CASE REPORT
JOP. J Pancreas (Online) 2014 Sep 28; 15(5):493-496.
The Role of Endoscopic Ultrasound in Primary Pancreatic Lymphoma Presented with Acute Pancreatitis: A Case Report
Seyed Hassan Abedi, Alireza Ahmadzadeh, Ali Nikmanesh, Amir Houshang Mohammad Alizadeh
Shahid Beheshti University of Medical Sciences, Taleghani Hospital. Tehran, Iran
ABSTRACT
Context Primary pancreatic lymphoma (PPL) is rare but manageable malignant tumor of the pancreas which may be confused with pancreatic adenocarcinoma. Case report We report a 38 year-old smoker man with IVDA and history of B (inactive carrier), C (Ia genotype) hepatitis and negative for HIV admitted to our hospital because of nausea, vomiting, epigastric and RUQ pain as a result of long period of alcohol consumption. Due to high amount of amylase (480 U/L) and lipase (326 U/L) Pancreatitis was diagnosed. Four days after admission CT was done that showed enhancement a large tumor of the head of the pancreas. Endoscopic ultrasound (EU) revealed diffusely enlarged of pancreas. There was a mixed echoic mass lesion 37-50 mm at the head of pancreas (R/O walled off necrosis) with adhesion to portal vein and SMV. On the other hand the CBD was 9 mm. Abdominal MRI and MRCP for patient was done. The intra-hepatic bile ducts, main hepatic ducts, CHD and CBD were mildly dilated and displaced to the right side by a large lobulated mass (160×112×130 mm) of pancreatic head with low signal intensity on T1W images and high intensity on T2W images. we did EUS-FNA and there was a mixed echotic lesion (38-40 mm) adhered to head of pancreas with invasion to portal vein, SMA and SMV. The diagnosis of pancreatic lymphoma was established by immunohistochemical study and the assessment of the neoplastic cells revealed B cell lymphoma phenotypes. Conclusion Herein we present an interesting 38 year- old man with pancreas head tumor. Primary pancreatic lymphoma is almost never suspected clinically. It is usually diagnosed by imaging and histological methods.
INTRODUCTION
Most primary pancreatic lymphomas (PPL) are non-Hodgkin’s Lymphomas (NHL). More than 25 percent of NHL originates from extra-lymphatic organs, about 30 percent of which may involve the pancreas [1]. The gastrointestinal tract, especially the stomach and the small bowel, is the most commonly involved extranodal site, accounting for about half cases [2]. PPL is a rare extra-lymphatic NHL of the B cell type that comprising less than less than 1 to 2% of all extra-lymphatic lymphomas, and 0.5% of pancreatic tumors [3, 4]. Symptoms, imaging and tumor markers can mimic pancreatic adenocarcinoma thus PPL can be difficult to differentiate from pancreatic adenocarcinoma without definitive pathological diagnosis. PPL are much more amenable to treatment compared with pancreatic adenocarcinoma and correct diagnosis is crucial given that PPL has different managing and prognosis [5, 6]. It is important to diagnose PPL because of its better prognosis and also a different management strategy in comparison with pancreatic adenocarcinoma. This report describes an interesting case of primary pancreatic lymphoma.
CASE REPORT
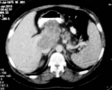
A 38-year-old smoker man with IVDU (intravenous drug using) and history hepatitis of B (inactive carrier), C (Ia genotype) and negative for HIV was admitted to our hospital because of nausea, vomiting, epigastric and RUQ (right upper quadrant) pain as a result of long period of alcohol consumption. He took two periods treatment for C hepatitis with viral load 327,000 IU/mL. Unlike the first period, the second period was complete. PEG-IFN and RBV were taken from patient who had no response. Also his wife had B hepatitis and takes lamivudine. Due to high amount of amylase (480 U/L; normal value: 30-110 U/L) and lipase (326 U/L; normal value: 7-60 U/L) Pancreatitis is diagnosed. Four days after admission CT was done that showed enhancement a large tumor of the head of the pancreas (Figure 1).

