CASE REPORT
JOP. J Pancreas (Online) 2014 Sep 28; 15(5):497-500.
Pancreatic Neuroendocrine Tumor with Extensive Intraductal Invasion of the Main Pancreatic Duct: A Case Report
Maki Kiyonaga1, Shunro Matsumoto1, Hiromu Mori1, Yasunari Yamada1, Ryo Takaji1, Naoki Hijiya2, Fumitaka Yoshizumi3, Masanori Aramaki3
Departments of 1Radiology and 2Molecular Pathology, Faculty of Medicine, Oita University. Oita, Japan. 3Department of Surgery, Usuki Cosmos Hospital. Usuki, Japan
ABSTRACT
Context Pancreatic neuroendocrine tumors account for only 1-3% of all pancreatic neoplasms and the intraductal invasion of the main pancreatic duct (MPD) is rare. Case report We report a case of a 26-year-old woman with an endocrine tumor of the pancreas extensively invading into the MPD. She presented abdominal pain and her laboratory data showed abnormal liver function. Contrast-enhanced computed tomography demonstrated a well-enhanced mass on the arterial dominant phase in the head of the pancreas. The mass grew within the lumen of the MPD in the body of the pancreas, with dilatation of the upstream MPD. The contrast-enhancement pattern between the main tumor of the head and the intraductal lesion of the body was different. On T2-weighted magnetic resonance (MR) imaging, the pancreatic head lesion showed non homogeneously low signal intensity, while the intraductal lesion of the pancreatic body showed high signal intensity. MR cholangiopancreatography showed obstruction of the MPD in the pancreatic head to body, with dilatation of the upstream MPD. An endocrine tumor or acinar cell carcinoma of the pancreas was considered as preoperative diagnosis, and pancreaticoduodenectomy was performed. As a result, pancreatic endocrine tumor (G2) was confirmed pathologically. Conclusion A rare case of pancreatic neuroendocrine tumor with extensive growth within the MPD was presented. The intraductal extension is a unique growth pattern of nonfunctioning pancreatic neuroendocrine tumor, and the desmoplastic reaction in this tumor may reflect the increased invasiveness.
INTRODUCTION
Pancreatic neuroendocrine tumors (NETs), also known as islet cell tumors, have equal gender distribution, and typically manifest in patients aged 51-57 years. Most cases of those are sporadic [1, 2]. NETs are classified into functioning and nonfunctioning tumors. Functioning tumors produce symptoms related to excessive hormone production. Nonfunctioning tumors are hormonally silent tumors, constitute 15-25% of all pancreatic NETs [1]. Unlike functioning NETs, nonfunctioning NETs are usually detected when they are large enough to cause symptoms of compression. Pancreatic NETs can be located anywhere within the pancreas, but the intraductal growth of nonfunctioning NETs is rare.
We report a case of a nonfunctioning NET with extensive intraductal invasion of the main pancreatic duct (MPD).
