CASE REPORT
JOP. J Pancreas (Online) 2015 Jan 31; 16(1):74-77.
Surgical Intervention for Mediastinal Pancreatic Pseudocysts. A Case Series and Review of the Literature
Dafni Metaxa1, Anita Balakrishnan1, Sara Upponi2, Emmanuel L Huguet1, Raaj K Praseedom1
Departments of 1Hepatopancreaticobiliary Surgery and 2Radiology, Addenbrooke’s Hospital. Cambridge, United Kingdom
ABSTRACT
Context Development of mediastinal pancreatic pseudocysts is a rare complication of pancreatitis. There is currently no consensus on the optimal management of this condition, options for which include conservative management with somatostatin analogues, endoscopic drainage procedures and surgery. Case report Here we present two patients with mediastinal pancreatic pseudocysts which were initially managed endoscopically. However, in both cases, this led to complications secondary to the endoscopic procedures, recurrence or non-resolution of symptoms, requiring surgical cystogastrostomy and/or cystojejunostomy. Conclusion These cases suggest that surgery may be ultimately necessary for mediastinal pancreatic pseudocysts where endoscopic procedures might have a high likelihood of failure.
INTRODUCTION
Pancreatic pseudocysts are a common complication of acute or chronic pancreatitis. However, extension of these pancreatic pseudocysts into the mediastinum and mediastinal pancreatic pseudocyst formation is rare, with only around 50 cases described in the literature. This is thought to occur secondary to complete disruption of the pancreatic duct and tracking of the pancreatic fluid and debris through the diaphragmatic hiatus, most commonly either the oesophageal or aortic hiatus, into the posterior mediastinum [1]. Various management options are available but there is currently no consensus on the optimum first line of management. Here we describe two cases of mediastinal pancreatic pseudocysts which ultimately required surgical management with cystogastrostomy following recurrence after endoscopic drainage.
CASE REPORT
Case #1
A thirty-seven-year-old gentleman was under follow up at a district general hospital within our catchment area for multiple admissions with alcoholic pancreatitis and resulting intra-abdominal pancreatic pseudocysts. He had two endoscopic ultrasound (EUS)-guided stent insertions for drainage of these pseudocysts, fluid analysis from which confirmed these as pseudocysts with no evidence of malignancy.
During his most recent admission, a computed tomography (CT) scan showed a large retroperitoneal collection and another enlarging pancreatic pseudocyst, this time extending into the mediastinum and not amenable to EUS-guided drainage. A percutaneous drain was inserted under ultrasound (USS) scan guidance which drained brown fluid on insertion. This temporarily drained the cyst and relieved his discomfort but the cyst was found to have reformed subsequently. An endoscopic retrograde cholangiopancreatogram (ERCP) was therefore performed to assess the integrity of the pancreatic duct. Contrast injection during ERCP showed early filling of a pancreatic pseudocyst extending into the mediastinum and another large left retroperitoneal pseudocyst, with complete disruption of the pancreatic duct. The calibre of the duct was normal; however, there was a fracture across the pancreatic duct and contrast extravasated to fill the two pseudocysts. A 9 cm stent was inserted into the pancreatic duct during ERCP. Following this the patient developed increasing abdominal pain and pyrexia. A repeat CT scan showed the presence of both intra-abdominal and intra-thoracic loculated pseudocysts despite percutaneous and transpapillary drain insertion. The pseudocysts extended from the left upper quadrant to just behind the left kidney and into the left iliac fossa, and passed through the gastro-oesophageal junction and above the diaphragm.
Following this he was transferred to our regional hepatopancreatobiliary surgery unit for operative management of his pseudocysts. On admission he described epigastric and left upper quadrant pain. He was tender in these areas on palpation, but the examination was otherwise unremarkable. His blood tests on admission showed a white cell count of 14.0, haemoglobin of 94, C-reactive protein (CRP) of more than 250, amylase of 141, bilirubin of 9, alkaline phosphatase (ALP) of 505 and alanine transaminase (ALT) of 30. His urea and electrolytes were unremarkable. A repeat CT scan showed multiple loculated collections extending from the left upper quadrant to just behind the left kidney and further collections extending into the left iliac fossa (Figure 1). The largest pseudocyst was shown to be passing the gastro-oesophageal junction and extending above the diaphragm. These pseudocysts seemed to be connected. It was decided to perform a cystogastrostomy and cystojejunostomy. The pancreatic pseudocyst posterior to the stomach was delineated by intraoperative ultrasound. A midline laparotomy was performed, the pancreatic pseudocyst was palpated behind stomach and again localised with intraoperative ultrasound. A longitudinal incision was made along the anterior wall of the stomach and cyst location was confirmed by aspiration of clear pancreatic fluid. The pseudocyst drained altogether 300-500 mL clear fluid which was sent for culture and biochemistry. A cystogastrostomy was performed. The position of the large, left retroperitoneal pseudocyst behind the left kidney was also located using intraoperative ultrasound and was found to be extending into the left iliac fossa. The cyst was aspirated yielding thick pus and a cystojejunostomy was fashioned onto a 70 cm Roux-en-Y loop.

