CASE REPORT
JOP. J Pancreas (Online) 2014 Sep 28; 15(5):489-492.
Agenesis of Dorsal Pancreas Associated with Periampullary Pancreaticobiliary Type Adenocarcinoma
Raghu M Sannappa1, Jadunath Buragohain2, Dipti Sarma1, Uma Kaimal Saikia1, Bipul Kumar Choudhury1
Departments of 1Endocrinology and 2Surgery, Gauhati Medical College and Hospital. Guwahati, India
ABSTRACT
Context Agenesis of the dorsal pancreas is one of the rare congenital malformations of pancreas. The association of agenesis of the dorsal pancreas with pancreatic tumors is extremely rare and only around 9 cases being reported till date. Case report We report a case of a fifty one year old woman with an agenesis of the dorsal pancreas with periampullary pancreaticobiliary adenocarcinoma. She presented with features of obstructive jaundice without pain abdomen or fever. Laboratory data showed conjugated hyperbilirubinemia, raised alkaline phosphatase and impaired glucose tolerance. Ultrasound abdomen showed periampullary mass. MRI abdomen and MRCP demonstrated dorsal agenesis of the pancreas, dilated intra and extra hepatic bile ducts with narrowing of distal CBD with periampullary mass. Pancreatic tumor was considered as preoperative diagnosis, and pancreaticoduodenectomy was performed. Histopathology confirmed pancreaticobiliary type of adenocarcinoma. Conclusion A rare case of dorsal agenesis of the pancreas with periampullary pancreaticobiliary type of adenocarcinoma was presented. Therefore this case therefore merits reference as a rare clinical presentation.
INTRODUCTION
Agenesis of dorsal pancreas (ADP) also known as congenital short pancreas is a rare congenital malformation, resulting from failure of development of the dorsal pancreatic bud in the fetus [1]. This leads to absence of body and tail of the pancreas. The pancreas development begins during fourth week of gestation from the two endoderm buds of the foregut, ventral and dorsal bud. Ventral bud forms the head and uncinate process of pancreas. Dorsal bud forms the upper part of head, isthmus, body and tail of the pancreas. Both the ventral and dorsal bud fuse to form the complete pancreas by sixth to seventh week of gestation [1]. The duct of ventral bud fuses with the duct of dorsal pancreatic bud to form duct of Wirsung (main pancreatic duct) and the remaining proximal duct of the dorsal bud forms the duct of Santorini (accessory duct). Agenesis of dorsal pancreas is a very rare condition; only around 55 cases have been reported in the literature from 1913 to 2013 [2]. Because of its rarity, the exact incidence of ADP is not known [2]. The existence of ADP was first described in 1911 in an autopsy study and was associated with diabetes mellitus [3]. The association of ADP with pancreatic tumors is extremely rare and only around 9 cases being reported till date. With this background we report a case of agenesis of dorsal pancreas with periampullary carcinoma.
CASE SUMMARY
A 51-year-old female, presented with a history of jaundice, generalized itching, and weight loss of one month duration, without any history of pain abdomen, fever, nausea, vomiting or steatorrhea. She was a known hypertensive for last 2 years on medication, without any significant past history of diabetes mellitus, pancreatitis or malignancies. There was no history of smoking or alcohol intake. Her family history was not significant. Physical examination revealed icterus, pallor and blood pressure of 140/84 mmHg. Abdominal examination did not reveal any significant findings. Laboratory investigation showed: total bilirubin 13.4 mg/dL (reference range: 0.2-1.3 mg/dL), conjugated bilirubin 10.77 mg/dL (0-0.3 mg/dL), unconjugated bilirubin 2.33 mg/dL (0-1.1 mg/dL) alkaline phosphatase 396 IU/L (38-126 U/L), AST 85 IU/L (17-59 U/L), ALT 74 IU/L (21-72 U/L), serum albumin 3.6 g/dL (3.5-5 g/dL), prothrombin time 15.9 sec (12-16 sec), INR 1.3 (1-1.5) and haemoglobin 10.2 g/dL (11-14 g/dL). She had impaired glucose tolerance, with HbA1c of 6.3%.
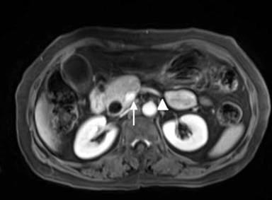
An USG abdomen showed mild hepatomegaly with extrahepatic biliary dilatation and periampullary mass. MRI and MRCP abdomen revealed dilated intra and extra hepatic bile ducts with narrowing of distal CBD with periampullary mass (Figures 1 and 2). MRI abdomen also showed hypoplasia of body and tail of the pancreas suggestive of agenesis of dorsal pancreas (Figure 2). ERCP was done and put biliary stent.

