CASE REPORT
JOP. J Pancreas (Online) 2014 Sep 28; 15(5):520-522.
Renal Cell Carcinoma Mimicking Igg4-Related Pseudotumor in Autoimmune Pancreatitis
Muhammad Ali Khan1, Sehrish Kamal1, Usman Ahmad2, Mohammed Andaleeb Chowdhury1, Ali Nawras2
1Internal Medicine and 2Gastroenterology, University of Toledo. Toledo, Ohio, USA
ABSTRACT
Context Autoimmune pancreatitis is classified into two distinct clinical profiles. Case report Type 1 autoimmune pancreatitis (AIP) is considered to be a manifestation of a novel clinicopathological entity called IgG4 related sclerosing disease, diagnosed using the Mayo Clinic HISORt criteria. Extra-pancreatic manifestations can include involvement of bile ducts, salivary gland, lung nodules, thyroiditis, tubulointerstitial nephritis, renal masses, and retroperitoneal fibrosis. Type 2 autoimmune pancreatitis on the other hand is confirmed by histologically seen duct centric pancreatitis without elevation of IgG4 or involvement of other organs. In type 1 autoimmune pancreatitis, extrapancreatic manifestations like bile duct strictures, tubulointerstitial nephritis, renal nodules, retroperitoneal fibrosis respond to steroid therapy. Conclusion We present a case of type 1 autoimmune pancreatitis in which the renal mass did not respond to steroid therapy and was later on found to be renal cell carcinoma. To the best of our knowledge this is only the third reported case of autoimmune pancreatitis in which the patient had renal cell carcinoma. Our case highlights the importance of close follow up of lesions that do not respond to steroid treatment which in this case proved to be renal cell cancer.
INTRODUCTION
Autoimmune pancreatitis is classified into two distinct clinical profiles. Type 1 autoimmune pancreatitis (AIP) is one of the presentations of IgG4 related sclerosing disease diagnosed using the Mayo Clinic HISORt criteria [1]. Extrapancreatic manifestations can include involvement of bile ducts, salivary gland, lung nodules, thyroiditis, interstitial nephritis, renal masses, and retroperitoneal fibrosis [2, 3]. Type 2 autoimmune pancreatitis on the other hand is confirmed by histologically seen duct centric pancreatitis without elevation of IgG4 or involvement of other organs.
CASE REPORT
We report a case of a seventy three year old Caucasian male who presented with obstructive jaundice, pruritus, a four month history of oily diarrhea, weight loss, and uncontrolled diabetes mellitus. Physical examination was unremarkable except for scleral icterus.
Liver function tests demonstrated a total bilirubin 16.9 mg/dL, AST 118 IU/L, ALT 213 IU/L, and alkaline phosphatase 438 IU/L.
Contrast enhanced computed tomography (CT) of abdomen showed an enlarged pancreas with a hypo-dense halo or capsule around it. There was mild biliary tree dilatation without any definite obstructing mass or gallstone. A contrast enhancing left renal mass measuring 30x26 mm was also noted.
Endoscopic retrograde cholangiopancreatography (ERCP) and endoscopic ultrasound (EUS) were performed. The Radial EUS disclosed prominent pancreatic head with diffuse hypoechogenicity of pancreatic parenchyma and small pancreatic duct measuring 1.3 mm with no discrete mass was identified. Distal common bile duct (CBD) stricture measuring 1.0 mm was noted within the head of the pancreas. ERCP re-identified the distal common bile duct stricture which measured 20 mm in length. The stricture was brushed, biopsied and stented. EUS-FNA of the distal CBD stricture within the head of pancreas was negative for malignancy. Autoimmune pancreatitis was suspected for which IgG subclass analysis was ordered which revealed an elevated IgG4 of 388 mg/dL (reference range: 8-140 mg/dL) consistent with AIP.
