CASE REPORT
JOP. J Pancreas (Online) 2014 Nov 28; 15(6):622-625.
Non-Functioning Pancreatic Neuroendocrine Tumor Accompanied with Multiple Liver Metastases: Remorseful Case and Literature Review
Tomohide Hori1, Kyoichi Takaori1, Michiya Kawaguchi1, Kohei Ogawa1, Toshihiko Masui1, Takamichi Ishii1, Hiromitsu Nagata1, Masato Narita1, Yuzo Kodama2, Norimitsu Uza2, Shinji Uemoto1
Departments of 1Hepato-Pancreato-Biliary Surgery and 2Gastroenterology, Kyoto University Hospital. Kyoto, Japan
ABSTRACT
Context Pancreatic neuroendocrine tumor (P-NET) is a rare and slow-growing tumor. Unfortunately, there is no clear consensus on the role and timing of surgery for primary tumor and liver metastases, although current reports refer to liver surgery including LT for unresectable liver metastases. Case report A thirty-nine-year-old man was diagnosed with nonfunctioning pancreatic neuroendocrine tumor (P-NET) in the pancreatic head, with multiple liver metastases. The tumor was 2.5 cm in diameter and he was asymptomatic. Small but multiple metastases were detected in the liver, and no extrahepatic metastases were observed. We initially intended to control the liver metastases before resection of the primary tumor. To begin with, transarterial chemoembolization (TACE) and transcatheter arterial infusion (TAI) were repeated. Thereafter, systemic chemotherapy and biotherapy were introduced according to follow-up assessments. Unfortunately, imaging assessment at about 10 months later revealed that liver metastases were partially enlarged, although some were successfully treated. Therefore, these therapies were switched to other regimens, and TACE/TAI, systemic chemotherapies and biotherapies were repeated. Although liver metastases seemed to be stable for a while, the primary tumor was enlarged even after therapy. At 3.5 years after initial diagnosis, the primary tumor became symptomatic (pain and jaundice). Liver metastases enlarged and massive swelling of the para-aortic lymph nodes was observed. Thereafter, palliative therapy was the main course of action. He died at 4.3 years after initial diagnosis. Conclusion Our young patient could have been a candidate for initial surgery for primary tumor and might have had a chance of subsequent liver transplantation for unresectable metastases. Surgeons still face questions in deciding the best surgical scenario in patients with P-NET with liver metastases.
INTRODUCTION
Pancreatic neuroendocrine tumor (P-NET) is a rare and slow-growing tumor [1]. The American Joint Committee on Cancer stated a new TNM classification in 2009, based on tumor size, including direct invasion and lymphoid and distant metastases [2]. In 2010, the World Health Organization categorized gastroenteropancreatic neuroendocrine tumor (GEP-NET) into three categories (G1, G2 and G3) based on histopathological differentiation, proliferation index (Ki-67), neuroendocrine biomarkers (such as chromogranin A and synaptophysin), hormonal behavior, tumor size, direct invasion, and distant metastasis [3]. These classifications are useful for predicting the prognosis and postoperative recurrence [1]. Curative resection is ideal for this slow-growing tumor [1, 4-6], and postoperative surveillance of at least 10 years is required, because long-term recurrence can occur after surgery [1].
Curative surgery is often difficult, because over 80% of P-NET patients already have unresectable multiple liver metastases and extrahepatic metastasis [1]. Some current opinions suggest an expanded surgical indication for P-NET patients with liver metastases, because survival is improved [1, 6-9]. Aggressive surgery for liver metastases or cytoreductive surgery for over 90% of the visible tumors are important to improve survival [6, 9]. Cytoreductive surgery for liver metastases is indicated to reduce hormone levels and improve clinical symptoms and prognosis [1, 6, 9]. Liver transplantation (LT) was originally conceived as an ideal therapy for unresectable liver metastases [1, 10].
Unfortunately, there is no clear consensus on the role and timing of surgery for primary tumor and liver metastases, although current reports refer to liver surgery including LT for unresectable liver metastases. Here, we reviewed previous studies and present a case of P-NET.