|
Figure 1. MRCP Image showing dilated common bile duct (arrow head) with short main pancreatic duct (arrow) suggestive of agenesis of dorsal pancreas. |

|
Figure 2. T1FS CEMRI abdomen showing agenesis of the dorsal pancreas. A prominent pancreatic head (arrow) with dilated common bile duct and pancreatic tissue does not extend to the left of the superior mesenteric vein (arrow head). |
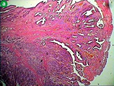
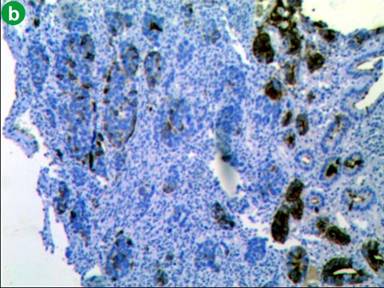
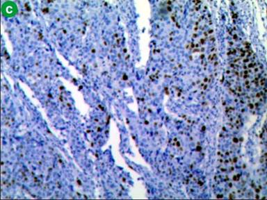
Patient underwent surgery, where a large mass of size 3 cm was found in the periampullary region with absence of body and tail of the pancreas confirming the diagnosis of agenesis of dorsal pancreas. A total pancreatectomy, duodenectomy, Roux-en-Y gastrojejunostomy, hepaticojejunostomy, and cholecystectomy were performed. On gross examination, a large ulceroinfiltrative lesion (3.0×2.5×2.0 cm) involving mostly periampullary region was found which was firm in consistency, pale greyish white in appearance with ill defined edges appearing to invade almost full thickness of the duodenal wall extending onto subserosa (Figure 3). Histopathological examination revealed invasive poorly differentiated adenocarcinoma with diffuse deep infiltration involving almost full thickness of the duodenal wall and invading subserosa (Figure 4a). Immunohistochemistry was done and the tumor cells were positive for immunohistochemical markers CA 19-9 (Figure 4b), cytokeratin-7, KI-67 (Figure 4c) and negative for CEA, cytokeratin-20. No lymph node metastasis was found.

|
Figure 3. Resected specimen showing the periampullary mass (upward arrow), CBD stent in situ (arrow head) and pancreas (downward arrow). |



|
Figure 4. a. Histopathological image of periampullary lesion (low power view) showing diffuse infiltration of tumor cells up to serosa off duodenum. b. Immunohistochemical staining of poorly differentiated tumor showing positive for tumor marker CA-19-9 and KI-67. c. Immunohistochemical staining of poorly differentiated tumor showing positivity for proliferative marker Ki-67. |
Post operatively patient developed hyperglycemia and she was managed with insulin and advised adjuvant chemotherapy.
DISCUSSION
Agenesis of dorsal pancreas is a very rare congenital pancreatic malformation [4]. Complete agenesis of pancreas is not compatible with life. In the literature only around 55 cases have been reported in the last 100 years [2]. ADP may be complete or partial, partial ADP is more frequent. In complete ADP, body, tail of the pancreas and duct of Santorini are absent whereas in partial ADP pancreatic body, accessory papilla, terminal end of the duct of Santorini is present and only the tail of the pancreas is absent [5].
ADP is due to developmental failure of dorsal pancreatic bud during embryogenesis. Exact cause of agenesis of the dorsal pancreas is unknown, but it may be due to primary dysgenesis of the dorsal pancreatic bud and lack of blood supply during pancreas development are the possible mechanisms [6]. Familial occurrence has been reported and this is suggestive of genetic predisposition. Exact genetic factors in humans have not been detected. However in mice studies, mice deficient in homeobox gene H1xb9 [7] and mutation in Raldh-2 (retinaldehyde dehydrogenase 2) or deficiency of retinoic acid leads to agenesis of dorsal pancreas [8].
Patients with ADP are mostly asymptomatic and detected incidentally during an evaluation for an unrelated cause [5] ADP presents with various clinical manifestations like abdominal pain, pancreatitis, diabetes mellitus and exocrine pancreatic insufficiency and steatorrhea [4,9,10]. A review published by Sakpal SV et al. [10] in all the reported cases of ADP found that diabetes mellitus is the most commonly associated disease followed by pancreatitis. Our patient presented with symptoms of obstructive jaundice and she was not a diabetic. ADP usually presents as the single congenital anomaly however it is reported to be associated with gastrointestinal abnormalities such as polysplenia syndrome, ectopic spleen, bowel malrotation, cardiac abnormalities such as coarctation of aorta, atrioventricular valvular abnormalities and total anomalous pulmonary venous connection [10-15].