|
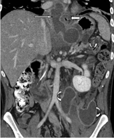
Figure 1. Case #1. Coronal reformatted CT image acquired following intravenous contrast medium in portal phase. This demonstrates a well-defined, rim enhancing pseudocyst (long arrow) extending through the hiatus into the posterior mediastinum. The gastro-oesophageal junction is displaced medially (short arrow). Several further retroperitoneal pseudocysts are noted (curved arrows). |
He had an uneventful recovery and was discharged one week following surgery with resolution of his symptoms. Follow up appointments have not been attended to date however a follow up CT scan is being arranged.
Case #2
A twenty-two-year-old female with a history of alcohol-induced chronic pancreatitis was admitted with abdominal pain and dysphagia. On examination she had a midline laparotomy scar from previous abdominal surgery and marked tenderness in the epigastric area on palpation but the examination was otherwise unremarkable. Her blood tests revealed a white cell count of 14.0, haemoglobin of 11.7, platelets of 458, CRP of 4, amylase of 279, albumin of 39, bilirubin of 10, ALP of 93 and ALT of 21. Her urea and electrolytes were unremarkable. A CT scan performed during this admission revealed a large cyst arising from the body and tail of the pancreas extending posteriorly to the stomach and tracking behind the oesophagus and into the mediastinum (Figures 2 and 3). Cyst fluid aspirated under EUS guidance yielded an amylase level of 20,000 confirming this to be a pancreatic pseudocyst. The EUS also showed calcification in the pancreas in keeping with chronic pancreatitis. Although aspiration provided temporary resolution of her symptoms, the patient experienced recurrence of pain and discomfort. At laparotomy a retrogastric pseudocyst communicating with the mediastinum was clearly identified on intraoperative ultrasound scan. An anterior gastrostomy was performed and intraoperative ultrasound was again used to locate the pseudocyst. A posterior wall gastrostomy was created to enter the cyst and the cyst wall was sent for histology. Intraoperative contrast study confirmed the communication with the mediastinal cavity. A surgical cystogastrostomy and a feeding jejunostomy were performed. The patient had an uneventful recovery.

|
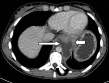
Figure 2. Case #2. Axial CT image acquired in portal phase following intravenous contrast medium. This demonstrates a well defined pseudocyst (long arrow) extending through the hiatus into the posterior mediastinum. The gastro-oesophageal junction (short arrow) is displaced anteriorly. There is a small reactive, non enhancing left pleural effusion (curved black arrow). |

|
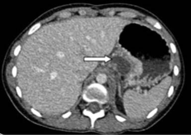
Figure 3. Case #2. Axial CT image of the patient in figure 1 acquired in portal phase following intravenous contrast medium. This demonstrates the component of the pseudocyst abutting the pancreas (arrow). |
The cyst had completely resolved on follow-up CT imaging 3 months later and a further CT scan eight years after the procedure showed no new collections.
DISCUSSION
Mediastinal pancreatic pseudocysts are a rare complication of acute and chronic pancreatitis. The commonest cause of pancreatitis in these cases is alcohol in adults and trauma in children [1]. Mediastinal extension of the pseudocyst should be suspected in patients with pancreatitis who experience upper gastrointestinal symptoms such as dysphagia or respiratory symptoms such as breathlessness or pleuritic chest pain [2-5]. Various management options have been described including conservative treatment with somatostatin analogues and total parenteral nutrition [6], endoscopically guided procedures [3-5, 7-11] , thoracoscopic drainage with video-assisted thoracoscopic surgery [12] or surgical management, as described in this instance and by several other authors, with a cystogastrostomy and/or cystojejunostomy [2, 13-16]. There is currently no consensus on what the most appropriate first line of management should be.
Not all pancreatic pseudocysts require active management. Indications for intervention include pseudocysts associated with chronic (and not acute) pancreatitis as these are less likely to regress spontaneously, symptoms, and those exceeding 6cm in diameter [17]. Complications such as compression of large vessels, haemorrhage into the pseudocyst, infection or pancreaticopleural fistulae are further indications for intervention [18].