CASE REPORT
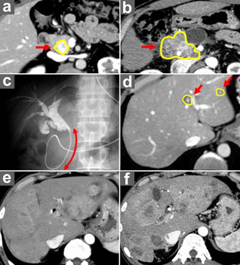
A thirty-nine-year-old man was diagnosed with nonfunctioning P-NET in the pancreatic head, with multiple liver metastases (Figure 1ad). Imaging revealed no extrahepatic metastases, and endoscopic fine-needle aspiration and liver needle biopsy showed well-differentiated GEP-NET G1. The tumor was 2.5 cm in diameter (Figure 1a) and nonfunctioning. Small but multiple metastases were detected in the liver (Figure 1d). He was asymptomatic at that time. We initially intended to control the liver metastases before resection of the primary tumor, because we considered liver metastases as the most important factor in the prognosis. Initially, transarterial chemoembolization (TACE) and transcatheter arterial infusion (TAI) were repeated. Thereafter, systemic chemotherapy and biotherapy were introduced according to follow-up assessments. Unfortunately, imaging assessment at about 10 months later revealed that the liver metastases were partially enlarged, although some were successfully treated. Therefore, these therapies were switched to other regimens, and TACE/TAI, systemic chemotherapies and biotherapies were repeated. Although liver metastases temporarily seemed to be stable (Figure 1e), the primary tumor was extended, even after therapy (Figure 1b). At 3.5 years after initial diagnosis, the primary tumor caused symptoms of pain and obstructive jaundice (Figure 1c). Selective inhibitor of mammalian target of rapamycin (mTOR) was given, and obstructive jaundice was treated by metallic-stent placement. Liver metastases were enlarged (Figure 1f), and there was massive swelling of the para-aortic lymph nodes. Thereafter, palliative therapy was the principal course of action. He finally died at 4.3 years after initial diagnosis.

DISCUSSION
Resection of Primary Tumor
Approximately half of P-NETs are nonfunctioning [11], and tumors less than 10–30 mm are not indications for surgery [1, 6]. Functional P-NET should be removed even if the tumor is <10 mm [1, 6], because functional P-NET has malignant potential despite a small tumor size [1]. Some factors, such as young age, hormonal function, and surgical resection, are important for overall survival [6, 12]. Seventy to ninety percent of enlarging P-NETs have malignant potential [1], and the aim of surgery for primary nonfunctioning tumor is to avoid malignant change and subsequent distant metastasis [6]. Although endoscopic ultrasonography with fine-needle aspiration biopsy is useful for determining the malignant potential and predicting prognosis [13-15], there are no definitive criteria regarding whether P-NET should be removed or observed based on tumor size [1, 6]. Curative resection is considered as standard therapy in well-differentiated GEP-NET G1/G2 with a Ki-67 index of <10% [1, 4]. Cytoreductive surgery for primary tumor is indicated to reduce hormone levels and improve clinical symptoms [1, 6, 16], although the effects on prognosis are still controversial [1, 5]. Overall, surgery for primary tumor should be curative resection [1, 4-6], although palliative therapy may be indicated if there is a possibility of improvement of clinical symptoms, such as endocrine symptoms, oppression on surrounding organs by primary tumor, jaundice and oral passage disturbance [6, 17].
Resection of Liver Metastases
Curative surgery is often difficult, because over 80% of P-NET patients already have unresectable multiple liver metastases and extrahepatic metastasis [1]. Current opinions suggest extended surgical indications for P-NET patients with liver metastases, because survival is improved and P-NET is a slow-growing tumor [1, 6-9]. For liver metastasis without extrahepatic metastasis, standard/aggressive surgery is the first choice for well-differentiated P-NET categorized as GEP-NET G1/G2 [1, 7, 8]. Aggressive surgery for liver metastases and cytoreductive surgery for >90% of the visible tumors are important to improve survival [6, 9]. Cytoreductive surgery for liver metastases is indicated to reduce hormone levels and improve clinical symptoms and prognosis [1, 6, 9]. For metastatic poorly-differentiated P-NET categorized as GEP-NET G3, cisplatin-based combination therapy is considered as the first-line therapy. Radiofrequency ablation, TACE/TAI, and selective inhibitor of mTOR are available as optional treatments [1]. Systemic biotherapy, such as somatostatin analog and interferon-a, is indicated for functional P-NET and postoperative recurrence [1].
