CASE REPORT
JOP. J Pancreas (Online) 2014 Sep 28; 15(5):508-511.
Novel Use of a Self-Expandable Metal Stent with an Anti-Migration System for Palliative Drainage of a Pancreatic Cystic Neoplasm
Rajesh Kumar Paramasivam1, Shiaw-Hooi Ho2, Basri Jeet Abdullah3, Khean-Lee Goh2, Ida Hilmi2
1Department of Medicine, University Putra Malaysia. Seri Kembangan (Serdang), Selangor, Malaysia. Departments of 2Medicine and 3Biomedical Imaging, University of Malaya. Kuala Lumpur, Malaysia
ABSTRACT
Context There is scanty data on endoscopic palliative management of pancreatic cystic lesions that cause gastric outlet obstruction (GOO). This is the first case report that illustrates the use of a covered self-expandable metal stent (CSEMS) with an anti-migration system in the management of a symptomatic neoplastic cystic pancreatic lesion. Case report A 92-year-old Chinese female presented with partial GOO for 3 months. Examination revealed a non-tender epigastric mass with moderate abdominal distension. Esophagogastroduodenoscopy (EGD) showed a significant bulge at the posterior wall of the gastric antrum and food residue in the stomach. A CT scan of the abdomen showed a large pancreatic tail cystic lesion. Endoscopic ultrasound (EUS) showed a clear, non-septated cystic lesion measuring 9.7x10 cm arising from the pancreatic tail. Analysis of the aspirate revealed the following: Amylase: 3,200 units/L, CEA: 411 ng/mL, CA 19-9 812 U/mL and no malignancy. A Niti-STM Biliary Stent (NAGITM) was used for a cystogastrostomy. This procedure was complicated by a self-limiting intra-abdominal leak, stent migration and bleeding from a splenic artery pseudoaneurysm which was arrested with coil embolization. She progressed well after that with significant symptom improvement and no further complications. Conclusion This is the first case of a CSEMS with an anti-migration system that was used for decompression of a pancreatic cystic neoplasm (PCN). Novel use of this stent is a viable option as palliative management of a PCN in those not fit for surgery but caution needs to be exercised as there can be significant complications.
INTRODUCTION
Covered self-expandable metal stents (CSEMS) with an anti-migration system are increasingly used in the drainage of pseudocysts and pancreatic necrosectomy as they have the advantage of allowing better drainage in view of their large diameter and reduced migration rate due to their acute angled flare ends. However, there have been no cases of their use as a permanent, palliative treatment for non-operable pancreatic cystic neoplasms (PCN). Here we report a case of an intraductal papillary mucinous neoplasm (IPMN) that was successfully managed with such a stent and discuss the complications and issues that arose.
CASE REPORT
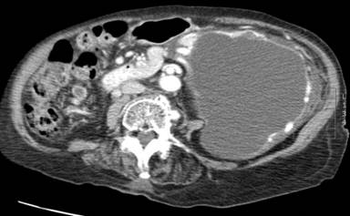
Madam WFE, a 92-year-old Chinese female presented in March 2013 with a three month history of upper abdominal discomfort, early satiety and weight loss of 7 kg. Her past medical history includes hypertension and a previous transient ischemic attack but there was no history suggestive of acute or chronic pancreatitis. Abdominal examination revealed a vague, non-tender epigastric mass with moderate abdominal distension. Her blood parameters and tumor markers were normal. CT scan of the abdomen showed a large cystic lesion in the tail of pancreas with no obvious communication with the main pancreatic duct and no features of malignancy (Figure 1). Esophagogastroduodenoscopy (EGD) revealed normal gastric mucosa with a significant bulge at the posterior wall of the gastric antrum. She was diagnosed as having a pancreatic cystic neoplasm (PCN) with partial gastric outlet obstruction (GOO). In view of her age and co-morbidities, she was planned for an EUS-guided pancreatic cystic neoplasm (EUS-PCN) drainage as palliation for the GOO. However, it was felt that the standard pseudocyst drainage technique of using multiple plastic stents was unlikely to be of benefit as the fluid collection would re-accumulate as long as the tumor remained. Therefore, the decision was made to insert a covered self-expandable metal stent (CSEMS) with an anti-migration system.

