SHORT COMMUNICATION
JOP. J Pancreas (Online) 2015 Jan 31; 16(1):85-89.
Arterial Pseudoaneurysms Following Hepato-pancreato-biliary Surgery: A Single Center Experience
Benedetto Ielpo, Riccardo Caruso, Antonio Prestera, Giuseppe Massimiano De Luca, Hipolito Duran, Eduardo Diaz, Isabel Fabra, Sergio Olivares, Yolanda Quijano, Emilio Vicente
Department of General Surgery, Madrid Norte Sanchinarro San Pablo University Hospital. Madrid, Spain
ABSTRACT
Context Arterial pseudoaneurysm is an uncommon lethal complication following hepato-pancreato-biliary surgery. Objective Aim of this study is to present and discuss the experience of a high volume oncological center. Methods Since 2007 all major surgeries performed at Sanchinarro Oncological Center have been included in a prospective database looking for postoperative arterial pseudoaneurysm. Results Until June 2014, among 559 hepato-pancreato-biliary procedures, a total of 14 arterial pseudoaneurysms have been identified (2.5%). Sentinel bleeding was in 57% of cases. Failed arterial embolization occurred in 2 cases. Overall mortality rate was 28.5%. We also identified 3 asymptomatic pseudoaneurysms, one of them managed without embolization, developing a sudden bleeding and died after surgery. Conclusions According to our experience, pseudoaneurysm incidence is higher than reported in current literature and it can be successfully managed through arterial embolization. Furthermore, we found 3 asymptomatic pseudoaneurysms, whose management is still controversial.
INTRODUCTION
Hepato-pancreato-biliary (HPB) surgery is still characterized by a high morbidity and mortality rate. With an incidence that ranges between 2% and 8%, bleeding represents one of the most serious complications after this type of surgery and is associated with high mortality rate [1, 2].
Arterial pseudoaneurysm is a relatively rare cause of late post-operative bleeding with mortality rate up to 50%. Its early identification and management is challenging and, if not appropriate, the outcome can be fatal.
It is well known that in haemodynamic stability, CT scan and angiography provide an accurate diagnosis and treatment by embolization or stenting of the involved arteries On the other hand, in case of non-stability, an immediate surgical intervention is deemed necessary [2].
In the last decade there has been an increasing number of reports of arterial pseudoaneurysm in literature and most of the time related to extended HPB resection with lymphadenectomy and intra-abdominal sepsis [3]. Given this data, the incidence of arterial pseudoaneurysm in a HPB oncological center is expected to be high.
The present series describes our single center experience with arterial pseudoaneurysm after HPB surgery.
MATERIALS AND METHODS
Since March 2007 until June 2014, all patients who underwent major HPB surgery at Sanchinarro Oncological University Hospital were included in a prospective database.
Our center performs a mean of 70 and 40 pancreatic and liver resections per year, respectively.
Patients with arterial pseudoaneurysms were identified looking for its main characteristics, management and outcome up to 90 days after surgery. In particular data related with artery pseudoaneurysm location, type of presentation, and time of onset and if it occurred in a complicated pancreatic or biliary fistula situation, were recorded.
We define the following parameters:
“Sentinel” bleeding: It was defined as discrete but evident blood loss via abdominal drains or nasogastric tubes, hematemesis, or melena; decrease of hemoglobin concentration of 1.5 g/dL; spontaneous cessation of hemorrhage without any treatment. According to the time of onset, bleeding occurring within the fifth postoperative day was named “early,” while after the sixth postoperative day it was defined as “late”.
Pancreatic fistula: It was defined according to the International Study Group for Pancreatic Fistula (ISGPF) classification [4]. Routine measurement of amylase in abdominal drain after pancreatic resection was performed on second day and every 2-3 days after surgery depending on fistula evolution.
Biliary fistula: Biliary leakage was defined as the persistent presence of bile coming from the drainage tube placed at the surgery.
We define our hospital current practice:
Pseudoaneurysm radiological identification: As most of our patients are included in prospective oncological trials, abdominal CT scan with arterial and venous phase was performed between the 7th and 10th post-operative day whenever an extended HPB resection was performed as well as in all cases with mild hemorrhage or pancreatic/biliary fistula.
