CASE REPORT
JOP. J Pancreas (Online) 2014 Nov 28; 15(6):604-608.
“Vascular Lock” Causing Splenic Perfusion Defects During Irreversible Electroporation of a Locally Advanced Pancreatic Tumor
Anna Maria Ierardi1, Natalie Lucchina1, Ejona Duka1, Alessandro Bacuzzi2, Gianlorenzo Dionigi3, Gianpaolo Carrafiello1
Departments of 1Radiology, 2Anaesthesia and Palliative Care and 3Surgical Sciences, University of Insubria. Varese, Italy
ABSTRACT
Context There is little reported experience of irreversible electroporation (IRE) of locally advanced pancreatic tumors (LAP). In literature, few data reported complications. In particular vascular vasoconstriction miming splenic infarcts in humans has never been found. Case report This report describes the onset of asymptomatic multiple little splenic perfusion defects after the treatment of a LAP localized in the body-tail portion of the pancreas with the application of five percutaneous probes for IRE, in a 79-year-old man. Splenic artery was regularly patent but entirely trapped in the tumor. Conclusion To the best of our knowledge, until now, no experience concerning percutaneous IRE of pancreatic cancer described that phenomenon. The cause could not be established with certainty and “vascular lock" may be a valid hypothesis. Additional studies are necessary to evaluate its frequency and its exact pathophysiological cause in humans.
INTRODUCTION
At the time of diagnosis, 30–35% of patients with pancreatic cancer presented locally advanced tumors [1]. Locally advanced pancreatic cancer (LAP) was defined as the 7th edition of the American Joint Committee on Cancer (AJCC) staging system for pancreatic cancer, described as arterial encasement of either the celiac axis or superior mesenteric artery or both [2, 3]. The primary goals of treatment for LAP are palliation of intractable pain and improved overall survival. Irreversible electroporation (IRE) is a non thermal tissue ablation technology. IRE uses very short pulses of high-voltage, low-energy direct current to induce cellular death by creating cellular membrane disruption [4]. When IRE is performed in vivo, temperatures remain less than 50°C, so IRE does not suffer from the “heat-sink” effect [5]. On the basis of these technical characteristics, IRE has a theoretical advantage in cases in which radiofrequency ablation, cryoablation, and microwave ablation cannot be safely used.
Only a few cases regarding the use of IRE in pancreatic cancer have been published and there isn't much data about IRE complications [6].
Transient ventricular arrhythmia, supraventricular tachycardia and atrial fibrillation have been described [7]. Moreover biliary, ileus and pancreatic leak, portal vein thrombosis, deep venous thrombosis, bleeding, transient pancreatitis, spontaneous pneumothorax during anaesthesia were registered [1, 8, 9].
We report a case of a successful IRE of a pancreatic cancer with complete remission of pain after the procedure and the finding of transient asymptomatic multiple little spleen perfusion defects. To the best of our knowledge, that finding after percutaneous IRE has never been described. May it be the first in vivo detection of the “vascular lock”?
CASE REPORT
A seventy nine-year-old man was presented to our First aid Department with a 3-months history of abdominal pain, weight loss (10 kg), anorexia and asthenia. He was in therapy for hypertension, type 2 diabetes mellitus and rheumatoid arthritis. Findings on physical examination on admission were as follows: blood pressure: 120/70 mmHg, 63 bpm, Glasgow Coma Score (GCS) 15 and O2Sat 100%
Laboratory studies were normal, except for C-reactive protein (CRP) (111 mg/l). He complained of epigastric pain radiating to the back which had worsened in the last few days. Because of the suspicion of aortic dissection, a contrast-enhanced abdominal computed tomography (CT) was performed. It showed a 5-cm round lesion, with a peripheral ring of enhancing tissue, in the body-tail of the pancreas. The lesion was not cleavable from the spleno-mesenteric-portal confluence and from the celiac trunk and its tributaries; in particular the splenic artery ran along the whole extension of the lesion, remaining however regularly patent. The large size and location of the mass resulted in near-obstruction of the pancreatic duct. CT-scan revealed the absence of metastatic disease.
The patient was hospitalized and was judged unsuitable for surgery on the basis of the described characteristics, in particular the suspicion of vascular involvement [2, 3].
