CASE REPORT
JOP. J Pancreas (Online) 2014 Sep 28; 15(5):504-507.
Lymphoepithelial Cyst of the Pancreas and Elevated Cyst Fluid Carcinoembryonic Antigen: A Diagnostic Challenge
Nilanjana Tewari1, Katie Rollins1, Jessie Wu2, Phillip Kaye2, Dileep N Lobo1
1Division of Gastrointestinal Surgery, Nottingham Digestive Diseases Centre National Institute of Health Research Biomedical Research Unit; 2Department of Pathology, Nottingham University Hospitals NHS Trust, Queen’s Medical Centre. Nottingham, UK
ABSTRACT
Context Pancreatic lymphoepithelial cysts are rare, benign cysts which can present diagnostic difficulties. Non-invasive imaging alone is unreliable in distinguishing between benign and malignant cysts. Endoscopic ultrasound (EUS) and fine needle aspiration (FNA) with analysis of cyst fluid is more reliable, but invasive. In addition, tumor markers such as carcinoembryonic antigen (CEA) can be grossly elevated in cyst fluid of benign cysts. Case report We present the case of a 67 year old man with an incidental finding of a pancreatic cyst. EUS and FNA-guided aspiration of cyst fluid was performed. Fluid CEA was grossly elevated and resectional surgery was performed. On histological examination the diagnosis was confirmed as lymphoepithelial cyst of the pancreas. Conclusion Tumor markers such as CEA can be elevated in the cyst fluid of benign pancreatic conditions such as lymphoepithelial cyst. Although the diagnosis is challenging preoperatively, if a systematic algorithm is followed, these conditions can be managed safely and efficiently.
INTRODUCTION
Pancreatic lymphoepithelial cysts (LECs) are rare, benign cysts which are predominantly seen in middle-aged men [1] and are characterised by a mature, keratinising squamous lining surrounded by lymphoid tissue [2]. LECs can be located in any part of the pancreas, can be unilocular or multilocular and are surrounded by normal pancreatic tissue [3].
Distinguishing between malignant and benign pancreatic cystic lesions is of clinical significance as it determines the prognosis and the feasibility of curative surgery [4]. Although histological diagnosis is straightforward, preoperatively, pancreatic cysts can present a diagnostic challenge.
CASE REPORT
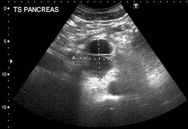
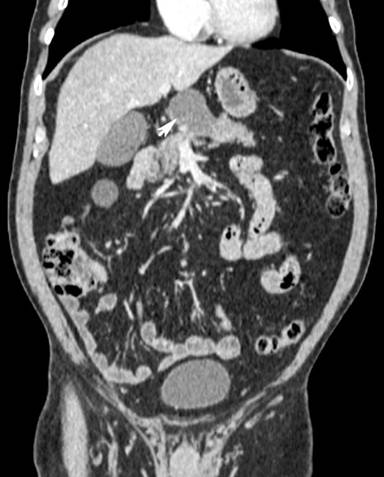
A 67-year-old man presented to the urologists with recurrent episodes of painless haematuria on the background of benign prostatic hypertrophy. An abdominal ultrasound scan demonstrated an incidental finding of a 5.7×4.7×4.4 cm thick walled avascular cystic structure with a thick septum in relation to the neck of the pancreas (Figure 1). Contrast enhanced computed tomography (Figure 2) confirmed the presence of a cyst related to the junction of the head and neck of the pancreas with otherwise normal architecture of the pancreas and no evidence of metastatic disease.

|
Figure 1. Ultrasound image of thick-walled septated cyst in relation to the neck of the pancreas. |

|
Figure 2. CT image of cyst (arrow) arising from the junction of the head and body of the pancreas. |
A loculated, thick-walled cyst with no solid areas was visualised on endoscopic ultrasound (EUS) and sampling was performed on a locule of the cyst containing debris. Cytological examination of the aspirate revealed numerous pigment laden histiocytes with lymphocytes and neutrophils with amorphous material, likely representing aspiration of a cyst but insufficient for a specific diagnosis. This was classified as non-suspicious cytologically but the concentration of carcinoembryonic antigen (CEA) in the cyst fluid was elevated (1129 ng/mL). As such, given the clinical concern of a possible mucinous cystadenoma, the patient was counselled regarding the possibility of a malignant cyst or future malignant transformation and a decision to proceed to surgical resection was made.
