ORIGINAL ARTICLE
JOP. J Pancreas (Online) 2014 Nov 28; 15(6):587-590.
Endoscopic Snare Excision of Adenoma of the Papilla of Vater without Prophylactic Pancreatic-Duct Stent
Wafi Attaallah, Omer Gunal, Sina Mokhtare, Tolga Ozmen, Asim Cingi
Department of General Surgery, Marmara University Pendik Teaching and Research Hospital. Marmara, Turkey
ABSTRACT
Context The endoscopic excision of adenomas of the papilla of Vater has gained increased popularity in the recent years. Temporary pancreatic drainage has been advised to accompany snare papillectomy in order to prevent ductal obstruction and serious pancreatitis. Objectives We evaluated treatment outcome of patients who had undergone endoscopic papillectomy without pancreatic drainage. Methods Three consecutive adult patients with adenomas of the papilla of Vater presented with jaundice and pain were treated by endoscopic snare excision between October 2013 and February 2014 in a single center. ERCP procedures revealed papillary tumors and endoscopic biopsy specimens revealed tubular adenoma the papilla of Vater. Adenomas were treated by snare papillectomy method and a biliary stent was inserted as a prophylactic procedure immediately after excision of the adenoma in each case. In addition to physical examination, laboratory tests were repeated in the follow-up period after papillectomy in order to document if there is any complication particularly pancreatitis. Results None of the patients experienced an immediate complication, including pancreatitis after papillectomy. Also neither patient experienced abnormal fluctuations of laboratory tests during the follow-up. Histopathologic evaluation of the resection specimens revealed a tubular adenoma with low grade dysplasia in the first two patients and a tubular adenoma with high-grade dysplasia in the third one. Endoscopy and pathologic evaluation revealed no recurrent/residual disease during the follow-up period of these patients. Conclusion Endoscopic snare resection of adenoma of the major papilla of the duodenum is a safe and minimal invasive alternative to surgical therapy. Biliary stent is sufficient to prevent biliary ductal patency and pancreatic stenting might not be necessary to prevent pancreatitis.
INTRODUCTION
Adenomas of the duodenal papilla are uncommon pathologies. The optimal management of adenomas of the papilla of Vater has still not been definitively established. Because of their malignant potential, resection is mandatory [1]. Options for resection include endoscopic resection techniques, transduodenal local excision, and pancreaticoduodenectomy. Procedures such as local surgical excision or pancreaticoduodenectomy for management of papillary adenoma are associated with significant mortality, as well as postoperative and long term morbidity [2]. Endoscopic snare papillectomy (ESP) has been introduced as an alternative to surgery [3, 4]. Initial reports by Binmoeller in 1993 give patient data beginning from 1985 about snare papillectomy [3]. To prevent tumor recurrence, snare papillectomy should result in complete resection, with a low rate of complications. One of the potentially serious complications of endoscopic papillectomy is post procedure pancreatitis, which deters many endoscopists from performing this procedure. Many authorities suggest that placement of a pancreatic duct stent after the procedure reduces the risk of pancreatitis [5, 6]. However, there is no randomized controlled study which shows that the pancreatic stenting is beneficial. We reported here three consecutive patients with adenomas of the papilla of Vater who had undergone endoscopic papillectomy without placement of a pancreatic-duct stent.
PATIENTS AND METHODS
Three consecutive patients (3 men; ages: 50, 62 and 57 years) with a tumor of the major duodenal papilla were treated by endoscopic snare excision in a university clinic surgical endoscopy unit between October 2013 and February 2014. All of the patients presented with jaundice and non specific abdominal pain. Patients had no co-morbid disease.
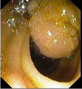
Serum total bilirubin/direct bilirubin levels of the three patients were: 2.3; 2.6, 31; 27 and 2.17; 0.34 mg/dL, respectively. MRCP revealed dilated common bile ducts (9, 15 and 16 mm, respectively). Neither intraluminal defects nor stricture of the bile ducts were reported. ERCP procedures revealed papillary tumors (Figure 1). Biliary stents were placed in the common bile duct for internal biliary drainage and endoscopic forceps biopsies were obtained. Endoscopic biopsy specimens revealed a tubular adenoma with low grade dysplasia in the first two patients and a tubular adenoma with high-grade dysplasia in the third one.

|
Figure 1. Papilla lesion seen during ERCP. |
Because endoscopic electrosurgical snare excision is suitable only for lesions confined to the papilla, abdominal CT and endoscopic ultrasonography (EUS) [7] were performed to determine whether the patients were candidates for endoscopic papillectomy. EUS demonstrated no evidence of tumor infiltration into the pancreas, the bile duct, or the pancreatic duct. There was no evidence of regional lymphadenopathy on CT. Written informed consent was obtained for ESP, after giving detailed information about the risks, benefits, and alternatives to endoscopic therapy.
