LETTER
JOP. J Pancreas (Online) 2015 Jan 31; 16(1):95-96.
Pancreaticopleural Fistula as a Presentation of a Pancreatic Neoplasm. A Report of a Case and Review of the Literature
Ciaran E Redmond1, Sinead H McEvoy1, Anthony Cullen2, Stephen J Skehan1, Kevin C Conlon2
Departments of Radiology1 and Surgery2, The National Surgical Centre for Pancreatic Cancer, St Vincent’s University Hospital. Dublin, Ireland
To the Editor,
Pancreaticopleural fistula is a rare clinical entity. The classical presentation is that of a left sided, amylase-rich pleural effusion [1, 2]. Herein we report an unusual case of pancreatic ductal adenocarcinoma that presented initially with a pancreaticopleural fistula. We review and discuss the existing literature regarding pancreaticopleural fistulae that are associated with a pancreatic neoplasm.
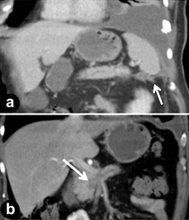
A 65-year-old gentleman presented with a history of worsening dyspnoea. A chest radiograph demonstrated a large left sided pleural effusion. A pleural drain was inserted and haemorrhagic pleural fluid was drained, which on cytological analysis contained benign inflammatory cells. Computed tomography (CT) of the thorax did not identify an underlying pulmonary lesion. However, the limited imaging of the left subphrenic region was suggestive of an inflammatory process in the region of the tail of the pancreas. The amylase level in a pleural fluid sample was found to be 23,225 IU/L suggestive of a pancreaticopleural fistula. A dedicated pancreatic protocol CT was thus performed (Figure 1). This demonstrated a small volume of rim enhancing fluid in the left upper quadrant tracking from the tail of the pancreas to the left hemidiaphragm, consistent with a pancreaticopleural fistula. Furthermore the main pancreatic duct was dilated with an abrupt cut off proximally at a 2.3 cm mass in the head of the pancreas, which was deemed surgically resectable by imaging criteria. A fine needle aspirate of the pancreatic mass was obtained under endoscopic ultrasound (EUS) guidance and yielded malignant cytology. Following a period of pre-operative optimization which included octreotide therapy and parenteral nutritional support, the patient underwent a pancreaticoduodenectomy. A histological diagnosis of pancreatic ductal adenocarcinoma was confirmed and a margin-negative resection was achieved. The post-operative period was unremarkable with full resolution of the pleural effusion. The patient is well and free of disease at the time of writing, six months postoperatively.

|
Figure 1. a. Reformatted coronal CT image shows a small volume of rim enhancing fluid in the left upper quadrant tracking from the tail of the pancreas to the left hemidiaphragm (arrow). A large left pleural effusion is also seen. b. Coronal CT image shows dilatation of the main pancreatic duct in the body of the gland with an abrupt cut-off in the region of the pancreatic head at the site of a 2.3 cm mass (arrow). |
We performed a literature search of the PubMed database, using a similar search strategy adopted by Oh et al. in 2006 [3]. We identified less than 120 reported cases of pancreaticopleural fistula. In the vast majority of reported cases the fistulae had formed as a complication of pancreatitis or pancreatic trauma. There are no previous reports of pancreatic ductal adenocarcinoma presenting with a pancreaticopleural fistula in the English medical literature. However, Sugiyama et al. [4] published a case report in Japanese depicting the case of a male patient who had similarly presented with a pancreaticopleural fistula with ductal adenocarcinoma of the head of pancreas revealed on CT. A pancreaticoduodenectomy was also performed in this case. With regards to pancreaticopleural fistulae associated with other pancreatic neoplasms, Cushen et al. [5] reported a case of a pancreaticopleural fistula arising from an intraductal papillary mucinous neoplasm (IPMN). This patient successfully underwent a distal pancreatectomy.
A focal pancreatic ductal disruption has been implicated in the initial pathogenesis of a pancreaticopleural fistula [6]. This leads to the development of a fistulous tract which may pass through the aortic or oesophageal hiatus or directly transdiaphragmatically [1] - as occurred in our case. The exact role, if any, of neoplastic lesions in the pathogenesis of pancreaticopleural fistulae is unclear. We postulate that main pancreatic ductal obstruction was a factor in our case. However given the paucity of existing data, no valid conclusions can be made. From our experience and review of the literature, we have two observations which may assist in the optimal management of this very rare patient group. Firstly; in the initial investigation of a patient presenting with a pancreaticopleural fistula, cross-sectional imaging of the pancreas is an appropriate measure in order to identify a possible underlying pancreatic neoplasm. Secondly; in both the aforementioned case and in the two previously reported cases, the associated pancreatic neoplasms were successfully treated with pancreatic resection.
In conclusion; pancreaticopleural fistulae may be associated with pancreatic neoplasms, in very rare circumstances. The presence of a pancreaticopleural fistula should not preclude the standard oncological treatment of the pancreatic neoplasm.
Received September 30th, 2014 – Accepted December 26th, 2014
Key words Fistula; Pancreatic Neoplasms; Pleura
Conflict of Interest Authors declare to have no conflict of interest
Correspondence Ciaran E Redmond
Department of Radiology
The National Surgical Centre for Pancreatic Cancer
St Vincent’s University Hospital
Dublin 4
Ireland
Phone: +353-1.221.4000
Fax: +353-1.221.4001
E-mail: ciaranredmond1@gmail.com
1. Machado NO. Pancreaticopleural fistula: revisited. Diagn Ther Endosc. 2012; 2012: 815476. [PMID: 22454555]
2. Ali T, Srinivasan N, Le V, Chimpiri AR, Tierney WM. Pancreaticopleural fistula. Pancreas. 2009; 38(1): e26–31. [PMID: 19106743]
3. Oh YS, Edmundowicz SA, Jonnalagadda SS, Azar RR. Pancreaticopleural fistula: report of two cases and review of the literature. Dig Dis Sci. 2006; 51(1): 1–6. [PMID: 16416200]
4. Sugiyama Y, Tanno S, Nishikawa T, Nakamura K, Sasajima J, Koizumi K et al.. [A case of pancreatic carcinoma presenting as pancreaticopleural fistula with pancreatic pleural effusion]. Nihon Shokakibyo Gakkai Zasshi. 2010; 107(5): 784–91. [PMID: 20460853]
5. Cushen B, McKeating A, Garvey JF, Dodd JD, Mulcahy H, Geoghegan J et al.. Pleural effusion arising from a rare pancreatic neoplasm. Eur Respir J. 2012; 40(5): 1298–300. [PMID: 23115315]
6. King JC, Reber HA, Shiraga S, Hines OJ. Pancreatic-pleural fistula is best managed by early operative intervention. Surgery. 2010; 147(1): 154–9. [PMID: 19744435]