CASE REPORT
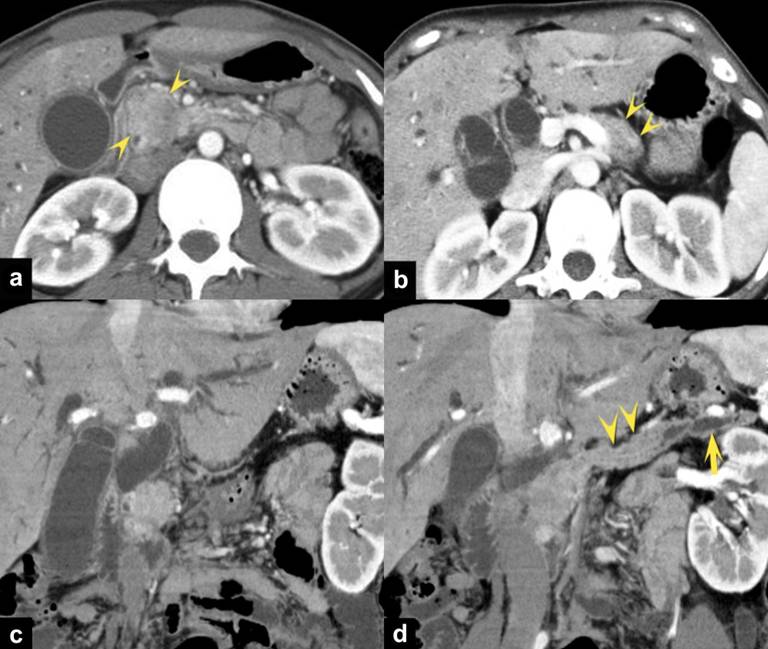
A 26-year-old woman was admitted to our hospital because of abdominal pain. Laboratory examination showed the elevated serum levels of bilirubin and hepatic enzymes. Her medical history was not remarkable. Laboratory findings showed abnormal liver function (AST: 118 IU/L, ALT: 91 IU/L) and obstructive jaundice (total bilirubin: 11.53 mg/dL). The carbohydreate antigen (CA) 19-9 (106 U/mL) was moderately elevated but the carcinoembryonic antigen (CEA) showed normal range. Triple-phase enhanced computed tomography (CT) demonstrated a well-enhanced mass on the arterial dominant phase in the head of the pancreas (Figure 1ac). The mass grew within the lumen of the MPD in the body of the pancreas, with dilatation of the upstream MPD (Figure 1bd). There was a difference of the contrast-enhancement pattern between the main tumor of the pancreatic head and the intraductal lesion of the pancreatic body: an early contrast-enhancement with its persistence till the delayed phase in the head lesion, and an early contrast-enhancement with its decrease during the delayed phase in the intraductal tumor of the body. Dilation of the bile ducts was seen probably due to the tumor compression, and direct tumor invasion to the duodenum was suspected. Lymph node enlargement at the portocaval space was identified, but there was no metastatic lesion in the major organs. On magnetic resonance (MR) imaging, the pancreatic head lesion was observed as non homogeneously low signal intensity (SI) on T2-weighted imaging (WI) (Figure 2a) and low SI on T1-WI (Figure 2b). The intraductal lesion of the pancreatic body showed high SI on T2-WI (Figure 2c). MR cholangiopancreatography showed obstruction of the MPD in the pancreatic head to body, with dilatation of the upstream MPD (Figure 2d).

|
Figure 1. Triple-phase enhanced CT images at the arterial dominant phase demonstrate a well-enhanced mass (arrowheads) on the pancreatic parenchymal phase in the head of the pancreas (a.). The pancreatic head grows within the lumen of the MPD (arrowheads) in the body of the pancreas (b.). Curved multi-planar reconstruction images (c., d.) obtained at the arterial dominant phase clearly show the extending mass (arrowheads) into the MPD from the pancreatic head tumor. Note the dilatation of the upstream MPD (arrow). |

|
Figure 2. The pancreatic head mass is seen as inhomogeneously low signal intensity (arrowheads) on T2-weighted (a.) and T1-weighted (b.) images. The intraductal lesion of the pancreatic body showed high signal intensity (arrowheads) on T2-weighted image (c.). MR cholangiopancreatography (d.) shows obstruction of the main pancreatic duct in the pancreatic head to body (arrowheads), with dilatation of the upstream duct. |
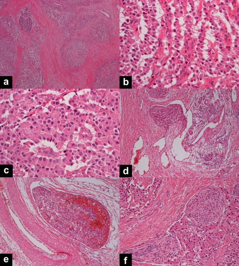
As the preoperative diagnosis, NET or acinar cell carcinoma was considered and pancreaticoduodenectomy was performed. Under the surgical investigation, the pancreatic parenchyma in the head region was displaced by tumor invading the duodenum and lower bile duct. Histologically, the lesion was comprised of small nests and cords of uniform cells arranged in a trabecular or ribbon-like pattern (Figure 3ab). The pseudo-rosette formation (Figure 3c) was seen and the intratumoral stroma had rich fibrosis. Lymphatic, venous and neural invasions (Figure 3def) were observed in the pancreatic head region. Peripancreatic lymph node involvement was also confirmed but there was no neural invasion to the peripancreatic tissues. The pancreatic head tumor directly invaded the MPD, the duodenal muscle and intramucosal lymphatics, but the invasion to the common bile duct was not observed. In the pancreatic body region, the intraductal tumor was connected to the intraductal mass in the head region, and grew within the lumen of the MPD with complete deficiency of the ductal epithelium and proliferation of collagenous tissue of the ductal wall. Immunohistochemically, the tumor cells were positive for chromogranin A and synaptophysin, and negative for insulin, glucagon, somatostatin, gastrin and vasoactive intestinal peptide. The final diagnosis was neuroendocrine tumor, G2.

