CASE REPORT
JOP. J Pancreas (Online) 2014 May 27; 15(3):261-265.
Autoimmune Pancreatitis Presenting a Short Narrowing of Main Pancreatic Duct with Subsequent Progression to Diffuse Pancreatic Enlargement over 24 Months; Natural History of Autoimmune Pancreatitis
Shuichiro Umemura1, Itaru Naitoh1, Takahiro Nakazawa1, Kazuki Hayashi1, Katsuyuki Miyabe1, Shuya Shimizu1, Hiromu Kondo1, Yuji Nishi1, Michihiro Yoshida1, Yasuki Hori1, Akihisa Kato1, Hirotaka Ohara2 and Takashi Joh1
1Department of Gastroenterology and Metabolism and 2Department of Community-based Medical Education, Nagoya City University Graduate School of Medical Sciences, Nagoya, Japan
ABSTRACT
Context Initial pancreatogram and natural history of autoimmune pancreatitis (AIP) have not been clarified, and there were few recent studies concerning the association between AIP and intraductal papillary mucinous neoplasm (IPMN). Case report We report an 81-year- old man with AIP associated with IPMN. Although the initial pancreatogram was normal, a short narrowing of the main pancreatic duct (MPD) appeared during a follow-up for IPMN after 6 months, which was highly suggestive of pancreatic cancer. A narrowing of the MPD extended after 15 months, and this progressed to diffuse narrowing of the MPD with an elevation in the serum IgG4 levels after 24 months. Finally, the patient was diagnosed with diffuse-type AIP, according to the Japanese diagnostic criteria 2011 and the International Consensus Diagnostic Criteria. Considering the natural history of AIP, this marked change of the MPD is indicative of this condition. Conclusion We report a case of AIP presenting with a short narrowing of the MPD with subsequent progression to diffuse pancreatic enlargement during a follow-up for IPMN.
INTRODUCTION
Narrowing of the main pancreatic duct (MPD) is an important characteristic finding of autoimmune pancreatitis (AIP) [1]. In a typical case of AIP, the narrowing of the MPD extends to more than one-third of the entire MPD, and short narrowing of MPD is very rare. In contrast, short narrowing of the MPD is highly suggestive of pancreatic cancer [2, 3]. Therefore, diagnosis of AIP with short narrowing of the MPD is very difficult. However, initial pancreatogram and natural history of pancreatogram with AIP has not been clarified, and no cases of AIP indicating a remarkable change of the MPD from initial appearance during a long follow-up period have been reported in the literature.
Recently, we have reported the first case of Intraductal Papillary Mucinous Neoplasm (IPMN) associated with AIP [4]. Subsequently, a few studies on the association between AIP and IPMN have been published [5, 6]. However, IPMN is frequent on imaging findings such as magnetic resonance cholangiopancreatography (MRCP), and the relationship between AIP and IPMN has not yet been clarified.
On the basis of this background, we report a case of AIP presenting a short narrowing of MPD with subsequent progression to diffuse pancreatic enlargement during a follow-up for IPMN. The aims of this study are twofold: first, describe the imaging finding of short narrowing of the MPD and its remarkable change observed in AIP; second, report the rare association of AIP and IPMN.
CASE REPORT
An 81-year-old man was admitted to our hospital for further examination of a pancreatic cystic lesion. The patient exhibited no symptoms, and his physical examination revealed no abnormal findings. The serum amylase level was elevated (127 U/L; normal range, 37–125 U/L). The serum level of C-reactive protein was 0.9 mg/dL (normal range, <0.30 mg/mL), and white cell count was 3900/mm3 (normal range, 3600-9600/mm3). The serum levels of CEA and CA19-9 were 3.0 U/mL (normal range, <5 ng/mL) and 12.7 U/mL (normal range, <37 U/mL), respectively. MRCP revealed the presence of a multilobular cystic lesion, approximately 1 cm in diameter, in the pancreatic head. The MPD was slightly dilated (diameter, 4 mm), and narrowing of the MPD was not observed (Figure 1A). Computed tomography (CT) did not reveal any diffuse enlargement of the pancreas. A mass was not evident in both CT and magnetic resonance imaging (MRI). Endoscopic ultrasonography (EUS) showed the presence of a multilobular cystic lesion without nodules, and communication between the multilobular cystic lesion and the MPD was also observed. According to the International consensus guidelines 2012 [7], the patient was diagnosed with branch duct IPMN and followed-up as an outpatient.


