ORIGINAL ARTICLE
JOP. J Pancreas (Online) 2015 Mar 20; 16(2):176-184.
Lazaroid U-74389G Administration in Pancreatic Ischemia-Reperfusion Injury: A Swine Model Encompassing Ischemic Preconditioning
Dimosthenis T Chrysikos1, Theodoros N Sergentanis2, Flora Zagouri1, Theodora Psaltopoulou2, George Theodoropoulos1, Ioannis Flessas1, George Agrogiannis3, Nikolaos Alexakis1, Maria Lymperi1, Ageliki I Katsarou4, Efstratios S Patsouris3, Constantine G Zografos1, Apostolos E Papalois1,5
1Department of Propaedeutic Surgery, Hippokratio Hospital. Athens, Greece. Departments of 2Hygiene, Epidemiology and Medical Statistics and 3Pathology, School of Medicine, University of Athens. Athens, Greece. 4Department of Nutrition and Dietetics, Harokopio University. Athens, Greece. 5Experimental–Research Center, Elpen Pharmaceuticals. Pikermi, Athens, Greece
ABSTRACT
Context The potential of lazaroid U-74389G in attenuating injury after ischemia and reperfusion has been reported in various organs. Objective The present study focuses specifically on the pancreas and aims to examine any effects of U-74389G in a swine model of pancreatic ischemia and reperfusion, encompassing ischemic preconditioning. Methods Twelve pigs, weighing 28–35 kg, were randomized into two experimental groups. Group A (control group, n=6): Two periods of ischemic preconditioning (5 min each) separated by a 5-min rest interval; then ischemia time 30 min and reperfusion for 120 min. Group B (n=6): the same as above, with U-74389G intravenous injection in the inferior vena cava immediately prior to the initiation of reperfusion. Blood sampling and pancreatic biopsies were conducted at 0, 30, 60, 90 and 120 min after reperfusion. Results Repeated-measures ANOVA was undertaken to evaluate differences between the two study groups. No statistically significant differences were noted concerning the histopathological parameters in the control and therapy groups (P=0.563 for edema, P=0.241 for hemorrhage, P=0.256 for leukocyte infiltration, P=0.231 for acinar necrosis and P=0.438 for vacuolization). In accordance with the above, serum metabolic data (glucose, creatinine, urea, total and direct bilirubin, total calcium, amylase, lipase, SGOT/AST, SGPT/ALT, ALP, GGT, LDH, CRP, insulin) were not significantly different between the two groups; similarly, tumor necrosis factor-α values (P=0.705) and tissue malondialdehyde levels (P=0.628) did not differ between the two groups. Conclusion This swine model of pancreatic ischemia and reperfusion, encompassing preconditioning, indicates that U-74389G lazaroid does not seem to exert protective effects from pancreatic damage.
CORE TIP
Oxidative stress is a crucial factor in the pathophysiology of acute pancreatitis and its systemic complications. Lazaroids are a novel class of antioxidants that potently protect pancreatic acinar cells against oxidant attack. This study encompasses ischemic preconditioning with lazaroid U-74389G in a swine model of pancreatic ischemia and reperfusion injury.
INTRODUCTION
Acute pancreatitis remains an important surgical problem with high morbidity and mortality [1, 2]. It does not merely represent an injury caused through the process of autodigestion by activated pancreatic enzymes, as complicated mechanisms intervene, often involving pancreatic ischemia. In the clinical practice, ischemia can induce or aggravate acute pancreatitis, as observed in several clinical situations, such as selective embolization of the primary vessels supplying the pancreas, hypoperfusion of the pancreas during cardiac surgery, visceral hypoperfusion due to hemorrhagic shock and pancreas transplantation [3].
Evidence in basic research suggests that disturbance of pancreatic microcirculation plays an important role in the underlying pathophysiological processes [4-14]; for instance, microvascular perfusion failure is essential for the development of acute pancreatitis after cardiac or aortic surgery, hypovolemic shock, hypothermia, and transplantation of the pancreas [15].