LT for Unresectable Liver Metastases
LT was originally conceived as an ideal therapy for advanced hepatic malignancy, because it eliminates the liver tumors and the potential for recurrence in the liver remnant [1, 10]. LT for unresectable metastases has essentially been abandoned [10]. Several attempts to implement this strategy between 1960 and the 1980s showed poor results, although LT for early hepatocellular carcinoma has been established [18]. It is well known that highly selected P-NET patients with liver metastases may be candidates for LT [10, 19-21]. The only prospective study recommended strict selection criteria for LT with curative intent (i.e., low grade, removal of primary tumor, liver involvement <50%, age <55 years, and stable disease for ≥6 months before LT) [21], and a study reported 96% overall survival and 80% disease-free survival [22]. However, it was also reported that P-NET patients with liver metastases who received LT had a follow-up term of no longer than 5.8 years, and the longest tumor-free survival was 5.1 years [23], and a high rate of tumor recurrence was reported at almost 60% [20].
Use of LT for extended indications always presents an ethical dilemma [10]. The United Network for Organ Sharing has generally held that LT for malignancy should be considered only when results are essentially equivalent to results with standard indications, generally requiring a 5-year survival rate of 60–70% [10]. Previous results that indicate LT for P-NET [20-22] must be interpreted cautiously [10], especially given the global scarcity of liver grafts available [10]. These results should not justify LT at this time [10]. Current studies suggest a growing consensus concerning LT for liver metastases of P-NET as follows [20, 24-28]: 1) liver metastases of symptomatic or asymptomatic P-NET are unresectable; 2) disease is confined to the liver, and extrahepatic metastases are ruled out; 3) LT is indicated for well-differentiated P-NET categorized as GEP-NET G1/G2. Poorly differentiated P-NET categorized as GEP-NET G3 is considered as a contraindication for LT. Ki67 index <10% is recommended; and 4) LT should not be associated with major extrahepatic resection. Primary tumor should be removed before LT.
Our Case
We understand that P-NET patients often have unresectable liver metastases at initial diagnosis [1], and that surgical indications for P-NET with liver metastases should be determined individually in each case [6]. Resection of the primary tumor in metastatic nonfunctioning P-NET patients with unresectable liver metastases does not significantly improve survival [4]. Presence of liver metastases is a major prognostic factor for P-NET patients [1, 20], and surgical management of liver metastases remains controversial [9]. In our case, we initially intended to control the liver metastases before resection of the primary tumor, because we considered liver metastases as the most important prognostic factor. Our decision at that time may have been consistent with previous opinions [1, 4, 6, 9, 20].
Currently, classification of GEP-NET is useful for evaluating malignancy, predicting prognosis, and determining therapeutic strategies [1, 2]. Surgical indications for primary tumor [1, 4-6, 16] and hepatic surgery, including LT for liver metastases [1, 10, 20, 24-28] have already been stated. However, it seems to be not easy to decide optimal timing of surgery for primary tumor and liver metastases. In our case, aggressive surgery for liver metastases seemed to be difficult even during a period of stable liver metastases and resection of primary tumor is required before LT. We retrospectively regret that aggressive surgery for primary tumor and subsequent LT for unresectable liver metastases may have provided a better course in our case. Currently, surgical procedures and devices are well developed, and the question is whether pancreaticoduodenectomy or distal pancreatectomy is risky. We believe that pancreatic surgery is safe and beneficial for patients, if indicated. We retrospectively speculate that a negative approach to aggressive surgery for primary tumor may have resulted in poor quality of life and deprived our patient of the opportunity of LT for unresectable liver metastases. Our young patient could have been a candidate for initial surgery for primary tumor and might have had a chance of subsequent LT for unresectable metastases. Surgeons still face questions in deciding the best surgical scenario in patients with P-NET with liver metastases.