Intra-operatively the patient had a cystic lesion in the neck of the pancreas with intra-operative ultrasound confirming the head of the pancreas to be normal. A distal pancreatectomy, splenectomy and cholecystectomy was performed, following which he made a good recovery.
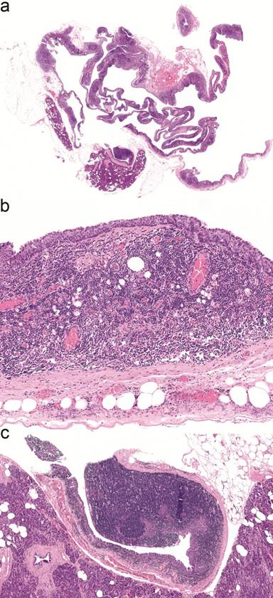
Histopathological examination (Figure 3) of the resected specimen revealed a completely excised multiloculated cyst measuring 60×30×10 mm lined with squamous epithelium with a transitional appearance and containing abundant lymphocytes in the wall, all consistent with a lymphoepithelial cyst. There was no evidence of dysplasia or malignancy.

DISCUSSION
Pancreatic cystic lesions can present a diagnostic challenge. The potential for malignancy requires thorough clinical, radiological and pathological investigation. However, even with advances in diagnostic techniques, preoperative diagnosis can be difficult.
The most common cystic lesion of the pancreas is the pseudocyst, which usually occurs as a complication of pancreatitis [5]. True cysts of the pancreas, distinguished by the presence of an epithelial lining, are usually neoplastic or have neoplastic potential [6]. Intraductal neoplasms such as intraductal papillary mucinous neoplasms (IPMNs) can also present as cystic masses and may be associated with invasive carcinomas. Mucinous cystic neoplasms of the pancreas may be associated with malignancy while serous cystic neoplasms are usually benign [6].
LECs were first described by Lüchtrath and Schriefers in 1985 [7]. The diagnosis of LEC of the pancreas is difficult prior to surgical resection. The condition is often found incidentally or may present with non-specific symptoms such as abdominal pain, nausea, vomiting, anorexia, weight loss, back pain, fatigue and fever [8]. No recurrences or progression have been documented in the small number of LECs for whom follow-up information has been published [9]. Therefore, cure is possible with conservative resection and if the tumor can be diagnosed preoperatively, a ‘wait and watch’ is acceptable. Clinical differentiation from other cystic lesions of the pancreas can be challenging (Table 1) [10-20].
