CASE REPORT
JOP. J Pancreas (Online) 2014 Nov 28; 15(6):600-603.
Mixed Periampullary Adenocarcinoma and Somatostatinoma with Small Bowel Gastrointestinal Stromal Tumour in Neurofibromatosis Type 1
Nilanjana Tewari1, Katie Rollins1, Nirav Gandhi2, Phillip Kaye2, Dileep N Lobo1
1Department of Gastrointestinal Surgery, Nottingham Digestive Diseases Centre National Institute of Health Research Biomedical Research Unit and 2Department of Pathology, Nottingham University Hospitals NHS Trust, Queen’s Medical Centre. Nottingham, UK
ABSTRACT
Context Gastrointestinal (GI) involvement is present in about one quarter of cases of neurofibromatosis type 1 (NF1). Adenocarcinomas have been reported in several organs. Gastrointestinal stromal tumors are the most common GI lesion seen in NFI. GISTs in combination with ampullary neuroendocrine tumors in NF-1 have been reported rarely. Case report We present the case of a 44-year-old man who presented with a history of obstructive jaundice and weight loss. Investigations revealed a pancreatic tumor associated with a common bile duct (CBD) stricture. At operation, an ampullary adenocarcinoma that infiltrated into the head of pancreas with an adjacent somatostatinoma was found. In addition, a small bowel GIST was present. Conclusions Mixed periampullary adenocarcinoma and somatostatinoma in a patient with NF1 has only been previously reported once. The current case highlights the spectrum of associated tumor types which can be seen in association with NF1. Patients with NF1 who present with jaundice and weight loss should be investigated in the usual manner with increased suspicion for duodenal and ampullary tumors.
INTRODUCTION
Neurofibromatosis type 1 (NF1) is an autosomal dominant inherited condition, with an incidence of 1 in 3,000 births. Diagnosis is usually made clinically, based on first-degree family history and a triad of symptoms: café-au-lait spots, cutaneous neurofibromas and neoplasms of the central or peripheral nervous system [1]. Malignancies are found in 3-15% of patients [2].
Gastrointestinal (GI) involvement is present in about one quarter of cases [3]. This occurs in three principal forms: 1) hyperplasia of the submucosal and myenteric nerve plexuses; 2) gastrointestinal stromal tumors (GISTs); 3) periampullary carcinoid which may be associated with phaeochromocytoma [4, 5]. GI adenocarcinomas have been reported in the oesophagus [6], stomach [7], duodenum [8], small bowel [9], colon [10], gallbladder [11], biliary tract [12] and pancreas [4, 5, 13].
Mixed periampullary adenocarcinoma and somatostatinoma in a patient with NF1 has only been previously reported once [14]. We present the case of a male patient with NF1 and a rare finding of periampullary adenocarcinoma and somatostatinoma associated with small bowel GIST.
CASE REPORT
A 44-year-old man presented with a history of obstructive jaundice and weight loss of 20 kg over 3 months. He had a background of neurofibromatosis type 1 (NF1) and previous adrenalectomy for phaeochromocytoma and ganglioneuroma. He had limited mobility secondary to his neurofibromas which predominantly affected his upper thighs as a consequence of which he was able to walk a distance of approximately 150 m with the aid of a stick.
Magnetic resonance cholangiopancreatography (MRCP) revealed multiple gallstones and significant dilatation of the intra-hepatic bile ducts with no obvious underlying cause (Figure 1). Endoscopic retrograde cholangiopancreatography (ERCP) subsequently demonstrated the papilla to be replaced by a polypoid tumor. The main pancreatic duct was cannulated and there was an isolated segment of duct dilatation but the common bile duct (CBD) could not be cannulated. Biopsies of the ampullary mass revealed epithelial regenerative changes with no definite evidence of dysplasia or malignancy. A subsequent percutaneous transhepatic cholangiogram (PTC) demonstrated a distal short segment CBD occlusion. This occlusion was crossed, brush cytology obtained and a covered metal stent placed, following which he made a good recovery. The cytological brushings contained cells with a few pale nuclei and prominent nucleoli which were classified as reactive in nature.

