CASE REPORT
JOP. J Pancreas (Online) 2015 Mar 20; 16(2):192-194.
Acute Pancreatitis as Initial Presentation of Cocaine-Induced Vasculitis: A Case Report
Ayorinde Ogunbameru, Mohammed Jandali, Amer Issa, Waleed Quwatli, Timothy Woodlock, Wajid Choudhry
Department of Internal Medicine, Unity Health System. Rochester, NY, USA
ABSTRACT
Context Levamisole-contaminated cocaine is an increasingly reported cause of vasculitis and immunologic abnormalities in cocaine abusers. The systemic effects of vasculitis are commonly seen in the dermatologic, hematologic and renal systems but rarely the gastrointestinal system. Case report We present an atypical case of cocaine-induced vasculitis presenting initially as an acute pancreatitis and then rapidly progressing to involve multi-organ systems over the next couple of weeks. Conclusion Internists should recognize that acute pancreatitis can present as an atypical and rare initial systemic manifestation of cocaine-induced vasculitis.
INTRODUCTION
Acute pancreatitis as an initial presentation of Wegener’s granulomatosis has been cited in only a few case reports. Since this presentation is rare, the diagnostic process is difficult and sometimes may lead to fatal outcomes [1].
Levamisole-contaminated cocaine is an increasingly reported cause of vasculitis and approximately 70% of cocaine in the United States is said to be contaminated with levamisole [2].
Levamisole contaminated cocaine has been known to cause agranulocytosis, leukoencephalopathy, or cutaneous vasculitis. Cocaine toxicity has also been associated with intestinal ulcers, ischemic colitis and infarction but pancreatitis from direct cocaine toxicity is extremely rare. We report such a case.
CASE REPORT
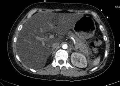
A twenty-two-year old male with no past medical history, presented with mid abdominal pain radiating to the chest with shortness of breath. Patient was sent to the emergency room for a chest computed tomography (CT) scan after a routine laboratory test at an urgent care center showed elevated D-dimer levels. Patient denied any fever, chills, recent travel or prior history of thromboembolic disease. Patient was adopted and does not know his family history. His blood pressure was 139/74 mmHg, heart rate 67 beats/minute; respiratory rate 18 cycles/minute, oxygen saturation was 98% on room air. Clinical examination showed mild epigastric tenderness, otherwise unremarkable. His chest CT scan was negative for pulmonary embolism but showed some stranding at the tail of the pancreas suspicious for acute pancreatitis (Figure 1). Routine laboratory tests showed white blood cell count of 14.4/µL, elevated lipase (754 U/L), creatinine (0.79 mg/dL), ESR (1 mm/h), C-reactive protein (0.08 mg/dL), alanine aminotransferase (23 U/L), aspartate aminotransferase(71 units/L), alkaline phosphatase (139 units/L), gamma-glutamyltransferase (209 U/L; reference range: 1-54 U/L). Patient was kept nil per oral, intravenous normal saline and pain medications were commenced. Patient admitted to drinking some whiskey daily. A right upper quadrant ultrasound did not show any evidence of gallstones but revealed a fatty liver. His lipid panel and triglycerides were normal. A urine toxicology screen was positive for cocaine and marijuana. His ethanol blood level was normal.

|
Figure 1. Abdominal view of CTA of the chest showing stranding adjacent to the body and tail of the pancreas with associated fluid suggestive of acute pancreatitis. |

|
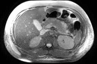
Figure 2. MRCP showing findings of thickened, heterogeneous appearance to the pancreas with adjacent fluid at the tail and body suggestive of acute pancreatitis. |

|
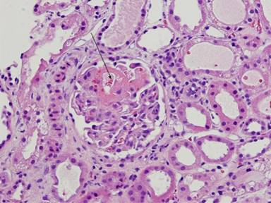
Figure 3. Segmental glomerular necrosis. |

|
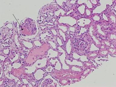
Figure 4. Severe acute tubular necrosis. Note segmental glomerular necrosis (arrow). H&E. |
DISCUSSION
My patient had an ANCA negative pauci-immune necrotizing glomerulonephritis (thought to be induced by levamisole contaminated cocaine). Initially presented as an acute pancreatitis; this is atypical and rare making the diagnostic process challenging. Pauci-immune necrotizing glomerulonephritis is the most frequent cause of rapidly progressive glomerulonephritis and in 60% of cases. It is associated with positive anti-neutrophil cytoplasmic antibodies (ANCA). It is either the renal manifestation of Wegener’s granulomatosis, microscopic polyangiitis, Churg-Strauss syndrome, or a renal-limited vasculitis. Immune conditions like systemic lupus erythematosus, polyarteritis nodosa and Wegener’s granulomatosis have been reported to rarely cause pancreatitis although few case reports cite Wegener’s granulomatosis affecting the gastrointestinal system with an initial presentation of pancreatitis which may be rapidly progressive and fatal [3]. Although my patient consumed alcohol which may be etiologically tied to pancreatitis, his clinical presentation was very atypical and as his vasculitic picture became clearer, we had to go searching for another etiology of his pancreatitis.
CONCLUSION
First, internists should recognize that acute pancreatitis can present as an atypical and rare initial systemic manifestation of cocaine-induced vasculitis. Second, vasculitic disease of the pancreas, even though rare, should be considered when other causes of pancreatitis have been excluded as some cases have been reportedly fatal.
Received November 20th, 2014 – Accepted January 30th, 2015
Keywords Pancreatitis, Acute Necrotizing; Pulmonary Embolism
Conflict of Interest Authors declare to have no conflict of interest
Correspondence Ayorinde
Ogunbameru
Department of Internal Medicine
Unity Health System
Rochester, New York
USA
Phone: +1-585.723.7769
Fax: +1-585.723.7769
E-mail: aoogunb@gmail.com
References
1. Abu-Hilal M, Abu-Hilal M, McPhail MJ, Zeidan B, Bryant T, Bateman A, et al., Acute Pancreatitis as First Presentation of Wegener’s Granulomatosis. Case Report, JOP. J Pancreas 2008; 9(3): 300-304. [PMID: 18469442]
2. US Department of Justice, National Drug Intelligence Center National Drug Threat Assessment 2010: Impact of Drugs on Society: US Department of Justice, National Drug Intelligence Center Web site. http://www.justice.gov/ndic/pubs38/38661/drugImpact.htm.
3. Chawla S, Atten MJ, Attar BM. Acute Pancreatitis as a rare initial manifestation of Wegener’s granulomatosis. A case based literature review, JOP. J Pancreas 2011; 12(2): 167-169. [PMID: 21386646]