LETTER TO THE EDITOR
JOP. J Pancreas (Online) 2014 July 28; 15(4):411-412.
A Case of Pancreatic Cancer as a Recurrence of Intraductal Papillary Mucinous Neoplasm Following Surgical Resection
Sae Byeol Choi, Hye Sung Jo, Sang Yong Choi
Department of Surgery, Korea University College of Medicine, Seoul, Korea
Intraductal papillary mucinous neoplasm (IPMN) is an important precursor of ductal adenocarcinoma [1]. We report a case of recurrence of IPMN as a pancreatic ductal adenocarcinoma, following surgical resection of IPMN after two years. We can see the serial change of trivial benign looking cyst to definite IPMN.
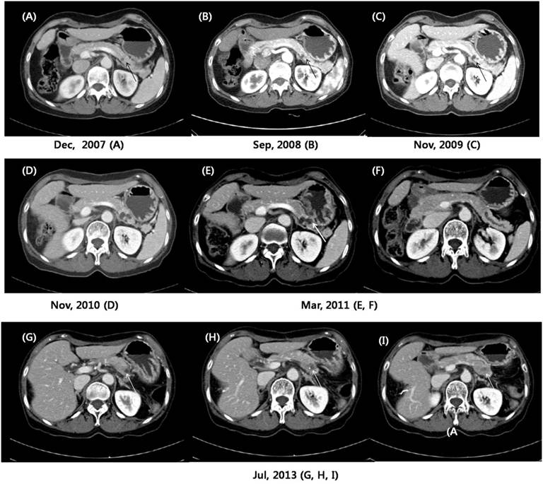
A 69-year-old woman was admitted to operate a pancreatic mass. She had a history of hepatocellular carcinoma, and underwent hepatectomy in 2003, therefore followed regularly by abdomen CT scan. A small benign looking cyst appeared in the CT scan on 2007, and remained unchangeable until 2009 (Figure 1-A, B, C). However, it grew slowly and in March 2011, a pancreatic mass located at the tail became larger (up to 2cm sized) and caused prominent dilatation of the pancreatic duct, suggesting combined type IPMN (Figure 1-D, E, F). She was taken distal pancreatectomy with splenectomy in May 2011. Pathologically, it was a 1.5cm sized IPMN with high grade dysplasia. The resection margin was free of tumor and the distance was 0.5cm.

|
Figure 1. (A-F) Serial change of the IPMN of the pancreas; (G-I) A-3.5 cm sized recurrent mass in the remnant pancreas. |
On the follow up CT scan taken 26 month after operation, 3.5cm sized mass in the distal remnant pancreas appeared (Figure 1-G, H, I). It was suspicious of recurrence of IPMN. She was operated to remove remnant body of pancreas. It was a multilobulated ill-demarcated whitish mass, measuring 3.4x3.2x2.6cm. It was 5cm apart from proximal pancreatic resection margin. It was an IPMN with an associated a poorly differentiated adenocarcinoma. Depth of invasion was peripancreatic tissue and lymph node metastasis was not detected. The patient recovered without complication.
Ductal adenocarcinoma developed in 4.5 to 8% of branch duct IPMN during follow up [2, 3]. Since patients with pancreatic IPMN are at a risk of developing recurrence and pancreatic ductal adenocarcinoma in the remnant pancreas, early recognition, treatment, and long term surveillance are important [2-4].
Received June 02nd, 2014 – Accepted June 07th, 2014
Key words Adenocarcinoma, Mucinous; Adenocarcinoma, Papillary; Neoplasm Recurrence, Local; Neoplasms, Cystic, Mucinous, and Serous; Pancreatectomy; Pancreatic Neoplasms
Correspondence
Sae Byeol Choi
Department of
Surgery
Korea University College of Medicine
Korea University Guro Hospital
80, Guro-dong, Guro-gu
152-703, Seoul
Korea
Phone: +82-2.2626.30780
Fax: +82-2.2626.1148
E-mail: csbroad@korea.ac.kr
References
1. Salvia R, Fernández-del Castillo C, Bassi C, Thayer SP, Falconi M, Mantovani W, Pederzoli P, et al. Main-duct intraductal papillary mucinous neoplasms of the pancreas - Clinical predictors of malignancy and long-term survival following resection. Ann Surg. 2004; 239: 678-685. [PMID:15082972]
2. Tanno S, Nakano Y, Koizumi K, Sugiyama Y, Nakamura K, Sasajima J, Nishikawa T, et al. Pancreatic Ductal Adenocarcinomas in Long-Term Follow-Up Patients with Branch Duct Intraductal Papillary Mucinous Neoplasms. Pancreas. 2010; 39: 36-40. [PMID:19745777]
3. Uehara H, Nakaizumi A, Ishikawa O, Iishi H, Tatsumi K, Takakura R, Ishida T, et al. Development of ductal carcinoma of the pancreas during follow-up of branch duct intraductal papillary mucinous neoplasm of the pancreas. Gut. 2008; 57: 1561-1565. [PMID:18477671]
4. Ohtsuka T, Kono H, Tanabe R, Nagayoshi Y, Mori Y, Sadakari Y, Takahata S, et al. Follow-up study after resection of intraductal papillary mucinous neoplasm of the pancreas; special references to the multifocal lesions and development of ductal carcinoma in the remnant pancreas. Am J Surg. 2012; 204: 44-48. [PMID:21996346]