In order to treat, abdominal angiography was performed in case of a previous pseudoaneurysm identified with CT scan.
Abdominal angiography was performed also in case of severe bleeding with successful maintenance of hemodynamic stability by fluids, transfusion with packed red blood cells, and fresh frozen plasma.
Vascular access for interventional embolization was achieved by puncturing the common femoral artery. Afterward the catheter was advanced in the visceral aortic branches. Embolization was performed using a coaxial technique and microcoils, thereby embolizing the proven or assumed site of hemorrhage.
Embolization of the involved artery was performed proximally and distally to the pseudoaneurysm.
Immediate surgery: Surgery was planned when an acute life-threatening hemodynamic deterioration was occurring or when critical hemodynamic instability with continuing requirement of packed red blood cells along 8-12 hours without evidence for the bleeding source by CT scan/angiography/ endoscopy.
Surgery was also planned for failed embolization of the bleeding vessel as well as to treat the underlying pathology like abscesses or haematomas even if bleeding was controlled by embolization.
RESULTS
A total of 559 major HPB surgeries have been performed at our center, including 256 pancreatic resections, 212 liver resections and 91 biliary resections. Oncological surgeries represent the 85% of all procedures. The overall prevalence of pseudoaneurysms is 2.5% (n =14). The main characteristics of the patients are summarized in Table 1. Arterial pseudoaneurysms have been identified in the post-operative period of 11 pancreatectomies (3 duodenocephalic pancreatectomies, 6 distal pancreatectomies, 1 total pancreatectomies and 1 enucleation), 2 liver resections and one complex cholecystectomy with distal biliary tract resection. Two arterial pseudoaneurysms where identified in the right hepatic artery, 2 in the proper hepatic artery, 1 in the common hepatic artery, 1 in the left gastric artery, 5 in the splenic artery (Figure 1), 2 in the gastro-duodenal artery and 1 in the pancreaticoduodenal artery. Sentinel bleeding occurred in 8 cases (57%) and the overall mean time of pseudoaneurysm identification from the surgery was 12 days (range: 6-28 days). In all cases the time of onset was late. In only two cases the diagnosis was made directly by angiography. In our series we gathered 3 arterial asymptomatic pseudoaneurysms early identified with a routine CT scan (2 splenic artery and 1 gastroduodenal artery) performed at 7th day after surgery (Table 1). Two cases of them where after distal pancreatectomy for malignant tumors with extended lymphadenectomy (splenic pancreatic arteries); whereas the other case occurred after liver/biliary resection for hilar cholangiocarcinoma (gastroduodenal artery). A strict follow up was adopted in the first case (splenic artery, Case #1) resulting in severe hemoperitoneum and was treated with immediate surgery, which consisted of arterial ligation. The patient died at 5th post operative day due to multi organ failure syndrome (MOFS). The remaining two cases (Cases #2 and #3) have been treated successfully with embolization with a prophylactic intent and no further complications have been found in these patients. As showed in Table 1 pseudoaneurysm raised in a context of pancreatic or biliary fistula in the 71% of cases (n=10). Successfully arterial embolization was performed in all the cases but two requiring laparotomy with ligation of the artery (Table 1).
Table 1. Mortality rate related directly to arterial pseudoaneurysm.