|
Figure 1. CT four days after admission showed enhancement a large tumor of the head of the pancreas. |
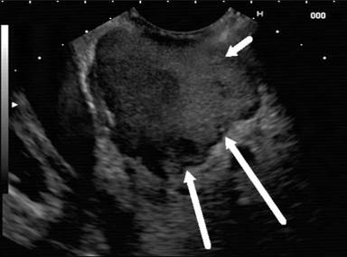
Endoscopic ultrasound (EU) (Figure 2) revealed diffusely enlarged of pancreas. There was a mixed echoic mass lesion 37-50 mm at the head of pancreas (R/O walled off necrosis) with adhesion to portal vein and SMV (superior mesenteric vein). On the other hand the CBD (common bile duct) was 9 mm.

|
Figure 2. Diffusely enlarged of pancreas and echoic mass lesion 37-50 mm at the head of pancreas (R/O walled off necrosis) with adhesion to portal vein and SMV. |
After early improvement, the patient was discharged against medical advice. Two months later, due to jaundice, itching and loss weight the patient returned again. The patient‘s laboratory findings on admission included: AST 60 IU/L (normal range <40), ALT 45 IU/L (normal range <40), ALP 520 IU/L (normal range <270), ferritine 204 ng/mL (normal range: 12-160 ng/mL), bilirubin-T 18.5 mg/dL (normal range: 0.2-1.3 mg/dL), bilirubin-D 8.3 mg/dL (normal range: <0.3 mg/dL), ESR-1st hr 32 mm/hr (normal range: 0-22 mm/hr), CRP-quantitative 20 mg/L (normal range: 0-10mg/dL), CEA 0.6 ng/mL (normal range: <5 μg/L in smokers), alpha-FP 2.6 ng/mL (normal range: <10 µg/L), CA 19-9 15 U/mL (normal range: <37 U/mL), CA 125 5 U/mL (normal range: <35 U/mL), PT-patient 13 seconds (normal range: 12-14 seconds) and PT-control 12 sec, INR 1.14 (normal range: 0.9- 1.1).
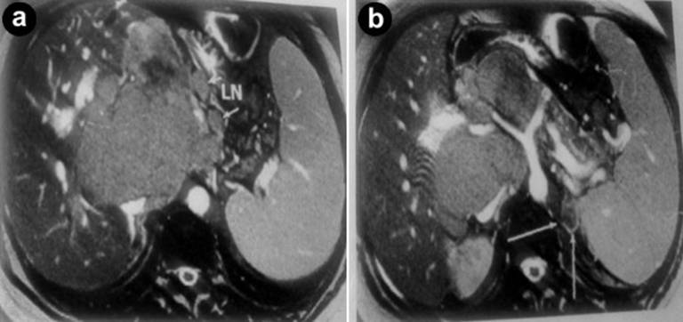
Abdominal MRI (Figure 3) and MRCP (Figure 4) for patient were done. The intra-hepatic bile ducts, main hepatic ducts, CHD and CBD are mildly dilated and displaced to the right side by a large lobulated mass (160×112×130 mm) of pancreatic head with low signal intensity on T1W images and high intensity on T2W images.

|
Figure 3. The intra-hepatic bile ducts, main hepatic ducts, CHD, CBD are mildly dilated and displaced to the right side by pancreatic head mass (160×112×130 mm) on T1W and T2W images. |

|
Figure 4. MRCP has shown pancreatic head mass (160×112×130 mm) and mildly dilatation of intra-hepatic bile ducts, main hepatic ducts, CHD and CBD. Region surrounded by multiple lymph nodes (up to 20 mm). |
Region with multiple surrounding lymph nodes (up to 20 mm) compressing portal hepatic and encasing celiac trunk branches without stenosis. The pancreatic duct is only mildly dilated. The spleen has enlarged (170 mm). According low signal intensity on T1W images a 19 mm left adrenal mass detected; it could be an adrenal adenoma.
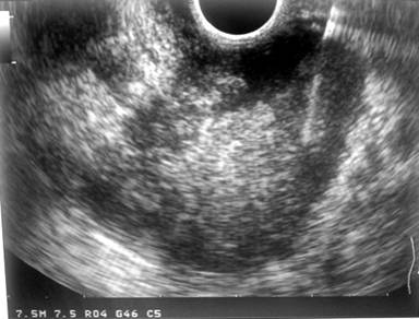
Endoscopic retrograde cholangiopancreatography (ERCP) for the patient was done and CBD stent used. In continue we did EUS-FNA (Figure 5) and there was a mixed echoic lesion adhered to head of pancreas with invasion to portal vein, SMA (superior mesenteric artery) and SMV.