|
Figure 1. Magnetic resonance cholangiopancreatography demonstrating significant intra-hepatic biliary duct dilatation (arrows) but no extra-hepatic or common bile duct dilatation. |
As clinical and pathological findings were suspicious of malignancy, the decision was made to proceed to a Whipple’s procedure. Intra-operatively a mass involving the duodenum and head of pancreas was found.
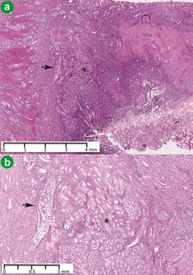
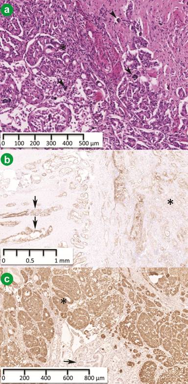
Macroscopically, the ampulla contained a tumor measuring 35 mm in maximum dimension that infiltrated into the head of the pancreas with extensive surrounding necrosis. Histopathological examination revealed a well differentiated adenocarcinoma (T3 N0 M0) composed of angulated glands with pleomorphic nuclei (Figure 2). An adjacent cluster of glands composed of cells with ovoid nuclei, coarse ‘salt and pepper’ cytoplasm and eosinophilic cytoplasm characteristic of endocrine tumors was also identified (Figure 2). Scattered psammoma bodies were interspersed among the endocrine glands (Figure 3). The endocrine glands infiltrated into the submucosa and measured 10 mm in greatest dimension (T1 N0 M0). The neuroendocrine tumor stained positively for somatostatin (Figure 3). Immunohistochemistry, with positive staining for synaptophysin and a Ki-67 index of less than 1%, confirmed the diagnosis of a Grade 1 endocrine tumor. The endocrine tumor was negative for the epithelial marker BerEP4 in contrast to the strongly positive adenocarcinoma (Figure 3). Staining for peptide hormone content of the endocrine cells showed somatostatin production with no staining for insulin or gastrin.

|
Figure 2. a. Endocrine tumor (*) with adjacent adenocarcinoma invading into muscularis propria (arrow) (hematoxylin and eosin stain ×25). b. Endocrine tumor (*) with adjacent adenocarcinoma (arrow) (hematoxylin and eosin stain ×50). |

|
Figure 3. a. Endocrine tumor (*) with scattered psammoma bodies (arrowheads) that are characteristic in somatostatinomas (H &E ×200). b. Scattered infiltrating malignant exocrine glands positive for BEREP4 (arrows) with negative staining endocrine glands (predominantly on right *) (×50). c. Somatostatin positive neuroendocrine tumor (*). Arrow points to adjacent adenocarcinoma that show no staining (×100). |
A separate length of small bowel featured a 20 mm firm nodule on the serosal surface located at the border of the mesenteric attachment. On sectioning, the nodule had a uniform, pale, fibrous cut surface with no necrosis. On microscopic examination, the lesion was composed of plump spindle cells with slightly tapered nuclei and moderate amount of eosinophilic cytoplasm. Mitotic figures were absent. Immunohistochemical staining for the ubiquitously expressed DOG-1 antigen confirmed the diagnosis of a GIST with the location and other features suggesting the tumor had no malignant potential.
DISCUSSION
Phaeochromocytomas and paraganglionomas are the most commonly occurring endocrine tumors in NF1 and are seen in 1-2% of patients [15]. Somatostatinomas are the most frequently occurring gastrointestinal neuroendocrine tumor seen in NF1 and they are most often located in the duodenum and account for 48% of all duodenal somatostatinomas [16]. A few cases of insulinoma in associated with NF1 have also been reported [15]. Duodenal somatostatinomas tend to be located in the periampullary region [17, 18].