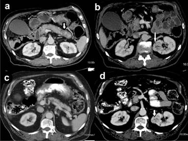
The patient was started on Prednisone 40 mg/day which led to complete resolution of his symptoms within two weeks. The dose was decreased by 5mg every week until it reached a 10mg/day as a maintenance dose. Repeat ERCP two months later for stent removal revealed a patent common bile duct. A follow up contrast enhanced CT scan was performed 5 months later to re-evaluate the renal mass which was initially suspected to be an extra-pancreatic manifestation of AIP. It revealed a normal sized pancreas, however, the contrast enhancing renal mass had increased in size to 34x30 mm (Figure 1ab). The patient underwent partial nephrectomy and was found to have primary renal cell cancer.

|
Figure 1. a. Contrast enhanced axial CT of the abdomen shows enlarged pancreas with loss of normal fatty lobulation. There is a hypodense "halo" or capsule (white arrow) around the pancreas. b. Contrast enhanced axial CT of the abdomen showing a well circumscribed solid heterogonous renal mass measuring 30x26 mm in the mid pole of the left kidney. c. Contrast enhanced CT of the abdomen 5 months later showing resolution of pancreatitis and a normal appearing pancreas. d. Contrast enhanced CT scan 5 months later showing the enlarging renal mass 34x30 mm. |
DISCUSSION
Autoimmune pancreatitis is the prototypical manifestation of IgG4 related disease and it forms two percent of chronic pancreatitis cases [4]. Most of the early literature regarding this entity comes from Japan where the prevalence of the disease is 0.82 per 100,000 persons, however recently it has been described in several other countries.
Renal mass is one of the extra-pancreatic manifestations of IgG4 related disease which could range from tubulointerstitial nephritis to nodular lesions and pseudotumors mimicking renal cell carcinoma [5]. On radiological evaluation using contrast enhanced CT scan; the most common renal abnormality in IgG4 related disease was multiple low density lesions [6]. However, mass like lesions simulating renal cell carcinoma have been recognized in 3-27% patients [6, 7]. In the past, a number of such patients with renal masses underwent nephrectomies [8], which later revealed a dense lymphoplasmacytic infiltrate with an increased number of IgG4 positive plasma cells on pathological examination. Histologically, such renal lesions are characterized by an irregular pattern of fibrosis called storiform fibrosis which is considered to be pathognomonic for renal manifestations in IgG4 related disease [9]. Lately, CT guided renal biopsies have been performed in such cases, thereby preventing nephrectomies [10]. Being a rare clinical disorder, no formal guidelines evaluating the role of renal biopsy in such cases have been formulated (Figure 1cd).
Two case reports from Japanese literature demonstrated the occurrence of renal cell carcinoma in patients with AIP (Table 1). In the first case, renal cell carcinoma with metastases was found on autopsy, six years after the diagnosis of AIP [11]. In the second case, patient had a history of renal cell carcinoma ten years prior to the diagnosis of AIP [12]. We report a third case, in which renal cell carcinoma was diagnosed 5 months after the diagnosis of AIP. Although this may be an incidental finding, we do not know for sure whether there is a potential association between AIP and renal cell carcinoma which may be elucidated in future with more reported cases.
|
Table 1. Cases of autoimmune pancreatitis with renal cell carcinoma. |
||||
|
Patient |
Age |
Gender |
Race |
Time of diagnosis of renal cell carcinoma |
|
#1 Miura et al., 2008 [11] |
68 |
Male |
Asian |
6 years post diagnosis of AIP |
|
#2 Oae et al., 2011 [12] |
66 |
Male |
Asian |
10 years prior to diagnosis of AIP |
|
73 |
Male |
Caucasian |
Concomitant with diagnosis of AIP |
|
Our case emphasizes that not all renal masses in autoimmune pancreatitis are extra-pancreatic manifestation of the disease. It also illustrates the necessity for mandating further work up in the form of biopsy and/or surgery to rule out more ominous etiologies, especially if the renal mass is not responding to steroid treatment.