|
Case No. |
Previous surgical procedure |
Artery location |
Sentinel bleeding |
Onset time |
Diagnosis |
Post-operative complication |
Haemodinamic stability |
Management |
Outcome up to 90 days |
|
#1 |
Distal pancreatectomy |
SA |
No |
8 |
CT scan |
Pancreatic fistula |
Yes |
None |
Died |
|
#2 |
Right hepatectomy with biliary resection |
GD |
No |
7 |
CT scan |
Biliary fistula |
Yes |
Embolization |
Alive |
|
#3 |
Distal pancreatectomy |
SA |
No |
7 |
CT scan |
Pancreatic fistula |
Yes |
Embolization |
Alive |
|
#4 |
Duodenocephalic pancreatectomy |
LG |
Yes |
13 |
CT
scan |
Biliary fistula |
No |
Embolization |
Alive |
|
#5 |
Distal pancreatectomy |
SA |
Yes |
11 |
CT
scan |
Pancreatic fistula |
No |
Embolization |
Alive Splenic abscess |
|
#6 |
Total pancreatectomy |
HA |
Yes |
16 |
CT
scan |
None |
Yes |
Embolization |
Hepatic failure Died |
|
#7 |
Cholecystectomy, biliary resection |
RH |
No |
9 |
CT
scan |
Biliary fistula |
Yes |
Failed
embolization |
Hepatic failure Died |
|
#8 |
Central hepatectomy |
RH |
Yes |
10 |
Arteriography |
None |
Yes |
Embolization |
Hepatic
failure |
|
#9 |
Pancreatic enucleation |
SA |
Yes |
15 |
CT
scan |
Pancreatic fistula |
Yes |
Embolization |
Alive |
|
#10 |
Distal pancreatectomy |
PD |
Yes |
9 |
Arteriography |
Pancreatic fistula |
Yes |
Surgery |
Alive |
|
#11 |
Distal pancreatectomy |
GD |
Yes |
10 |
CT scan |
Pancreatic fistula |
Yes |
Failed
embolization |
Alive |
|
#12 |
Duodenocephalic pancreatectomy |
SA |
Yes |
17 |
Intraoperative |
Pancreatic fistula |
No |
Surgery |
Alive |
|
#13 |
Duodenocephalic pancreatectomy |
HA |
No |
28 |
CT
scan |
None |
No |
Surgery |
Alive |
|
#14 |
Distal pancreatectomy |
CH |
No |
14 |
Intraoperative |
None |
No |
Surgery |
Died |
CH: common hepatic artery; GD: gastroduodenal artery; HA: proper hepatic artery; LG: left gastric artery; PD: pancreaticoduodenal artery; RH: right hepatic artery; SA: splenic artery

|
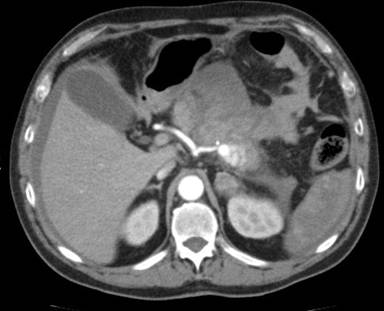
Figure 1. CT scan with arterial phase with a bleeding pseudoaneurysm. |
Mortality rate related directly to arterial pseudoaneurysm was 28.5% (n=4) as showed in Table 1. Two of them occurred for liver failure after arterial embolization.
Case #5 with pseudoaneurysm arising from splenic artery, experienced spleen abscesses after embolization (Figure 1). It was managed successfully only with conservative treatment (Table 1).
One patient treated with right hepatic artery embolization (Case #8) developed only a moderate liver insufficiency and was discharged on the 26th post embolization day.
DISCUSSION
Arterial pseudoaneurysms are uncommon but potentially lethal complications that can arise in a number of different clinical settings such as hepatic trauma, HPB procedures like percutaneous liver biopsy, cholecystectomy, pancreaticoduodenectomy, hepatic resection and liver transplantation as well as in pancreatitis [1-3]. The distribution of involved arteries is usually related to a specific pathology, such as splenic artery pseudoaneurysm is mainly related to pancreatitis and extended pancreatic resection. Hepatic artery pseudoaneurysm by contrast is usually iatrogenic after liver resection and liver transplantation [5]. Pseudoaneurysm of the right hepatic artery and cystic artery usually arises as a complication of laparoscopic cholecystectomy; clip encroachments, mechanical or thermal injury during the procedure are likely to be precipitating factors. Pseudoaneurysm formation may also occur as a result of an anastomotic leak of the pancreaticojejunostomy and hepatic-jejunostomy [6, 7]. It is thought that pancreatic juice causes enzymatic degradation of the adjacent arterial wall, with weakness and rupture leading to pseudoaneurysm formation [8-10]. Another potential cause of its formation is the oncological skeletonization of arteries during the pancreatobiliary surgery. Furthermore, given the newly improved neoadjuvant treatment results, nowadays, there is an increased number of oncologically extended HPB procedures [11]. This is especially true for locally advanced pancreatic malignancies as well as liver cholangiocarcinomas where a more aggressive surgical approach is generally adopted, including radical lymphadenectomy and simultaneous artery resections
Given this data, arterial pseudoaneurysm incidence is supposed to be high in a HPB oncological center.
