CASE REPORT
JOP. J Pancreas (Online) 2015 Jan 31; 16(1):81-84.
Somatostatinoma of the Minor Papilla Treated by Local Excision in a Patient with Neurofibromatosis Type 1
Ramesh Bhandari1, Georgina Riddiough1, Julie Lokan2, Laurence Weinberg3, Marios Efthymiou4, Mehrdad Nikfarjam1
Departments of 1Surgery, 2Pathology, 3Anaesthesia and 4Gastroenterology, University of Melbourne, Austin Health. Heidelberg, Melbourne, Victoria, Australia
ABSTRACT
Context Somatostatinoma arising from the minor papilla in a patient with neurofibromatosis type 1 (NF1) is a known but very rare condition, which may cause non-specific symptoms and can present because of its mass effect. Case report A fifty-year-old female presenting with ongoing non-specific abdominal pain for a few months duration was found to have a mass involving the minor papilla. She had a history of NF1 but was otherwise well. Magnetic resonance imaging showed a dilated pancreatic duct and the finding of pancreatic divisum. The lesion was 18fluorine-fluoro-2-deoxyglucose positron emission tomography/computed tomography and 68gallium (Ga) DOTATATE negative. Endoscopic ultrasound revealed a 1.7 cm lesion confined to the minor ampulla. Endoscopic retrograde pancreatography attempts with biopsy and endoscopic ultrasound fine needle aspiration biopsy were inconclusive and resulted in mild pancreatitis on two occasions. Open local excision of the minor papilla was undertaken without complications. Histology confirmed a completely excised grade 1 neuroendocrine tumor with intense diffuse somatostatin staining. Conclusion Somatostatinoma of the minor papilla is a rare tumor that most commonly occurs in the setting of NF1 and may be amenable to local excision.
INTRODUCTION
Somatostatinoma represents a type of neuroendocrine tumor arising from the somatostatin secreting D cells, found predominantly in the pancreas and scattered throughout the gastrointestinal tract [1, 2]. Somatostatin functions as an inhibitor hormone to many other hormones. Excessive secretion of somatostatin, leads to an inhibitory syndrome which comprises multiple symptoms [3]. The majority of somatostatinomas arising in the duodenum and ampullary region are non-functioning and symptoms are usually due to mass effects [4, 5]. In contrast to its pancreatic counterpart, duodenal somatostatinoma has been found to be associated with neurofibromatosis type 1 (NF1) and they very rarely metastasize [4, 5]. Few case reports of somatostatinomas of minor and major papilla in association with NF1 have been reported [6]. However, most of them were treated by pancreaticoduodenectomy [7, 8]. We report a case of a patient with known NF1 who was found to have a somatostatinoma of the minor papilla treated by local excision.
CASE REPORT
A fifty-year-old female with NF1 presented with several months of persistent non-specific abdominal pain. She had no significant past medical history and her symptoms and laboratory tests failed to identify a specific cause for her pain. Contrast enhanced computed tomography (CT) imaging showed a prominent pancreatic duct and a prominent minor duodenal papilla, without a pancreatic mass. Magnetic resonance cholangiopancreatography further confirmed a grossly dilated pancreatic duct, pancreas divisum, and a suggestion of a mass at the level of the minor papilla (Figure 1). Endoscopic ultrasound (EUS) confirmed a 1.7 cm tumor confined to the minor papilla. Fine needle aspiration biopsy was non-diagnostic. Endoscopic retrograde pancreatography further confirmed an obstructing mass, but biopsy results were inconclusive. Repeat endoscopic retrograde pancreatography was undertaken, with further biopsies, but the results were once again non-diagnostic. Mild pancreatitis requiring hospitalization occurred following biopsy attempts. She underwent further imaging in the form of 18fluorine-fluoro-2-deoxyglucose positron emission tomography/computed tomography (18F-FDG-PET/CT and 68gallium (Ga) DOTATATE PET, both of which were negative. Blood tests including chromogranin A were normal.

