ORIGINAL ARTICLE
JOP. J Pancreas (Online) 2014 Nov 28; 15(6):581-586.
Differential Expression of GNAS and KRAS Mutations in Pancreatic Cysts
Linda S Lee1, Leona A Doyle2, Jeffrey Houghton3, Sachin Sah3, Andrew M Bellizzi4, Anna E Szafranska-Schwarzbach3, James R Conner2, Vivek Kadiyala1, Shadeah L Suleiman1, Peter A Banks1, Bernard F Andruss3, Darwin L Conwell5
1Center for Pancreatic Disease and 2Department of Pathology, Brigham and Women’s Hospital. Boston, MA, USA. 3Asuragen, Inc.. Austin, TX, USA. 4Department of Pathology, University of Iowa Hospitals and Clinics. Iowa City, IA, USA. 5Ohio State University Medical Center. Columbus, OH, USA
ABSTRACT
Context KRAS mutations play an important role in pancreatic cancer. GNAS mutations were discovered in intraductal papillary mucinous neoplasms (IPMN). Objectives Our aim was to identify the frequency of KRAS and GNAS mutations in pancreatic cystic neoplasms and pancreatic ductal adenocarcinoma (PDAC). Methods Sixty-eight surgically resected formalin fixed, paraffin embedded pancreatic specimens were analyzed, including: 1) benign (20 serous cystadenoma (SCA)), 2) pre-malignant (10 mucinous cystic neoplasm (MCN), 10 branch duct intraductal papillary mucinous neoplasm (BD-IPMN), 9 main duct IPMN (MD-IPMN)), 3) malignant (19 PDAC). Total nucleic acid extraction was performed. KRAS codon 12/13 and GNAS codon 201 mutations were interrogated via targeted sequencing using the Ion Torrent's Personal Genome Machine (PGM). Results Mean age of 68 patients was 61.9±8.4 with 72% female. KRAS and GNAS mutations were more common in PDAC and IPMN. KRAS mutations predominated in PDAC compared to pancreatic cysts (16/19, 84% versus 10/49, 20%; P<0.001). GNAS mutations were more common in IPMN compared to non-IPMN lesions (8/19, 42% versus 2/49, 4%; P=0.0003). No GNAS mutations were detected in PDAC and MCN while 2 SCA carried GNAS mutations. Double mutations with KRAS and GNAS were only present in IPMN (5/19 versus 0/30 SCA and MCN, P=0.006). Conclusions KRAS and GNAS mutations were more common in PDAC and IPMN with KRAS mutations primarily in PDAC and GNAS mutations more frequent in IPMN. No GNAS mutations occurred in MCN and double mutations were only present in IPMN.
INTRODUCTION
Pancreatic cancer carries high mortality which is augmented by the lack of reliable early diagnostic and screening tools. Unlike most hepatic and renal cysts, different types of pancreatic cystic neoplasms may have malignant potential. Nearly two-thirds of pancreatic cystic lesions are cystic neoplasms, which include serous cystadenoma (SCA), mucinous cystic neoplasm (MCN), and intraductal papillary mucinous neoplasm (IPMN) [1-4]. Mucinous pancreatic cysts (MCN, IPMN) have malignant potential, whereas SCA are virtually always indolent. Mucinous pancreatic cysts thus offer an opportunity to identify high risk patients who may be at risk of developing cancer. Therefore, accurate diagnosis and characterization of these lesions have significant clinical implications.
Recent interest has focused on molecular DNA markers in cyst fluid to diagnose malignant and premalignant pancreatic cystic lesions. A multicenter study suggested high specificity (96%) for malignancy when high amplitude KRAS mutation was followed by allelic loss, but very low sensitivity (37%) [5]. Presence of KRAS mutation alone had 96% specificity and 45% sensitivity for detecting mucinous lesions. Other work has identified another DNA marker, GNAS, as possibly discriminating IPMN from other cystic neoplasms and PDAC [6, 7]. GNAS codon 201 mutation occurred in 41-66% of IPMNs but was not detected in SCA, MCN, or PDAC [6].