Endoscopic snare papillectomy was performed by using a therapeutic duodenoscope (Pentax duodenoscope ED 3680 TK A120223 (4.8 mm)). The patients were adequately sedated by intravenous administration of midazolam and pethidine hydrochloride. During the procedure, patients were monitored with pulse oximetry. In all patients, a dilute solution of epinephrine (1:10,000) was injected submucosal plane to elevate the tumor (Figure 2). Papillectomy was performed with a standard polypectomy snare (polypectomy snare with handle for Olympus oval loop 50 mm 2.3 mm-220 m) after removal of the previously placed biliary plastic stents. Following positioning the tip of the duodenoscope on the tumor, the snare was deployed so that it grasped the base of the elevated lesion. Constant tension was applied to the snare during excision until the lesion was transected. En bloc papillectomy was performed by using the endo-cut mode 40 Watt setting on the electrosurgical generator (ERBE 200). After the excision was completed, a plastic biliary stent was immediately placed over guidewire (Figure 3). The stent was placed such that the distal end protruded into the duodenum. Finally, the resection specimen was retrieved for histopathologic evaluation (Figure 4).

|
Figure 2. Submucosal injection before papillectomy. |

|
Figure 3. Biliary stent placed in the common bile duct after excision. |

|
Figure 4. Resected specimen. |
All patients followed-up in the clinic over night after the procedure, and all underwent close follow-up for at least 2 days after the papillectomy. In addition to a physical examination laboratory tests (Hb, white blood cell count, bilirubin, aspartate aminotransferase, alanine aminotransferase, creatinine, blood urea nitrogen, amylase, and lipase) were repeated. To inquire about symptoms and complications, further evaluation of all patients was conducted by clinical visits.
RESULTS
None of the patients experienced an immediate or early complication, including perforation, bleeding, cholangitis, or pancreatitis after papillectomy. Also none of the patients experienced deterioration in any of laboratory tests (Hb, white blood cell count, bilirubin, aspartate aminotransferase, alanine aminotransferase, creatinine, blood urea nitrogen, amylase, and lipase) during the follow-up. Serum amylase levels were 69 IU/L, 44 IU/L and 85 IU/L (reference range: 0-220 IU/L) after ESP, the day after the procedure. Sizes of the lesions were 21x8x5 mm, 14x9x4 mm, and 25x15x6 mm respectively in the pathology reports. Histopathologic evaluation of the resection specimens revealed a tubular adenoma with low grade dysplasia in the first two patients and a tubular adenoma with high-grade dysplasia in the third one. The margins of the tumors in the first two cases were free of adenomatous tissue and it was positive in the third one with high grade dysplasia. That patient with positive margin has been treated by Whipple procedure as endoscopic re-resection was deemed unsafe due to scar tissue. Also in the repeated endoscopic ultrasonography a polypoid mass of 6, 2 mm was detected in the distal bile duct so surgical ampullectomy was not considered in this patient. Final histopathologic evaluation of the resection specimen in that case revealed intramucosal adenocarcinoma of ampulla Vater with 28 tumor free lymph nodes. Pathologic stage (AJCC2010) was considered as pTisN0 so no further treatment was done. ERCP procedures were repeated for stent removal and margin control 3 months after tumor excision in the first two patients (Figure 5). At endoscopy there was no macroscopic evidence of tumor recurrence or microscopic pathological finding after forceps biopsies of the region in either patient.
|
Figure 5. Stent removal after 3 months follow-up. |
DISCUSSION
Endoscopic snare papillectomy was safely performed in all three patients. In this study temporary biliary stenting has been shown to be a sufficient procedure to prevent biliary ductal obstruction and also no pancreatitis was observed.
Adenomas of the major duodenal papilla are premalignant lesions [8]. Also, 25% to 63% of adenomatous lesions harbor malignant foci, even if endoscopic biopsy specimens indicate the lesion to be benign [9, 10]. Complete excision is therefore necessary for effective treatment and pathological evaluation. Options for excision include endoscopic resection techniques, transduodenal local excision, and pancreaticoduodenectomy [1]. Although there are various methods of resection, there is no single technique being considered gold standard. As a minimally invasive procedure we considered endoscopic papillectomy as the first alternative for the treatment and reserve other procedures in case of technical failure or positive histopathologic margins.