Periampullary tumors in NF1 are usually pure somatostatin-staining as compared with the multihormonal variety seen in non-NF1 patients [19]. Mixed endocrine tumors, composed of at least two distinct tumor populations, have rarely been described in the ampulla of Vater [14].
GISTs are the most common GI tumors seen in NF1 [20] but fewer than 5% of cases are symptomatic [21]. The incidence of GIST in patients with neurofibromatosis varies from 4-25% while the rate of neurofibromatosis in patients with GIST is 6% [22, 23]. GISTs in NF1 tend to be multiple. It has been suggested that the pathogenesis of GIST in NF-1 may be different from that of non-NF1 patients. The c-kit and PDGFRA (platelet-derived growth factor receptor alpha) mutation, which is generally seen in non NF1 GISTs is usually absent in NF1 and somatic inactivation of the wild-type NF1 gene has been found in them [24, 25].
Synchronous tumors, in the ampulla of Vater and GIST of the jejunum, have previously been reported [5]. GISTs in combination with ampullary neuroendocrine tumors in NF-1 have been reported rarely [26, 27]. Several reported cases of GISTs in combination with somatostatinoma in patients with NF-1 suggest there may be a common pathway in the development of these diseases [28].
Cordier offered the first description of a gastrointestinal tumor comprising both neuroendocrine and exocrine components in 1924 [29]. Subsequently, these tumors have been subdivided into three types. Collision or composite tumors are those in which the two components are distinct and occur adjacent to each other within the same lesion. Combined tumors are those in which individual cells or glands show the phenotype of one or other of the two subtypes but are admixed with each other. The final type are the amphicrine tumors in which single cells display the phenotype of both components, for example where cells contain both cytoplasmic mucin and neuroendocrine granules [30].
These mixed exocrine-neuroendocrine tumors were defined as mixed adenoneuroendocrine carcinomas (MANECs) by the World Health Organization (WHO) in the 2010 classification of tumors of the digestive tract [31]. By definition, MANECs comprise at least 30% each of exocrine and endocrine components. The nomenclature also implies that both components are capable of metastasing hence the term ‘carcinoma’, however the prospective behaviour of neuroendocrine tumors of the gastrointestinal tract is determined by assessment of a variety of features including site, size, degree of differentiation, Ki-67 index on immunohistochemistry, vascular invasion and whether the tumor is functioning or non-functioning [32, 33].
In the present case, although the tumors were arising in a similar area they appeared histologically quite distinct with the endocrine component localised to the ampulla and the carcinoma component invading through the duodenal wall. This is almost certainly an example of a collision tumor that does not fit the defining criteria of a MANEC as each component has arisen independently and the endocrine component represented less than 30% of the overall tumor. Prognosis is likely to be determined by the more advanced and aggressive adenocarcinoma [31].
The current case highlights the spectrum of associated tumor types which can be seen in association with NF1. Patients with NF1 who present with jaundice and weight loss should be investigated in the usual manner with increased suspicion for duodenal and ampullary tumors.