The aim of our study was to identify KRAS and GNAS mutations in pancreatic cystic neoplasms and PDAC using maicrodissected formalin fixed, paraffin embedded (FFPE) archived surgical pathology specimens and to determine the incidence of these mutations among SCA, MCN, branch duct (BD)-IPMN, main duct (MD)-IPMN, and PDAC.
METHODS
This is an IRB approved study approved by the Partners Institutional Review Board.
Archived Pathology Samples
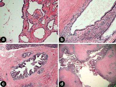
FFPE specimens from 68 adult patients (age >18 years) who underwent surgical resection at Brigham and Women’s Hospital were identified from a surgical pathology database spanning 1995-2012. The following specimens were chosen based on the WHO classification of pancreatic neoplasms [8]: 20 SCA, 10 BD-IPMN with low grade dysplasia, 9 MD-IPMN with moderate dysplasia, 10 MCN with low grade dysplasia, and 19 PDAC. All pathology slides were reviewed by 2 board certified gastrointestinal pathologists (A.B., L.D.) to confirm the final diagnosis. Figure 1 shows representative pathology images of SCA, MCN, BD-IPMN, and MD-IPMN.

|
Figure 1. a. Serous cystadenoma with microcysts lined by bland cuboidal epithelium. b. Mucinous cystic neoplasm with cystic spaces lined by mucinous lining epithelium and surrounded by ovarian-type stroma. c. Intraductal papillary mucinous neoplasm involving a side branch of the pancreatic duct with low-grade dysplasia. Papillary projections are seen protruding into the lumen. d. Intraductal papillary mucinous neoplasm involving the main pancreatic duct, again showing papillary projections into the lumen, as well as associated fibrosis and chronic inflammation. |
Database Development
A password protected, electronic database was developed recording individual patient information including: age, gender, family history of PDAC, personal history of other cancers, history of cigarette smoking and alcohol use, presence of abdominal pain and/ or weight loss, and cyst fluid chemistry (carcinoembryonic antigen (CEA), amylase) from the electronic medical record. Follow-up radiology including abdominal computed tomography (CT) scan or magnetic resonance imaging (MRI) of patients with BD-IPMN and MD-IPMN were documented.
DNA Study Overview
Detailed methodology is outlined below for each step of the experiment.
Specimen Processing
Manual maicrodissection was performed from unstained slides from FFPE tissue blocks to enrich for epithelial lesional tissue prior to total DNA extraction. In brief, one hematoxylin and eosin (H&E) slide and up to 10 unstained slides were generated from each FFPE block. The target lesion was marked on the H&E slide for each case, which was then used to guide the removal of non-target tissues (e.g., non-neoplastic pancreatic acinar, ductal, and endocrine tissue) from unstained slides. The tissue area of interest was scraped off the slide into an Eppendorf tube for subsequent DNA extraction.
DNA Extraction
Total nucleic acid from the target tissue area was extracted using internally developed, validated procedures optimized for nucleic acid recovery from FFPE tissues based on the RecoverAll™ Total Nucleic Acid Isolation Kit for FFPE Tissues (Life Technologies, Austin, TX, USA) and treated with RNase according to a proprietary procedure.
Next-Generation Sequencing (NGS) and Analysis
Mutational status of KRAS codon 12/13 and GNAS codon 201 was determined by targeted enrichment using carefully designed primers amplifying regions of interest in the KRAS and GNAS genes. The primer sequences used for KRAS are as follows: KRAS_F, CTGTATCGTCAAGGCACTCT; KRAS_R, TAGGCCTGCTGAAAATGACTG. The primer sequences used for GNAS are the following: GNAS_F, CTCAAAGATTCCAGAAGTCAGGA; GNAS_R, CTGTTTCGGTTGGCTTTGGT.
Gene-specific amplicons were subsequently tagged with unique barcodes and sequenced on Ion Torrent's Personal Genome Machine (PGM). Variant analysis was performed using the NextGENe sequence analysis software (SoftGenetics, State College, PA, USA). Briefly, unfiltered reads were split based on the barcodes and aligned to KRAS and GNAS gene sequences downloaded from National Center for Biotechnology Information (NCBI) in the GenBank (gbk) format. Only reads that matched at least 30 bases and at least 95% to the reference sequence were used for alignment. Reads that did not meet these criteria were removed from analysis. To account for higher background “noise” in FFPE samples, the background threshold was set to 4% [9]. Median read depth across both KRAS and GNAS codons was approximately 15,000x each.