During the hospital stay, the patient was seen by the pain therapists who set a therapy for pain control with morphine sulfate 10 mg subcutaneous as needed, ketorolac (Toradol® 30 mg, DOC Generici S.r.l., Milan, Italy) and pregabalin (Lyrica® 75 mg, Pfizer Italia S.r.l., Rome, Italy) for twice a day. Using the NRS scale for pain [10], the patient was assessed for a value of 8/10.
Despite this therapy and the increase of dosages, the pain continued to be disabling. The patient came to our attention first to perform a percutaneous biopsy, that confirmed the malign nature of the lesion (ductal adenocarcinoma) and after to perform a diagnostic lock of the celiac plexus with a local anesthetic (lidocaine chlorhydrate 1%, ZETA Farmaceutici S.p.A., Vicenza, Italy) under ultrasound (US) guidance. Two days later, he underwent an ethanol injection using US guidance. After the failure of these attempts, we proposed percutaneous IRE.
Our Internal Review Board approved the procedure. The patient had normal coagulation parameters. Informed written consent was obtained. Percutaneous ablation was executed with continuous anaesthesiologic assistance. Standard monitoring was performed: ABP (non invasive arterial blood pressure), ECG in two derivations (II and V), SpO2 (peripheral oxygen saturation, EtCO2 (end-tidal CO2), esophageal temperature, hourly diuresis. Placement multifunction electrode pads (EURO DEFI PADS®, Fiab, Florence, Italy) for any external defibrillation connected to multifunction monitor defibrillator/cardiac pacing Zoll M series® (Zoll Medical Ltd., Runcorn, Cheshire, England). General anesthesia was performed with different combination of the following drugs: propofol (Propofol Kabi® 10 mg/mL, Fresenius Kabi Italia S.r.l., Isola della Scala, VR, Italy), 2 mg/kg i.v., fentanyl (Fentanest®, Pfizer Italia S.r.l., Rome, Italy),1,5 µg/kg i.v., and rocuronium bromide (Esmeron®, MSD, Organon, Holland) 0,5 mg/kg, mixture O2/N2O/2% sevoflurane (Sevoflurane Baxter®, Baxter Italia S.p.A., Rome, Italy). At the end of the procedure, analgesia was performed with paracetamol (Paracetamolo Kabi®, Fresenius Kabi Italy S.r.l., Isola della Scala, VR, Italy) 1 g i.v..
During the procedure no arrhythmias were registered. Percutaneous ablation was performed in two sessions. Five 15 cm monopolar probes (Nanoknife®, AngioDynamics, Latham, New York, NY, USA) were placed within the tumor under US guidance in a pentagon configuration, with a distance of 1.8 cm from each other. CT imaging without contrast medium was performed to evaluate needle positioning and check correct inter-probe distance (Figure 1). All probes had 1 cm of electrode exposure. Six pairs of needles were chosen with maximum and minimum inter-probe distance of 2.9 and 1.3 cm, respectively. All pulses were administered in the absolute refractory period with use of electrocardiographic synchronization to avoid triggering ventricular arrhythmia. IRE was delivered by 90 pulses for each pair of needles. A test-cycle of ten pulses was delivered to verify the correct settings of parameters (Volts, pulse length, probes’ distances) and to assess the baseline current absorbed (Amperes). Three pairs of needles (2-5, 4-1, 5-1) showed high values of Amps after test cycle so the Volt/cm was reduced of 10% to avoid reaching the limit of 50 Amps, the limit for thermal-like necrosis. After the delivery of residual 80 pulses for each pair of needles, the current absorbed showed a correct increase in value as a result of increased local permeability due to massive cytoplasm emission from destroyed cells’ membrane. An overlapping ablation was performed after pullback needles of 1cm with use of a similar protocol and similar results.