Received July 23rd, 2014 – Accepted September 23rd, 2014
Key words Gastrointestinal Stromal Tumors; Neuroendocrine Tumors; Pancreatic Neoplasms
Conflict of interest Authors declare to have no conflict of interest
Correspondence
Dileep N Lobo
Division of Gastrointestinal Surgery
E Floor, West Block
Queens Medical Centre
Nottingham NG7 2UH
United Kingdom
Phone: +44-115.823.1149
Fax: +44-115.823.1160
E-mail: dileep.lobo@nottingham.ac.uk
References
1. Riccardi VM. Von Recklinghausen neurofibromatosis. N Engl J Med 1981; 305: 1617-1627. [PMID: 6796886]
2. Korf BR. Malignancy in neurofibromatosis type 1. Oncologist 2000; 5: 477-485. [PMID: 11110599]
3. Davis GB, Berk RN. Intestinal neurofibromas in von Recklinghausen's disease. Am J Gastroenterol 1973; 60: 410-414. [PMID: 4202254]
4. Costi R, Caruana P, Sarli L, Violi V, Roncoroni L, et al. Ampullary adenocarcinoma in neurofibromatosis type 1. Case report and literature review. Mod Pathol 2001; 14: 1169-1174. [PMID: 11706080]
5. Behranwala KA, Spalding D, Wotherspoon A, Fisher C, Thompson JN. Small bowel gastrointestinal stromal tumours and ampullary cancer in Type 1 neurofibromatosis. World J Surg Oncol 2004; 2: 1.[PMID: 14711379]
6. Desigan G, Dunn GD, Halter S. Adenocarcinoma of the esophagus associated with neurofibromatosis. J Tenn Med Assoc 1985; 78: 138-140. [PMID: 3920445]
7. Basu S, Majumdar J, Mitra R, Chowdhury JR. Primary adenocarcinoma of the stomach associated with peripheral neurofibromatosis: report of a case. Surg Today 1997; 27: 57-59. [PMID: 9035301]
8. Wormsley KG, Logan WF, Sorrell VF, Cole GC. Neurofibromatosis with pancreatic duct obstruction and steatorrhoea. Postgrad Med J 1967; 43: 432-435. [PMID: 4963049]
9. Jones TJ, Marshall TL. Neurofibromatosis and small bowel adenocarcinoma: an unrecognised association. Gut 1987; 28: 1173-1176. [PMID: 3119436]
10. Jenkins DH, Gill W. A case of carcinoma of the colon in association with neurofibromatosis. Br J Surg 1972; 59: 322-323. [PMID: 4623189]
11. Ching CK, Greer AJ. Metachronous biliary tract cancers in a patient with von Recklinghausen's disease. Am J Gastroenterol 1993; 88: 1124-1125. [PMID: 8317420]
12. Sprengers DP, Knockaert DC, Van Steenbergen W, Penninckx F. Primary bile duct cancer and von Recklinghausen disease. Ann Intern Med 1987; 106: 772. [PMID: 3105377]
13. Keller RT, Logan GM Jr. Adenocarcinoma of the pancreas associated with neurofibromatosis. Cancer 1977; 39: 1264-1266. [PMID: 410497]
14. Deschamps L, Dokmak S, Guedj N, Ruszniewski P, Sauvanet A, et al. Mixed endocrine somatostatinoma of the ampulla of vater associated with a neurofibromatosis type 1: a case report and review of the literature. JOP 2010; 11: 64-68. [PMID: 20065557]
15. Rogers A, Wang LM, Karavitaki N, Grossman AB. Neurofibromatosis Type 1 and pancreatic islet cell tumours: an association which should be recognized. QJM 2012. [PMID: 23173186]
16. Mao C, Shah A, Hanson DJ, Howard JM. Von Recklinghausen's disease associated with duodenal somatostatinoma: contrast of duodenal versus pancreatic somatostatinomas. J Surg Oncol 1995; 59: 67-73. [PMID: 7745981]
17. Jensen RT, Berna MJ, Bingham DB, Norton JA. Inherited pancreatic endocrine tumor syndromes: advances in molecular pathogenesis, diagnosis, management, and controversies. Cancer 2008, 113: 1807-1843. [PMC: 2574000]
18. Bettini R, Falconi M, Crippa S, Capelli P, Boninsegna L, et al. Ampullary somatostatinomas and jejunal gastrointestinal stromal tumor in a patient with Von Recklinghausen's disease. World J Gastroenterol 2007; 13: 2761-2763. [PMID: 17569151]