|
Figure 5. EUS-FNA indicated echoic lesion adhered to head of pancreas with invasion to portal vein, SMA and SMV. |
Pathological examination (Figure 6) of the prepared cell block from the pancreas tumor indicated sheet of small round cells with moderate anisonucleosis. Many isolated cells having enlarged vesicular nuclei with distinct nucleoli. The chromatin pattern is coarse and the nuclear membrane is smooth mitotic figures are easy to find. Background is blood rich. According EUS guided needle aspiration of pancreatic head (cell block section) the presence of small round cells tumor Indicating lymph proliferative disorder and IHC study is mandatory to confirm the diagnosis.

|
Figure 6.The neoplasm is composed of many small round cells with moderate anisonucleosis (H&E). |
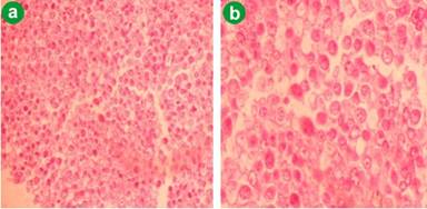
The immunohistochemical studies were performed using antihuman antibodies against the following markers: Unlike cytokeratin and CD3 (Figure 7) that were negative in tumor cell, LCA, Ki67 (in 5% of tumor cells) and CD20 strongly were positive in tumor cells (Figure 8).

|
Figure 7. The cytokeratin (a.) and CD3 (b.) marker are negative in pancreas tumor cell. |

|
Figure 8. The cell proliferation marker Ki-67 (a.), CD20 (b.) and LCA (c.) were positive in pancreas tumor cell. |
The diagnosis of pancreatic lymphoma was established by immunohistochemical study and the assessment of the neoplastic cells revealed B cell lymphoma phenotypes.
DISCUSSION
Pancreatic lymphoma is categorized as a nonepithelial tumor of the pancreas [7]. It is most commonly a B-cell sub-type of non-Hodgkin lymphoma and is classified as either primary or secondary.PPL is a rare extranodal manifestation of any histopathological subtype of B-cell non-Hodgkin's lymphoma, representing less than1- 2% of extranodal lymphomas and 0.5% of pancreatic tumors [8, 9]. Volmar et al. found 14 cases (1.3%) of PPL in biopsy of 1050 cases of pancreatic mass lesions [10]. In a review of 207 cases of malignant pancreatic tumors, there were only 3 cases (1.5%) of pancreatic lymphoma [11]. The symptoms may be nonspecific, but can include abdominal pain, weight loss, night sweats, and small bowel obstruction. Bellyache and abdominal mass are two major symptoms which present in 83% and 58% of PPL cases, respectively [12, 13]. Also mild alteration of the main pancreatic duct and elevation of serum amylase levels may be observed but the clinical manifestation of pancreatitis is infrequent. Lymphomatous involvement of the ampullary channel and common bile duct may cause stenosis and strictures [14]. The proximity of the liver to the pancreas and the fact that the liver and pancreas share common blood vessels and ducts may make the pancreas another potential target organ for hepatitis viruses. Diagnostic criteria for PPL, was defined by Dawson et al. [15-17] include: 1. neither superficial lymphadenopathy nor enlargement of mediastinal lymph nodes on chest radiography; 2. a normal leukocyte count in peripheral blood; 3. main mass in the pancreas with lymphnodal involvement confined to per pancreatic region; and 4. no hepatic or splenic involvement. Abdominal pain, weight loss, nausea, vomiting, jaundice, acute pancreatitis, and small bowel obstruction are the non-specific symptoms of PPL [18].
In fact hepatitis B surface antigen (HBsAg), a marker for chronic HBV infection, was detected in pure pancreatic juice and bile [19]. This finding was later supported by studies showing evidence of HBV replication in pancreatic cells and concurrent damage to exocrine and endocrine epithelial cells with an inflammatory response [20, 21]. It was observed an association between past exposure to HBV and risk for pancreatic cancer development [22]. Hepatitis C virus (HCV) infection has been associated with the development of B cell NHL (including diffuse large B cell lymphoma, marginal zone lymphoma and extranodal marginal zone B cell lymphoma of mucosa-associated lymphoid tissue) [23, 24]. It is important to PPL differentiated from pancreas adenocarcinoma because they have different management. Imaging results play a key role in diagnosis of PPL. Percutaneous ultrasound (US), endoscopic ultrasonography (EUS), computed tomography (CT), MRCP and MRI are well-established procedures to evaluate pancreatic masses [25-28]. Although certain serum abnormalities and CT changes are suggestive of lymphoma, tissue examination is essential for diagnosis. Patients presenting with advanced disease may be diagnosed by peripheral lymph node FNA, core or open biopsy [5, 29]. Histological analysis is crucial for differentiating between adenocarcinoma and lymphoma of the pancreas and treatment planning of patient. Investigation of histological marker such as CD20, CD3 and Ki67 can be useful [14, 30]. Also serum carbohydrate antigen 19-9 (CA 19-9) level in patients with PPL is usually not elevated. This is in contrast with pancreatic adenocarcinoma, in which almost 80% of cases have a high CA 19-9 level [31]. Treatment options contain surgical resection, chemotherapy alone, or combined radiation and chemotherapy. Response rates to chemotherapy alone are very good, with approximately 72% of patients showing no evidence of disease at 34 months [13, 32].