In the past, the diagnosis of pancreatic agenesis was only made at autopsy or laparotomy. With increasing availability of newer imaging techniques diagnosis of ADP is increased and it can be made by ultrasound, CT, MRCP and ERCP [9,10,14,16]. Agenesis of dorsal pancreas can be diagnosed with ERCP by demonstrating the absence of the dorsal duct system and the minor papilla. ERCP is an invasive procedure and is operator dependent. So, MRCP is an alternative choice of investigation as it is a non-invasive procedure and can accurately depict ductal morphology [16]. Because MRCP is costly and availability is limiting factor, CT abdomen with three-dimensional imaging modality makes it the initial diagnostic modality of choice.
Our patient had periampullary carcinoma with agenesis of dorsal pancreas. Periampullary carcinoma is a tumor arising in the vicinity of the ampulla of Vater [17]. They can originate from the pancreas, duodenum and distal common bile duct [18]. These tumors are classified on the basis of their tissue of origin; they are different from the classical adenocarcinoma of the pancreas and they may be either benign or malignant tumors. Pathological examination of these tumors showed that 60% of are of pancreatic origin, 20% from ampulla of Vater, 20% from common bile duct and rest 10% arise from duodenum [18]. In literature around 9 cases pancreatic cancer have been reported in association with agenesis of dorsal pancreas. Among these pancreatic ductal adenocarcinoma was the most frequent, being reported in 5 patients, solid papillary tumor in 2 patients, IPMN with well differentiated, invasive mucinous adenocarcinoma in 1 patient and 1 patient with periampullary carcinoma [11, 19-23]. Only one case of periampullary carcinoma was reported by A Kapoor et al. [23] from India and ours is the second case. Our case had poorly differentiated adenocarcinoma and we did immunohistochemistry. Immunohistochemistry showed, tumor cells were positive for markers CA 19-9, KI-67, cytokeratin-7 (Figure 4b and 4c) and negative for intestinal markers like cytokeratin-20 and CEA (carcinoembryonic antigen) suggestive of pancreatico-biliary type of poorly differentiated adenocarcinoma. Pancreatico-biliary tumors follow a more aggressive course similar to that of pancreatic adenocarcinoma with worse prognosis. Our patient underwent total pancreatectomy and post operatively she developed insulin dependent diabetes mellitus.
Agenesis of dorsal pancreas is a very rare pancreatic congenital anomaly detected incidentally or with various clinical manifestations. With the advent of newer imaging techniques this rare congenital anomaly is being reported increasingly. Association of ADP with periampullary carcinoma and pancreatic cancer is very, but it is a serious condition. Therefore when a case of ADP is detected, we should also keep in mind the possibility of coexistence of pancreatic tumors, because these patients needs complete pancreatectomy and will develop diabetes mellitus requiring lifelong insulin therapy.
Received June 20, 2014 – Accepted September 2, 2014
Key words Adenocarcinoma; Carcinoembryonic Antigen; Carcinoma, Pancreatic Ductal; Pancreas agenesis, dorsal
Conflict of Interest The authors did not report any potential conflicts of interest
Correspondence
Raghu M Sannappa
Department of Endocrinology
Gauhati Medical College and Hospital
Guwahati
India
Phone: +91-996.493.2300
E-mail: dr.msraghu@gmail.com
References
1. Wang JT, Lin JT, Chuang CN, Wang SM, Chuang LM, Chen JC, et al. Complete agenesis of the dorsal pancreas. A case report and review of the literature. Pancreas 1990; 5:493-7. [PMID:2199969]
2. Bento A, Baptista H, Oliveira F. Congenital pancreas malformations: a clinical case report. Rev Assoc Med Bras. 2013; 59:35-9. [PMID:23440140]
3. Heiberg KA (1911) Ein Fall von fehlender Cauda pancreatis (beieinem Diabetiker). Centralbl Allg Pathol Patholog Anat 22:676–677.