In fact, in our practice, pseudoaneurysm incidence is 2.5%, higher than it was thought to be. By contrast, latest literature reports incidences lower than 1.5% [3]. On the other hand, this complication may also be under reported.
As it was expected, in our series we found two important factors potentially related to pseudoaneurysm formation: pancreatic and biliary leak (71%) and oncological surgery with radical lymphadenectomy and arterial skeletonization (92.8%).
When a pseudoaneurysm occurs, it is frequently associated with significant mortality that according to literature ranges from 0 to 60% [3] and in our experience is 28.5%. Therefore, the surgeon must be adequately prepared to face this potentially lethal complication looking for the best treatment. Similarly to our findings, in the literature, splenic, gastroduodenal and pancreaticoduodenal arteries are the most commonly involved vessels (Table 1) [12]. A pseudoaneurysm may debut with bleeding in the gastrointestinal tract, in the peritoneal cavity or in the biliary tract. In a recent review it is stated that intra-abdominal bleeding is the most common presentation but, most of the time it occurs after a moderate previous gastrointestinal bleeding, named “sentinel bleeding”, a warning sign of a potential imminent and massive hemorrhage secondary to its rupture that occurs in 50-90% of the cases [13-15]. Our series confirms that sentinel bleeding precedes pseudoaneurysm rupture in 50% of the cases. Given this data, most of the surgeons agree that the identification of sentinel bleeding needs specific radiological techniques (CT scan with arterial phase or angiography) to rule out the presence of pseudoaneurysm in a haemodynamically stable setting, a situation where initial control of bleeding may be achieved conservatively thought radiological percutaneous intervention (embolization or stenting) [16]. However, the time of pseudoaneurysm formation and its manifestation (sentinel or severe bleeding) is still unknown. It is well known that its manifestation occurs in the late post-operative period that according to literature ranges from 1 to 35 weeks [17, 18]; similarly, in our series, sentinel bleeding or severe hemorrhage mean onset time is almost 2 weeks.
Our experience confirms the high success rates of embolization reported also by other authors (> 60%) [3]. Therefore, it should be the first line treatment.
Performing routinary CT scan with arterial and venous phase after extended HPB surgeries, we found 3 cases of arterial pseudoaneurysms (Cases #1, #2 and #3 of Table 1) without any clinical sign, defined as “asymptomatic pseudoaneurysm”. This entity has not been described yet in literature and its management is unclear.
Analyzing the outcome of these 3 patients, all cases except one occurred after pancreatic procedures and were identified before the 8th post-operative day. We decided not to treat the first case as we considered it not advantageous and only a strict follow up was established looking for potential sentinel bleeding. Unfortunately, on the 18th postoperative day the patient suffered a severe bleeding in the peritoneal cavity, requiring an immediate surgery with arterial ligation and hematoma evacuation. The patient finally died 5 days later due to MOFS, probably related to multi blood transfusion. On the basis of this latter experience we decided to treat the following 2 cases by embolizing the gastroduodenal and splenic artery respectively. Neither showed further bleeding nor any morbidity related to embolization. Obviously this personal experience cannot lead us to state strong conclusions, but should serve to further reflect upon this situation.
From our point of view, we believe that the “asymptomatic pseudoaneurysm” in the future could probably become more and more common in HPB practice. This may occur because of the high pseudoaneurysm incidence described in an oncological center and also because the improved sensitivity of current multi-slice CT scan that allows identification of any vascular complication.
Despite our current practice of performing routinary abdominal CT scan, including arterial phase, after extended oncological HPB resections, we cannot recommend generalize this practice However, we underline that whenever it is required after these procedures to look for other reasons (abscess, pancreatic or biliary fistula, etc…), it is important to check the arterial phase, in order to rule out the presence of a pseudoaneurysm. If a pseudoaneurysm is identified in this situation, its treatment should be taken into account.
