CASE REPORT
JOP. J Pancreas (Online) 2014 July 28; 15(4):391-393.
Natural History of Branch-Duct Intraductal Papillary Mucinous Neoplasms of the Pancreas: A Case Report
Riccardo Casadei, Claudio Ricci, Marielda D’Ambra, Giovanni Taffurelli, Caterina C Zingaretti, Carlo A Pacilio, Lucia Calculli, Nico Pagano, Francesco Minni
Department of Medical and Surgical Sciences (DIMEC), Alma Mater Studiorum-University of Bologna, S. Orsola-Malpighi Hospital, Bologna, Italy
ABSTRACT
Context The natural history of incidental branch-duct intraductal papillary mucinous neoplasm of the pancreas is still unknown. Case report The case of a 74-year-old man who had been diagnosed 14 years previously with an incidental branch-duct intraductal papillary mucinous neoplasm of the pancreatic head, 30 mm in size, without mural nodules and dilatation of the main pancreatic duct is herein reported. After an exploratory laparotomy at the time of diagnosis (when he was 60 year-old), the patient was enrolled in a surveillance program. Fourteen years after the diagnosis, the cystic lesion showed an increase in size, Wirsung duct dilatation and the presence of several mural nodules. A total pancreatectomy was performed and a diagnosis of mixed-intraductal papillary mucinous neoplasm diffused throughout the entire pancreas with high grade dysplasia, and a micro-invasive carcinoma (<1 mm) of the pancreatic head was reached. Conclusion The present case confirmed that the natural history of branch-duct intraductal papillary mucinous neoplasms is unpredictable. Thus, an appropriate surveillance program is required for prompt identification of the signs predictive of a malignant transformation of branch-duct intraductal papillary mucinous neoplasms. In high-volume centers, surgery should seriously be considered in young patients who are fit for surgery.
INTRODUCTION
Intraductal papillary mucinous neoplasms (IPMNs) of the pancreas represent a precursor of pancreatic cancer via the adenoma-carcinoma sequence [1]. In spite of their potentially malignant behavior, the natural history of intraductal papillary mucinous neoplasms (IPMNs) is still unknown. In particular, we do not know whether all IPMNs have malignant potential and what the time interval is from diagnosis to malignant transformation. Currently, it is known that these lesions may present some radiological features which may predict the risk of malignancy [2-8]. It depends mainly on the type of IPMN, suggesting that branch duct IPMNs (BD-IPMNs) are associated with a lower risk of carcinoma than main pancreatic duct IPMNs (MD-IPMNs) or with the presence of clinical and radiological characteristic features defined as “high risk stigmata” or “worrisome features” [2, 3]. The case of a patient with a 14-year history of a BD-IPMN is herein reported.
CASE REPORT
The medical history of the patient began when he was 60-year-old. Following the diagnosis of diabetes mellitus, an abdominal ultrasound (US), showed the incidental finding of a cystic lesion, 30 mm in diameter, located in the pancreatic head. Magnetic resonance imaging (MRI) and cholangiopancreatography showed a cystic lesion, 30 mm in diameter, without mural nodules and communicating with a non-dilated main pancreatic duct. Ultrasound-guided fine needle aspiration (FNA) of the cystic fluid showed high levels of CEA (104 ng/mL; normal value <5) and amylase (1230 U/L; normal value <70). Taking into account the age of the patient (having a long life-expectancy), the cystic size (30 mm) and the diagnosis of a branch-duct IPMN, the patient underwent surgery. At laparotomy, neither careful palpation of the gland or intra-operative ultrasound showed the cystic lesion. Thus, the surgery consisted of an exploratory laparotomy (April, 1999). The patient was enrolled in a surveillance program with yearly abdominal US scans. Five years after surgery, US showed a cystic lesion (diameter 17 mm) of the pancreatic head without mural nodules and Wirsung dilatation. Subsequent evaluations of the cystic lesion with US scans showed stable disease until April 2013, that is 14 years after the diagnosis and the exploratory laparotomy. At this time, the cystic lesion showed an increase in size (from 17 mm in diameter to 29 mm x 32 mm). Magnetic resonance imaging plus cholangio-pancreatography showed additional cystic enlargement (60 mm x 26 mm) and diffuse Wirsung duct dilatation (8 mm) (Figures 1 and 2). Finally, endoscopic ultrasound (EUS) confirmed a cystic lesion 3 cm in diameter communicating with a diffusely dilated main duct (maximum diameter 15 mm), revealing the presence of the “fish-eye” sign and several contrast-enhancing mural nodules inside the cyst. Endoscopic ultrasound FNA did not show malignant cells. Taking into consideration the presence of these “high-risk-stigmata” according to the Fukuoka guidelines [3], the patient underwent surgery; a total pancreatectomy was performed due to the involvement of the entire pancreatic gland. Pathological examination revealed a mixed-IPMN diffused throughout the entire pancreas with high grade dysplasia, and a micro-invasive carcinoma (<1 mm) of the pancreatic head. The postoperative course was uneventful and the patient was discharged on postoperative day 12. At six months from surgery, the patient is alive and well, without recurrences.