Surgical management was historically the first line of treatment for pancreatic pseudocysts including mediastinal pseudocysts. Surgical options include external drainage and internal drainage with cystogastrostomy or cystojejunostomy. External drainage has been associated with higher morbidity and mortality as well as longer hospital stay when compared to internal drainage procedures [19]. EUS-guided and minimally invasive techniques are more frequently used as first line treatment for abdominal and mediastinal pseudocysts, however, surgery still has a major role in the definitive management of pancreatic pseudocysts [18]. Indications for surgery as first line management of abdominal pancreatic pseudocysts include complicated pseudocysts such as abscess formation or necrosis, associated ductal stricture or dilatation, suspected malignancy or coexistent biliary or gastroduodenal obstruction [20]. Surgical procedures have a mortality rate of less than 1%, with complications relating principally to bleeding and infection (mainly respiratory tract infections) which occur at a rate of 20 to 25%. Recurrence of the pancreatic pseudocysts occurs in approximately 5% of patients [17].
Endoscopic procedures have revolutionised the management of pancreatic pseudocysts including mediastinal pancreatic pseudocysts [21]. EUS has been used for endoscopic drainage of mediastinal pancreatic pseudocysts either through a trans-oesophageal [3, 8] or trans-gastric approach [10] with the use of a stent to aid drainage. ERCP has been used for trans-papillary stenting of the pancreatic duct but only a few reports have described successful resolution of mediastinal pseudocysts with transpapillary stenting alone [7, 9, 11, 22]. The general complication rate of endoscopic management procedures for pancreatic pseudocysts is approximately 5% and pancreatic pseudocysts recur in approximately 15% of patients [17]. ERCP is not without complications, including pancreatitis (or worsening of existing pancreatitis), haemorrhage and cholangitis [23]. Complications of EUS and cyst aspiration in turn include perforation of the oesophagus, infection [24] and stricture formation [11].
Taking into account the general indications for surgical management of pancreatic pseudocysts as specified above, it could be argued that most mediastinal pancreatic pseudocysts could be considered complicated pseudocysts as they form a communicating tract between the abdominal cavity and the mediastinum as a result of complete disruption of the pancreatic duct and are often symptomatic [1]. Despite their many advantages there are clearly limitations to endoscopic management approaches; in particular pancreatic pseudocyst recurrence rates are higher following endoscopic management than after surgery and occasionally surgery may prove to be a necessary definitive procedure to treat the recurrence. Additionally, the mortality and complication rates for surgical management procedures of pancreatic pseudocysts are significantly increased if surgical procedures are required to salvage failed endoscopic treatments [17]. Combined laparo-endoscopic cystgastrostomy approaches have been used to treat mediastinal and abdominal pancreatic pseudocysts [14]. Where feasible, this approach is less invasive than laparotomy, and allows definitive treatment with internal drainage of pancreatic pseudocysts.
CONCLUSION
With the obvious advantages to the patient such as shorter hospital stay and often the option of avoiding a general anaesthetic, EUS guided drainage is being used more commonly as the first line of treatment of mediastinal pancreatic pseudocysts. However, our cases described above suggest that surgery may sometimes be required to provide definitive management of mediastinal pancreatic pseudocysts following failure of endoscopic drainage. The relative rarity of mediastinal pseudocysts renders it difficult to characterize specific indications to recommend surgery as the first line of management. It is however worth considering surgery in the first instance where endoscopic procedures are thought to have a high risk of failure, as surgery would provide a higher success rate whilst avoiding the potential complications from endoscopic procedures.
Received September 30th, 2014 – Accepted December 26th, 2014
Key words Mediastinum; Pancreas; Pancreatic Pseudocyst
Conflict of Interest Authors declare to have no conflict of interest
Correspondence Raaj K Praseedom
Department
of Hepatopancreaticobiliary Surgery,
Addenbrooke’s Hospital