According to our experience, we suggest treating pseudoaneurysms whenever the involved artery has an easy access by radiological approach and whenever it is located distal to the common hepatic artery, in which case there is a lower incidence rate of visceral ischaemia [18]. In our experience, a case of proper hepatic artery and right hepatic artery embolization suffered severe liver failure and they finally died. In this last case, an arterial stent placement is thought to be an alternative radiological treatment for pseudoaneurysm. It has the advantage of allowing continued flow through the feeding vessel, particularly important for the common hepatic artery and superior mesenteric artery in an attempt to avoid end organ ischaemia [19]. However, the outcomes of this procedure are showed only in small case series, where important early (arterial disrupting) and late (thrombosis and infection) complications are reported [20]. For this reason, we do not suggest the preventive treatment of asymptomatic arterial pseudoaneurysm in this localization. Furthermore, we suggest a prophylactic “asymptomatic pseudoaneurysm” treatment whenever its formation occurs in a pancreatic or biliary fistula set, which represents a further risk factor of disrupting, as it occurred in patient 1 (Table 1). Finally, analyzing our series, we see that although 2 patients were initially haemodinamically unstable (moderate stability was achieved with i.v. fluids) (Cases #4 and #5 of Table 1), they underwent to the embolization before the definitive surgical evaluation. We believe that in these cases this strategy may reduce the postoperative morbidity and mortality that is especially high when the localization and ligation of the injured artery is particularly challenging for the surgeon. Subsequent surgery might be technically easier and faster, performed exclusively to treat underlying pathology, like evacuating abscesses, haematomas or to repair a pancreatic/biliary anastomosis leakage. This strategy may also reduce the re-bleeding incidence that occurs in a high percentage of cases after successful embolization (30%) mainly related to the underlying pathologies [3].
CONCLUSIONS
Incidence of arterial pseudoaneurysms in a high volume HPB oncological setting area is higher than literature reports. It can be successfully treated through arterial embolization. Nevertheless, its morbidity and mortality is high. We also describe a new entity named “asymptomatic pseudoaneurysm” which management has still to be ruled out.
Received October 27th, 2014 – Accepted November 17th, 2014
Key words Hepatectomy; Pancreatectomy; Uterine Artery Embolization
Abbreviations HPB: hepato-pancreato-biliary; MOFS: multi organ failure syndrome
Acknowledgements The authors thanks Luka Mihic, Pablo Ruiz and Isabel de Salas for their contribution
Conflict of Interest Authors declare to have no conflict of interest
Correspondence Benedetto Ielpo
General
Surgery Department
Calle Oña 10
28050 Madrid
Spain
Phone:
+34-917.567.800
Fax: +34-917.500.133
E-mail: ielpo.b@gmail.com
References
1. Yekebas EF, Wolfram L, Cataldegirmen G, Habermann CR et al. Postpancreatectomy hemorrhage: diagnosis and treatment: an analysis in 1669 consecutive pancreatic resections. Ann Surg. 2007 Aug;246(2):269-80. [PMID: 17667506]
2. Miura F, Asano T, Amano H, Yoshida M et al. Management of postoperative arterial hemorrhage after pancreato-biliary surgery according to the site of bleeding: re-laparotomy or interventional radiology. J Hepatobiliary Pancreat Surg. 2009;16(1):56-63. [PMID: 19110653]