Received August 27th, 2014 – Accepted September 5th, 2014
Key words Carcinoma, Renal Cell; Immunoglobulin G; Pancreatitis
Conflict of Interest Authors declare to have no conflict of interest
Correspondence
Ali Nawras
Gastroenterology
University of Toledo
3000 Arlington Avenue
Toledo, OH
USA
Phone:
+1-419.383.3491
Fax: +1-419.383.6197
E-mail: ali.nawras@utoledo.edu
References
1. Chari ST. Diagnosis of autoimmune pancreatitis using its five cardinal features: introducing the Mayo Clinic's HISORt criteria. Journal of gastroenterology. 2007; 18: 39-41. [PMID: 17520222].
2. Chari ST, Takahashi N, Levy MJ, Smyrk TC, Clain JE, Pearson RK. A diagnostic strategy to distinguish autoimmune pancreatitis from pancreatic cancer. Clinical gastroenterology and hepatology: the official clinical practice journal of the American Gastroenterological Association. 2009; 7:1097-1103.
3. Cornell LD, Chicano SL, Deshpande V, Collins AB, Selig MK, Lauwers GY, Barisoni L, Colvin RB. Pseudotumors due to IgG4 immune-complex tubulointerstitial nephritis associated with autoimmune pancreatocentric disease. The American journal of surgical pathology. 2007; 31: 1586-1597. [PMID: 17895762].
4. Nishimori I, Tamakoshi A, Otsuki M, Research Committee on Intractable Diseases of the Pancreas MoHL, Welfare of J. Prevalence of autoimmune pancreatitis in Japan from a nationwide survey in 2002. Journal of gastroenterology. 2007; 18: 6-8. [PMID: 17520216].
5. Saeki T, Nishi S, Ito T, Yamazaki H, Miyamura S, Emura I, Imai N, Ueno M, et al. Renal lesions in IgG4-related systemic disease. Internal medicine. 2007; 46: 1365-1371. [PMID: 17827834].
6. Kawano M, Saeki T, Nakashima H, Nishi S, Yamaguchi Y, Hisano S, Hisano S, Yamanaka N, Inoue D, et al. Proposal for diagnostic criteria for IgG4-related kidney disease. Clinical and experimental nephrology. 2011; 15: 615-626. [PMID: 21898030].
7. Saeki T, Nishi S, Imai N, Ito T, Yamazaki H, Kawano M, Yamamoto M, Takahashi H, et al. Clinicopathological characteristics of patients with IgG4-related tubulointerstitial nephritis. Kidney international. 2010; 78: 1016-1023. [PMID: 20720530].
8. Shoji S, Nakano M, Usui Y. IgG4-related inflammatory pseudotumor of the kidney. International journal of urology : official journal of the Japanese Urological Association. 2010; 17: 389-390. [PMID: 20409237].
9. Deshpande V, Zen Y, Chan JK, Yi EE, Sato Y, Yoshino T, Klöppel G, Heathcote JG, Khosroshahi A, et al. Consensus statement on the pathology of IgG4-related disease. Modern pathology: an official journal of the United States and Canadian Academy of Pathology, Inc. 2012; 25: 1181-1192. [PMID: 22596100].
10. Nishikawa G, Nakamura K, Yamada Y, Yoshizawa T, Kato Y, Katsuda R, Katsuda R, Zennami K, Tobiume M, et al. Inflammatory pseudotumors of the kidney and the lung presenting as immunoglobulin G4-related disease: a case report. Journal of medical case reports. 2011; 5: 480. [PMID: 21943114].
11. Miura H, Kitamura S, Yamada H. An autopsy case of autoimmune pancreatitis after a 6-year history of steroid therapy accompanied by malignant dissemination of unknown origin. European journal of gastroenterology & hepatology. 2008; 20: 930-934.
12. Oae M, Okubo K, Uemura Y, Atsuta T, Kimura H, Makino Y, Matsui Y, Imamura M, Shimizu Y, et al. [IgG4-related tubulointerstitial nephritis presented with multiple renal nodular lesions]. Hinyokika kiyo Acta Urologica Japonica. 2011; 57: 309-313.