Pancreatic changes in perfusion and hypoxia have a significant impact not only on the early stages of acute pancreatitis but also in its progression and the pathogenesis of necrosis [4, 5]. It has been also suggested that reperfusion injury is a major mechanism of acinar damage, which then progresses to intracellular activation of proteases and tissue destruction [4, 16]. The postischemic breakdown of the microvascular perfusion is considered to be one of the key factors in ischemia/reperfusion injury. At the microcirculatory level two distinct phenomena occur: the “no-reflow” phenomenon [17, 18], i.e., primary capillary perfusion failure after onset of reperfusion and the “reflow paradox”, i.e., accumulation and adherence of leukocytes with enhanced microvascular permeability for macromolecules [19, 20].
Leukocyte infiltration into pancreatic tissue subsequently causes release, within the pancreas and systematically, of tumor necrosis factor-α (TNF-α), proinflammatory cytokines (such as IL-1, IL-6) and anti-inflammatory cytokine IL-10 [21, 22]; all the above mentioned molecules along with CRP could potentially be evaluated as markers or indexes for severity and outcome of acute pancreatitis [23, 24]. Free oxygen radicals are also produced, attacking cellular lipids, a reaction that results in the formation of aldehydic lipid hydroperoxide decomposition products, such as malondialdehyde (MDA).
Experimental efforts to attenuate tissue reperfusion injury have spanned different animal models and various organs, including the heart, brain, kidney, liver, skeletal muscle and stomach. In these models the above mentioned tissues have responded to brief exposures to ischemia with increased resistance to severe ischemia, a phenomenon called ischemic preconditioning. The mechanisms suggested to explain the protective effects of ischemic preconditioning include activation of adenosine, adrenergic, bradykinin, and opioid receptors, modulation of protein kinase C, tyrosine kinases, mitogen activated protein kinases, adenosine triphosphate sensitive potassium channel (KATP channel) in the mitochondrial membrane, expression of heat shock proteins and synthesis of antioxidant enzymes [25, 26].
In an attempt to evaluate or attenuate events in the postischemic pancreas, various experimental studies have been conducted to modify factors of pancreatic microcirculatory impairment [2] along with several pharmacological agents with therapeutic effect, that could potentially inhibit pancreas reperfusion injury; lazaroids are among these pharmacological agents. Lazaroids belong to a novel class of antioxidants (synthetic 21-aminosteroids) with radical-scavenging, iron-chelating, and membrane-stabilizing potential [27-29]. Although derived from glucocorticosteroids, lazaroid compounds are devoid of glucocorticoid receptor activity and, therefore, lack the side-effects of the glucocorticoids. Owing to their low molecular mass, lazaroids can leave the circulation and readily penetrate tissues. In vitro evidence has shown that lazaroids may potently protect pancreatic acinar cells from oxidant attack [27, 30]. U-74389G is an agent belonging to the 21-aminosteroid group.
Our previous study in the swine model highlighted that the administration of U-74389G did not seem to exert a sizable therapeutic effect in attenuating pancreatic damage during ischemia/reperfusion of the pancreas; rather impressively, edema seemed more pronounced in the U-74389G group [31]. Nevertheless, the aforementioned experimental design had not included ischemic preconditioning; as mentioned above, preconditioning may denote a modified context, with reduced oxidative burden, that could potentially enhance the effects of U-74389G.
Precisely, in the present study, we interjected two brief (5 min) ischemic periods (separated by a 5-min rest interval), which could protect the pancreas against severe ischemia/reperfusion-induced pancreatitis. Similarly to our previous design the lazaroid was administered at the end of ischemia and before reperfusion injury of the pancreas [31].
Summarizing the above, this study aims to assess the therapeutic potential of 21-aminosteroid U-74389G in a swine model of pancreatic ischemia/reperfusion injury encompassing ischemic preconditioning. To this end, histopathological parameters, serum biochemical indices, as well as TNF-α and MDA levels were evaluated. To the best of our knowledge, there are no reports on the use of U-74389G in pancreatic ischemia-reperfusion injury, adopting a swine model and encompassing ischemic preconditioning.
