CASE REPORT
JOP. J Pancreas (Online) 2015 Jan 31; 16(1):70-73.
Early-Phase Thin-Slice CT in the Diagnosis of Small Insulinomas
Hideki Ishioka, Naohiro Sata, Yasunao Ishiguro, Alan Lefor, Yoshikazu Yasuda
Department of Surgery, Jichi Medical University. Tochigi, Japan
ABSTRACT
Context Insulinomas, which are generally smaller than 2 cm, may be difficult to detect by routine imaging modalities including abdominal ultrasonography, computed tomography, and magnetic resonance imaging. Although preoperative detection of insulinomas is essential for operative planning, it is often challenging due to their small size. While arterial stimulation and venous sampling has been used in patients with insulinomas it has been largely supplanted by early-phase thin-slice computed tomography. Case report We report three patients with insulinomas, which were not detected by routine computed tomography scan, but were successfully imaged using early-phase thin-slice computed tomography. Enucleation was performed in all patients based on preoperative imaging. All three patients had an unremarkable postoperative course. Conclusion Early-phase thin-slice computed tomography is recommended for the preoperative identification of insulinomas. This non-invasive imaging technique should be considered before performing arterial stimulation and venous sampling.
INTRODUCTION
Insulinomas are the most frequent subtype of pancreatic neuroendocrine tumors (pNETs), representing about 70% of these lesions [1-3]. They are derived from islet B-cells and cause diverse symptoms which are attributable to hypoglycemia. About 90% of insulinomas are benign and more than 90% are sporadic [3, 4]. Most patients with insulinomas are curable by surgical resection, except for patients with multiple and malignant tumors, which are usually seen in association with multiple endocrine neoplasia syndrome, type I [3].
Insulinomas are suspected in patients with the clinical findings of Whipple’s triad, which includes hypoglycemic symptoms while fasting, documented serum glucose less than 50 mg/dL, and an improvement in symptoms with the administration of glucose [5]. Hypoglycemia, high serum immunoreactive insulin (IRI), and high serum C-peptide immunoreactivity (CPR) while fasting are typical in patients with insulinomas. Although the preoperative identification of an insulinoma is important to develop an optimal surgical strategy, it is often challenging because of the small tumor size. The majority of insulinomas are less than 2 cm in diameter at initial diagnosis [3, 4]. Abdominal ultrasonography (US), computed tomography (CT), and magnetic resonance imaging (MRI) are often unable to detect insulinomas. If these non-invasive studies fail to detect the tumors, invasive methods can be performed, such as angiography and arterial stimulation and venous sampling (ASVS) [6-14].
CT technology has improved dramatically in the past two to three decades. The time required to obtain a scan has become shorter and thinner collimations are possible after the introduction of helical and multi detector row CT (MDCT) technology. MDCT scanners use multiple detector rows, are 10 times faster, and can obtain 16–64 slices per rotation with a slice thickness of 0.5 mm. MDCT scanning also allows three-dimensional reformatting with multiplanar reconstruction, which was used in the patients described here. Thus, small tumors, such as insulinomas, may be detected more readily than before [15].
MDCT permits image acquisition in the arterial (early) phase, pancreatic phase and portal venous phase at various times after injection. The timing of imaging following injection can be optimized for each patient based on diffusion of the contrast agent. Insulinomas are hypervascular tumors and usually well-enhanced in the early-phase after intravenous administration of the contrast agent [16]. In this report, we describe three patients with insulinomas, which were not detected by routine CT scan or ASVS, but were successfully imaged using early-phase thin-slice CT scan.