Received July 20th, 2014 – Accepted September 2nd, 2014
Key words Adenocarcinoma; Lymphoma; Pancreas; Pancreatic Neoplasms
Conflict of Interest The authors declare that they have no conflict of interest
Correspondence
Amir Houshang Mohammad Alizadeh
Shahid Behesti University of Medical Sciences
Taleghani Hospital
Parvaneh Ave., Tabnak Str., Evin
Tehran
Iran-19857
P.O. Box: 19835-178
Phone: +98-21.2243.2521
Fax: +98-21.2243.2517
E-mail: ahmaliver@yahoo.com
References
1. Behrns KE, Sarr MG, Strickler JG. Pancreatic lymphoma: is it a surgical disease? Pancreas. 1994; 9: 662-7. [PMID: 7809023]
2. Zucca E, Roggero E, Bertoni F, Cavalli F. Primary extranodal non-Hodgkin’s lymphomas. Part Gastrointestinal, cutaneous, and genitourinary lymphomas. Ann Oncol. 1997; 8: 727-37. [PMID: 9332679]
3. Freeman C, Berg JW, Cutler SJ. Occurrence and prognosis of extranodal lymphomas. Cancer. 1972 ;29:252-60. [PMID:5007387]
4. Baylor SM, Berg JW. Cross-classification and survival characteristics of 5,000 cases of cancer of the pancreas. J Surg Oncol. 1973; 5:335-358.
5. Nayer H, Weir EG, Sheth S, Ali SZ. Primary pancreatic lymphomas: a cytopathologic analysis of a rare malignancy. Cancer. 2004;102: 315-21. [PMID:15386314]
6. Grimison PS, Chin MT, Harrison ML, Goldstein D. Primary pancreatic lymphoma--pancreatic tumours that are potentially curable without resection, a retrospective review of four cases. BMC Cancer. 2006; 6:117. [PMID:16674812]
7. Piesman M, Forcione DG. A case of pancreatic lymphoma. Med Gen Med. 2007;9: 32.
8. Liakakos T, Misiakos EP, Tsapralis D, Nikolaou I, Karatzas G, Macheras A. A role for surgery in primary pancreatic B-cell lymphoma: a case report. J Med Case Rep. 2008;2:167.
9. Rose JF, Jie T, Usera P, Ong ES. Pancreaticoduodenectomy for primary pancreatic lymphoma. Gastrointest Cancer Res. 2012 Jan; 5:32-4. [PMID:22574235]
10. Volmar KE, Routbort MJ, Jones CK, Xie HB. Primary pan- creatic lymphoma evaluated by fine-needle aspiration: findings in 14 cases. Am J Clin Pathol. 2004; 121: 898-903. [PMID:15198364]
11. Reed K, Vose PC, Jarstfer BS. Pancreatic cancer: 30 year review (1947 to 1977). Am J Surg. 1979; 138: 929-933. [PMID:92204]
12. Nishimura R, Takakuwa T, Hoshida Y, Tsujimoto M, Aozasa K. Primary pancreatic lymphoma: clinicopathological analysis of 19 cases from Japan and review of the literature. Oncology. 2001; 60: 322-329. [PMID:11408800]
13. Saif MW. Primary pancreatic lymphomas. J Pancreas 2006; 7: 262-273.
14. Misdraji J, Fernandez del Castillo C, Ferry JA. Follicle center lymphoma of the ampulla of Vater presenting with jaundice: report of a case. Am J Surg Pathol. 1997; 21: 484-488. [PMID:9130997]
15. Dawson IM, Cornes JS, Morson BC. Primary malignant lymphoid tumours of the intestinal tract. Report of 37 cases with a study of factors influencing prognosis. Br J Surg. 1961; 49: 80-9. [PMID:13884035]
16. Bouvet M, Staerkel GA, Spitz FR, et al. Primary pancreatic lymphoma. Surgery. 123: 382-390, 1998.
17. Goldschmiedt M, Gutta K. Other tumors and diseases of the pancreas. In: Feldman M, S charschmidt BF, S leisenger MH, (Eds). Gastrointestinal and Liver Diseases. 6th ed., Philadelphia: W.B. Saunders Co., pp. 898-899, 1998.