|
Figure 3. Histopathological findings (H&E stain). The pancreatic head lesion is comprised of small nests and cords of uniform cells (a.) arranged in a trabecular or ribbon-like pattern (b.). The pseudo-rosette formation (c.) is seen and the intratumoral stroma has rich fibrosis. Lymphatic (d.), venous (e.) and neural invasions (f.) are observed in the pancreatic head region. |
DISCUSSION
Non-functioning pancreatic NETs have a high malignant potential. They are occasionally found when the tumor is enlarged and then, causes clinical symptoms, including abdominal pain and obstructive jaundice. The intraductal growth of NETs of the pancreas is rare. To the best of our knowledge, only six cases of intraductal growth of NETs have been reported in the English literature [3-7]. Seki et al. [8] reported that the finding of clubbed occlusion of the MPD on endoscopic retrograde pancreatography was the most important feature for differentiating the pancreatic endocrine tumors from common type carcinomas.
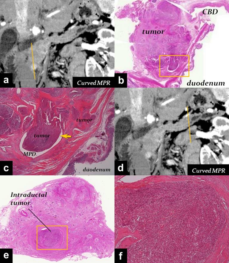
In our case, the pancreatic head tumor directly invaded the MPD (Figure 4abc), with extensive intraductal growth in the pancreatic body region. For the intraductal tumor growth, the ductal epithelium was completely absent and collagenous tissue of the ductal wall was proliferated, but the tumor cells were not identified at the extraductal parenchyma in the body region. This pathological finding implies the tumor invasion to the pancreatic duct epithelium, and is thought to be extremely rare manifestation of pancreatic NETs. Radiologically, there was the difference in the contrast-enhancement pattern on CT images and SI on T2-weighted MR images between the pancreatic head mass and the intraductal tumor in the body region. The main pancreatic head mass showed early contrast-enhancement with its persistence till the delayed phase and low SI on T2-WI, whereas the intraductal tumor of the body region showed early contrast-enhancement with its decrease during the delayed phase and high SI on T2-WI. Pathologically, the main pancreatic head mass had rich fibrous stroma with extrapancreatic invasion, while the intraductal tumor of the body region had scarce fibrous stroma without extrapancreatic invasion. Therefore, these radiological findings would reflect the histological difference in the degree of the fibrosis. Furthermore, the contrast-enhancement pattern on CT was helpful for differentiating pancreatic NET from pancreatic ductal adenocarcinoma.

|
Figure 4. Radiologic-pathologic correlation (H&E stain). Pancreatic head tumor (a., b., c.). Pathological images corresponded to the cross-section (yellow line) of curved multi-planar reconstruction image (MPR) (a.) show direct invasion of the main pancreatic duct (MPD) (arrow in c.), and the duodenal muscle (c.). Pancreatic body region (d., e., f.). Pathological images corresponded to the cross-section (yellow line) of curved MPR (d.) show the intraductal tumor invading the lumen of the MPD with complete deficiency of the ductal epithelium and proliferation of collagenous tissue in the ductal wall (e., f.). |
Pancreatic stellate cells (PSCs) play an important role in the pathogenesis of pancreatic fibrosis. PSCs are activated, proliferate, and migrate to the injured regions of the pancreas, resulting in pancreatic fibrosis [9, 10]. Vonlaufen et al. [10] described that a significant interaction between pancreatic cancer cells and PSCs exists and thus, pancreatic cancer cells recruit PSCs to establish an environment that promotes cancer progression. The relationship of pancreatic NETs and PSCs has not been documented in the literature, but the origin of pancreatic NETs from hypothetical multipotent ducal stem cells has been suggested, and therefore, PSCs should be responsible for desmoplastic reaction in pancreatic NETs, like pancreatic ductal adenocarcinoma. From this perspective, it is not difficult to understand that the main pancreatic head mass having rich fibrous stroma showed highly invasiveness in our case.
