lesion by analyzing 90 cases of pancreatic AVMs [2]. Out of 90 cases reviewed, 37 cases presented in the head (41%); 9 cases presented in the body (10%); 7 cases presented in the tail (8%); and, 13 cases involved the entire pancreas (14%) [2]. Concurrent pancreatic AVMs have also been noted as follows: 9 cases presented in the head and body (10%), and 15 cases presented in the body and tail (17%) [2].
The vast majority of patients with pancreatic AVMs are asymptomatic. Classically, patients may symptomatically present with abdominal pain [4], and rarely, jaundice [12]. The most common presenting signs include: gastrointestinal bleeding as well as esophageal and gastric varices caused by portal hypertension [4]. Portal hypertension is attributed to the formation of a vast and dynamic vascular network between arterial and portal venous systems [4, 13].
The most common cause of fatal gastrointestinal hemorrhage could be due to actively bleeding esophageal and gastric varices occurring in the setting of severe portal hypertension [3, 14, 15]. In pancreatitis [16], hemorrhagic spills from the pancreatic AVMs into the pancreatic duct can contribute to fetal gastrointestinal hemorrhage [5, 17]. If the bile duct is involved, patients may present with hemobilia [5, 12]. Managing pancreatic AVMs at an early stage is recommended, because once portal hypertension occurs, it becomes often refractory to treatment, even if the entire pancreas is surgically resected [3, 6, 7].
Because of their hypervascularity, pancreatic AVMs are often confused with angiosarcomas [4], cystadenocarcinomas [4], pancreatic islet cell tumors [4, 5], metastatic foci [5], and less commonly, chronic pancreatitis [5] or an accessory spleen within the pancreatic parenchyma [5].
Different imaging modalities can be used to diagnose pancreatic AVMs. Such modalities include: angiography, Doppler ultrasonography, magnetic resonance imaging (MRI), and computed tomography (CT) scans [4]. The gold standard modality is angiography [3, 14, 16, 18-21]. Angiography is both diagnostic and therapeutic; diagnostic for establishing the definitive diagnosis of pancreatic AVMs and therapeutic for management of gastrointestinal hemorrhage by means of embolization and others [13, 22]. Common finding on angiography include: grape-like meshwork of distended and tortuous blood vessels, early filling of the portal vein in the arterial phase, early extension of pancreatic density, and hyperkinetic pancreatic circulation [14].
On Doppler ultrasonography, the lesion is often hypoechoic with a "mosaic color pattern" and "pulsatile portal vein waveforms" [5, 21]. On CT scan, the lesion often exhibits numerous distinct blood vessels which are best shown in the early arterial phase [5]. Moreover, "early portal vein opacification" is frequently present on CT scans [5]. On T2-attenuated MRI scans, the lesion is frequently "signal void", indicating rapid blood flow [5, 20].
Gross examination of pancreatic AVMs typically reveals nests of blood vessels encompassing the involved pancreatic lesions [23]. Histopathological findings usually reveal multiple, tangled, and dilated blood vessels surrounding the pancreatic parenchyma [2, 22, 24]. In cases of acute pancreatitis accompanying pancreatic AVMs, microscopic features of inflammation are often present [23].
Early management of pancreatic AVMs is highly crucial. This is because once portal hypertension develops, it may not respond adequately to treatment even if the entire pancreas is surgically removed [3, 6, 7]. Management of patients with pancreatic AVM should be directed to target the AVM and its complications. Several management options exist, such as complete/incomplete pancreatic resection [4, 5], irradiation [4, 8], transcatheter arterial embolization [4, 5], portosystemic shunting [4, 5] and vascular ligation [5].
Several authors are in favor of early surgical resection because of the need to achieve full symptomatic resolution, as well as to prevent occurrence of severe portal hypertension and recurrent gastrointestinal bleeding [3, 7]. Pylorus-preserving Whipple pancreaticoduodenectomy is favored in particular cases in which there is a direct communication between the pancreatic AVM and the duodenum, or when the duodenum and the pancreas share a common arterial blood supply [13, 22].
Other authors argue that surgical resection is not always the best management option if the pancreatic AVM lesion is complex, massive, and not feasibly resectable, [6] or there is a high chance of massive intraoperative bleeding [8]. In such cases where surgery is not recommended, irradiation therapy is useful [8]. Intraoperative radiation therapy (IORT) or non-operative external irradiation can been applied with promising degrees of success [8]. The advantage of IORT involves delivering a concentrated high-dose of radiation precisely to the targeted lesion with minimal exposure of adjacent tissues which are often shielded during the IORT. Nevertheless, long-term monitoring of patients is required because of the probable expected irradiation-related side effects in a selected group of patients [8]. Arterial embolization has been shown to offer only short-term relief of gastrointestinal bleeding. This is because new blood vessels tend to grow, and the risk of repeated bleeding and advancement of portal hypertension is very high [3, 25].
Received April 24th, 2014 – Accepted May 2nd, 2014
Key words Arteriovenous Malformations; Case Reports; Pancreas
Conflict of Interest Authors declare to have no conflict of interest.