Statistics
Comparisons were performed using Fisher’s exact test with P-value <0.05 considered significant.
RESULTS
Demographics
Table 1 displays the characteristics of the individual cohorts in the study. Mean age of all 68 patients was 61.9±8.4 with 72.1% female. PDAC patients were more likely to be symptomatic (P<0.0001, Fisher’s test) and smokers (P=0.007) compared to the pancreatic cystic neoplasm group (SCA, MCN, BD-IPMN, and MD-IPMN). As expected, cyst fluid CEA level was higher in mucinous cysts compared to serous cystadenoma (P=0.04).
|
Table 1. Demographic and clinical characteristics. |
|||||
|
|
SCA |
MCN low grade dysplasia |
BD-IPMN low grade dysplasia |
MD-IPMN moderate dysplasia |
PDAC |
|
Age (years±SD*) |
57.3±10.7 |
49.2±12.3 |
68.7±8.3 |
68.7±11.9 |
65.1±11.5 |
|
Female gender |
14 (70%) |
10 (100%) |
8 (80%) |
3 (33%) |
9 (47%) |
|
Symptoms |
8(40%) |
5 (50%) |
1 (10%) |
2 (22%) |
17 (89%) |
|
Family history PDAC |
0 |
0 |
0 |
0 |
2 (11%) |
|
Personal history other cancers |
3 (15%) |
0 |
0 |
1 (11%) |
5 (26%) |
|
Smoking |
7 (35%) |
1/9 (11%) |
6 (60%) |
6 (67%) |
15 (79%) |
|
Alcohol use |
0 |
0 |
1 (10%) |
2 (22%) |
2 (11%) |
|
Median CEA; ng/mL |
0.7 |
9,495.5 |
2,284.0 |
N/A |
N/A |
|
Median amylase; U/L |
N/A |
33,527.5 |
3,050.0 |
2,370.5 |
N/A |
|
*SD:
standard deviation |
|||||
Mutations are Predominantly Seen in PDAC and IPMN
Overall, PDAC specimens were more likely to have mutations when compared to cystic neoplasms (16/19, 84% versus 15/49, 31%; P=0.0001). Comparison of total number of mutations within the cystic neoplasms revealed that IPMN lesions were also more likely to have a mutation than non-IPMN cysts (12/19 versus 3/30, P=0.0002). Double mutations with both KRAS and GNAS mutations were only present in 3 BD-IPMN and 2 MD-IPMN (5/19 versus 0/30 SCA and MCN, P=0.006). All 3 BD-IPMNs were low grade dysplasia while the double mutant MD-IPMNs had moderate dysplasia. Over an average 2.5 year follow-up with either CT or MRI, none of the patients with BD-IPMN developed recurrence or pancreatic mass. One patient with MD-IPMN and a GNAS R201H mutation who underwent Whipple surgery was noted to have probable recurrence at 6 year follow-up while the other 7 patients with MD-IPMN did not develop recurrence or pancreatic mass over a mean 2.2 year follow-up. One patient with MD-IPMN was lost to follow-up.
KRAS Mutations are Primarily Present in PDAC
As can be seen from Table 2, KRAS mutations were more common in PDAC compared to SCA, MCN, BD-IPMN and MD-IPMN (16/19 versus 10/49, P<0.001). In IPMN, 60% (6/10) of BD-IPMN and 33% (3/9) of MD-IPMN carried KRAS mutations. Only 1 (10%) MCN specimen contained a KRAS mutation (G13D). KRAS mutations were more prevalent in IPMN than non-IPMN cysts (9/19 versus 1/30, P=0.003) and in mucinous (MCN+IPMN) compared to non-mucinous (SCA) cysts (10/29 versus 0/20, P=0.003).