Received September 15th, 2014 – Accepted October 25th, 2014
Key words Gastro-enteropancreatic neuroendocrine tumor; Liver Transplantation; Pancreas
Conflict of interest Authors declare to have no conflict of interest.
Correspondence
Tomohide Hori
Department of Hepato-Pancreato-Biliary Surgery
Kyoto University Hospital
54 Shogoinkawara-cho
Sakyo-ku
Kyoto 606-8507
Japan
Phone: +81-75.751.3651
Fax: +81-75.751.3106
E-mail: horit@kuhp.kyoto-u.ac.jp
References
1. Kimura W, Tezuka K, Hirai I. Surgical management of pancreatic neuroendocrine tumors. Surg Today 2011; 41: 1332-43. [PMID: 21922354]
2. International Union Against Cancer (UICC). TNM classification of malignant tumors. 7th ed. Oxford: Wiley-Blackwell, 2009.
3. Heitz P, Komminoth P, Perren A, Klimstra D, Dayal Y. Tumors of the endocrine pancreas. In: De Lellis R, Lloyd R, Heitz P, Eng C, eds. World Health Organization classification of tumors: pathology and genetics of tumors of endocrine organs. 1st ed. Lyon: IARC Press, 2004: 177-82.
4. Bettini R, Mantovani W, Boninsegna L, Crippa S, Capelli P, Bassi C, et al. Primary tumour resection in metastatic nonfunctioning pancreatic endocrine carcinomas. Dig Liver Dis 2009; 41: 49-55. [PMID: 18463008]
5. Bloomston M, Muscarella P, Shah MH, Frankel WL, Al-Saif O, Martin EW, et al. Cytoreduction results in high perioperative mortality and decreased survival in patients undergoing pancreatectomy for neuroendocrine tumors of the pancreas. J Gastrointest Surg 2006; 10: 1361-70. [PMID: 17175455]
6. Hanazaki K, Sakurai A, Munekage M, Ichikawa K, Namikawa T, Okabayashi T, et al. Surgery for a gastroenteropancreatic neuroendocrine tumor (GEPNET) in multiple endocrine neoplasia type 1. Surg Today 2013; 43: 229-36. [PMID: 23076685]
7. Touzios JG, Kiely JM, Pitt SC, Rilling WS, Quebbeman EJ, Wilson SD, et al. Neuroendocrine hepatic metastases: does aggressive management improve survival? Ann Surg 2005; 241: 776-83. [PMID: 15849513]
8. Norton JA, Warren RS, Kelly MG, Zuraek MB, Jensen RT. Aggressive surgery for metastatic liver neuroendocrine tumors. Surgery 2003; 134: 1057-63. [PMID: 14668741]
9. Mayo SC, de Jong MC, Pulitano C, Clary BM, Reddy SK, Gamblin TC, et al. Surgical management of hepatic neuroendocrine tumor metastasis: results from an international multi-institutional analysis. Ann Surg Oncol 2010; 17: 3129-36. [PMID: 20585879]
10. Chapman WC. Liver transplantation for unresectable metastases to the liver: a new era in transplantation or a time for caution? Ann Surg 2013; 257: 816-7. [PMID: 23532106]
11. Shibata C, Egawa S, Motoi F, Morikawa T, Naitoh T, Unno M, et al. Surgery for pancreatic neuroendocrine tumors. Nihon Geka Gakkai zasshi 2012; 113: 502-6. [PMID: 23330458]
12. Kouvaraki MA, Shapiro SE, Cote GJ, Lee JE, Yao JC, Waguespack SG, et al. Management of pancreatic endocrine tumors in multiple endocrine neoplasia type 1. World J Surg 2006; 30: 643-53. [PMID: 16680581]
13. Patel KK, Kim MK. Neuroendocrine tumors of the pancreas: endoscopic diagnosis. Curr Opin Gastroenterol 2008; 24: 638-42. [PMID: 19122508]
14. Figueiredo FA, Giovannini M, Monges G, Bories E, Pesenti C, Caillol F, et al. EUS-FNA predicts 5-year survival in pancreatic endocrine tumors. Gastrointest Endosc 2009; 70: 907-14. [PMID: 19640525]