|
Figure 1. Large cystic tumour arising from tail of pancreas. |
PROCEDURE
The procedure was done under midazolam infusion by an anesthetist. EUS was performed with a curved linear array echoendoscope (GF-UCT 180 Olympus America Inc., Centre Valley, PA, USA) and Aloka 5 system (Olympus America Inc., Centre Valley, PA, USA). A large, clear and non-septated cystic lesion measuring 9.7x10.0 cm arising from the pancreatic tail was identified. There was no obvious connection to the main pancreatic duct or features suggestive of chronic pancreatitis (Figure 2). The lesion was free form vascular invasion and no peri-lesional lymph nodes were seen. The lesion was punctured with a 19 gauge EUS fine needle aspiration (EUS-FNA) needle (Echo-tipTM, Wilson-Cook, Winston-Salem, NC, USA) and a 0.035” ZebraTM guide wire (Wilson-Cook, Winston-Salem, NC, USA) was inserted into the lesion forming a few loops within it. The aspirate was sent for CEA, CA19-9, amylase and cytology. The cystogastrotomy tract was formed using an 8.5-Fr Cystotome (Cook Endoscopy, Winston-Salem, NC) and a CRETM (Boston Scientific, Natick, MA, USA) wire guided balloon dilatation was done up to 8 mm. A novel lumen opposing CSEMS, Niti-STM Biliary Stent (NAGITM) (Taewoong-Medical Co, Seoul, South Korea) measuring 14 mm in diameter x 30mm in length was deployed into the tract successfully (Figure 3). A nasogastric tube was placed in the gastric cavity after the cystogastrostomy to prevent aspiration of large amounts of drained mucinous fluid.

|
Figure 2. Large, non-septated clear cyst in the tail of pancreas. |

|
Figure 3. Guide wire in the cyst (left) and successful CSEMS deployment (right). |
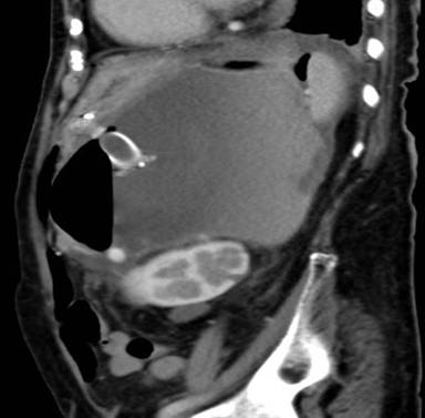
Immediately after the procedure, the abdomen was noted to be distended and she had some abdominal pain. An erect CXR showed initial pneumoperitoneum but this decreased both clinically and radiologically after one day. A subsequent CT abdomen did not show any leak and the stent was in-situ (Figure 4). The patient was discharged on the third day post procedure. Fluid analysis was consistent with an intrapapillary mucinous neoplasm (IPMN); CEA: 411 ng/mL, amylase: 3,200 units/L, CA 19-9: 812 U/mL. Cytology was negative for malignancy but abundant mucin was seen.

|
Figure 4. CT abdomen showing stent in situ and resolving pneumoperitoneum. |
CLINICAL PROGRESS
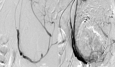
Unfortunately, she was admitted two weeks later with fever, melena and coffee ground vomiting. Her blood pressure was 80/50 mmHg, pulse was 120 beat per minute and her hemoglobin dropped to 7.6 g/dL. EGD revealed massive blood clots in the stomach and although the stent was in situ, there were clots seen within the stent which suggested that the source of bleeding was from the cystic cavity. She was referred for angiography and embolization; angiogram showed bleeding from a ruptured splenic artery pseudoaneurysm. Coil embolization (Figure 5) was carried out successfully and patient’s vital signs improved immediately. She was discharged well a few days later.