CONCLUSION
In nonfunctioning pancreatic NETs, the intraductal growth is a rare invasion pattern and the desmoplastic reaction in this tumor may reflect the increased invasiveness.
Received July 10th, 2014 – Accepted July 17th, 2014
Key words Neuroendocrine Tumors; Pancreas
Conflicts of interest The authors have no potential conflicts of interest
Correspondence
Shunro Matsumoto
Department of Radiology
Oita University Faculty of Medicine
Hasama-machi
Yufu City, Oita prefecture 879-5593
Japan
Phone: +81-97.586.5934
Fax: +81-97.586.0025
E-mail: matsushu@oita-u.ac.jp
References
1. Kent RB 3rd, van Heerden JA, Weiland LH. Nonfunctioning islet cell tumors. Ann Surg. 1981; 193: 185-190. [PMID: 6258500]
2. Heitz PU, Kasper M, Polak JM, Klöppel G. Pancreatic endocrine tumors. Hum Pathol. 1982; 13: 263-271. [PMID: 7076209]
3. Kitami CE, Shimizu T, Sato O, Kurosaki I, Mori S, Yanagisawa Y, Ajioka Y, Hatakeyama K. Malignant islet cell tumor projecting into the main pancreatic duct. J Hepatobiliary Pancreat Surg. 2000; 7: 529-533. [PMID: 11180883]
4. Yazawa N, Imaizumi T, Okada K, Matsuyama M, Dowaki S, Tobita K, Ohtani Y, Ogoshi K, et al. Nonfunctioning pancreatic endocrine tumor with extension into the main pancreatic duct: report of a case. Surg Today. 2011; 41: 737-740. [PMID: 21533954]
5. Akatsu T, Wakabayashi G, Aiura K, Suganuma K, Takigawa Y, Wada M, Kawachi S, Tanabe M, et al. Intraductal growth of a nonfunctioning endocrine tumor of the pancreas. J Gastroenterol. 2004; 39: 584-588. [PMID: 15235878]
6. Shimizu K, Shiratori K, Toki F, Suzuki M, Imaizumi T, Takasaki K, Kobayashi M, Hayashi N. Nonfunctioning islet cell tumor with a unique pattern of tumor growth. Dig Dis Sci. 1999; 44: 547-551. [PMID: 10080148]
7. Inagaki M, Watanabe K, Yoshikawa D, Suzuki S, Ishizaki A, Matsumoto K, Haneda M, Tokusashi Y, et al. A malignant nonfunctioning pancreatic endocrine tumor with a unique pattern of intraductal growth. J Hepatobiliary Pancreat Surg. 2007; 14: 318-323. [PMID: 17520210]
8. Seki M, Ohta H, Ninomiya E, Aruga A, Murakami Y, Yanagisawa A. Pancreatic endocrine tumor : pancreatographic features Suizou (pancreas). 2001; 16: 438-447.
9. Bachem MG, Schünemann M, Ramadani M, Siech M, Beger H, Buck A, Zhou S, Schmid-Kotsas A, et al. Pancreatic carcinoma cells induce fibrosis by stimulating proliferation and matrix synthesis of stellate cells. Gastroenterology. 2005; 128: 907-921. [PMID: 15825074]
10. Vonlaufen A, Joshi S, Qu C, Phillips PA, Xu Z, Parker NR, Toi CS, Pirola RC, et al. Pancreatic stellate cells: partners in crime with pancreatic cancer cells. Cancer Res. 2008; 68: 2085-2093. [PMID: 18381413]