|
Table 1: Radiological and pathological features of pancreatic cysts. |
|||||
|
|
Serous cystadenoma |
Mucinous cystadenoma |
Intraductal papillary mucinous neoplasm |
Pseudocyst |
Lymphoepithelial cyst |
|
Cross-sectional imaging features |
Multicystic lobulated mass usually pancreatic head with central scar and calcification [10] |
Rounded/ ovoid tumour, peripheral calcification and septations may be seen [10, 11] |
Tumors communicate with PD, PD dilated [12] |
Fluid- filled oval/round collection with thick wall. Can be multiple, most commonly located in pancreatic bed [13] |
Well-defined, low attenuation mass, attached to the pancreas, not associated with PD dilatation, may have septations [14] |
|
Cyst fluid CEA |
<5 ng/mL [15] |
>192 ng/mL [15] |
>192 ng/mL [15] |
<192 ng/mL [15] |
Usually elevated can be >450 ng/mL [16] |
|
Cyst fluid amylase |
<250 U/L [15] |
<250 U/L [15] |
<250 U/L [15] |
>250 U/L [15] |
Normal or elevated |
|
Cytology |
Sparsely cellular, granular, proteinaceous background. Tumor cells form loose clusters. Small, round nuclei with fine chromatin and indistinct nucleoli, devoid of mitotic activity [17] |
Sheets/small papillae of mucinous-type epithelium [18] |
Complex papillary fronds of mucin-producing epithelial cells with variable atypia [19] |
Neutrophils and/ or histiocytes [20] |
Squamous epithelium, keratin debris and lymphocytes [16] |
|
CEA: carcino embryonic antigen; PD: pancreatic duct |
|||||
Lymphoepithelial cysts can be visualised on CT and MRI but non-invasive imaging alone is unreliable with reported accuracy of 20 to 90% [10, 21-24]. In general, LECs have thick fibrous walls and relatively large blood vessels. Therefore, the cyst wall demonstrates hypointensity on T1 and T2 weighted MRI images and can enhance following contrast administration [14]. LECs may also contain granular keratinized material or viscous fluid which causes profound water restriction on diffusion-weighted (DWI) MRI [25]. Endoscopic ultrasound (EUS) with fine needle aspiration (FNA) and analysis of cyst fluid is useful, tumor markers such as carcinoembryonic antigen (CEA) in cyst fluid have been used to differentiate mucinous neoplasms and pseudocysts with sensitivity and specificity of 57% and 100% respectively [26]. In a series of 220 patients with cystic lesions of the pancreas, the presence of symptoms, elevated serum CEA or CA19-9, size >3 cm and morphologic features on cross-sectional imaging such as presence of peripheral component, presence of peripheral calcification and dilation of main pancreatic duct were significant predictors of malignancy or potential malignancy [27].
A recent case series of nine lymphoepithelial cysts resected in a single institution demonstrated markedly elevated cyst fluid CEA levels (above 200 ng/mL) in the absence of malignancy. This finding has been described in a few previous case reports [28-33]. The reported case did not have the typical appearance of LEC on preoperative imaging and the presence of a grossly elevated CEA raised the possibility of malignancy. Therefore, a conservative management approach was not appropriate. Despite advances in cross-sectional imaging, the current case highlights the diagnostic dilemmas associated with the finding of a cystic pancreatic lesion and grossly elevated cyst fluid tumor marker.
Received June 11th, 2014 – Accepted September 2nd, 2014
Key words Carcinoembryonic Antigen; Diagnosis; Pancreatic Cyst; Tumor Markers, Biological
Conflict of Interest The authors declare that they have no conflict of interest
Correspondence
Dileep N Lobo
Division of Gastrointestinal Surgery
Nottingham Digestive Diseases Centre
National Institute of Health Research Biomedical Research Unit
E Floor, West Block
Queen’s Medical Centre
Nottingham NG7 2UH
UK
Phone: +44-115.823.1149
Fax: +44-115.823.1160
E-mail: dileep.lobo@nottingham.ac.uk
References
1. Basturk O, Coban I, Adsay NV. Pancreatic cysts: pathologic classification, differential diagnosis, and clinical implications. Arch Path Lab Med. 2009; 133:423-438. [PMID:19260748].
2. Truong LD, Rangdaeng S, Jordan PH Jr. Lymphoepithelial cyst of the pancreas. Am J Surg Pathol. 1987; 11:899-903. [PMID:3674287].
3. Adsay NV, Hasteh F, Cheng JD, Klimstra DS. Squamous-lined cysts of the pancreas: lymphoepithelial cysts, dermoid cysts (teratomas), and accessory-splenic epidermoid cysts. Semin Diagn Pathol. 2000; 17:56-65.