|
Figure 1. CT imaging without contrast medium was performed to evaluate needle positioning and check correct inter-probe distance. |
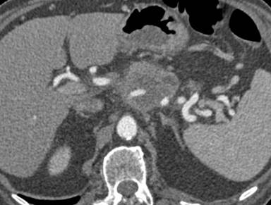
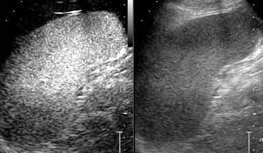
After removal of all needles, a CT scan with iv contrast medium administration was performed to evaluate the absence of vascular complications given the relative proximity of the celiac trunk; it revealed a vasoconstriction of splenic artery associated with the presence of multiple small spleen defects of perfusion (Figure 2ab), that were not present at CT scan performed before treatment (Figure 3). The day after the procedure the patient underwent a contrast enhanced ultrasound (CEUS) that did not revealed ischemic areas in the splenic parenchyma and showed normal patency of splenic artery (Figure 4). During the hospital stay, complete blood counts and electrolyte levels were monitored and liver function tests were performed twice a week.

|
Figure 2. CT scan showed vasoconstriction of splenic artery (a. white arrow) associated with the presence of multiple small spleen defects of perfusion (a., b.). |

|
Figure 3. CT scan revealed splenic artery regularly patent but entirely trapped in the tumor. |

|
Figure 4. CEUS not revealed ischemic areas in the splenic parenchyma. |
The patient was discharged after 4 days and he reported a complete regression of pain, with a score of 0/10 [10]. One month after IRE procedure, a CT scan was performed and it demonstrated an absence of enhancement within the expected ablation zone. Splenic artery remained patent and the spleen was homogenous, in particular no vascular defects or infarcts were revealed in its parenchyma (Figure 5abc).

|
Figure 5. Coronal CT images compared splenic parenchyma before (a.), soon after (b.) and 1 month after (c.) the procedure. |
DISCUSSION
Advanced pancreatic tumours are commonly associated with severe, poorly controlled pain [4, 6, 11]. Upper abdomen pain is mediated by the afferent nociceptive fibers that travel with the sympathetic fibers of the splanchnic nerves arising from T5-T12 and the parasympathetic efferent fibers that together form the celiac plexus. The ganglia are situated in the retroperitoneal space adjacent to the L1 vertebral body [12].
Frequently, the major goal in the management of these patients is palliation. When less invasive analgesic modalities provide inadequate relief, interventional techniques often play a complementary role. These strategies typically target the neural structures that are presumed to mediate the experience of pain [12, 13]. The use of ablation techniques, in particular IRE, for the palliative treatment of pancreatic cancer, may be useful in patients that develop uncontrolled pain not responsive to any conventional therapy and for cytoreduction [9].
Electroporation (EP), also known as electropermeabilization, is a term used to describe the permeabilization of the cell membrane as a consequence of the application of certain short and intense electric fields across the cell membrane. The permeabilization can be temporary (reversible electroporation) or permanent (IRE) as a function of the electrical field magnitude and duration, and the number of pulses [14]. IRE involves the use of electrodes to deliver high-voltage direct current (as high as 3 kV) to the tumor, creating multiple holes in the cell membrane and irreversibly damaging the cell’s homeostatic mechanism, resulting in apoptotic cell death [15-17]. The preservation of vascular and ductal structures within the treatment field of IRE is hypothesized to result from the supporting connective tissue matrix, which is unaffected by this modality.
However, only a few cases regarding the use of IRE in pancreatic cancer have been published and there isn't much data about IRE complications [4, 6, 18]. Complications related to IRE were registered in three studies [1, 8, 9] and were the following: biliary and ileus leak, pancreatic leak, portal vein thrombosis [1], deep venous thrombosis, bleeding, transient pancreatitis, spontaneous pneumothorax during anesthesia, wound infection, renal failure and ascites. To the best of our knowledge, multiple asymptomatic little spleen infarcts has never been described as a complication of percutaneous IRE of pancreatic tumors.
Recently, the effects of EP on normal skin blood vessels were thoroughly investigated and it was demonstrated that the application of electric pulses with different parameters leads to a rapid increase in skin blood vessel permeability for different sizes of molecules. Additionally, the application of electric pulses induced an immediate constriction of blood vessels, which was transient but still produced a reduction in the perfusion of the exposed vessels, the so-called “vascular lock” that lasted a maximum of 10 min. In recent studies, the onset of blood flow abrogation, called “vascular lock”, was observed immediately after the application of electric pulses, and involved the entire tumor vasculature [19-22].