CASE REPORT
Patient #1
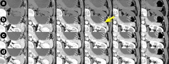
A forty-three-year-old woman was referred due to hypoglycemia. She had repeated episodes consistent with hypoglycemia for one year. Laboratory findings were unremarkable except for a serum glucose of 49 mg/dL. Serum hormone levels were within normal limits. Anti-insulin antibody was negative. Non-invasive imaging modalities including abdominal US, MRI, and routine abdominal CT scan were unremarkable. Angiography showed a tumor stain in the tail of the pancreas. ASVS revealed an elevated insulin level in the hepatic vein but did not effectively localize the lesion. Early-phase thin-slice CT scan (SOMATOM Sensation 64®, Siemens; detector setup 0.75x16 mm, helical pitch 10.5/16 rows, acquired 1.0 mm slices were reformed by 1.0 mm) was performed. Contrast, at a density of 300 mg/mL (Iopamiron 300®, Bayer, Leverkusen Germany) was administered at a dose of 600 mg/kg (for all patients in this report). Timing for the imaging was individualized for each patient. Early phase series at 35 seconds with multiplanar reconstruction after injection of contrast material demonstrated an enhancing 10mm lesion on the dorsal side of the tail of the pancreas, definitively only on one image (Figure 1, yellow arrow). Intraoperative ultrasonography (IOUS) confirmed an 8mm well-demarcated tumor in the tail of the pancreas, and enucleation of the tumor was performed. Pathological findings showed an insulinoma grade G2 with an MIB-1 index <5%. Immunohistochemistry showed chromogranin A (+), synaptophysin (+), insulin (+), EMA (epithelial membrane antigen) (-), and lipase (-). She had an uneventful postoperative course and is without recurrence 39 months postoperatively.

|
Figure 1. Axial CT scan of Patient #1 (slice thickness: 3 mm) at 0 seconds (pre-contrast) (a.), 35 seconds (b.), 55 seconds (c.), and 80 seconds (d.) after the administration of contrast agent, respectively. Although images of a., c., and d. show no remarkable findings, only one slice in series b. shows a well-enhanced small mass in the tail of the pancreas (indicated by a yellow arrow). |
Patient #2
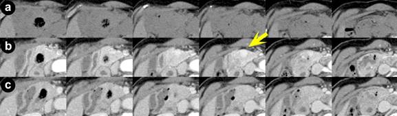
A seventy-five-year-old woman who experienced an episode of unconsciousness due to hypoglycemia with a serum glucose level 34 mg/dL was referred. Laboratory findings were within normal limits except for a fasting serum glucose level of 48 mg/dL. IRI, CPR, and other hormone levels were within normal limits. Anti-insulin antibody was negative. Routine abdominal CT scan showed no remarkable findings. ASVS was performed which suggested a tumor in the head/body of the pancreas. Early-phase thin-slice CT showed a distinct well-enhanced 9 mm tumor in the head of the pancreas during the arterial phase at 45 seconds (timing individualized for this patient) after the administration of contrast definitively only on one slice (Figure 2, yellow arrow). A tumor in the head of the pancreas was palpable intraoperatively and IOUS demonstrated a low echoic mass in the same area. Enucleation of the 12 mm tumor was performed and the tumor was diagnosed as an insulinoma, grade G1 with an MIB-1 index <1%. Immunohistochemistry showed synaptophysin (+), insulin (+), glucagon (-), somatostatin (-), and pancreatic polypeptide (-). She was discharged from the hospital uneventfully and has had no recurrence 61 months after operation.

|
Figure 2. Axial CT scan of Patient #2 (slice thickness: 3 mm) at 0 seconds (pre-contrast) (a.), 45 seconds (b.), and 80 seconds (c.) after the administration of contrast agent, respectively. Only in one slice of the 45 second scan, a 9 mm high density lesion in the pancreatic head is demonstrated (indicated by a yellow arrow), whereas the same slice in the 80-second scan shows no abnormality. |
Patient #3
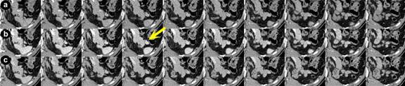
A sixty-seven-year-old man was referred for further examination and treatment of hypoglycemia. He underwent a left nephro-ureterectomy for renal pelvis carcinoma two years prior to admission. During routine follow-up, he was found to have symptomatic hypoglycemia with a serum glucose less than 50 mg/dL. Laboratory data showed no abnormalities except a serum glucose level of 52 mg/dL. IRI and CPR were not suppressed. Anti-insulin antibody was negative. Routine imaging studies including abdominal US, CT, MRI, and EUS failed to image a lesion. ASVS suggested an insulinoma in the body/tail of the pancreas. Early-phase thin-slice CT revealed a 10 mm nodular lesion, which was well enhanced and circumscribed in the tail of the pancreas on several slices in the 45-second series (Figure 3). IOUS revealed a low echoic tumor in the area suggested by images from the early-phase thin-slice CT scan, and enucleation of the 10 mm tumor was performed. The tumor was grade G1, with an MIB-1 index <1%. Immunohistochemistry showed chromogranin A (+), synaptophysin (+), insulin (+), glucagon (slightly +), somatostatin (-), and pancreatic polypeptide (-). His postoperative course was uneventful and is without recurrence 15 months after operation.