|
Figure 1. Fourteen years after diagnosis, MRI plus cholangio-pancreatography showed a sudden increase in size (60 mm x 26 mm) of the cystic lesion in the pancreatic head and diffuse Wirsung duct dilatation (8 mm). |


|
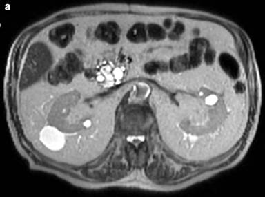
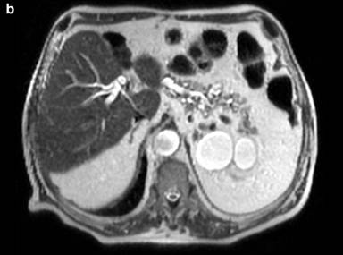
Figure 2. Fourteen years after diagnosis, axial MR images showed the cystic lesion of the pancreatic head and its communication (white arrow) (a) with a diffusely dilated main pancreatic duct (b). |
DISCUSSION
An intraductal papillary mucinous neoplasm of the pancreas represents a well-recognized entity and has been diagnosed with increasing frequency [5]. Nevertheless, its management remains controversial because its natural history is still unknown, and the absence of some preoperative predictive features of malignancy cannot exclude an invasive carcinoma [9]. The main questions are the following:
1) Do all IPMNs become malignant?
2) What is the time interval from diagnosis to malignant transformation?
It is well-known that these lesions have a malignant potential [1-4] and, during their natural history, a well-defined risk of malignancy can be identified [5-8]. In particular, the Fukuoka guidelines [3] have recognized some images changes defined as “high risk stigmata” and “worrisome features” which could be considered as risk factors for malignancy. In addition, Tanaka et al. [2] have reported that MD-IPMNs and BD-IPMNs were associated with malignancy in 70% and 25% of cases, respectively; moreover, the rate of invasive carcinoma was 43% for MD-IPMNs and 15% for BD-IPMNs. In summary, it is well-known that there are some morphological findings predictive of malignancy and that MD-IPMNs have a greater possibility of becoming malignant than BD-IPMNs. In addition, Tanno et al. [10] prospectively studied the natural history of BD-IPMNs without mural nodules; the majority of patients (84.1%) remained unchanged during a median follow-up of 61 months while 11% exhibited an increase in cystic size after a median follow-up of 59 months; 4.9% of the cases showed the appearance of mural nodules after a median follow-up of 105 months. Finally, the natural history of BD-IPMNs with mural nodules is not understood because their presence should be considered to be an indication for surgery.
Regarding the time interval from diagnosis to malignant transformation, Levy et al. [8] have reported that the longitudinal risk of developing an IPMN with high grade dysplasia or with invasive carcinoma is time dependent; in particular, the ten-year actuarial risks for high grade dysplasia or invasive carcinoma were 49% and 29%, respectively. In addition, BD-IPMNs presented a much lower risk than MD-IPMNs; in fact, the actuarial risks of developing high grade dysplasia or invasive carcinoma at 2 and 5 years were 9% and 15%, respectively for the BD type versus 58% and 63%, respectively for the MPD type. Yamao et al. [9] compared patients with IPMNs who had hyperplasia only with those who had invasive carcinoma and observed that the latter patients were 5.3 years older. Similarly, other authors [10] have shown that patients with malignant MD-IPMNs were approximately 5 years older than those with adenomas or borderline IPMNs.
Our case showed that, in fourteen years, a patient affected by an asymptomatic, incidental, BD-IPMN without mural nodules and Wirsung duct dilatation, developed a mixed-IPM invasive carcinoma. Remarkably, the patient follow-up was unchanged for 168 months when suddenly morphological changes in the cystic lesion as well as an increase in size, dilatation of the Wirsung duct and the appearance of mural nodules were detected.