|
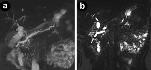
Figure 1. Magnetic resonance imaging showing a diffusely dilated pancreatic duct (a.) from the level of the minor papilla with the finding of pancreatic divisum. (b.) Impression of a mass (arrow) at the minor papilla can be seen. |
Surgical resection to locally excise the mass was then performed via a midline laparotomy. The duodenum was completely kocherized and longitudinal duodenotomy was made on the anti-mesenteric border of the second part of duodenum and the tumor identified (Figure 2). A cholecystectomy was undertaken and a catheter was introduced via the cystic duct into the bile duct and through the major papilla as a surgical guide. Resection margins were marked with cautery and the minor papilla was then resected using a needle-point diathermy. The pancreatic duct was anastomosed to the duodenum using interrupted 5/0 absorbable monofilament sutures (Figure 2). A small soft pancreatic stent was placed across the anastomosis. The duodenotomy was closed transversely in two layers. A limited peri-pancreatic lymph node dissection was undertaken. On histology (Figures 3 and 4) the papilla was expanded by a relatively circumscribed, tumor which obliterated the duct. The tumor was composed of tubules and cribriform islands of bland cuboidal cells with low mitotic activity, and demonstrating diffuse cytoplasmic labelling with both neuroendocrine markers and somatostatin on immunohistochemistry. There were scattered psammomatous calcifications, a characteristic feature of this tumor. Ki67 labelling index was <2%. The findings were consistent with a completely excised grade 1 neuroendocrine tumor. There was no evidence of metastases in three peri-pancreatic nodes examined.

|
Figure 2. a. Tumor at the level of the minor papilla demonstrated after a duodenotomy. A catheter has been placed via the cystic duct through the major papilla to avoid inadvertent injury during resection of the tumor. b. Pancreatic duct reconstruction following complete tumor excision. |

|
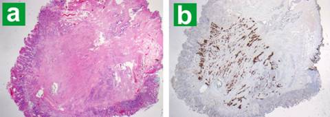
Figure 3. a. Low power (x20) Hematoxylin and Eosin -stained section of minor papilla expanded and obliterated by tumor. b. Tumor is highlighted with synaptophysin immunohistochemistry (x20), well clear of the resection margin. |

|
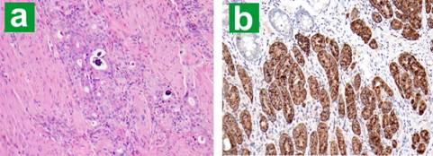
Figure 4. a. Neoplastic tubules with scattered psammomatous calcifications (Hematoxylin and Eosin, x200). b. Somatostatin immunohistochemistry strongly stains tumor cell cytoplasm, in contrast to negative benign glands in the duodenal mucosa. |
The patient made a complete recovery and was discharged home day 6 post surgery. The patient was well and without any abdominal discomfort at 6 months follow-up
DISCUSSION
Somatostatinomas are rare endocrine tumors comprising about 1% of the gastrointestinal and pancreatic endocrine tumors [3]. These tumors arise from the D cells present in pancreas, duodenum and other parts of the gastrointestinal tract [1, 2]. Overall, sporadic presentation (93%) is a more frequent occurrence than in the setting of familial syndromes like NF1, multiple endocrine neoplasia type 1 and Von Hippel-Lindau syndromes [9-12]. They occur in the pancreas in approximately 70% of cases, with only 3% involving the ampulla of Vater [9-12]. The majority of somatostatinomas involving the ampulla of Vater occur in the setting of NF1 [3, 9, 12]. Estimated annual incidence of somatostatinomas is 1 in 40 million and with mean age of approximately 50 years and with equal gender predilection [13]. NF1, also known as Von Recklinghausen’s disease, is an autosomal dominant disorder with variable penetrance and a frequency of 1 in 3,000 births [14]. Different tumors with neurogenic or neuroendocrine origin are associated with this condition. Periampullary neurofibromas and endocrine tumors are increasingly recognized in cases of NF1. A review performed by Kontovounisios et al. in 2010 reported at least 8 case reports of somatostatinomas arising from the ampulla of Vater in patients with NF1, which also included one arising from a minor papilla [3]. Peri-ampullary somatostatinomas appear to be for more common in NF1 patients than non-familial cases. Three different types of gastrointestinal lesions have been described in around 25% of patients affected with NF1 and these include hyperplasia of gut neural tissue affecting gut motility, duodenal and periampullary endocrine tumors and gastrointestinal stromal tumors [15-18].
Somatostatin is a cyclic peptide that inhibits secretion of multiple hormones, which also includes insulin, glucagon, growth hormone, gastrin, cholecystokinin, vasoactive intestinal peptide and secretin [3]. The generalized inhibition of these hormones forms the basis of an inhibitory syndrome that classically comprises gallstone formation, diabetes mellitus, steatorrhoea, weight loss and hypochlorhydria/achlorhydria [3]. However, only a small proportion of the patients with somatostatinomas present with these classical symptoms. In 1985 Malone et al. first described a case report of a functioning somatostatinoma arising from the minor duodenal papilla and presenting with systemic neuroendocrine symptoms [19]. More commonly they are asymptomatic or have non-specific symptoms attributable to local mass effect. This makes preoperative diagnosis of these uncommon tumors very difficult unless there is high index of suspicion [7]. It is uncertain in our patient whether some of the patient’s symptoms could be attributed to somatostatin excretion rather than simply pancreatic duct obstruction.