4. Farrell JJ, Fernandez-del Castillo C. Pancreatic cystic neoplasms: management and unanswered questions. Gastroenterology. 2013; 144:1303-1315. [PMID:23622140]
5. Aghdassi AA, Mayerle J, Kraft M, Sielenkamper AW, Heidecke CD, Lerch MM. Pancreatic pseudocysts--when and how to treat? HPB 2006; 8:432-441. [PMID:18333098]
6. Vilcea ID, Vasile I, Mirea C, Mesina C, Calota F, Pasalega M, Cheie M, Dumitrescu T, et al. Pancreatic true cysts--diagnosis and treatment difficulties. Chirurgia. 2011; 106:389-394.[PMID:21853751]
7. Luchtrath H, Schriefers KH. A pancreatic cyst with features of a so-called branchiogenic cyst. Der Pathologe. 1985; 6:217-219. [PMID:4048076]
8. Adsay NV, Hasteh F, Cheng JD, Bejarano PA, Lauwers GY, Batts KP, Kloppel G, Klimstra DS. Lymphoepithelial cysts of the pancreas: a report of 12 cases and a review of the literature. Modern Pathol. 2002; 15:492-501.[PMID: 12011254]
9. Domen H, Ohara M, Kimura N, Takahashi M, Yamabuki T, Komuro K, Iwashiro N, Ishizaka M. Lymphoepithelial cyst of the pancreas. Case Rep Gastroenterol. 2012; 6:604-611. [PMID:23039650]
10. Curry CA, Eng J, Horton KM, Urban B, Siegelman S, Kuszyk BS, Fishman EK. CT of primary cystic pancreatic neoplasms: can CT be used for patient triage and treatment? Am J Roentgenol. 2000; 175:99-103.[PMID:10882255]
11. Heatley MK, McCrory DC, O'Hara MD. Microcystic adenoma of the pancreas. Ulster Med J. 1991; 60:111-113. [PMID: 2448618]
12. Kawamoto S, Horton KM, Lawler LP, Hruban RH, Fishman EK. Intraductal papillary mucinous neoplasm of the pancreas: can benign lesions be differentiated from malignant lesions with multidetector CT? Radiographics. 2005; 25:1451-1468. [PMID: 16284127].
13. Kim YH, Saini S, Sahani D, Hahn PF, Mueller PR, Auh YH. Imaging diagnosis of cystic pancreatic lesions: pseudocyst versus nonpseudocyst. Radiographics. 25:671-685. [PMID: 15888617].
14. Kavuturu S, Sarwani NE, Ruggeiro FM, Deshaies I, Kimchi ET, Kaifi JT, Staveley-O'Carroll KF, Gusani NJ. Lymphoepithelial cysts of the pancreas. Can preoperative imaging distinguish this benign lesion from malignant or pre-malignant cystic pancreatic lesions? JOP. 2013; 14:250-255. [PMID: 23669473].
15. van der Waaij LA, van Dullemen HM, Porte RJ. Cyst fluid analysis in the differential diagnosis of pancreatic cystic lesions: a pooled analysis. Gastrointest Endosc. 2005; 62:383-389. [PMID: 16111956].
16. Raval JS, Zeh HJ, Moser AJ, Lee KK, Sanders MK, Navina S, Kuan SF, Krasinskas AM. Pancreatic lymphoepithelial cysts express CEA and can contain mucous cells: potential pitfalls in the preoperative diagnosis. Modern Pathol. 2010; 23:1467-1476. [PMID: 20802468].
17. Huang P, Staerkel G, Sneige N, Gong Y. Fine-needle aspiration of pancreatic serous cystadenoma: cytologic features and diagnostic pitfalls. Cancer. 2006; 108:239-249. [PMID: 16691573].
18. Goldsmith JD. Cystic neoplasms of the pancreas. Am J Clin Pathol. 2003; 119 Suppl:S3-16. [PMID: 21350107]
19. Stelow EB, Stanley MW, Bardales RH, Mallery S, Lai R, Linzie BM, Pambuccian SE. Intraductal papillary-mucinous neoplasm of the pancreas. The findings and limitations of cytologic samples obtained by endoscopic ultrasound-guided fine-needle aspiration. Am J Clin Pathol. 2003; 120:398-404. [PMID: 14502804].