We have reported here endoscopic snare resection of adenomas of the major duodenal papilla as a safe and minimal invasive alternative to surgical therapy. The small number of patients in this study is considered a major limitation to generalize the outcomes as a common handicap in the literature. More patients are needed to compare the results with surgical treatment. Because adenomas of the duodenal papilla are rare, the results of the majority of ESP series published to date consist of small number of cases [11]. Also longer follow-up is necessary to assess the long-term efficacy and safety of the technique.
At the inception of ESP for treatment of benign papillary adenoma, it was recommended that the procedure be restricted to patients in whom the risk of surgery was prohibitive [12]. Later studies, however, found ESP to be a viable alternative to surgery [13-16]. In this study we performed endoscopic papillectomy in three adult patients with good conditions. No procedure-related complications were encountered in patients treated with the described technique. This study has shown that ESP is a safe and feasible treatment option for adenoma of the major duodenal papilla.
Many authors suggest that placement of a stent to the pancreatic duct after the procedure reduces the risk of pancreatitis [5, 6]. Although the investigators agree with this concept, there is no randomized control study that shows this approach to be beneficial. On the contrary a recent study suggests that pancreatic stenting does not improving outcomes in terms of pancreatitis [17]. Additionally, the need for prophylactic placement of a pancreatic stent in relation to the patency of the accessory papilla remains to be determined. Some studies suggest that a patent accessory pancreatic duct may prevent acute pancreatitis by decompressing the pancreatic duct system [18, 19]. Despite, the patency of the accessory pancreatic duct was not determined in this study, none of the patients developed pancreatitis after ESP.
Although pancreatic stenting is a strategy to decrease the risk of pancreatitis attempts to cannulate the pancreatic duct sometimes may not be easy and so it may lead to edematous changes in the pancreatic duct orifice which may increase the risk of pancreatitis. While a certain incidence is not given pancreatic stenting it might result in pancreatic duct strictures and pancreatitis in normal caliber pancreatic ducts depending on the stent characteristics [20]. Due to the contradictory results in the studies about this procedure and potential of giving harm instead of increasing the safety of the procedure we did not attempt to cannulate the pancreatic duct instead make close observation of the patients for occurrence of pancreatitis and reserve stenting in case of necessity.
It has been reported that injection of a dilute solution of epinephrine is useful for avoiding inappropriate resection in cases where failure of lifting of the tumor from the muscle layer of the duodenum which indicates deeper invasion. Moreover, injection of a diluted epinephrine solution may reduce the risk of bleeding [13].
For prevention of tumor recurrence, it is important to demonstrate complete excision by histopathologic examination of the resection specimen [21]. In this study histopathologic examinations showed that two patients had specimens with tumor free margin while the third had a positive tumor margin. That patient with positive margin and high grade dysplasia has undergone radical surgery.
Piecemeal tumor resection was recommended by some authors because this was thought to decrease the risk of perforation [13]. However, piecemeal resection could increase the chance of tumor seeding, increase the number of ERCP sessions required for eradication, and make precise histopathologic assessment of the resection specimens impossible [22]. In contrast, en bloc resection requires only a single treatment session. In some studies, piecemeal resection was performed for lesions that could not be resected en bloc [13, 22, 23].
Although en-block excision was performed in this small series of patients 3 months follow-up period is not enough to exclude recurrence so careful follow-up of the patients by regular endoscopic examination is required.
CONCLUSION
Endoscopic snare excision of adenoma of the papilla of Vater without a prophylactic pancreatic-duct stent is a safe, reasonable alternative to surgical therapy. Longer follow-up is needed to assess the long-term efficacy.
