CASE REPORT
JOP. J Pancreas (Online) 2014 Nov 28; 15(6):615-617.
Ciliated Foregut Cyst of the Pancreas: Another Differential in the Diagnosis of Cystic Pancreatic Lesions
Soumil Vyas1, Tu Vinh Luong3, Dominic Yu2, Sakhanat Rahman1
Divisions of 1HPB and Liver Transplant Surgery, 2Histopathology, 3Diagnostic and Interventional Radiology; Royal Free Hospital and Medical School. London, UK
ABSTRACT
Context With the more frequent use of cross sectional imaging, the detection of cystic pancreatic incidentalomas has become a relatively common entity. The commonest cystic incidentalomas are neoplastic. Pseudocysts are the most single common pathological entity. Foregut cystic lesions as a pathological entity are rare but mostly observed in the mediastinum. Ciliated foregut cysts of the pancreas are very rare and an extremely uncommon cause of a cystic lesion within the pancreas. Case report We present herewith an uncommon case of a large cystic lesion, confirmed as a ciliated foregut cyst on final histology arising from the body and tail of the pancreas. The lesion was very effectively treated with a laparoscopic distal pancreatectomy and splenectomy. Conclusion The rarity of the lesion makes the case worth reporting.
INTRODUCTION
With the more frequent use of cross sectional imaging of the abdomen – principally computerised tomography (CT scan), there has been an increase in the incidence of diagnosis of solid and cystic visceral incidentalomas [1]. This has also lead to an increased detection of “cystic incidentalomas” within the pancreas [1]. The incidence of such cystic pancreatic incidentalomas in any series of patients undergoing cross sectional imaging for abdominal symptoms ranges between 0.2-20% [1-4]. About 70-80% of cystic lesions are neoplastic [1, 5]. The pseudocyst remains the most common singly identified pancreatic cystic lesion [1, 5]. Foregut cystic lesions have been described as true cysts (lined by a true epithelium), congenital in origin, commonly detected in the mediastinum but a very rare finding in the pancreas [6]. We describe herewith an a very uncommon finding of a middle aged female who underwent a laparoscopic distal pancreatectomy for a cystic incidentaloma which was diagnosed as a ciliated foregut cyst on final histology.
CASE REPORT
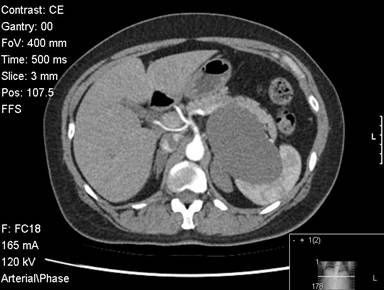
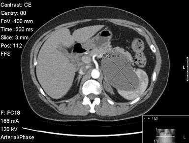
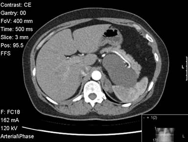
A fifty-two-year-old female was evaluated for abdominal pain. She had a vague history of upper and left sided abdominal pain for 6 months. An ultrasound showed a cystic lesion in the left upper abdomen. A CT scan subsequently confirmed the presence of a large 10 cm cystic lesion in very close proximity to the spleen and the pancreas. The lesion reached close to the neck of the pancreas. The lesion involved the mid-body / tail of the pancreas, was abutting against the spleen (Figures 1 and 2). There was close proximity to the splenic vein, although the vein was patent. The splenic artery was close but seemed uninvolved (Figure 3). The cyst wall was uniform. There were no internal septations or any other features to suggest an intracystic solid component or bleeding. There were no calcifications with the cyst. The rest of the pancreas appeared normal with no evidence of pancreatitis. There were no gall stones or any other biliary abnormality. Clinicoradiologically it was felt to be a large cyst possibly a splenic cyst. However given the fact that she was symptomatic, we decided to proceed with a laparoscopic resection. All her blood tests including tumour marker profile (CA 19-9 and CEA) were normal. She underwent a laparoscopic distal pancreatectomy with splenectomy. At laparoscopy we discovered a large cystic lesion occupying the lesser sac and abutting against the spleen. The pancreas could not be separated off the cyst. We completely mobilised the stomach off the cyst and the pancreas, to completely expose the pancreas with the cyst in the lesser sac. We completed a distal pancreatectomy with splenectomy laparoscopically, with complete enbloc excision of the cyst (Figure 4). Post-operative recovery was uneventful and the patient was discharged 4 days following surgery. Gross pathology showed a 90x50x60 mm cystic lesion, attached to and arising from the inferior and posterior aspect of the pancreas. On pathology the rest of the pancreas appeared normal and the splenic capsule was not breached. The histology of the cyst showed the presence of pseudo stratified ciliated columnar epithelium , overlying some connective tissue (Figure 5; H&E, magnification x10) .Similar features were confirmed on the high powered images of the cyst wall as well (H&E, magnification x20). Based on these characteristic and rather unusual histological features, the diagnosis of a ciliated foregut cyst of the pancreas was established.