In our patient, CT and MRI imaging localized the tumor to the duodenum, guided by the detection of pancreatic duct dilatation. EUS clearly delineated the lesion confined to the minor papilla and showed no tumor infiltration into surrounding structures to suggest malignancy. It ascertained that the tumor could be locally excised. Endoscopic excision was not undertaken because of the history of recurrent intervention-associated pancreatitis. To further characterize the tumor and determine the best operative approach, further imaging was undertaken. Interestingly, both FDG PET/CT scan and Ga-DOTATATE PET/CT scan were negative in this patient. Generally, somatostatin receptor scintigraphy using radiolabeled octreotide (Octreoscan) has been found to be very sensitive for detecting neuroendocrine tumors including somatostatinomas [20]. More recently, it has been recognized that 68Ga-DOTATATE PET/CT scan is more sensitive and provides incremental diagnostic information compared to Octreoscan, MIBG scintigraphy and conventional imaging [21]. The reported sensitivity is between 80-90% for 68Ga-DOTATATE PET/CT scan and 66% for 18F-FDG PET/CT scan. The sensitivity of combined 68Ga-DOTATATE and 18F-FDG PET/CT scan is approximately 92% [22].
The mainstay of treatment for gastrointestinal somatostatinoma is resection [23, 24]. Extra pancreatic somatostatinomas are usually smaller in size and have been found to be associated with less malignant potential [4, 5]. Pancreaticoduodenectomy is the most commonly performed procedure for somatostatinomas of the pancreatic head region, which is the commonest location of these tumors in the pancreas. Local resection of pancreatic and peri-ampullary somatostatinomas has however been described [3, 7, 8, 14, 25]. Small ampullary somatostatinomas generally have low malignant potential, with local resection being an appropriate treatment option. Lesions more than 2 cm are more likely to behave aggressively, with radical resection advocated [6, 25, 26]. Surgical debulking has also been well described even for metastatic tumors. After resection, five-year survival for patients without metastasis approaches 100%, whereas it is 30-60% when metastatic disease is present [3].
CONCLUSION
In conclusion, somatostatinoma of the minor papilla is a rare tumor that most commonly occurs in the setting of NF1. It may produce symptoms due to local effects or hormone secretion. Full assessment by imaging and endoscopy should be undertaken and local resection considered in preference to pancreaticoduodenectomy when possible for small lesions with low malignant potential.
Received November 23rd, 2014 – Accepted December 30th, 2014
Key words Mastectomy, Segmental; Neuroendocrine Tumors; Neurofibromatoses; Pancreatic Ducts
Conflict of Interest Authors declare to have no conflict of interest
Correspondence Mehrdad Nikfarjam
University Department of Surgery
Austin Health, LTB 8
Studley Rd, Heidelberg
Melbourne
Victoria 3084
Australia
Phone: +613-9496.5466
Fax: +613-9458.1650
E-mail: mehrdad.nikfarjam@gmail.com
References
1. Ganda OP, Weir GC, Soeldner JS et al. ‘Somatostatinoma’: a somatostatin-containing tumor of the endocrine pancreas. N Engl J Med1977; 296: 963-967. [PMID: 321960]
2. Kaneko H, Yanaihara N, Ito S et al. Somatostatinoma of the duodenum. Cancer 1979; 44: 2273-2279. [PMID: 509396]
3. Kontovounisios C, Korontzi M, Zahariodakis C et al. Duodenal Somatostatinoma: Case report and review article. Hellenic Journal of Surgery 2010; 82: 261-268.
