CASE REPORT
JOP. J Pancreas (Online) 2014 Sep 28; 15(5):501-503.
Hemosuccus Pancreaticus Due to a Noninflammatory Pancreatic Pseudotumor
Darling Ruiz Cerrato1, Besem Beteck2, Neeraj Sardana1, Saleem Farooqui3, Danisha Allen4, Steven C Cunningham2
Departments of 1Medicine, 2Surgery, 3Radiology and 4Pathology, Saint Agnes Hospital. Baltimore, MD, USA
ABSTRACT
Context Hemosuccus pancreaticus is a rare source of gastrointestinal bleeding, the most frequent cause of which is pancreatitis, followed by tumors, but nearly all these tumors are true neoplasms, and not pseudotumors. Furthermore, nearly all pseudotumors of the pancreas and retroperitoneum are inflammatory. Case report We present a case of hemosuccus pancreaticus associated with a nonneoplastic noninflammatory pseudotumor of the pancreas. Conclusions Pancreatic pseudotumors are not always inflammatory and should be considered in the differential diagnosis of gastrointestinal bleeding associated with hemosuccus pancreaticus.
INTRODUCTION
Hemosuccus pancreaticus (HP) is bleeding from the ampulla of Vater via the pancreatic duct. Also known as pseudohemobilia and Wirsungorrhagia, the condition was initially described in 1931 by Lower and Farrell [1], while the name hemosuccus pancreaticus was coined by Sandblom in 1970 [2], in his report of three cases of splenic-artery aneurysms which ruptured into the pancreatic duct. Pancreatic pseudotumor is a mass-forming lesion of the pancreas that is generally nonneoplastic, and robustly inflammatory. They are well known for mimicking pancreatic neoplasms, and indeed are the primary finding following pancreatectomy performed with a preoperative diagnosis of pancreatic cancer [3].
CASE REPORT
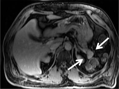
A 47-year-old African American male was admitted to the hospital for left chest wall abscess and diabetic ketoacidosis. Past medical history included diabetes mellitus type 1, essential hypertension, paroxysmal atrial fibrillation, ischemic stroke with minimal residual right sided paralysis, and chronic kidney disease. During the appropriate treatment of his admitting complaints, and management of his comorbidities, which included anticoagulation for the history of paroxysmal atrial fibrillation with CHADS score of 4, his hemoglobin dropped precipitously from 10 g/dL to 8.5 g/dL, then stabilized, then again dropped to 6.7 g/dL. Evaluation included esophagogastroduodenoscopy, which revealed fresh blood from second portion of duodenum, emanating from the ampulla (Figure 1). Contrast-enhanced MRI (Figure 2) showed a solid lesion within the pancreatic tail, measuring 1.8x1.5 cm, hyperenhancing and consistent with a pancreatic neuroendocrine tumor (PNET); there was no liver lesion identified. Endoscopic ultrasound (EUS) was concordant regarding size, shape, and location of the pancreatic lesion, and furthermore showed no stones, masses, or dilatation of the common bile duct (Figure 3). Biopsy of the pancreatic tumor was not performed due to concern for bleeding.

|
Figure 1. View at EGD, with gross blood emanating from major papilla. |

|
Figure 2. Early-arterial-enhanced nodule within pancreatic tail. Postcontrast VIBE image showing the enhancing nodule (arrows), with signal characteristics distinct from the spleen (not shown), precluding intrapancreatic splenule. |

|
Figure 3. Endoscopic ultrasound showing a nodule (Nod) within the pancreatic tail, concordant with MRI, adjacent to the splenic artery (SA). |
The patient underwent a totally laparoscopic, spleen- and vessel-preserving distal (left) pancreatectomy. Intraoperative and gross pathological findings (Figure 4) were concordant with preoperative imaging corresponding to 1.8 cm lobular mass at the tip of the pancreatic tail. The patient tolerated the procedure well and was discharged on fourth post-operative day without complications. At short-term follow-up (2 months) he has had no further episodes of bleeding.

|
Figure 4. The resected, bisected specimen, showing the nodule (Nod); and the pancreatic-tail (PT) margin with staple line. |
DISCUSSION
There are many potential causes of HP including pancreatitis (acute and chronic), neoplasms, vascular disease, trauma, infection, iatrogenic, and congenital abnormalities. Pancreatitis is the most common cause and is usually a result of pseudoaneurysm secondary to inflammation with eventual communication with the pancreatic duct [4, 5]. The most commonly involved vessels are the splenic (60%-80%), gastroduodenal (20%-25%), pancreaticoduodenal (10%-15%), hepatic (5%-10%) and left gastric (2%-5%) arteries [4]. Rupture of the splenic vein into the pancreatic duct has also been reported [6]. Following complicated pancreatitis, the next most common etiologies are primary vascular diseases (such as visceral aneurysms and arteriovenous malformations) [4, 7, 8] and tumors (such as pancreatic ductal adenocarcinoma, pancreatic neuroendocrine tumors (PNETs), and carcinomas in situ [9]). Even biopsy of such tumors during EUS has produced HP [10-12].
Angiography and surgery are the two main treatment options. Selective transcatheter embolization of the bleeding artery or pseudoaneurysm is reserved for those patients who are hemodynamically stable and do not have another indication for resection. Many cases have been reported, with success rates ranging from approximately 80% to 100% [13-17]. Recurrent bleeding may occur in 10% to 37% of patients following embolization [17].
In this case, resection via distal (left) pancreatectomy was recommended, given evidence of a symptomatic and easily resectable lesion. Interestingly, although MRI, EUS, operative, and gross pathological findings were concordant with a bleeding PNET, viz., a lobular, discrete, firm, early-arterial-hyperenhancing mass at the tail of the pancreas, microscopic pathological evaluation revealed no neoplasm, only a nodule of pancreatic tissue containing a paucity of interlobular connective tissue and a relative loss of lobularity, imparting a pseudonodular appearance to the acinar and islet cells (Figures 4 and 5).