|
Figure 1A-D. Magnetic resonance cholangiopancreatography showing a remarkable change of main pancreatic duct (MPD); A. Multilobular cystic lesion in the pancreatic head and no narrowing of the MPD at first; B. Short narrowing of the MPD (length, 5 mm) proximal to the cystic lesion after 6 months; C. Short narrowing of the MPD (length, 12 mm) and slight upstream MPD dilatation (diameter, 5 mm) after 15 months; D. Segmental narrowing of MPD after 24 months. |
Six months after the initial hospitalization, follow-up MRCP revealed short narrowing of the MPD (length, 5 mm) proximal to the IPMN in the pancreatic body (Figure 1B). A mass was not evident in both CT and MRI. Endoscopic retrograde cholangiography (ERP) showed the short narrowing of the MPD (length, 6 mm) in the pancreatic body (Figure 2A). The diameter of the upstream MPD was 3 mm. A 10-mm diameter cystic lesion communicating with the MPD was detected on ERP. Brush cytology examination was performed at the site of MPD narrowing. However, the cytology specimen showed no malignancy on pathological examination. The serum levels of CEA and CA19-9 were 3.3 U/mL and 10.9 U/mL, respectively. The serum amylase level was 118 U/L. The serum IgG4 level was slightly elevated (109 mg/dL; normal range, 4.8–105 mg/dL), but was lower than the serological criteria (>135 mg/dL) according to the Japanese diagnostic criteria 2011 (JPS2011) [2]. Therefore, AIP could not be diagnosed according to the JPS2011 [2] or the International Consensus Diagnostic Criteria (ICDC) [3], and furthermore, pancreatic cancer associated with IPMN could not be excluded. Therefore, we recommended that the patient undergo surgery, but the patient rejected the recommendation.
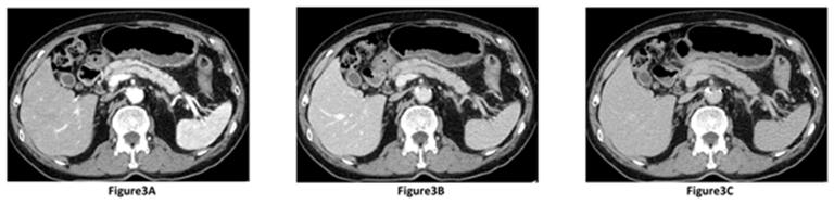
MRCP was performed 15 months after the initial hospitalization, which revealed short narrowing of the MPD (length, 12 mm) and slight upstream MPD dilatation (diameter, 5 mm). Thus, narrowing of the MPD and upstream MPD dilation was greater compared to that 6 months previously (Figure 1C). Quadriphasic (precontrast, pancreatic, portal venous and delayed phases) CT was performed. During the pancreatic phase of the dynamic study, a lesion of approximately 1 cm in diameter appeared hypoattenuating compare to normal adjacent pancreatic parenchyma in the pancreatic body (Figure 3A). This lesion became more dense during successive phases of study, and appeared isoattenuating compare to normal adjacent pancreatic parenchyma in portal venous (Figure 3B) and delayed (Figure 3C) phases. The serum levels of CEA and CA19-9 were 3.8 U/mL and 13.6 U/mL, respectively. On ERP, progression of MPD narrowing to 20 mm was noted, but brush cytology examination still showed no malignancy. EUS revealed the presence of a low echoic mass, approximately 20 mm in diameter, in the lesion at the MPD narrowing site. Therefore, we performed endoscopic ultrasonography fine-needle aspiration (EUS- FNA) for the low echoic mass. Only lymphoplasmacytic infiltration was observed, but no malignancy was noted on histopathological examination.