4. Soga J, Yakuwa Y. Somatostatinoma/inhibitory syndrome: a statistical evaluation of 173 reported cases as compared to other pancreatic endocrinomas. J Exp Clin Cancer Res 1999; 18: 13. [PMID: 10374671]
5. Mao C, Shah A, Hanson DJ, Howard JM. Von Recklinghausen’s disease associated with duodenal Somatostatinoma: contrast of duodenal versus pancreatic Somatostatinomas. J Surg Oncol 1995; 59: 67. [PMID: 7745981]
6. Francisco GB, Fabregat J, Jorba R et al. Exocrine pancreatic insufficiency caused by a Somatostatinoma of the minor and major duodenal papilla in a patient with neurofibromatosis. Eur J Surg 2001; 167: 154-156. [PMID: 11266260]
7. House MG, Yeo CJ, Schulik RD. Periamullary pancreatic Somatostatinoma. Annals of Surgical Oncology 2002; 9: 869-874. [PMID: 12417508]
8. Stommer PE, Stolte M, Seifert E. Somatostatinoma of vater’s papilla and of the minor papilla. Cancer 1987; 60: 232-235. [PMID: 2885079]
9. Kainuma O, Ito Y, Taniguchi T et al. Ampullary somatostatinoma in a patient with von Recklinghausen’s disease. J. Gastroenterol 1996; 31: 460–464. [PMID: 8726843]
10. Karasawa Y, Sakaguchi M, Minami S et al. Duodenal somatostatinoma and erythrocytosis in a patient with von Hippel-Lindau disease type 2. Intern Med 2001; 40: 38–43. [PMID: 11201368]
11. Tomassetti P, Migliori M, Lalli S, Campana D, Tomassetti V, Corinaldesi R. Epidemiology, clinical features and diagnosis of gastroenteropancreatic endocrine tumors. Ann Oncol 2001; 12 (Suppl. 2): S95–99. [PMID: 11762360]
12. Usui M, Matsuda S, Suzuki H, Hirata K, Ogura Y, Shiraishi T. Somatostatinoma of the papilla of Vater with multiple gastrointestinal stromal tumors in a patient with von Recklinghausen’s disease. J Gastroenterol 2002; 37: 947–953. [PMID: 12483251]
13. Jensen RT, Norton JA. Endocrine tumors of the pancreas. In: Sleisinger MH, Fordtran JS, eds. Gastrointestinal Disease: Pathophysiology/Diagnosis/Management. Philadelphia, PA: W.B. Saunders Co, 1993; 1695–1721.
14. Bettini R, Falconi M, Crippa S, Capelli P, Boninsegna L, Pederzoli P. Ampullary Somatostatinomas and jejunal gastrointestinal stromal tumor in a patient with Von Recklinghausen’s disease. World J Gastroenterol 2007; 13: 2761-2763. [PMID: 17569151]
15. Behranwala KA, Spalding D, Wotherspoon A, Fisher C, Thompson JN. Small bowel gastrointestinal stromal tumors and ampullary cancer in Type 1 neurofibromatosis. World J Surg Oncol 2004; 2: 1. [PMID: 14711379]
16. Fuller CE, Williams GT. Gastrointestinal manifestations of type 1 neurofibromatosis (von Recklinghausen's disease). Histopathology 1991; 19: 1-11. [PMID: 1916682]
17. Griffiths DF, Williams GT, Williams ED. Duodenal carcinoid tumors, phaeochromocytoma and neurofibromatosis: islet cell tumor, phaeochromocytoma and the von Hippel-Lindau complex: two distinctive neuroendocrine syndromes. Q J Med 1987; 64: 769-782. [PMID: 2897130]
18. Pinsk I, Dukhno O, Ovnat A, Levy I. Gastrointestinal complications of von Recklinghausen's disease: two case reports and a review of the literature. Scand J Gastroenterol 2003; 38: 1275-1278. [PMID: 14750649]
19. Malone MJ, Silverman ML, Braasch JW, Jin G, Dayal Y. Early Somatostatinoma of the duct of Santorini. Arch Surg 1985; 120: 1381-1383. [PMID: 2865941]
20. Angeletti S, Corleto VD, Schillaci O, et al. Use of somatostatin analogue octreotide to localize and manage somatostatin-producing tumors. Gut 1998; 42: 792. [PMID: 9691916]
21. Mojtahedi A, Thamake S, Tworoska I, Rangnathan D, Delpassand ES. The value of 68Ga-DOTATE PET/CT in diagnosis and management of neuroendocrine tumors compared to current FDA approved imaging modalities: a review of literature. Am J Nucl Med Mol Imaging 2014; 4: 426-434. [PMID: 25143861]
22. Kayani I, Bomanji JB, Groves A, et al. Functional imaging of neuroendocrine tumors with combined PET/CT using 68Ga- DOTATATE (DOTA-DPhe1, Tyr3-octreotate) and 18F-FDG. Cancer 2008; 112: 2447-2455. [PMID: 18383518]
23. Azimuddin K, Chamberlain RS. The surgical management of pancreatic neuroendocrine tumors. Surg. Clin. North Am. 2001; 81: 511–525. [PMID: 21922354]
24. Sato T, Konishi K, Kimura H et al. Strategy for pancreatic endocrine tumors. Hepatogastroenterology 2000; 47: 537–539. [PMID: 10791232]
25. Frick JE, Kralstein JR, Scarlato M. Somatostatinoma of the ampulla of vater in celiac sprue. J Gastrointest Surg 2000; 4: 388-391. [PMID: 11058857]
26. Madeira I, Terris B, Voss M et al. Prognostic factors in patients with endocrine tumors of the duodenopancreatic area. Gut 1998; 43: 422–427. [PMID: 9863490]