|
Table 2. Summary of KRAS and GNAS mutations. |
|||
|
Diagnosis |
Number of specimens with KRAS mutations |
Number of specimens with GNAS mutations |
Number of specimens with both KRAS and GNAS mutations |
|
SCA (n=20) |
0 |
2 |
0 |
|
MCN (n=10) |
1 |
0 |
0 |
|
BD-IPMN (n=10) |
6 |
4 |
3 |
|
MD-IPMN (n=9) |
3 |
4 |
2 |
|
PDAC (n=19) |
16 |
0 |
0 |
GNAS Mutations Are Differentially Present in IPMN Lesions
GNAS mutations were more commonly observed in IPMN than non-IPMN samples (8/19 versus 2/49, P=0.0003). There were no GNAS mutations in MCN and PDAC samples. There was a trend towards more GNAS mutations in BD-IPMN compared to MCN (4/10 versus 0/10, P=0.087). GNAS mutations were present in two (10%) SCA (R201H and R201C), four (40%) BD-IPMN (3 R201H, 1 R201C), and four (44%) MD-IPMN (3 R201H, 1 R201C). Details of the KRAS and GNAS mutations are found in Table 3.
DISCUSSION
We report the results of mutational analysis of KRAS (codon 12 and 13) and GNAS (codon 201) genes in archived surgical pathology specimens from pancreatic cystic neoplasms and pancreatic cancer. Overall, PDAC and IPMN were more likely to have mutations in KRAS and/or GNAS. Most PDAC samples carried KRAS mutation but no GNAS mutation. We uniquely demonstrate that KRAS and GNAS mutations coexisted only in IPMNs. Furthermore, GNAS mutations were almost exclusively associated with IPMN although they were also present in SCA unlike in previous studies and not found in MCN. KRAS mutations were more common in mucinous than non-mucinous cysts. The differing incidence of KRAS and GNAS mutations between PDAC and IPMN may imply different developmental pathways towards malignancy.
Current methodologies including imaging, endoscopy, and cyst fluid analysis fail to accurately differentiate mucinous from nonmucinous pancreatic cystic lesions with a high degree of accuracy. Preoperative diagnostic accuracy of radiology is 63% compared to surgical pathology [10], and radiology is comparable to endoscopic ultrasound (EUS) imaging with 51% accuracy for mucinous lesions [11]. With advances in endoscopy allowing the safe sampling of pancreatic cyst fluid during EUS [12], fine needle aspiration (FNA) of pancreatic cysts may be performed to analyze cyst fluid for routine cytological analysis, biochemical proteins, and DNA markers. Cytology is generally nondiagnostic with most studies demonstrating less than 50% sensitivity for diagnosis of cystic lesions [13]. Few cyst fluid markers have proven valuable and none are diagnostic. Cyst fluid CEA has been most extensively studied and is used to differentiate mucinous from non-mucinous cystic lesions. Elevated cyst fluid CEA is consistent with a mucinous cyst with the commonly used cutoff of 192 ng/mL yielding modest sensitivity (73%) and specificity (84%) [11]. However, many mucinous lesions with CEA <192 ng/mL are missed using this cutoff [14].
Accurate diagnosis of SCA is important in management as these patients only undergo surgical resection if the cyst causes symptoms or enlarges rapidly [15]. On the other hand, management of mucinous cysts requires surgical resection for MCN, MD-IPMN, and certain BD-IPMN as per the International Association of Pancreatology (IAP) consensus guidelines [16]. In a previous study, no GNAS mutations were detected in SCAs [6] whereas we discovered a 10% rate of GNAS mutation in our SCA specimens, which was still significantly lower than in IPMN. Therefore, identification of GNAS mutation may allow accurate distinction of SCA from IPMN.
No currently available test including imaging, cytology, CEA, and DNA markers allows separation of the two mucinous cystic lesions, MCN and BD-IPMN. As shown from our results, GNAS may help differentiate IPMN from MCN as no GNAS mutations were present on MCN while found in 40% of BD-IPMN although this result was not statistically significant and larger sample size is needed to investigate this. Furthermore, we uniquely demonstrate that double mutations of KRAS and GNAS only occurred in IPMN and not MCN or SCA. The clinical implications of having tools to distinguish BD-IPMN from MCN are significant as IAP consensus guidelines recommend surgical resection of all MCN while surveillance is reasonable for most BD-IPMN [16].