|
Figure 5. Photomicrograph of pseudonodule, stained with hematoxylin and eosin, showing noninflamed pancreatic parenchyma, with no neoplasm identified. |
In conclusion, we present what we believe to be the first reported case of HS associated with noninflammatory pancreatic pseudonodule. Although it is possible that the HS may have been simply incidental to the nodule, and not caused by the nodule, no other liver or pancreatic mass, vascular lesion, or evidence of pancreatitis was present to explain the HP.
Received July 3rd, 2014 – Accepted September 2nd, 2014
Key words Gastrointestinal Hemorrhage; Pancreas; Pancreatectomy; Pancreatic Ducts; Pancreatic Neoplasms
Conflict of Interest Statement The authors declare that they have no conflict of interest
Correspondence
Steven C Cunningham
Pancreatic and Hepatobiliary Surgery
Saint Agnes Hospital and Cancer Center
900 Caton Avenue, MB 207
Baltimore, MD, 21229
USA
Phone: +1-410.368.8815; +1-410.271.5946
Fax: +1-410.719.0094
E-mail: steven.cunningham@stagnes.org
References
1. Lower WE, Farrell JI. Aneurysm of the splenic artery: Report of a case and review of the literature. Arch Surg. 1931; 23: 182-190.
2. Sandblom P. Gastrointestinal hemorrhage through the pancreatic duct. Ann Surg. 1970; 171: 61-66.
3. Adsay NV, Basturk O, Klimstra DS, Kloppel G. Pancreatic pseudotumors: non-neoplastic solid lesions of the pancreas that clinically mimic pancreas cancer. Semin Diagn Pathol. 2004; 21: 260-267. [PMID:16273945]
4. Han B, Song ZF, Sun B. Hemosuccus pancreaticus: a rare cause of gastrointestinal bleeding. Hepatobiliary Pancreat Dis Int. 2012; 11: 479-488. [PMID:23060392]
5. Sakorafas GH, Sarr MG, Farley DR, Que FG, Andrews JC, et al. Hemosuccus pancreaticus complicating chronic pancreatitis: an obscure cause of upper gastrointestinal bleeding. Langenbecks Arch Surg. 2000; 385: 124-128. [PMID:10796050]
6. Anil Kothari R, Leelakrishnan V, Krishnan M. Hemosuccus pancreaticus: a rare cause of gastrointestinal bleeding. Ann Gastroenterol, 2013; 26: 175-177.
7. Williams DM, Shetzline MA, Guarisco SA, Branch MS. Presumed arteriovenous malformation mimicking hemosuccus pancreaticus of Santorini's duct with normal pancreatic anatomy. Gastrointest Endosc. 1996; 44: 348-350. [PMID:8885362]
8. Kuzuya A, Mizuno K, Miyake H, Iyomasa S, Matsuda M. Hemosuccus pancreaticus caused by rupture of a true splenic artery aneurysm following a failure of coil embolization. Ann Vasc Surg. 2006; 20: 130-133. [PMID:16374536]
9. Inoue H, Katurahara M, Hamada Y, Ninomiya K, Tano S, et al. Hemosuccus pancreaticus caused by in situ carcinoma of the pancreas. Endoscopy. 2012; 44 Suppl 2 UCTN: E336-337. [PMID:23012009]
10. Singh P, Gelrud A, Schmulewitz N, Chauhan S. Hemosuccus pancreaticus after EUS-FNA of pancreatic cyst (with video). Gastrointest Endosc. 2008; 67: 543.
11. Keswani RN. Hemosuccus pancreaticus after endoscopic ultrasound-guided fine needle aspiration of a pancreatic cyst. Endoscopy. 2010; 42 Suppl 2: E79. [PMID:20195975]
12. Cheruvattath R, Diehl DL. Hemosuccus pancreaticus after EUS-FNA of a pancreatic tail cyst. Gastrointest Endosc. 2009; 70: 817. [PMID:19788989]
13. Tulsyan N, Kashyap VS, Greenberg RK, Sarac TP, Clair DG, et al. The endovascular management of visceral artery aneurysms and pseudoaneurysms. J Vasc Surg. 2007; 45: 276-283. [PMID:17264002]
14. Salam TA, Lumsden AB, Martin LG, Smith RB 3rd. Nonoperative management of visceral aneurysms and pseudoaneurysms. Am J Surg. 1992; 164: 215-219. [PMID:1415917]
15. Mandel SR, Jaques PF, Sanofsky S, Mauro MA. Nonoperative management of peripancreatic arterial aneurysms. A 10-year experience. Ann Surg. 1987; 205: 126-128.
16. Ikeda O, Tamura Y, Nakasone Y, Iryou Y, Yamashita Y. Nonoperative management of unruptured visceral artery aneurysms: treatment by transcatheter coil embolization. J Vasc Surg. 2008; 47: 1212-1219. [PMID:18440188]
17. Boudghene F, L'Hermine C, Bigot JM. Arterial complications of pancreatitis: diagnostic and therapeutic aspects in 104 cases. J Vasc Interv Radiol. 1993; 4: 551-558. [PMID:8353353]