|
Figure 2A-B. Endoscopic retrograde pancreatography showing a remarkable change of MPD; A. Short narrowing of the MPD (length, 6mm) in the pancreatic body after 6 months; B. Segmental narrowing of the MPD after 24 months. |

|
Figure 3A-C: Dynamic study of contrast-enhanced CT after 15 months; A. Hypoattenuating lesion of approximately 1 cm in diameter appears in the pancreatic body during the pancreatic phase compare to normal adjacent pancreatic parenchyma; B. Lesion appears isoattenuating during the portal venous phase compare to normal adjacent pancreatic parenchyma; C.Lesion appears isoattenuating during the delayed phase compare to normal adjacent pancreatic parenchyma. |
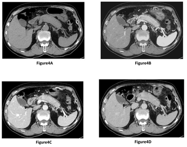
Quadriphasic CT, performed 24 months after the initial hospitalization, revealed segmental enlargement of the pancreas body and tail with a capsule-like low density rim. Segmental enlargement of the pancreatic parenchyma appeared hypoattenuating compare to normal spleen parenchyma during the pancreatic phase of the dynamic study (Figure 4B). This pancreatic parenchyma became more dense during successive phases of study, and appeared isoattenuating compare to normal spleen parenchyma during portal venous (Figure 4C) and delayed (Figure 4D) phases. Moreover, on MRCP, progression of MPD narrowing was noted (Figure 1D). At that time, the serum IgG4 level was elevated to 163 mg/dL. The serum levels of CEA and CA19-9 were 3.8 U/mL and 13.6 U/ mL, respectively. EUS revealed a segmental enlargement and a capsule-like rim in the pancreas body and tail. In addition, segmental narrowing of MPD was observed on ERP (Figure 2B). Thus, the patient was diagnosed with diffuse type AIP according to the JPS2011 [2] and ICDC [3]. EUS-FNA of the pancreatic body was performed to obtain histopathological evidence of AIP. The obtained tissue showed no malignancy, but lymphoplasmacytic infiltration, storiform fibrosis, obliterative phlebitis, and abundant IgG4-positive plasma cells were not observed. Therefore, it did not meet the histological criteria of JPS2011 and ICDC. In the present case, we did not administer steroid therapy because the patient had no symptoms and was of advanced age. The patient was discharged and followed- up for 6 months after the diagnosis of AIP.
DISCUSSION
Autoimmune pancreatitis is characterized by the swelling of the pancreas, irregular narrowing of the MPD, and a high serum IgG4 levels [1]. MPD narrowing is an important characteristic finding of AIP [2, 3]. Long (more than one- third of the length of the entire MPD) or multiple strictures of the MPD without marked upstream dilatation (duct size, <5 mm) were considered to be level 1 findings for ductal imaging (ERP) according to the ICDC criteria for AIP [3]. In contrast, short narrowing of the MPD is highly suggestive of pancreatic cancer. Cases of AIP with short or no narrowing of the MPD are very rare, and diagnosing AIP in such cases is difficult. To our knowledge, no cases of AIP indicating a marked change of the MPD from initial appearance during a long follow-up examination have been reported in the literature.
In the present report, narrowing of the MPD was short (length, 6 mm) and the upstream MPD was not dilated (diameter, 3 mm) when narrowing of the MPD was first observed. We primarily suspected the presence of pancreatic cancer at that time. However, after 10 months, narrowing of the MPD progressed (length, 12 mm) and the upstream MPD was found to be dilated (diameter, 5 mm). Therefore, we strongly suspected the presence of pancreatic cancer associated with IPMN; however, no evidence of malignancy was observed by EUS-FNA. After an additional 9 months, MPD narrowing had progressed, and segmental narrowing of the MPD was observed on ERP. Finally, we diagnosed the patient with diffuse type AIP according to the JPS2011 and ICDC. This marked change in the MPD from short focal narrowing to segmental narrowing was indicative of this condition, considering the natural history of AIP.

|
Figure 4A-D. Dynamic study of contrast-enhanced CT after 24 months; A. Segmental enlargement of the pancreas body and tail during precontrast phase; B. Segmental enlargement of the pancreatic parenchyma appears hypoattenuating during the pancreatic phase compare to normal spleen parenchyma, with a capsule-like low density rim; C. Pancreatic parenchyma appears isoattenuating during the portal venous phase compare to normal spleen parenchyma; D. Pancreatic parenchyma appears isoattenuating during the delayed phase compare to normal spleen parenchyma. |
We consider that CT finding after 15 months follow-up was crucial because this could be the initial focal lesion of AIP in the present report. In the present study, the focal lesion appeared hypoattenuating during the pancreatic phase, and isoattenuating compare to normal adjacent pancreatic parenchyma during both portal venous and delayed phases. Typical dynamic CT findings of AIP reveal hypoattenuating during the pancreatic phase, and hyperattenuating in both portal venous and delayed phases [8]. CT finding during the portal venous phase is useful in differentiating focal AIP from pancreatic adenocarcinoma. Focal AIP during the portal venous phase appear hyperattenuating at diagnosis, and this finding is different from the findings of pancreatic cancer which most frequently remains hypoattenuating during the portal venous phase. The present case did not appear hypoattenuating during the portal venous phase, and this CT finding did not suggest pancreatic cancer.
In the present study, the evolution of focal to segmental change was observed. Focal AIP after 15 months and segmental AIP after 24 months showed similar CT finding in each different phase (pancreatic, venous, and delayed phases). Therefore, we predict that histpathological might be similar between focal and segmental AIP. On the other hand, Sahani et al. [9] reported that diffuse swelling reflects an early inflammatory phase and focal masslike swelling symbolize a late stage with predominance of fibrosis because focal mass like swellings persisted after resolution of diffuse changes in 7 of 13 patients. Further studies should be conducted to clarify the clinical and histopathological differences between focal and diffuse AIP.