15. Chatzipantelis P, Konstantinou P, Kaklamanos M, Apostolou G, Salla C. The role of cytomorphology and proliferative activity in predicting biologic behavior of pancreatic neuroendocrine tumors: a study by endoscopic ultrasound-guided fine-needle aspiration cytology. Cancer 2009; 117: 211-6. [PMID: 19350669]
16. McEntee GP, Nagorney DM, Kvols LK, Moertel CG, Grant CS. Cytoreductive hepatic surgery for neuroendocrine tumors. Surgery 1990; 108: 1091-6. [PMID: 1701060]
17. Thompson NW. Current concepts in the surgical management of multiple endocrine neoplasia type 1 pancreatic-duodenal disease. Results in the treatment of 40 patients with Zollinger-Ellison syndrome, hypoglycaemia or both. J Intern Med 1998; 243: 495-500. [PMID: 9681848]
18. Mazzaferro V, Regalia E, Doci R, Andreola S, Pulvirenti A, Bozzetti F, et al. Liver transplantation for the treatment of small hepatocellular carcinomas in patients with cirrhosis. N Engl J Med 1996; 334: 693-9. [PMID: 8594428]
19. Gottwald T, Koveker G, Busing M, Lauchart W, Becker HD. Diagnosis and management of metastatic gastrinoma by multimodality treatment including liver transplantation: report of a case. Surg Today 1998; 28: 551-8. [PMID: 9607910]
20. Le Treut YP, Grégoire E, Klempnauer J, Belghiti J, Jouve E, Lerut J, et al; For ELITA. Liver transplantation for neuroendocrine tumors in Europe-results and trends in patient selection: a 213-case European liver transplant registry study. Ann Surg 2013; 257: 807-15. [PMID: 23532105]
21. Mazzaferro V, Pulvirenti A, Coppa J. Neuroendocrine tumors metastatic to the liver: how to select patients for liver transplantation? J Hepatol 2007; 47: 460-6. [PMID: 17697723]
22. de Herder WW, Mazzaferro V, Tavecchio L, Wiedenmann B. Multidisciplinary approach for the treatment of neuroendocrine tumors. Tumori 2010; 96: 833-46. [PMID: 21302641]
23. Alessiani M, Tzakis A, Todo S, Demetris AJ, Fung JJ, Starzl TE. Assessment of five-year experience with abdominal organ cluster transplantation. J Am Coll Surg 1995; 180: 1-9. [PMID: 8000645]
24. Pavel M, Baudin E, Couvelard A, Krenning E, Öberg K, Steinmüller T, et al; Barcelona Consensus Conference participants. ENETS Consensus Guidelines for the management of patients with liver and other distant metastases from neuroendocrine neoplasms of foregut, midgut, hindgut, and unknown primary. Neuroendocrinology 2012; 95: 157-76. [PMID: 22262022]
25. Pascher A, Klupp J, Neuhaus P. Endocrine tumours of the gastrointestinal tract. Transplantation in the management of metastatic endocrine tumours. Best Pract Res Clin Gastroenterol 2005; 19: 637-48. [PMID: 16183532]
26. Gregoire E, Le Treut YP. Liver transplantation for primary or secondary endocrine tumors. Transpl Int 2010; 23: 704-11. [PMID: 20492617]
27. Bonaccorsi-Riani E, Apestegui C, Jouret-Mourin A, Sempoux C, Goffette P, Ciccarelli O, et al. Liver transplantation and neuroendocrine tumors: lessons from a single centre experience and from the literature review. Transpl Int 2010; 23: 668-78. [PMID: 20478000]
28. Rosenau J, Bahr MJ, von Wasielewski R, Mengel M, Schmidt HH, Nashan B, et al. Ki67, E-cadherin, and p53 as prognostic indicators of long-term outcome after liver transplantation for metastatic neuroendocrine tumors. Transplantation 2002; 73: 386-94. [PMID: 11884935]