19. Relles D, Baek J, Witkiewicz A, Yeo CJ. Periampullary and duodenal neoplasms in neurofibromatosis type 1: two cases and an updated 20-year review of the literature yielding 76 cases. J Gastrointest Surg 2010; 14: 1052-1061. [PMID: 20300877]
20. Hirashima K, Takamori H, Hirota M, Tanaka H, Ichihara A, et al. Multiple gastrointestinal stromal tumors in neurofibromatosis type 1: report of a case. Surg Today 2009; 39: 979-983. [PMID: 19882321]
21. Ozcinar B, Aksakal N, Agcaoglu O, Tukenmez M, Ozemir IA, et al. Multiple gastrointestinal stromal tumors and pheochromocytoma in a patient with von Recklinghausen's disease. Int J Surg Case Rep 2013 4: 216-218. [PMID: 23287063]
22. Miettinen M, Fetsch JF, Sobin LH, Lasota J. Gastrointestinal stromal tumors in patients with neurofibromatosis 1: a clinicopathologic and molecular genetic study of 45 cases. Am J Surg Pathol 2006; 30: 90-96. [PMID: 16330947]
23. Andersson J, Sihto H, Meis-Kindblom JM, Joensuu H, Nupponen N, et al. NF1-associated gastrointestinal stromal tumors have unique clinical, phenotypic, and genotypic characteristics. Am J Surg Pathol 2005; 29: 1170-1176. [PMID: 16096406]
24. Kinoshita K, Hirota S, Isozaki K, Ohashi A, Nishida T, et al. Absence of c-kit gene mutations in gastrointestinal stromal tumours from neurofibromatosis type 1 patients. J Pathol 2004; 202: 80-85. [PMID: 14694524]
25. Maertens O, Prenen H, Debiec-Rychter M, Wozniak A, Sciot R, et al. Molecular pathogenesis of multiple gastrointestinal stromal tumors in NF1 patients. Hum Mol Genet 2006; 15: 1015-1023. [PMID: 16461335]
26. Dominguez-Comesaña E, Tome-Espiñeiro C, Ulla-Rocha JL, Lorenzo-Lorenzo I, Lede-Fernandez A, et al. Coincidence of GIST and pancreatic endocrine neoplasm in neurofibromatosis. Asia Pac J Clin Oncol 2011; 7: 193-196. [PMID: 21884431]
27. Njei B, Sanchez H. Education and imaging. Gastrointestinal: neurofibromatosis type 1, duodenal somatostatinoma and gastrointestinal stromal tumors; a triad worth remembering. J Gastroenterol Hepatol 2014, 29: 663. [PMID: 24646427]
28. Barahona-Garrido J, Aguirre-Gutierrez R, Gutierrez-Manjarrez JI, Tellez-Avila FI, Lopez-Arce G, Fomperoza-Torres A, Criales S, et al. Association of GIST and somatostatinoma in a patient with type-1 neurofibromatosis: is there a common pathway? Am J Gastroenterol 2009; 104: 797-799. [PMID: 19223891]
29. Cordier R. Les cellules argentaffines dans les tumeurs intestinales. Arch Int Med Exp 1924; 1: 59.
30. Lewin K (1987) Carcinoid tumors and the mixed (composite) glandular-endocrine cell carcinomas. Am J Surg Pathol 11 Suppl 1: 71-86.
31. Rindi G, Arnold R, Bosman F, Capella C, Kilmstra D, Kloppel G, Komminoth P, Solcia E: Nomenclature and classification of neuroendocrine neoplasms of the digestive system. In: WHO Classification of Tumours of the Digestive System. edn. Edited by Bosman F, Carneiro F, Hruban R, Thiese N. Lyon, France: IARC Press; 2010: 13-14.
32. La Rosa S1, Marando A, Sessa F, Capella C (2012) Mixed Adenoneuroendocrine Carcinomas (MANECs) of the Gastrointestinal Tract: An Update. Cancers (Basel) 4: 11-30.
33. Stephenson T, Cross S, Chetty R: Dataset for neuroendocrine tumours of the gastrointestinal tract including pancreas (3rd edition). The Royal College of Pathologists; 2012 (viewed 11th July 2014) Available from: http://www.rcpath.org/Resources/RCPath/Migrated%20Resources/Documents/G/G081_DatasetGIEndocrine_Sep12.pdf