CONCLUSION
The present case (a young patient with asymptomatic, incidental BD-IPMN >2 cm in diameter, without mural nodules and Wirsung duct dilatation) confirmed that the natural history of BD-IPMNs is unpredictable and suggested that an appropriate surveillance program is required for the prompt identification of the signs predictive of a malignant transformation of BD-IPMNs. In addition, the follow-up period should be prolonged in relation to the possibility of developing an invasive carcinoma, even a long period of time following the diagnosis. However, in high-volume centers, surgery should seriously be considered in these patients where the risk of such surgical procedures must be balanced against the risk of malignant transformation.
Received April 18th, 2014 – Accepted May 28th, 2014
Key words Neoplasms, Cystic, Mucinous, and Serous; Pancreas; Pancreatectomy; Public Health Surveillance
Conflict of Interest Riccardo Casadei and the other co-authors have no conflict of interest.
Correspondence Riccardo Casadei
Department of Medical and Surgical Sciences (DIMEC)
Alma Mater Studiorum-University of Bologna
S. Orsola-Malpighi Hospital
Via Massarenti n.9
40138 Bologna
Italy
Phone: +39-051.341.541
Fax: +39-051.341.483
E-mail: riccardo.casadei@aosp.bo.it
References
1. Furukawa T, Klöppel G, Volkan Adsay N, Albores-Saavedra J, Fukushima N, Horii A, Hruban RH, et al. Classification of types of intraductal papillary-mucinous neoplasm of the pancreas: a consensus study. Virchows Arch 2005; 447: 794-799. [PMID:16088402]
2. Tanaka M, Chari S, Adsay V, Fernandez-del Castillo C, Falconi M, Shimizu M, Yamaguchi K, et al. International consensus guidelines for management of intraductal papillary mucinous neoplasms and mucinous cystic neoplasms of the pancreas. Pancreatology 2006; 6: 17-32. [PMID:16327281]
3. Tanaka M, Fernández-del Castillo C, Adsay V, Chari S, Falconi M, Jang JY, Kimura W, Levy P, et al. International consensus guidelines 2012 for the management of IPMN and MCN of the pancreas. Pancreatology. 2012; 12: 183-197. [PMID:22687371]
4. Del Chiaro M, Verbeke C, Salvia R, Klöppel G, Werner J, McKay C, Friess H, et al. European expert consensus statement on cystic tumours of the pancreas. Dig Liver Dis 2013; 45: 703-711. [PMID:23415799]
5. Sahora K, Mino-Kenudson M, Brugge W, Thayer SP, Ferrone CR, Sahani D, Pitman MB, et al. Branch duct intraductal papillary mucinous neoplasms: does cyst size change the tip of the scale? A critical analysis of the revised international consensus guidelines in a large single-institutional series. Ann Surg. 2013; 258: 466-475. [PMID:24022439]
6. Anand N, Sampath K, Wu BU. Cyst features and risk of malignancy in intraductal papillary mucinous neoplasms of the pancreas: a meta-analysis. Clin Gastroenterol Hepatol. 2013; 11: 913-921. [PMID:23416279]
7. Correa-Gallego C, Do R, Lafemina J, Gonen M, D'Angelica MI, DeMatteo RP, Fong Y, et al. Predicting dysplasia and invasive carcinoma in intraductal papillary mucinous neoplasms of the pancreas: development of a preoperative normogram. Ann Surg Oncol. 2013; 20: 4348-4355. [PMID:24046103]
8. Kim KW, Park SH, Pyo J, Yoon SH, Byun JH, Lee MG, Krajewski KM, et al. Imaging features to distinguish malignant and benign branch-duct type intraductal papillary mucinous neoplasms of the pancreas. A meta-analysis. Ann Surg. 2014; 259: 72-81. [PMID:23657084]
9. Fritz S, Klauss M, Bergmann F, Hackert T, Hartwig W, Strobel O, Bundy BD, et al. Small (Sendai negative) branch-duct IPMNs: not harmless. Ann Surg. 2012; 256: 313-320. [PMID:22791105]
10. Tanno S, Nakano Y, Nishikawa T, Nakamura K, Sasajima J, Minoguchi M, Mizukami Y, et al. Natural history of branch duct intraductal papillary-mucinous neoplasms of the pancreas without mural nodules: long-term follow-up results. Gut. 2008; 57: 339-343. [PMID:17660227]