Recently, we were the first to report a case of IPMN associated with AIP. Subsequently, a few studies on the association between AIP and IPMN have been reported. Tabata et al. [5] reported that the association of IPMN with elevated serum IgG4 levels and type1 AIP changes adjacent to the IPMN appears to be rare, and was probably coincidental. Bateman et al. [6] also reported that pancreatic IPMN and AIP may co-exist, but most cases of chronic pancreatitis associated with IPMN do not represent AIP. Similar results were described in these 2 reports. Abundant infiltration of IgG4-positive plasma cells may be detected around the IPMN. In the present study, AIP appeared adjacent to the IPMN. Therefore, there is a possibility that infiltration of IgG4-positive plasma cells might cause an inflammatory reaction to IPMN and AIP might appear. Cases of IPMN associated with AIP are very rare, and the present patient was found to have type 1 AIP associated with IPMN. However, the incidence of IPMN is frequent on imaging findings such as MRCP. Therefore, further studies should be conducted to address the relationship between AIP and IPMN.
In conclusion, we have described the case of a patient with AIP associated with IPMN, who presented a remarkable change of the MPD during a long follow-up period. Considering the natural history of AIP, these initial appearance and marked change of the MPD are indicative of this condition.
Received March 26th, 2014 – Accepted April 24th, 2014
Conflict of Interest Authors declare that they have no conflict of interest to disclose.
Key words Autoimmune Diseases; Cholangiopancreatography, Endoscopic Retrograde; Cholangiopancreatography, Magnetic Resonance; Natural History; Neoplasms, Cystic, Mucinous, and Serous; Pancreatitis; Tomography, X-Ray Computed
Abbreviations AIP: autoimmune pancreatitis; ICDC: International Consensus Diagnostic Criteria; JPS2011: Japanese diagnostic criteria 2011; MPD: main pancreatic duct
Correspondence
Itaru Naitoh
1 Kawasumi
Mizuho-cho, Mizuho-ku
Nagoya 467-8601
Japan
Phone: +81-52.853.8211
Fax: +81-52.852.0952
E-mail: inaito@med.nagoya-cu.ac.jp
References
1. Okazaki K, Uchida K, Matsushita M, Takaoka M. Autoimmune pancreatitis. Intern Med 2005; 44:1215-1223. [PMID: 16415540].
2. The Japan Pancreatic Society and Research Committee of Intractable Diseases of the Pancreas. Clinical diagnostic criteria for autoimmune pancreatitis 2011. J Jpn Pancreas Soc 2012; 27:17-25.
3. Shimosegawa T, Chari ST, Frulloni L, Kamisawa T, Kawa S, Mino- Kenudson M, et al. International consensus diagnostic criteria for autoimmune pancreatitis: guidelines of the International Association of Pancreatology. Pancreas 2011; 40:352-358. [PMID: 21412117].
4. Naitoh I, Nakazawa T, Notohara K, Miyabe K, Hayashi K, Shimizu S, et al. Intraductal papillary mucinous neoplasm associated with autoimmune pancreatitis. Pancreas 2013; 42:552-554. [PMID: 23486370].
5. Tabata T, Kamisawa T, Hara S, Kuruma S, Chiba K, Kuwata G, et al. Intraductal papillary mucinous neoplasm of the pancreas and IgG4- related disease: a coincidental association. Pancreatology 2013; 13:379-
383. [PMID: 23890136].
6. Bateman AC, Culver EL, Sommerlad M, Chetty R. Intraduct papillary mucinous neoplasm of the pancreas: a tumour linked with IgG4-related disease? J Clin Pathol; 2013: 66:671-675. [PMID: 23596150].
7. Tanaka M, Fernández-del Castillo C, Adsay V, Chari S, Falconi M, Jang JY, et al. International consensus guidelines 2012 for the management of IPMN and MCN of the pancreas. Pancreatology 2102; 12:183-197. [PMID:
22687371].
8. Manfredi R, Graziani R, Cicero C, Frulloni L, Carbognin G, Mantovani W, et al. Autoimmune pancreatitis: CT patterns and their changes after steroid treatment. Radiology 2008; 247:435-443. [PMID: 18430876].
9. Sahani DV, Sainani NI, Deshpande V, Shaikh MS, Frinkelberg DL, Fernandez-del Castillo C. Autoimmune pancreatitis: disease evolution, staging, response assessment, and CT features that predict response to corticosteroid therapy. Radiology 2009; 250:118-29. [PMID: 19017924].