18. Alexander RE, Nakeeb A, Sandrasegaran K, Robertson MJ, An C, Al-Haddad MA, et al. Primary pancreatic follicle center-derived lymphoma masquerading as carcinoma. Gastroenterol Hepatol (N Y). 2011; 7:834-8. [PMID:22347825]
19. Hoefs JC, Renner IG, Askhcavai M, et al. Hepatitis B surface antigen in pancreatic and biliary secretions. Gastroenterology. 1980; 79:191-194. [PMID:7399225]
20. Yoshimura M, Sakurai I, Shimoda T, et al. Detection of HBsAg in the pancreas. Acta Pathol Jpn. 1981; 31:711-717. [PMID:7025575]
21. Shimoda T, Shikata T, Karasawa T, et al. Light microscopic localization of hepatitis B virus antigens in the human pancreas: Possibility of multiplication of hepatitis B virus in the human pancreas. Gastroenterology. 1981; 81: 998-1005. [PMID:6169587]
22. Manal M. Hassan, Donghui Li, Adel S. El-Deeb, Robert A. Wolff, Melissa L. Bondy, et al. Association between Hepatitis B Virus and Pancreatic Cancer. J Clin Oncol. 2008; 26:4557-4562. [PMID:18824707]
23. Gisbert JP, García-Buey L, Pajares JM, Moreno-Otero R. Prevalence of hepatitis C virus infection in B-cell non-Hodgkin’s lymphoma: systematic review and meta-analysis. Gastroenterology. 2003; 125: 1723–1732. [PMID:14724825]
24. Bronowicki JP, Bineau C, Feugier P, Hermine O, Brousse N, et al. Primary lymphoma of the liver: clinical-pathological features and relationship with HCV infection in French patients. Hepatology. 2003; 37:781–787. [PMID:12668970]
25. Merkle EM, Bender GN, Brams HJ. Imaging findings in pancreatic lymphoma: differential aspects. AJR Am J Roentgenol. 2000, 174: 671-675. [PMID:10701607]
26. McNulty NJ, Francis IR, Platt JF, Cohan RH, Korobkin M, Gebremariam A. Multi--detector row helical CT of the pancreas: effect of contrast-enhanced multiphasic imaging on enhancement of the pancreas, peripancreatic vasculature, and pancreatic adenocarcinoma. Radiology. 2001; 220: 97-102. [PMID:11425979]
27. Kelekis NL, Semelka RC. MRI of pancreatic tumors. Eur Radiol. 1997; 7: 875-886.
28. Sandrasegaran K, Lin C, Akisik FM, Tann M. State-of-the-art pancreatic MRI. AJR Am J Roentgenol. 2010 ; 195:42–53. [PMID:20566796]
29. Koniaris LG, Lillemoe KD, Yeo CJ, Abrams RA, Colemann J, et al. Is there a role for surgical resection in the treatment of early-stage pancreatic lymphoma? J Am Coll Surg. 2000, 190:319-330. [PMID:10703858]
30. Liu W, Hua R, Zhang JF, Huo YM, Liu DJ, Sun YW. First report of primary pancreatic natural killer/T-cell nasal type lymphoma. Eur Rev Med Pharmacol Sci. 2013;17:318-22. [PMID:23426534]
31. Lin H, Li SD, Hu XG, Li ZS. Primary pancreatic lymphoma: Report of six cases. World J Gastroenterol. 2006, 12: 5064-5067. [PMID:16937508]
32. Miller TP, Dahlberg S, Cassady JR, Adelstein DJ, Spier CM, et al. Chemotherapy alone compared with chemotherapy plus radiotherapy for localized intermediate- and high-grade non-Hodgkin's lymphoma. N Engl J Med. 1998; 339:21–26. [PMID:9647875]