Received July 03rd, 2014 – Accepted September 23rd, 2014
Key words Adenoma; Ampulla of Vater; Pancreatic Ducts
Conflict of interest Authors declare to have no conflict of interest
Correspondence
Asim Cingi
Department of General Surgery
Marmara University Pendik Teaching and Research Hospital
Marmara
Turkey
Phone: + 617-732-7429
Fax: + 617-525-8740
E-mail: acingi@hotmail.com
References
1. Katsinelos P, Paroutoglou G, Kountouras J, Beltsis A, Papaziogas B, et al. Safety and long-term follow-up of endoscopic snare excision of ampullary adenomas. Surg Endosc 2006; 20: 608-613. [PMID: 16508819]
2. Moon JH, Cha SW, Cho YD, Ryu CB, Cheon YK, et al. Wire-guided endoscopic snare papillectomy for tumors of the major duodenal papilla. Gastrointest Endosc 2005; 61: 461-466. [PMID: 15758926]
3. Binmoeller KF, Boaventura S, Ramsperger K, Soehendra N. Endoscopic snare excision of benign adenomas of the papilla of Vater. Gastrointest Endosc 1993; 39: 127-131. [PMID: 8495831]
4. Norton ID, Gostout CJ, Baron TH, Geller A, Petersen BT, et al. Safety and outcome of endoscopic snare excision of the major duodenal papilla. Gastrointest Endosc 2002; 56: 239-243. [PMID: 12145603]
5. Vogt M, Jakobs R, Riemann JF. Rationale for endoscopic management of adenoma of the papilla of Vater: options and limitations. Langenbecks Arch Surg 2001. 386: 176-182. [PMID: 11382318]
6. Jung S, Kim MH, Seo DW, Lee SK. Endoscopic snare papillectomy of adenocarcinoma of the major duodenal papilla. Gastrointest Endosc 2001; 54: 622. [PMID: 11677480]
7. Moon JH, Cho YD, Cheon YK, Ryu CB, Kim YS, et al. Wire-guided intraductal US in the assessment of bile duct strictures with Mirizzi syndrome-like features at ERCP. Gastrointest Endosc 2002; 56: 873-879. [PMID: 12447301]
8. Stolte M, Pscherer C. Adenoma-carcinoma sequence in the papilla of Vater. Scand J Gastroenterol 1996. 31: 376-382. [PMID: 8726307]
9. Yamaguchi K, Enjoji M, Kitamura K. Endoscopic biopsy has limited accuracy in diagnosis of ampullary tumors. Gastrointest Endosc 1990; 36: 588-592. [2279648]
10. Ryan DP, Schapiro RH, Warshaw AL. Villous tumors of the duodenum. Ann Surg 1986; 203: 301-306. [PMID: 3954483]
11. Cheng CL, Sherman S, Fogel EL, McHenry L, Watkins JL, Fukushima T, Howard TJ, et al. Endoscopic snare papillectomy for tumors of the duodenal papillae. Gastrointest Endosc 2004; 60: 757-764.
12. Silvis SE. Endoscopic snare papillectomy. Gastrointest Endosc 1993; 39: 205-207. [PMID: 8495850]
13. Binmoeller KF, Boaventura S, Ramsperger K, Soehendra N. Endoscopic snare excision of benign adenomas of the papilla of Vater. Gastrointest Endosc 1993; 39: 127-131. [PMID: 8495831]
14. Zádorová Z, Dvofák M, Hajer J. Endoscopic therapy of benign tumors of the papilla of Vater. Endoscopy 2001; 33: 345-347. [PMID: 11315897]
15. Desilets DJ, Dy RM, Ku PM, Hanson BL, Elton E, Mattia A, et al. Endoscopic management of tumors of the major duodenal papilla: refined techniques to improve outcome and avoid complications. Gastrointest Endosc 2001; 54: 202-208.
16. Norton ID, Gostout CJ, Baron TH, Geller A, Petersen BT, et al. Safety and outcome of endoscopic snare excision of the major duodenal papilla. Gastrointest Endosc 2002; 56: 239-243. [PMID: 12145603]
17. Woo IC, Yang WM, Hwan SY, Kwang HL, Jong KL, Kyu TL. Poong-LR Prophylactic Pancreatic Stent Placement for Endoscopic Duodenal Ampullectomy: A Single-Center Retrospective Study, Gut Liver 2014; 8: 306–312.
18. Nowak A, Nowakowska-Dutawa E, Rybicka J. Patency of the Santorini duct and acute biliary pancreatitis. A prospective ERCP study. Endoscopy 1990; 22: 124-126. [PMID: 2357935]
19. Kamisawa T, Tabata I, Tajima T, Tsushima K, Yoshida Y. Patency of the human accessory pancreatic duct as determined by dye-injection endoscopic retrograde pancreatography.Digestion 1997; 58: 78-82.
20. Bakman YG, Safdar K, Freeman ML. Significant clinical implications of prophylactic pancreatic stent placement in previously normal pancreatic ducts. Endoscopy 2009; 41: 1095-1098. [PMID: 19904701]
21. Aiura K, Imaeda H, Kitajima M, Kumai K. Balloon-catheter-assisted endoscopic snare papillectomy for benign tumors of the major duodenal papilla. Gastrointest Endosc 2003; 57: 743-747. [PMID: 12709713]
22. Ponchon T, Berger F, Chavaillon A, Bory R, Lambert R. Contribution of endoscopy to diagnosis and treatment of tumors of the ampulla of Vater. Cancer 1989; 64: 161-167. [PMID: 2471581]
23. Raijman I, Kortan P, Pinches L, Haber GB. Snare fracture during endoscopic papillectomy. Gastrointest Endosc 1994; 40: 120. [PMID: 7646596]