|
Figure 3. Axial CT scan of Patient #3 (slice thickness: 1 mm), at 25 seconds (a.), 45 seconds (b.), and 80 seconds (c.) after the administration of contrast agent, respectively. In the series at 45 seconds a 10 mm well-enhanced tumor is recognized more clearly than in other series, and this tumor is hard to discern in the series at 80-seconds. |
DISCUSSION
We report three patients with insulinomas, which were not detectable by routine CT scan. All three patients underwent ASVS, and the tumors then imaged using early-phase thin-slice CT scan. These results support the use of early-phase thin-slice CT in patients with insulinomas, instead of ASVS. Surgical treatment, such as enucleation with limited resection of the pancreas, is regarded as the initial treatment because about 90% of insulinomas are benign and sporadic [3, 4]. However, conventional non-invasive imaging modalities often fail to detect small insulinomas. Tsuzuki et al. reported that the detection rate of insulinomas by abdominal US, CT, and MRI were 49%, 58%, and 57%, respectively [4].
ASVS for the detection of insulinomas was introduced by Doppman et al. in 1991 [6], and is a sensitive modality for localizing insulinomas. Blood samples from the hepatic vein are obtained before and at 30, 60, 90, and 120 seconds after the injection of calcium to measure the plasma insulin concentration [6, 13, 14]. While ASVS showed a high diagnostic yield for insulinomas, from 97-100% [4, 9, 10], its use in the localization of insulinomas has been supplanted by early-phase thin slice CT scan in many institutions. ASVS does not provide the exact location of an insulinoma. The exact tumor location is important for surgeons to make a decision regarding the operative procedure [17]. For example, the distance from the main pancreatic duct to the tumors is a key factor for safe conduct of pancreatic surgery.
IOUS is reported to be the most sensitive procedure for tumor detection in a recent systematic review of insulinomas [3]. The utility of IOUS in detection of insulinomas was also reported in other studies, with a sensitivity of about 90% [18, 19]. However, IOUS also has some limitations. One limitation is that IOUS is an intraoperative procedure, meaning that the detailed information about tumor location is not available preoperatively. In addition, an over- or under-resection may be performed in patients with unsuccessful tumor detection by IOUS, or with multiple insulinomas related to MEN-I syndrome.
CT scan was introduced by Hounsfield in the early 1970s [20]. With continued progress of CT technology including helical and MDCT, the time required to obtain a scan is markedly reduced, and thin-slice CT can detect small tumors such as insulinomas. In addition, the detection rates for insulinomas have improved using dynamic CT scan techniques [4, 15, 21]. Insulinomas are characteristically hypervascular on contrast-enhanced imaging studies. The value of CT scans with arterial phase imaging was reported some time ago. King et al. reported seven patients whose tumors were imaged with high-resolution arterial phase acquisition of pancreas images in 1998 [21]. Liu and colleagues reported on 46 patients with insulinomas, and concluded that dual phase CT scan is a sensitive modality, and that image acquisition in the arterial phase is more helpful [22]. Zamboni et al. reported that pancreatic endocrine tumors were well enhanced in the early (arterial) phase after intravenous injection of contrast material by means of time density curves obtained from perfusion CT scans [23].