4. Voldsgaard P, Kryger-Baggesen N, Lisse I. Agenesis of pancreas. Acta Paediatr. 1994; 83:791-793 [PMID:7949819]
5. Schnedl WJ, Piswanger-Soelkner C, Wallner SJ, Krause R, Lipp RW, Hohmeier HE. Agenesis of the dorsal pancreas and associated diseases. Dig Dis Sci. 2009; 54:481-7 [PMID:18618254]
6. Shah KK, DeRidder PH, Schwab RE, Alexander TJ. CT diagnosis of dorsal pancreas agenesis. J Comput Assist Tomogr 1987; 1:170-1. [PMID:3805410]
7. Li H, Arber S, Jessell TM, Edlund H. Selective agenesis of the dorsal pancreas in mice lacking homeobox gene Hlxb9. Nat Genet. 1999; 23:67-70. [PMID:10471501]
8. Martin M, Gallego-Llamas J, Ribes V, et al. Dorsal pancreas agenesis in retinoic acid-deficient Raldh2 mutant mice. Dev Biol. 2005;284:399 – 411. [PMID:16026781]
9. Balakrishnan V, Narayanan VA, Siyad I, Radhakrishnan L, Nair P. Agenesis of the dorsal pancreas with chronic calcific pancreatitis. Case report, review of the literature and genetic basis. JOP. 2006;7:651- 659 [PMID:17095847]
10. Sakpal SV, Sexcius L, Babel N, and Chamberlain RS: Agenesis of the Dorsal Pancreas and Its Association with Pancreatic Tumors. Pancreas. 2009; 38:367-73. [PMID:10471501]
11. Kapa S, Gleeson FC, Vege SS. Dorsal pancreas agenesis and polysplenia/heterotaxy syndrome: a novel association with aortic coarctation and a review of the literature.JOP. 2007; 8:433 - 437. [PMID:17625295]
12. Pasaoglu L, Vural M, Hatipoglu HG, Tereklioglu G, Koparal S. Agenesis of the dorsal pancreas. World J Gastroenterol. 2008;14: 2915-6. [PMID:18473421]
13. Kayhan B, Ozer D, Akdoğan M, Tekin I, Ozçay N. Hypoplastic pancreas and ectopic spleen as an abdominal mass: a case report. Turk J Gastroenterol. 2006;17: 216-218. [PMID:16941258]
14. Sano T, Higuma K, Utsunomiya N, Okabe Y, Toyama S, Inoue K, Omi Y et al. A case of agenesis of the dorsal pancreas in an adult diabetic with spina bifida. Nihon Shokakibyo Gakkai Zasshi. 1979; 76:1539 – 1544. [PMID:385950]
15. Matsusue S, Kashihara S, Koizumi S. Pancreatectomy for carcinoma of the head of the pancreas associated with multiple anomalies including the preduodenal portal vein. Jpn J Surg. 1984; 14(5):394-398.[PMID:6513208]
16. Macari M, Giovanniello G, Blair L, et al. Diagnosis of agenesis of the dorsal pancreas with MR pancreatography.AJR Am J Roentgenol. 1998; 170:144 - 146. [PMID:9423620]
17. Rattner DW, Warshaw AL. Disorders of the duodenal ampullae. In: Zinner MJ, Schwartz SI, Ellis H, editors. Maingot's Abdominal Operations. USA: Appleton and Lange; 1999. Vol. II. pp 1755-1750.
18. P. Jagannath,, Shailesh Shrikhande. Current options in the diagnosis and management of periampullary carcinoma. Indian journal of surgery 2003; 65: 347-353.
19. David W. Rittenhouse, Eugene P. Kennedy, Andres A. Mascaro, Jennifer L. Brumbaugh, Louis H. Stein, et al.; The Novel Triad of Dorsal Agenesis of the Pancreas with Concurrent Pancreatic Ductal Adenocarcinoma and Nonalcoholic Chronic Calcific Pancreatitis: A Case Series and Review of the Literature. J Gastrointest Surg. 2011; 15: 1643–1649. [PMCID:PMC3282461]
20. Ulusan S, Bal N, Kizilkilic O, Bolat F, Yildirim S, Yildirim T, Niron EA. Case report: solid-pseudopapillary tumour of the pancreas associated with dorsal agenesis. Br J Radiol. 2005; 78:441- 443. [PMID:15845940]
21. Ulusan S, Yakar T, Koc Z, Kayaselcuk F, Torer N. Adenocarcinoma of the pancreas associated with dorsal agenesis. Pancreas. 2006; 33:437- 439. [PMID:17079954]
22. Nakamura Y, Egami K, Maeda S, Hosone M, Onda M. Solid and papillary tumor of the pancreas complicating agenesis of the dorsal pancreas. J Hepatobiliary Pancreat Surg. 2001; 8:485 - 489. [PMID:11702261]
23. Kapoor A, Singh RK. Periampullary carcinoma in a patient with agenesis of dorsal pancreas. JSCR 2011 9:4.