3. Pang TC, Maher R, Gananadha S, Hugh TJ, Samra JS. Peripancreatic pseudoaneurysms: a management-based classification system. Surg Endosc. 2014 Jul;28(7):2027-38. [PMID: 24519028]
4. Bassi C, Dervenis C, Butturini G, et al. Postoperative pancreatic fistula: an international study group (ISGPF) definition. Surgery. 2005; 138; 8-13 [PMID: 16003309]
5. Flati G, Andren-Sandberg A, La Pinta M et al. Potentially fatal bleeding in acute pancreatitis: pathophysiology, prevention, and treatment. Pancreas 26(1):8–14. [PMID: 12499910]
6. Tessier DJ, Fowl RJ, Stone WM, McKusick MA et al. Iatrogenic hepatic artery pseudoaneurysms: an uncommon complication after hepatic, biliary, and pancreatic procedures. Ann Vasc Surg. 2003 Nov;17(6):663-9. [PMID: 14564553]
7. Sugimoto H, Kaneko T, Ishiguchi T, Takai K et al. Delayed rupture of a pseudoaneurysm following pancreatoduodenectomy: report of a case. Surg Today. 2001;31(10):932-5. [PMID: 11759894]
8. Bergert H, Hinterseher I, Kersting S, Leonhardt J, Bloomenthal A, Saeger HD. Management and outcome of hemorrhage due to arterial pseudoaneurysms in pancreatitis. Surgery. 2005 Mar; 137(3):323-8. [PMID: 15746787]
9. Fujii Y, Shimada H, Endo I, Yoshida K et al. Management of massive arterial hemorrhage after pancreatobiliary surgery: does embolotherapy contribute to successful outcome? J Gastrointest Surg. 2007 Apr;11(4):432-8. [PMID: 17436126]
10. Christensen T, Matsuoka L, Heestand G, Palmer S et al. Iatrogenic pseudoaneurysms of the extrahepatic arterial vasculature: management and outcome. HPB (Oxford). 2006;8(6):458-64. [PMID: 18333102]
11. Suzumura K, Kuroda N, Kosaka H, Iimuro Y et al. Delayed arterial hemorrhage after pancreaticoduodenectomy. Int Surg. 2014 Jul-Aug;99(4):432-7. [PMID: 25058779]
12. Loveček M, Havlík R, Köcher M, Vomáčková K et al. Pseudoaneurysm of the gastroduodenal artery following pancreatoduodenectomy. Stenting for hemorrhage. Wideochir Inne Tech Malo Inwazyjne. 2014 Jun;9(2):297-301. [PMID: 25097705]
13. Lee HG, Heo JS, Choi SH, Choi DW. Management of bleeding from pseudoaneurysms following pancreaticoduodenectomy. World J Gastroenterol. 2010 Mar 14;16(10):1239-44. [PMID: 2839177]
14. Lermite E, Regenet N, Tuech JJ, Pessaux P et al. Diagnosis and treatment of hemosuccus pancreaticus: development of endovascular management. Pancreas. 2007 Mar;34(2):229-32. [PMID: 17312462]
15. Treckmann J, Paul A, Sotiropoulos GC, Lang H et al. Sentinel bleeding after pancreaticoduodenectomy: a disregarded sign. J Gastrointest Surg. 2008 Feb;12(2):313-8. [PMID: 17952516]
16. Sato N, Yamaguchi K, Shimizu S et al Coil embolization of bleeding visceral pseudoaneurysms following pancreatectomy: the importance of early angiography. Arch Surg 133(10):1099–1102. [PMID: 9790208]
17. Tajima Y, Kuroki T, Tsutsumi R, Sakamoto I et al. Extrahepatic collaterals and liver damage in embolotherapy for ruptured hepatic artery pseudoaneurysm following hepatobiliary pancreatic surgery. World J Gastroenterol. 2007 Jan 21;13(3):408-13. [PMID: 17230610]
18. Noun R, Zeidan S, Tohme-Noun C, Smayra T et al. Biliary ischemia following embolization of a pseudoaneurysm after pancreaticoduodenectomy. JOP. 2006 Jul 10;7(4):427-31. [PMID: 16832142]
19. Kaw LL Jr, Saeed M, Brunson M, Delaria GA et al. Use of a stent graft for bleeding hepatic artery pseudoaneurysm following pancreaticoduodenectomy. Asian J Surg. 2006 Oct;29(4):283-6. [PMID: 17098663]
20. Radeleff B, Noeldge G, Heye T, Schlieter M et al. Pseudoaneurysms of the common hepatic artery following pancreaticoduodenectomy: successful emergency embolization. Cardiovasc Intervent Radiol. 2007 Jan-Feb;30(1):129-32. [PMID: 16933158]