In these three patients, pancreatic insulinomas were well enhanced in the early phase, which ranged from 25-45 seconds after administration of the contrast agent. We suggest that early-phase thin-slice CT is a valuable procedure for detecting insulinomas. Using routine CT scans, the enhanced images are usually taken more than 60 seconds after administration of the contrast agent, and it is the main reason why the detection rate using routine CT scans is low. The thickness of the CT images on routine scan may also contribute to the low detection rate.
Early-phase thin-slice CT has some additional advantages for the localization of insulinomas. First, tumor localization allows surgeons to perform less invasive surgery such as enucleation and/or a limited resection of the pancreas. Wide resection of the pancreas has the potential to cause diabetes mellitus and is associated with higher morbidity and mortality [24]. Therefore, the precise preoperative localization of tumors, particularly benign tumors such as insulinomas, is essential. Second, early-phase thin-slice CT is also useful to evaluate patients for recurrent insulinomas. Early-phase thin-slice CT is far less invasive than ASVS, and easy to use as a follow-up examination. Whereas the use of early-phase thin-slice CT is suggested, some limitations should be noted and interpretation carefully undertaken. In patients 1 and 2, the tumors were definitively detected on only one slice of the CT images with a collimation of 3 mm in spite of the tumor size (both tumors were measured at about 10 mm in diameter). Although there was an opacity visible on CT images before and after the image showing the tumor in patients 1 and 2, definitive identification of the tumor was made on only one slice. The tumor was more conspicuous and identified as a high-density area on several images of the early–phase thin-slice CT scan for patient 3, most likely because of the use of thin collimation used at 1 mm. It is conceivable that both CT scanning with thin slices and careful radiographic interpretation in several enhanced series are essential to avoid oversight of small insulinomas. Another problem remains in the exposure to radiation required for such studies. A further limitation in this report is that the administration rate of contrast agent and optimal scanning time point for detection of insulinomas remains unclear. Additional studies are needed to determine the optimal conditions.
In conclusion, early-phase thin-slice CT scanning is valuable for the detection of small insulinomas. The optimal approach to the workup of these patients is important for all physicians involved in their management. Early-phase thin-slice CT scan should be considered in patients with symptoms of an insulinoma as the first-line imaging study before performing invasive procedures such as ASVS.
Received November 22nd, 2014 – Accepted December 25th, 2014
Key words Insulinoma; Pancreas; Pancreatic Polypeptide
Conflict of Interest Authors declare to have no conflict of interest
Correspondence Naohiro Sata
Department of Surgery
Jichi Medical University
3311-1 Yakushiji Shimotsuke
Tochigi, 329-0498
Japan
Phone: +81-285.58.7371
Fax: +81-285.44.3234
E-mail: sata@jichi.ac.jp
References
1. Soga J, Yakuwa Y. Pancreatic endocrinomas: A statistical analysis of 1,857cases. J Hepatobilirary Pancreat Surg. 1994; 1: 522-9.
2. Boukhman MP, Karam JH, Shaver J, et al. Insulinoma - experience from 1950 to 1995. West J Med. 1998; 169: 98-104. [PMID: 9735690]
3. Mehrabi A, Fischer L, Hafezi M, et al. A systemic review of localization, surgical treatment options, and outcome of insulinoma. Pancreas. 2014; 43: 675-86. [PMID: 24921202]
4. Tsuzuki Y, Ishii H. Insulinoma - a statistical review of 358 cases of insulinoma reported from 1991 to 2000 in Japan (Article in Japanese). Nihon Rinsho. 2001; 59: 121-31. [PMID: 11808217]