|
Figure 1. CT scan image showing the cyst within the body/tail of the pancreas. |

|
Figure 2. CT scan image showing the cyst within the body/tail of the pancreas. |

|
Figure 3. Relation of the cyst to the splenic artery. |

|
Figure 4. Gross appearance of the distal pancreatectomy/splenectomy specimen. |

|
Figure 5. Low powered image of the cyst showing a thin layer of epithelium (Arrow) covering the loose sub epithelial connective tissue (arrow head) and Smooth muscle layer (star). (H&E, magnification x8/10). |
DISCUSSION
Foregut cystic malformations are most commonly detected in the mediastinum [6]. Ciliated foregut cysts are defined as cysts having a ciliated epithelium and no other defining features [6, 7]. Cysts arising from the foregut, have been differently classified according to their organ of origin and their lining epithelium. [6, 8]. The finding of a hepatobiliary and/or pancreatic ciliated foregut cyst is a very rare finding and worthy of reporting [6]. This kind of a ciliated foregut cyst of the pancreas should be considered as a congenital cyst rather than a developmental entity [7]. As proposed in the American College of Gastroenterology (ACG) practice guidelines, we investigated our patient in keeping with the standard approach for a 10 cm symptomatic pancreatic cyst [9]. Our patient presented with abdominal pain of 6 months duration. She did not have any history of pancreatitis. There were no gall stones on imaging. There were no features of pancreatitis on her imaging as well. The imaging characteristics of the cyst were not suggestive of a pseudocyst and were reasonably convincing for a cystic neoplasm, most likely a mucinous cystic neoplasm (MCN) given the location and the demographic profile of the patient. Andersson et al. also reported on a similar case, wherein a pre-operative diagnosis of a MCN was considered most likely [10]. Endoscopic ultrasound (EUS) with fluid aspiration for cytology, mucin, amylase and tumour markers could have been done in our case as well. However given a large symptomatic cystic lesion, there was a strong indication for surgery. Hence EUS was deemed unnecessary as it would not have changed our decision to perform a distal pancreatectomy. Woon et al. in a similar case [7], performed a EUS with cytology on a pancreatic cyst. The initial cytopathological diagnosis was most likely suggestive of a mucinous neoplasm of the pancreas.
The diagnosis of a ciliated foregut cyst of the pancreas therefore remains a pathological diagnosis, obtained only upon a definitive histological evaluation of the resected specimen. Woon et al., in a review of cytospin smears in their case, identified detached ciliary tufts (DCT), within cohesive clusters of cuboidal to columnar cells [7]. There was no mucin in the cytoplasm of these cells [7]. They concluded that the presence of DCTs in the cyst fluid is conclusive for the diagnosis of a ciliated foregut cyst [7]. This is in keeping with the finding of DCTs within the aspirates of foregut cysts within the mediastinum, where they are more common and wherein most of the experience in cytological evaluation of cyst fluid comes from [11]. A total of 14 cases of ciliated foregut cysts of the pancreas have been reported in English medical literature thus far [6, 7, 11]. In our patient, the presence of pseudo-stratified columnar epithelium along the cyst wall along overlying a layer of loose connective tissue was suggestive of this diagnosis. The cyst was attached to and appeared to arise from the posterior and inferior wall of the pancreas, which was in keeping with its pancreatic origin. Woon et al. summarised these cases in their publication [7]. However they mentioned that upon review of the proposed classification mechanisms, only 2 cases could be truly classified as ciliated foregut cysts, which makes this entity even rarer [7]. These are considered benign lesions [7]. The most common radiological differential diagnosis would be a mucinous cyst of the pancreas. However, we feel that any patient with a symptomatic pancreatic cyst merits treatment and hence an appropriate resection should be offered wherever necessary. Where the possibility of a pancreatic pseudocyst as a differential exists, in keeping with the guidelines, an EUS with fluid aspiration and cytologic analysis should be carried out. We however feel, given the rarity of the condition, although theoretically it may be possible to establish a diagnosis of ciliated foregut cyst of the pancreas based on the presence of DCTs, in practice this may not be possible. Hence the diagnosis is purely at final histopathology and standard algorithms of pancreatic cyst management should be followed when evaluating such patients.
CONCLUSION
Ciliated foregut cyst of the pancreas is a very rare cystic lesion of the pancreas. This benign condition would virtually always be diagnosed at final histology evaluation of the resected pancreatic specimen. Patients with pancreatic cysts should be managed based on established protocols and guidelines, and offered resection where indicated. This pathological entity is more of an accidental diagnosis rather than an expected one.
Received July 31st, 2014 - Accepted October 29th, 2014
Keywords Pancreatectomy; Pancreatic Cyst; Pancreatic Neoplasms
Abbreviations CT: computerised tomography; EUS: endoscopic ultrasound
Conflict of interest The authors declare that they have no conflict of interest
Correspondence
Soumil Vyas
Division of HPB and Liver Transplant Surgery
Royal Free Hospital
Pond Street
London, NW3 2QG
United Kingdom
Phone: +44-(0)207.794.0500
E-mail: soumil_v@yahoo.com
References
1. Vyas S, Markar S, Ezzat TM, Ajit A. Cystic lesions of the pancreas: current trends in approach and management. Postgrad Med J. 2011; 87: 207-14. [PMID: 21186195]
2. Planner AC, Anderson EM, Slater A, Phillips-Hughes J, Bungay HK, Betts M. An evidence-based review for the management of cystic pancreatic lesions. Clin Radiol. 2007; 62: 930-7. 2007. [PMID: 17765457]
3. Zhang XM, Mitchell DG, Dohke M, Holland GA, Parker L. Pancreatic cysts: depiction on single-shot fast spin-echo MR images. Radiology. 2002; 223: 547-53. [PMID: 11997566]
4. Campbell F, Azadeh B. Cystic neoplasms of the exocrine pancreas. Histopathology. 2008; 52: 539-51. [PMID: 17903202]
5. Adsay NV. Cystic neoplasia of the pancreas: pathology and biology. J Gastrointest Surg. 2008; 12: 401-4. [PMID: 17957438]
6. Gómez Mateo Mdel C, Muñoz Forner E, Sabater Ortí L, Ferrández Izquierdo A. Foregut cystic malformations in the pancreas. Are definitions clearly established? JOP. 2011; 12: 420-4. [PMID: 21737908]
7. Woon CS, Pambuccian SE, Lai R, Jessurun J, Gulbahce HE. Ciliated foregut cyst of pancreas: cytologic findings on endoscopic ultrasound-guided fine-needle aspiration. Diagn Cytopathol. 2007; 35: 433-8. [PMID: 17580355]
8. Sharma S, Nezakatgoo N, Sreenivasan P, Vanatta J, Jabbour N. Foregut cystic developmental malformation: new taxonomy and classification--unifying embryopathological concepts. Indian J Pathol Microbiol. 2009; 52: 461-72. [PMID: 19805948]
9. Khalid A, Brugge W. ACG practice guidelines for the diagnosis and management of neoplastic pancreatic cysts. Am J Gastroenterol. 2007; 102: 2339-49. [PMID: 17764489]
10. Andersson R, Lindell G, Cwikiel W, Dawiskiba S. Retroperitoneal bronchogenic cyst as a differential diagnosis of pancreatic mucinous cystic tumor. Dig Surg. 2003; 20: 55-7. [PMID: 12637807]
11. Dua KS, Vijayapal AS, Kengis J, Shidham VB. Ciliated foregut cyst of the pancreas: preoperative diagnosis using endoscopic ultrasound guided fine needle aspiration cytology--a case report with a review of the literature. Cytojournal. 2009; 6: 22. [PMID: 19876385]; [PMC: 2762695]