Our data are overall consistent with the previous work on GNAS and KRAS mutations in pancreatic cystic neoplasms with some unique findings [6, 7]. We found a lower frequency of mutations in BD-IPMN and MD-IPMN samples than a previous study, which reported over 96% rate of either KRAS or GNAS mutation with over half of cases carrying both mutations [6]. We demonstrate a more modest rate of mutations with 58% of IPMNs carrying either mutation, 26% harboring both, and 42% having a GNAS mutation, which was consistent with a Japanese study [7]. This discrepancy may be explained by differences in the degree of dysplasia in our IPMN samples as all our BD-IPMN were low grade while our MD-IPMN were moderate grade whereas the previous study contained a large proportion with high grade dysplasia. In our study, only BD-IPMN and MD-IPMN specimens harbored double mutations which may imply a possible marker of progression compared with SCA and MCN with low grade dysplasia. Although there were no differences in outcome in our study with the double mutant BD-IPMN and MD-IPMNs, whether presence of multiple mutations has prognostic significance will need to be studied.
While GNAS mutation status has not been used clinically, KRAS mutations have been available for clinical use. A multicenter study of surgically resected pancreatic cystic lesions that had undergone EUS-FNA and DNA analysis of cyst fluid suggested high specificity (96%) for malignancy when KRAS mutation was followed by allelic loss, but very low sensitivity (37%) [5]. Presence of KRAS mutation alone had 96% specificity and 45% sensitivity for detecting mucinous lesions [5]. A smaller retrospective study confirmed good correlation between diagnosis of cysts by clinical consensus as malignant, benign mucinous, or benign nonmucinous and DNA analysis. Another study reported poor agreement between CEA level and DNA analysis in predicting a mucinous cyst [17, 18]. Our results confirm the ability of KRAS to differentiate mucinous from nonmucinous cysts.
There are limitations to our findings. While our data are promising, given the relatively low frequency of GNAS mutations even in IPMN lesions, future investigations will need to investigate whether combinations of DNA and potentially other biomarkers including microRNA and metabolite markers like glucose and kynurenine may allow more accurate differentiation of mucinous from nonmucinous lesions [19, 20]. In addition, the role of GNAS mutation in distinguishing MCN from BD-IPMN will need to be studied in larger prospective studies with specimens collected from consecutive patients.
In conclusion, we report differential incidence of KRAS and GNAS mutations among PDAC and IPMNs. Specifically, KRAS mutations are strongly associated with PDAC and mucinous pancreatic cystic neoplasms, while GNAS mutations are more common to IPMN lesions, not present in MCN, and rarely found in SCA. Furthermore, double mutations of KRAS and GNAS only occurred in IPMN, and these findings may allow more accurate diagnosis of IPMN and potentially differentiation of MCN from BD-IPMN.
Received June 11th, 2014 – Accepted September 05th, 2014
Key words Cystadenoma, Mucinous; Cystadenoma, Serous; Pancreatic Cyst; Pancreatic Neoplasms
Acknowledgements Jeffrey Houghton, Sachin Sah, Anna E Szafranska-Schwarzbach, and Bernard F Andruss are employees of Asuragen, Inc. (Austin, TX, USA). For the remaining authors, none were declared
Conflict of interest Authors declare to have no conflict of interest
Correspondence
Linda S Lee
75
Francis St.