|
Figure 5. Angiography showing splenic artery pseudoaneurysmal bleed (left) followed by coil embolization (right). |
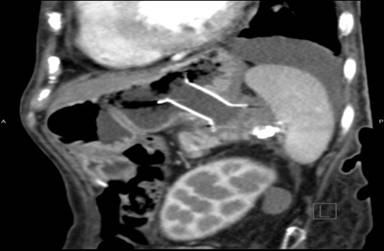
Three weeks later, she presented again with vomiting. EGD revealed that the stent had migrated into the stomach. This was subsequently removed and a larger diameter stent was inserted into the original tract, a Niti-STM Biliary Stent (NAGITM) (Taewoong-Medical Co, Seoul, South Korea), 16 mm in diameter x 30 mm in length. She was carefully followed up and nine months post procedure remained well. Her appetite was good and her abdominal discomfort had resolved. A recent repeat CT scan (Figure 6) showed that the stent was still in situ and the cyst had completely collapsed.

|
Figure 6. CT abdomen after 6 months of stent insertion showing stent in-situ and resolution of lesion. |
Final diagnosis: Probable slow growing benign IPMN with GOO symptoms, decompressed with a CSEMS with an anti-migration system complicated by a self-limiting intra-abdominal leak, stent migration and rupture of a splenic artery pseudoaneurysm.
DISCUSSION
In recent years, there has been an increase in specially designed CSEMS for EUS guided drainage, be it pseudocyst, gallbladder or the biliary tree [1, 2]. The 'pseudocyst' metallic stents are short stents which are fully covered to avoid leakage and have flared ends to prevent migration. The diameter of the stents are larger than the plastic ones facilitating better drainage although to our knowledge no head to head studies have been published. However, in the case of pseudocysts, the stents are not meant to be placed permanently and are usually removed after a few weeks once the pseudocyst resolves. In the case of a PCN however, recurrence of the cyst is inevitable once the stent(s) is/are removed. In view of this and the risk of malignant transformation, surgery of course is the standard treatment of these lesions [3] but as our patient was 92 years old and underlying co-morbidities, she was unfit for surgery. At the same time she was highly symptomatic from the PCN. There has been a reported case of the use of a plastic stent as a palliative measure for a patient with non-resectable cystic pancreatic adenocarcinoma with partial GOO [4]. The patient was treated successfully with a palliative EUS-guided cystogastrostomy using a 10-Fr double pigtail stent placement. However, the life expectancy in that patient was short whereas there was no evidence to suggest malignant transformation in our patient and her life expectancy was uncertain despite her age. Therefore, we felt that a CSEMS with anti-migration properties would certainly be the better choice in this case as a 'permanent' solution for the patient. The technique used was identical to that used for standard pseudocyst drainage.
There are many points of discussion in this patient. The most crucial is the utility of CSEMS as it is not the standard therapy for PCN. One possibility was to use alcohol/paclitaxel to ablate the cyst [5] instead but we felt this would be technically difficult as the cyst was large and the risk of complication (e.g. pancreatitis) would be higher. There is also documented risk of seeding in patients who had undergone EUS guided puncture of PCN but this was unlikely to be an issue in view of her age and we regarded the treatment as purely palliative.
Although the procedure was uncomplicated, there was a transient pneumoperitoneum following the procedure. This is a well-recognized complication following pseudocyst drainage; however it is also possible that patients with cystic neoplasms are more likely to develop a transient intra-peritoneal leak because there is no formed pseudocyst wall. Despite the increasing use of EUS for drainage of pancreatic fluid collections (PFC)[6], haemorrhagic complications still occur in 1-2%, because the vessels on the internal wall of the pseudocyst might be compressed by the fluid and thus not visible on colour Doppler [7]. Splenic artery pseudoaneurysm is a rare complication but it is known to happen in moderate to severe pancreatitis with pancreatic pseudocysts [8]. There is only one reported case of a pseudoaneurysm due to pancreatic carcinoma; a 73 woman who was diagnosed with a splenic artery pseudoaneurysm who was successfully treated with coil embolization [9]. Embolization is generally accepted as the preferred treatment modality if technically feasible although complications such as coil migration have been described [10]. Although there is no published data at present, some therapeutic endoscopists recommend angiography to specifically identify pseudoaneurysms, with prophylactic embolization prior to endoscopic drainage.