Correspondence
Ahmed Abu-Zaid
College of Medicine
Alfaisal University
P.O. Box 50927
Riyadh 11533
Saudi Arabia
Phone: +966.566.305.700
Fax: +966.11.215.7611
E-mail: aabuzaid@live.com
References
1. Meyer CT, Troncale FJ, Galloway S, Sheahan DG. Arteriovenous malformations of the bowel: an analysis of 22 cases and a review of the literature. Medicine (Baltimore). 1981; 60:36-48. [PMID:6969839]
2. Takemoto I, Tsuda M, Yano Y, Miyazaki H, Yamada H, Azuma T, Maeda S. Pancreatic arteriovenous malformation combined with portal thrombosis. Intern Med. 2007; 46:233-236. [PMID:17329918]
3. Nishiyama R, Kawanishi Y, Mitsuhashi H, Kanai T, Ohba K, Mori T, Hamabe N. Management of pancreatic arteriovenous malformation. J Hepatobiliary Pancreat Surg. 2000; 7:438-442. [PMID:11180867]
4. Charalabopoulos A, Macheras N, Krivan S, Petropoulos K, Misiakos E, Macheras A. Arteriovenous malformation of the pancreas. Case Rep Med. 2011; 2011:612-657. [PMID:21765845]
5. Shearer DD, Demos TC, Sichlau MJ. Pancreatic arteriovenous malformation: A case report and literature review. J Radiol Case Rep.
2011; 5:8-13. [PMID:22470807]
6. Yoon JH, Han SS, Cha SS, Lee SJ. Color Doppler ultrasonography of a pancreatic arteriovenous malformation. J Ultrasound Med. 2005; 24:113-117. [PMID:15615937]
7. Koito K, Namieno T, Nagakawa T, Ichimura T, Hirokawa N, Mukaiya M, Hirata K. Congenital arteriovenous malformation of the pancreas: its diagnostic features on images. Pancreas. 2001; 22:267-73. [PMID:11291928]
8. Sato M, Kishi K, Shirai S, Suwa K, Kimura M, Kawai N, Tanihata H. Radiation therapy for a massive arteriovenous malformation of the pancreas. AJR Am J Roentgenol. 2003; 181:1627-1628. [PMID:14627586]
9. Halpern M, Turner AF, Citron BP. Hereditary hemorrhagic telangiectasia. An angiographic study of abdominal visceral angiodysplasias associated with gastrointestinal hemorrhage. Radiology. 1968; 90:1143-1149. [PMID:5656734]
10. Loria LE, Tsuchiya R, Harada N, Tomioka T, Izawa K, Ura K, Ozeki K. Congenital mesenteric arterio-portal fistula: report of a case. Jpn J Surg. 1988; 18:351-358. [PMID:3043070]
11. Barth MM, Khwaja K, Faintuch S, Rabkin D. Transarterial and transvenous embolotherapy of arteriovenous fistulas in the transplanted pancreas. J Vasc Interv Radiol. 2008; 19:1231-1235. [PMID:18656019]
12. Rezende MB, Bramhall S, Hayes T, Olliff S, Buckels JA, Candinas D. Pancreatic arteriovenous malformation. Dig Surg. 2003; 20:65-69. [PMID:12637811]
13. Makhoul F, Kaur P, Johnston TD, Jeon H, Gedaly R, Ranjan D. Arteriovenous malformation of the pancreas: A case report and review of literature. Int J Angiol. 2008; 17:211-213. [PMID:22477452]
14. Chuang VP, Pulmano CM, Walter JF, Cho KJ. Angiography of pancreatic arteriovenuos malformation. AJR Am J Roentgenol. 1977; 129:1015-1018. [PMID:413351]
15. Katoh H, Kojima T, Okushiba S, Shimozawa E, Tanabe T. Bleeding esophageal varices associated with pancreatic arteriovenous malformation. World J Surg. 1991; 15:57-60. [PMID:1994606]
16. Ohtani N, Kimoto K, Yoshida S, Tanaka T, Inokuchi H, Kawai K. Pancreatic arteriovenous malformation with pancreatitis involving a pancreatico-venous fistula. Gastroenterol Jpn. 1992; 27:115-120. [PMID:1555741]
17. Jeong WJ, Son JM, Kim GH, Heo J, Kang DH, Song GA, Jo M. A case of hemosuccus pancreaticus in arteriovenous malformation. Korean J Med
2005; 68:436-440.
18. Koito K, Namieno T, Nagakawa T, Morita K. Diagnosis of arteriovenous malformation of the pancreas by color Doppler ultrasonography. Abdom Imaging. 1998; 23:84-86. [PMID:9437070]
19. Yamamoto T, Takeuchi K, Honjo H, Sakurai N, Okuda C, Kuyama Y. Pancreatic arteriovenous malformation presenting as cysts: Doppler sonographic diagnosis. J Clin Ultrasound. 2000; 28:365-367. [PMID:10934338]
20. Kurosaki M, Hattori K, Minato Y, et al. Asymptomatic arteriovenous malformation of the pancreas. Demonstration by Doppler ultrasonography and magnetic resonance imaging. Dig Dis Sci. 1993; 38:1342-1346. [PMID:8325195]
21. Tano S, Ueno N, Ueno T, Wada S, Aizawa T, Kimura K. Pancreatic arteriovenous malformation with duodenal ulcer. Demonstration by color Doppler ultrasonography. Dig Dis Sci. 1996; 41:1232-1237. [PMID:8654157]
22. Uchida E, Aimoto T, Nakamura Y, et al. Pancreatic arteriovenous malformation involving adjacent duodenum with gastrointestinal bleeding: report of a case. J Nippon Med Sch. 2006; 73:346-350. [PMID:17220587]
23. Choi JK, Lee SH, Kwak MS, Kim JH, Jang ES, Hwang SW, Hwang JH. A Case of Recurrent Acute Pancreatitis due to Pancreatic Arteriovenous Malformation. Gut Liver. 2010; 4:135-139. [PMID:20479928]
24. Arora A, Tyagi P, Kirnake V, Singla V, Sharma P, Bansal N, Ghuman SS. Unusual cause of massive upper gastrointestinal bleeding: a pancreatic arteriovenous malformation. JOP. 2013; 14:292-295. [PMID:23669484]
25. Poon RT, Poon J. Massive GI bleeding due to a duodenal arteriovenous malformation. Gastrointest Endosc. 2000; 52:101-104. [PMID:10882974]