5. Tucker ON, Crotty PL, Conlon KC. The management of insulinoma. Br J Surg. 2006; 93: 264-275. [PMID: 16498592]
6. Doppman JL, Miller DL, Chang R, et al. Insulinomas: localization with selective intraarterial injection of calcium. Radiology. 1991; 178: 237-41. [PMID: 1984311]
7. Ito K, Takada T, Amano H et al. Localization of islet-cell hyperplasia: value of pre- and intraoperative arterial stimulation and venous sampling. J Hepatobilirary Pancreat Surg. 2004; 11: 203-6. [PMID: 15235895]
8. Horino T, Takao T, Hashimoto K. A case with insulinoma diagnosed and localized preoperatively using contrast-enhanced ultrasonography (CEUS) and arterial stimulation and venous sampling (ASVS). Endocr J. 2006; 53: 141-6. [PMID: 16543684]
9. Tseng LM, Chen JY, Won JG, et al. The role of intra-arterial calcium stimulation test with hepatic venous sampling (IACS) in the management of occult insulinomas. Ann surg oncol. 2007; 14: 2121-7. [PMID: 17431724]
10. Morganstein DL, Lewis DH, Jackson J, et al. The role of arterial stimulation and simultaneous venous sampling in addition to cross-sectional imaging for localization of biochemically proven insulinoma. Eur Radiol. 2009; 19: 2467-73. [PMID: 19597822]
11. Guettier JM, Kam A, Chang R. Localization of insulinomas to regions of the pancreas by intraarterial calcium stimulation: the NIH experience. J Clin Endocrinol Metab. 2009; 94: 1074-80. [PMID: 19190102]
12. Kutsuna N, Yamazaki S, Itoh Y, et al. Arterial stimulation and venous sampling (ASVS) is useful for recurrent lesions of insulinoma: a case report. Surg Laparosc Endosc Percutan Tech. 2009; 19: 138-9. [PMID: 19692865]
13. Baba Y, Hayashi S, Senokuchi T, et al. Which indexes are appropriate among those derived from selective arterial calcium stimulation and venous sampling (ASVS) for diagnosing pancreatic insulinomas? Evaluation using receiver operating characteristics analysis. Pancreas. 2011; 40: 308-10. [PMID: 21311308]
14. Eguchi H, Tanemura M, Marubashi S, et al. Arterial stimulation and venous sampling for glucagonomas of the pancreas. Hepatogastroenterology. 2012; 59: 276-9. [PMID: 21940356]
15. Horton KM, Hruban RH, Yeo C, et al. Multi-detector row CT of pancreatic islet cell tumors. Radiographics. 2006; 26: 453-64. [PMID: 16549609]
16. Van Hoe L, Gryspeerdt S, Marchal G, et al. Helical CT for the preoperative localization of islet cell tumors of the pancreas: value of arterial and parenchymal phase images. Am J Roentgenol. 1995; 165: 1437-9. [PMID: 7484581]
17. Assalia A, Gagner M. Laparoscopic pancreatic surgery for islet cell tumors of the pancreas. World J Surg. 2004; 28: 1239-47. [PMID: 15517485]
18. Grover AC, Skarulis M, Alexander HR, et al. A prospective evaluation of laparoscopic exploration with intraoperative ultrasound as a technique for localizing sporadic insulinomas. Surgery. 2005; 138: 1003-8. [PMID: 16360384]
19. Wong M, Isa SH, Zahiah M, et al. Intraoperative ultrasound with palpation is still superior to intra-arterial calcium stimulation test in localizing insulinoma. World J Surg. 2007; 31: 586-92. [PMID: 17322973]
20. Ambrose J. Computerized x-ray scanning of the brain. J Neurosurg. 1974; 40(6): 679-95. [PMID: 4596994]
21. King AD, Ko GT, Yeung VT, Chow CC, Griffith J, Cockram CS. Dual phase spiral CT in the detection of small insulinomas of the pancreas. Br J Radio 1998. 71:20-3. [PMID: 9534694]
22. Liu Y, Song Q, Jin HT, Lin XZ and Chen KM. The value of multidetector row CT in the preoperative detection of pancreatic insulimomas. Radiol Med 2009. 114:1232-8. [PMID: 19789954]
23. Zamboni GA, Bernardin L, Mucelli P. Dynamic MDCT of the pancreas: is time-density curve morphology useful for the differential diagnosis of solid lesions? A preliminary report. Eur J Radiol. 2012; 81: 381-5. [PMID: 22197731]
24. Hirshberg B, Libutti SK, Alexander HR, et al. Blind distal pancreatectomy for occult insulinoma, an inadvisable procedure. J Am Coll Surg. 2002; 194: 761-4. [PMID: 12081066]