Hills Road
Cambridge, CB2 0QQ
United Kingdom
Phone: +44-(0)1223.256.040
Fax: +44-(0)1223.216.015
E-mail:
raaj.praseedom@addenbrookes.nhs.uk
References
1. Johnston RH Jr, Owensby LC, Vargas GM, G.-R. R. Pancreatic Pseudocyst of the Mediastinum. Ann Thorac Surg 1986; 41, 210–212. [PMID: 3947175]
2. Sadat U, Jah A, Huguet E. Mediastinal extension of a complicated pancreatic pseudocyst; a case report and literature review. J Med Case Rep 2007; 1: 12. [PMID: 17459155]
3. Gupta R, Munoz JC, Garg P, Masri G, Nahman NS, Lambiase LR . Mediastinal pancreatic pseudocyst--a case report and review of the literature. Med Gen Med 2007; 9: 8. [PMID: 17955064]
4. Komtong S, Chanatrirattanapan R, Kongkam P, Rerknimitr R, Kullavanijaya P. Mediastinal pseudocyst with pericardial effusion and dysphagia treated by endoscopic drainage. JOP. J Pancreas (Online] 2006; 7(4): 405–10. [PMID: 16832138]
5. Musana KA, Yale SH, Abdulkarim A, Rall CJ. Successful endoscopic treatment of mediastinal pseudocysts. Clin. Med. Res 2004; 2: 119–23. [PMID: 15931345]
6. Suga H, Tsuruta O, Okabe Y, Saitoh F, Noda T, Yoshida H, et al. A case of mediastinal pancreatic pseudocyst successfully treated with somatostatin analogue. Kurume Med J. 2005; 52, 161–164. [PMID: 16639988]
7. Bhasin DK, Rana SS, Chandail VS, Nanda M. CASE REPORT Successful Resolution of a Mediastinal Pseudocyst and Pancreatic Pleural Effusion by Endoscopic Nasopancreatic Drainage. JOP. J Pancreas (Online) 2005; 6(4): 359–364. [PMID: 16006688]
8. Gornals JB, Loras C, Mast R, Botargues JM, Busquets J, Castellote J, et al. Endoscopic ultrasound-guided transesophageal drainage of a mediastinal pancreatic pseudocyst using a novel lumen-apposing metal stent. Endoscopy 2012; 44, E211–2. [PMID: 22622750]
9. Kim DJ, Chung HW, Gham CW, Na HG, Park SW, Lee SJ, et al. A Case of Complete Resolution of Mediastinal Pseudocyst and Pleural Effusion by Endoscopic Stenting of Pancreatic Duct. Yonsei Med J 2003; 44: 727–731. [PMID: 12950133]
10. Mohl W, Moser C, Kramann B, Zeuzem S, Stallmach A. Endoscopic transhiatal drainage of a mediastinal pancreatic pseudocyst. Endoscopy 2004; 36: 467. [PMID: 15100970]
11. Rana SS, Bhasin DK, Rao C, Singh H, Sharma V, Singh K. Esophageal stricture following successful resolution of a mediastinal pseudocyst by endoscopic trans- papillary drainage. Endoscopy 2012; 44, 121–122. [PMID: 22477176]
12. Chang YC, Chen CW. Thoracoscopic drainage of ascending mediastinitis arising from pancreatic pseudocyst. Interact. Cardiovasc. Thorac. Surg 2009; 9: 144–5. [PMID: 19386659]
13. Belágyi T, Issekutz A, Paukovics A, Kecskés G, Oláh A. Successful treatment of mediastinal pancreatic pseudocyst by pancreatic head resection. JOP 2008; 9: 346–9. [PMID: 18469452]
14. Libby ED, Taylor J, Mysh D, Schwaitzberg SD. Combined Laparoendoscopic Cystgastrostomy. Gastrointest. Endosc 1999; 50: 416–419. [PMID: 10462669]
15. Monteban-Kooistra WE, Meertens JHJM, van der Werf TS. Mediastinal mass. Neth J Med 2005; 63: 407- 417. [PMID: 16301762]
16. Obuszko Z, Beggs D. Dysphagia due to pancreatic pseudocyst with mediastinal extension. Eur J Cardiothorac Surg 1998; 13: 316–8. [PMID: 9628385]
17. Lillemoe KJW. Hepatobiliary and Pancreatic Surgery. Philadeplphia: Lippincott Williams and Wilkins 2013. [ISBN: 978-1608311729]
18. Aghdassi AA, Mayerle J, Kraft M, Sielenkaemper AW, Heidecke CD, Lerch MM. Pancreatic pseudocysts--when and how to treat? HPB (Oxford) 2006; 8: 432–41. [PMID: 18333098]
19. Heider R, Meyer AA, Galanko JA, Behrns KE. Percutaneous drainage of pancreatic pseudocysts is associated with a higher failure rate than surgical treatment in unselected patients. Ann Surg 1999; 229, 781–7; discussion 787–9. [PMID: 10363891]
20. Cooperman AM. Surgical treatment of pancreatic pseudocysts. Surg Clin North Am 2001; 81: 411–9. [PMID: 11392428]
21. Libera ED, Siqueira ES, Morais M, Rohr MRS, Brant CQ, Ardengh JC et al. Pancreatic pseudocysts transpapillary and transmural drainage. HPB Surg 2000; 11: 333–338. [PMID: 10674749]
22. Mallavarapu R, Habib TH, Elton EGM. Resolution of Mediastinal Pancreatic Pseudocysts with Transpapillary Stent Placement. Gastrointest Endosc 2001; 53: 367–370. [PMID: 11231406]
23. Anderson MA, Fisher L, Jain R, Evans JA, Appalaneni V, Ben-Menachem T et al. Complications of ERCP. Gastrointest Endosc 2012; 75: 467–73. [PMID: 22341094]
24. Jacobson BC, Adler DG, Davila RE, Hirota WK, Leighton JA, Qureshi WA et al. ASGE guideline: complications of EUS. Gastrointest Endosc 2005; 61: 8–12. [PMID: 15672049]