Bellard E et al. [23] showed the results of an in vivo direct observation of the early events in blood vessels after EP in mice. Delivery of validated EP parameters used in clinical applications to normal tissue (skin) led to a rapid increase in the permeability of blood vessels for different sizes of molecules that gradually returned to basal (control) levels within 1 h post-treatment. Moreover, EP induced an immediate constriction of blood vessels that was transient and returned to control levels within 8 min [23].
The increased vascular permeability is due to the structural changes in arterioles and venules [22], in particular these changes involve cytoskeleton and cell junctions concomitant with a rapid rise in endothelial monolayer permeability. Nevertheless, the full restoration of blood vessel permeability was previously observed in mice, confirming the absence of irreversible endothelial cells damage [20, 22, 23].
Moreover, the “vascular lock” effect may be attributed to the sympathetically mediated vasoconstriction of arterioles due to the effect of EP on the smooth muscle cells and interstitial edema, resulting from the leakage of proteins from the permeabilized cells in combination with reduced intravascular pressure because of the permeabilization of blood vessels wall [20, 22]. Markelc B et al. [19] assessed that the tumor-supplying arterioles respond to the application of electric pulses in the same way as the normal vessels, with rapid vasoconstriction and increased permeability. To the best of our knowledge, our case is the first report of direct observation of EP-induced vasoconstriction of a vessel entirely contained in the tumour. The phenomenon seems to be transitory as the study performed on mice vessels reported. CEUS performed the day after the procedure did not revealed ischemic damages of the spleen, confirmed by the CT scan performed one month after.
However, more numerous clinical evidences are needed to strengthen our findings.
Received July 26th, 2014 – Accepted October 25th, 2014
Key words C-Reactive Protein; Pancreas; Pancreatic Neoplasms
Abbreviations ABP: arterial blood pressure; AJCC: American Joint Committee on Cancer; CEUS: contrast enhanced ultrasound; CRP: c–reactive protein; CT: Computer tomography; EtCO2: end-tidal CO2; GCS: Glasgow Coma Score; IRE: irreversible electroporation; LAP: locally advanced pancreatic tumor; SpO2: peripheral oxygen saturation; US: ultrasound
Conflict of interest Authors declare to have no conflict of interest
Correspondence
Gianpaolo Carrafiello
Interventional Radiology Unit
Department of Radiology
University of Insubria
Viale Borri, 57
21100 Varese
Italy
Phone: +1-513.418.1147
E-mail: gcarraf@gmail.com
References
1. Martin RC 2nd, McFarland K, Ellis S, Velanovich V. Irreversible electroporation in locally advanced pancreatic cancer: potential improved overall survival. Ann Surg Oncol 2013; 20: S443-449. [PMID: 23128941]
2. Callery MP, Chang KJ, Fishman EK, Talamonti MS, William Traverso L, Linehan DC. Pretreatment assessment of resectable and borderline resectable pancreatic cancer: expert consensus statement. Ann Surg Oncol 2009; 16: 1727–1733. [PMID: 19396496]
3. Varadhachary GR, Tamm EP, Abbruzzese JL, Xiong HQ, Crane CH, Wang H, Lee JE, et al. Borderline resectable pancreatic cancer: definitions, management, and role of preoperative therapy. Ann Surg Oncol 2006; 13: 1035–1046. [PMID: 16865597]
4. Bagla S, Papadouris D. Percutaneous irreversible electroporation of surgically unresectable pancreatic cancer: a case report. J Vasc Interv Radiol 2012; 23: 142-145. [PMID: 22221480]
5. Lee EW, Loh CT, Kee ST. Imaging guided percutaneous irreversible electroporation: ultrasound and immunohistological correlation. Technol Cancer Res Treat 2007; 6: 287–294. [PMID: 17668935]