20. Gonzalez Obeso E, Murphy E, Brugge W, Deshpande V. Pseudocyst of the pancreas: the role of cytology and special stains for mucin. Cancer. 2009; 117:101-107. [PMID: 19365837].
21. Cohen-Scali F, Vilgrain V, Brancatelli G, Hammel P, Vullierme MP, Sauvanet A, Menu Y. Discrimination of unilocular macrocystic serous cystadenoma from pancreatic pseudocyst and mucinous cystadenoma with CT: initial observations. Radiology. 2003; 228:727-733. [PMID: 12954892].
22. Le Borgne J, de Calan L, Partensky C. Cystadenomas and cystadenocarcinomas of the pancreas: a multiinstitutional retrospective study of 398 cases. French Surgical Association. Ann Surg. 1999; 230:152-161. [PMID: 10450728].
23. Gerke H, Jaffe TA, Mitchell RM, Byrne MF, Stiffler HL, Branch MS, Baillie J, Jowell PS. Endoscopic ultrasound and computer tomography are inaccurate methods of classifying cystic pancreatic lesions. Digest Liver Dis. 2006; 38:39-44. [PMID: 16314152].
24. Johnson CD, Stephens DH, Charboneau JW, Carpenter HA, Welch TJ. Cystic pancreatic tumors: CT and sonographic assessment. Am J Roentgenol. 1988; 151:1133-1138. [PMID: 3055888].
25. Nam SJ, Hwang HK, Kim H, Yu JS, Yoon DS, Chung JJ, Kim JH, Kim KW. Lymphoepithelial cysts in the pancreas: MRI of two cases with emphasis of diffusion-weighted imaging characteristics. J Magn Reson Imag. 2010; 32:692-696. [PMID: 20815068].
26. Hammel P, Voitot H, Vilgrain V, Levy P, Ruszniewski P, Bernades P. Diagnostic value of CA 72-4 and carcinoembryonic antigen determination in the fluid of pancreatic cystic lesions. Eur J Gastroenterol Hepatol. 1998; 10:345-348. [PMID: 9855052].
27. Goh BK, Tan YM, Thng CH, Cheow PC, Chung YF, Chow PK, Wong WK, Ooi LL. How useful are clinical, biochemical, and cross-sectional imaging features in predicting potentially malignant or malignant cystic lesions of the pancreas? Results from a single institution experience with 220 surgically treated patients. J Am Coll Surg. 2008; 206:17-27. [PMID: 18155564].
28. Centeno BA, Stockwell JW, Lewandrowski KB. Cyst fluid cytology and chemical features in a case of lymphoepithelial cyst of the pancreas: A rare and difficult preoperative diagnosis. Diagn Cytopathol. 1999; 21:328-330. [PMID: 10157479].
29. Chan SP, Hatton CW, Falk GL. Lymphoepithelial cyst of the pancreas: serum markers do not help. HPB Surg. 1998; 11:121-124.[PMID: 9893243].
30. De Lorenzi D, Candinas D, Flury R, Meyenberger C, Largiader F. Lymphoepithelial cyst of the pancreas. Helv Chir Acta. 1993; 60:131-135. [PMID: 8226040].
31. Kaiserling E, Seitz KH, Rettenmaier G, Seidel W, Kahlfuss R, Walz-Mattmuller R, Becker V. Lymphoepithelial cyst of the pancreas. Clinical, morphological, and immunohistochemical findings. Zentralbl Pathol. 1991; 137:431-438. [PMID: 1801913].
32. Tsuchiya Y, Suzuki S, Sakaguchi T, Kojima Y, Okamoto K, Kurachi K, Konno H, Baba S, et al. Lymphoepithelial cyst of the pancreas: report of a case. Surg Today. 2000; 30:856-860.[PMID: 3077197].
33. Yamaguchi T, Takahashi H, Kagawa R, Takeda R, Sakata S, Yamamoto M, Nishizaki D. Lymphoepithelial cyst of the pancreas associated with elevated CA 19-9 levels. J Hepato-biliary Pancreat Surg.2008: 15:652-654. [PMID: 18987938].