The other complication that occurred in this patient is that there was migration of the stent less than 6 weeks post procedure. Migration rates are rarer with the new 'pseudocyst' stents compared the conventional biliary CSEMS that were used in the past but has been described. However, the use of a larger diameter stent appeared to resolve this problem in our patient and was still in place nine months after deployment.
CONCLUSION
This is the first case of a pancreatic cystic neoplasm where a novel lumen opposing CEMS with anti-migration properties was used for relief of GOO. Our case demonstrates that the use of this stent is a viable option for palliation of a PCN, especially for those not fit for surgery. However, caution needs to be exercised as there can be significant complications from this procedure.
Received June 1st, 2014 – Accepted July 21st, 2014
Key words Endoscopy, Digestive System; Gastric Outlet Obstruction; Pancreatic Cyst; Pancreatic Neoplasms
Abbreviations EGD: esophagogastroduodenoscopy; PCN: pancreatic cystic ceoplasm; IPMN: intraductal papillary mucinous neoplasm; CSEMS: covered self-expandable metal stents
Note Written and informed consent was obtained from the patient for the case report and accompanying images
Conflict of Interest Authors declare that they have no conflict of interest to disclose
Correspondence
Rajesh
Kumar Paramasivam
Department of Medicine
University Putra Malaysia
Seri Kembangan (Serdang), Selangor
Malaysia
Phone: +60-17.211.1146
E-mail: jeshmar74@yahoo.co.uk
References
1. Yamamoto N, Isayama H, Kawakami H, Ito Y, Takahara N, Uchino R, et al. Preliminary report on a new, fully covered, metal stent designed for the treatment of pancreatic fluid collections. Gastrointest Endosc. 2013; 77: 809-814.[PMID: 23453183].
2. Itoi T, Nageshwar Reddy D, Yasuda I. New fully-covered self-expandable metal stent for endoscopic ultrasonography-guided intervention in infectious walled-off pancreatic necrosis (with video). J Hepatobiliary Pancreat Sci. 2013; 20: 403-406.[PMID: 22926337].
3. Tanaka M, Fernandez-del Castillo C, Adsay V, Jang JY, Kimura W, Levy P, et al. International consensus guidelines 2012 for the management of IPMN and MCN of the pancreas. Pancreatology. 2012; 12: 183-197.[PMID: 22687371].
4. Silva RG, Jr., Silverman WB, Gerke H. Palliative endoscopic ultrasound-guided drainage of a malignant pancreatic cyst causing gastric outlet obstruction. Pancreatology. 2006; 6: 472-476. [PMID: 16847385].
5. Oh HC, Seo DW, Lee TY, Lee SK, Kim MH. New treatment for cystic tumors of the pancreas: EUS-guided ethanol lavage with paclitaxel injection. Gastrointest Endosc 2008; 67: 636-642. [PMID: 18262182].
6. Varadarajulu S, Christein JD, Wilcox CM. Frequency of complications during EUS-guided drainage of pancreatic fluid collections in 148 consecutive patients. J Gastroenterol Hepatol. 2011; 26: 1504-1508.[PMID: 21575060].
7. Ahn JY, Seo DW, Eum J, Moon SH, Park do H, Lee SS, et al. Single-Step EUS-Guided Transmural Drainage of Pancreatic Pseudocysts: Analysis of Technical Feasibility, Efficacy, and Safety. Gut Liver. 2010; 4: 524-529.[PMID: 21253303].
8. Bergert H, Dobrowolski F, Caffier S, Bloomenthal A, Hinterseher I, Saeger HD. Prevalence and treatment of bleeding complications in chronic pancreatitis. Langenbecks Arch Surg. 2004; 389: 504-510. [PMID: 15173947].
9. Furukawa H, Fukushima N, Shimada K. Splenic artery aneurysm secondary to pancreatic carcinoma. Am J Gastroenterol. 2000; 95: 3659-3660. [PMID: 11151921].
10. Han YM, Lee JY, Choi IJ, Kim CG, Cho SJ, Lee JH, Kim HB, Choi JM. Endoscopic removal of a migrated coil after embolization of a splenic pseudoaneurysm: a case report. Clin Endosc. 2014; 47: 183-187. [PMID: 24765602].