6. Ierardi AM, Lucchina N, Petrillo M, Floridi C, Piacentino F, Bacuzzi A, Fonio P, et al. Systematic review of minimally invasive ablation treatment for locally advanced pancreatic cancer. Radiol Med 2014. [PMID: 24981482]
7. Thomson KR, Cheung W, Ellis SJ, Federman D, Kavnoudias H, Loader-Oliver D, Roberts S, et al. Investigation of the safety of irreversible electroporation in humans. J Vasc Interv Radiol 2011; 22: 611–621. [PMID: 21439847]
8. Martin RC 2nd, McFarland K, Ellis S, Velanovich V. Irreversible electroporation therapy in the management of locally advanced pancreatic adenocarcinoma. J Am Coll Surg. 2012; 215: 361-369. [PMID: 22726894]
9. Narayanan G, Hosein PJ, Arora G, Barbery KJ, Froud T, Livingstone AS, Franceschi D, et al. Percutaneous irreversible electroporation for downstaging and control of unresectable pancreatic adenocarcinoma. Vasc Interv Radiol 2012; 23: 1613-1621. [PMID: 23177107]
10. Hawker GA, Mian S, Kendzerska T, French M. Measures of adult pain. Arthritis care and Res 2011; 63: S240-S252. [PMID: 22588748]
11. Grahm AL, Andren-Sandberg A. Prospective evaluation of pain in exocrine pancreatic cancer. Digestion 1997; 58: 542–549. [PMID: 9438600]
12. Markman JD, Philip A. Interventional Approaches to Pain Management. Med Clin North Am 2007; 91: 271-286. [PMID: 17321286]
13. Yan BM, Myers RP. Neurolytic celiac plexus block for pain control in unresectable pancreatic cancer. Am J Gastroenterol 2007; 102: 430-438. [PMID: 17100960]
14. Orlowski S, Mir LM. Cell electropermeabilization: a new tool for biochemical and pharmacological studies. Biochim Biophys Acta 1993; 1154: 51–63. [PMID: 8507646]
15. Maor E, Ivorra A, Leor J, Rubinsky B. The effect of irreversible electroporation on blood vessels. Technol Cancer Res Treat 2007; 6: 307–312. [PMID: 17668938]
16. Au JT, Wong J, Mittra A, Carpenter S, Haddad D, Carson J, Jayaraman S, et al. Irreversible electroporation is a surgical ablation technique that enhances gene transfer. Surgery 2011; 150: 474–479. 19. [PMID: 21878233]
17. Jose´ A, Sobrevals L, Ivorra A, Fillat C. Irreversible electroporation shows efficacy against pancreatic carcinoma without systemic toxicity in mouse models. Cancer Lett 2012; 317: 16–23. [PMID: 22079741]
18. Månsson C, Bergenfeldt M, Brahmstaedt R, Karlson BM, Nygren P, Nilsson A. Safety and preliminary efficacy of ultrasound-guided percutaneous irreversible electroporation for treatment of localized pancreatic cancer. Anticancer Res 2014; 34: 289-293. [PMID: 24403476]
19. Markelc B, Sersa G, Cemazar M. Differential Mechanisms Associated with Vascular Disrupting Action of Electrochemotherapy: Intravital Microscopy on the Level of Single Normal and Tumor Blood Vessels. PLoS ONE 2013; 8: e59557.
20. Bellard E, Markelc B, Pelofy S, Le Guerroué F, Sersa G, Teissié J, Cemazar M, et al. Intravital microscopy at the single vessel level brings new insights of vascular modification mechanisms induced by electropermeabilization. J Control Release 2012; 163: 396–403. [PMID: 23017380]
21. Gehl J, Skovsgaard T, Mir LM. Vascular reactions to in vivo electroporation: characterization and consequences for drug and gene delivery. Biochim Biophys Acta 2002; 1569: 51–58. [PMID: 11853957]
22. Markelc B, Bellard E, Sersa G, Pelofy S, Teissie J, Coer A, Golzio M, et al. In vivo molecular imaging and histological analysis of changes induced by electric pulses used for plasmid DNA electrotransfer to the skin: a study in a dorsal window chamber in mice. J Membr Biol 2012; 245: 545–554. [PMID: 22644389]
23. Al-Sakere B, André F, Bernat C, Connault E, Opolon P, Davalos RV, Rubinsky B, et al. Tumor ablation with irreversible electroporation. PLoS One 2007; 2: e1135. [PMID: 17989772]