Boston, MA 02115
USA
Phone:
+1-617.732.7429
Fax: +1-617.525.8740
E-mail: lslee@partners.org
References
1. Simeone DM. SSAT/AGA/ASGE state of the art conference on cystic neoplasms of the pancreas. J Gastrointest Surg. Aug 2008; 12: 1475-1477.[PMID: 18224378]
2. Fasanella KE, McGrath K. Cystic lesions and intraductal neoplasms of the pancreas. Best Pract Res Clin Gastroenterol. 2009; 23: 35-48. [PMID: 19258185]
3. Lee LS, Clancy T, Kadiyala V, Suleiman S, Conwell DL. Interdisciplinary management of cystic neoplasms of the pancreas. Gastroenterol Res Pract. 2012; 2012: 513163. [PMID: 23133446]
4. lee LS. Evaluation and management of pancreatic cystic lesions. J Clin Outcomes Manage. 2013; 20: 129-142
5. Khalid A, Zahid M, Finkelstein SD, et al. Pancreatic cyst fluid DNA analysis in evaluating pancreatic cysts: a report of the PANDA study. Gastrointest Endosc. May 2009; 69: 1095-1102. [PMID: 19152896]
6. Wu J, Matthaei H, Maitra A, et al. Recurrent GNAS mutations define an unexpected pathway for pancreatic cyst development. Sci Transl Med. 2011; 3: 92ra66.[PMID: 21775669]
7. Furukawa T, Kuboki Y, Tanji E, et al. Whole-exome sequencing uncovers frequent GNAS mutations in intraductal papillary mucinous neoplasms of the pancreas. Sci Rep. 2011;1 :161.[PMID: 22355676]
8. Kloppel G, Luttges J. WHO-classification 2000: exocrine pancreatic tumors. Verh Dtsch Ges Pathol. 2001; 85: 219-228.[PMID: 11894402]
9. Hadd AG, Houghton J, Choudhary A, et al. Targeted, high-depth, next-generation sequencing of cancer genes in formalin-fixed, paraffin-embedded and fine-needle aspiration tumor specimens. J Mol Diagn. Mar 2013; 15: 234-247. [PMID: 23321017]
10. Correa-Gallego C, Ferrone CR, Thayer SP, Wargo JA, Warshaw AL, Fernandez-Del Castillo C. Incidental pancreatic cysts: do we really know what we are watching? Pancreatology. 2010; 10: 144-150. [PMID: 20484954]
11. Brugge WR, Lewandrowski K, Lee-Lewandrowski E, et al. Diagnosis of pancreatic cystic neoplasms: a report of the cooperative pancreatic cyst study. Gastroenterology. May 2004; 126: 1330-1336. [PMID: 15131794]
12. Lee LS, Saltzman JR, Bounds BC, Poneros JM, Brugge WR, Thompson CC. EUS-guided fine needle aspiration of pancreatic cysts: a retrospective analysis of complications and their predictors. Clin Gastroenterol Hepatol. Mar 2005; 3: 231-236. [PMID: 15765442]
13. Maker AV, Lee LS, Raut CP, Clancy TE, Swanson RS. Cytology from pancreatic cysts has marginal utility in surgical decision-making. Ann Surg Oncol. Nov 2008; 15: 3187-3192. [PMID: 18766406]
14. van der Waaij LA, van Dullemen HM, Porte RJ. Cyst fluid analysis in the differential diagnosis of pancreatic cystic lesions: a pooled analysis. Gastrointest Endosc. Sep 2005; 62: 383-389. [PMID: 16111956]
15. Sakorafas GH, Smyrniotis V, Reid-Lombardo KM, Sarr MG. Primary pancreatic cystic neoplasms revisited. Part I: serous cystic neoplasms. Surg Oncol. Jun 2011; 20: e84-92. [PMID: 21237638]
16. Tanaka M, Fernandez-del Castillo C, Adsay V, et al. International consensus guidelines 2012 for the management of IPMN and MCN of the pancreas. Pancreatology. 2012; 12: 183-197. [PMID: 22687371]
17. Sawhney MS, Al-Bashir S, Cury MS, et al. International consensus guidelines for surgical resection of mucinous neoplasms cannot be applied to all cystic lesions of the pancreas. Clin Gastroenterol Hepatol. Dec 2009; 7: 1373-1376. [PMID: 19577006]
18. Shen J, Brugge WR, Dimaio CJ, Pitman MB. Molecular analysis of pancreatic cyst fluid: a comparative analysis with current practice of diagnosis. Cancer. Jun 25 2009; 117: 217-227. [PMID: 19415731]
19. Lee LS, Szafranska-Schwarzbach AE, Wylie D, et al. Investigating MicroRNA Expression Profiles in Pancreatic Cystic Neoplasms. Clin Transl Gastroenterol. 2014; 5: e47. [PMID: 24476997]
20. Park WG, Wu M, Bowen R, et al. Metabolomic-derived novel cyst fluid biomarkers for pancreatic cysts: glucose and kynurenine. Gastrointest Endosc. 2013; 78: 295-302 e292. [PMID: 23566642]