MATERIALS AND METHODS
Animals
Twelve male and female pigs, weighting 28–35 kg, were used in the study. The animals were randomized into the following two experimental groups, using a computer random number generator: Group A (control group, n=6): Two times of ischemic preconditioning for 5 min with 5-min interval and then pancreatic ischemia for 30 min and reperfusion for 120 min. Group B (U-74389G group, n=6): the same as above, with U-74389G intravenous injection in the inferior vena cava immediately prior to the initiation of reperfusion.
The used dose of U-74389G (by Calbiochem® Company, Cat. No. 153190-29-5, only for experimental use) was 10 mg/kg animal body weight (ABW). This dose of the lazaroid was determined based on previous experience in the same laboratory with the use of U-74389G [31-33], as well as on data stemming from other research groups [32, 33].
The pigs were acclimatized to laboratory conditions for 7 days prior to use in experiments. All animals were fasted for 24 h before the procedures, which were performed under general anesthesia.
The pigs were premeditated with ketamine 15 mg/kg animal body weight and midazolam 0.5 mg/kg ABW administered intramuscularly and were placed on the operating table. Anesthesia was induced with bolus intravenous injection of propofol 3 mg/kg ABW, pancuronium 0.15 mg/kg ABW, and fentanyl 17.5 μg/kg ABW. During operation, anesthesia was maintained with propofol 0.15 mg/kg ABW, pancuronium 0.07 mg/kg ABW every 20 min, and fentanyl 15 μg/kg ABW per hour. Polyethylene catheters were inserted into a peripheral vein and into the jugular vein for infusion of anesthetic drugs, infusion of crystalloid solutions, and measurement of the vein pressure. Catheter was also inserted in the femoral artery and blood samples were collected. Monitoring of the animals was continuous with electrocardiography, pulse oximetry, and measurements of arterial blood pressure.
The surgical preparation of the abdomen was performed through a midline laparotomy using aseptic techniques. It is worth to mention that the swine pancreas consists of two parts that are crossed by the portal vein. The blood supply of the right part is provided mainly by the common hepatic artery and rarely from the superior mesenteric artery, while the left one from the splenic artery and a small non stable branch that may arise from the splenic or the common hepatic artery or even from the celiac trunk [34, 35]. The pancreas was prepared and the splenic artery, the common hepatic artery and the pancreaticoduodenal arteries (superior and inferior) that provide blood supply to the swine pancreas, were identified and then were isolated and prepared for occlusion.
The experiment was short-term, and the animals underwent euthanasia at the end of each operation. Afterwards, tissue samples were taken from the liver, kidney, lungs, and sent to the pathologist for histopathological evaluation [32].
Histopathological Assessment
Tissue specimens were fixed in formalin (4%) and embedded in paraffin according to standard histological procedures. Four-micron sections of paraffin-embedded tissue samples from each case were sectioned, deparaffinized, rehydrated, and finally subjected to conventional hematoxylin and eosin staining (H&E).
Histopathological assessment was based on the research work of Dembrinski et al. [36] and graded a number of parameters [32]. First, histological grading of edema was conducted using a scale ranging from 0 to 3: 0 = no edema, 1 = interlobular edema, 2 = interlobular and moderate intralobular edema, and 3 = severe interlobular and intralobular edema. Second, grading of hemorrhage was performed as follows: 0 = absent, 1 = from one to two foci per slide, ,2 = from three to five foci per slide, ,3 = more than five foci per slide. Third, leukocyte infiltration was graded: 0 = absent, 1 = scarce perivascular infiltration, 2 = moderate perivascular and scarce diffuse infiltration, 3 = abundant diffuse infiltration. Fourth, findings of acinar necrosis were graded: 0 = absent, 1 = less than 15% of cells involved, 2 = from 15% to 35% of cells involved, 3 = more than 35% of cells involved. Fifth, grading of vacuolization was based on the percentage of cells involved: 0 = absent, 1 = less than 25%, 2 = 25–50% and 3 = more than 50%. Specimens were examined under a Nikon Eclipse 50i microscope. Histomorphological analysis was performed independently by two experienced pathologists (G.A. and E.S.P.), who were blinded to the current experimental protocol.
Biochemical Parameters, MDA and TNF-α Measurements
MDA measurement was based on the reaction of a chromogenic reagent, N-methyl-2-phenylindole (MPI), with MDA at 45°C. One molecule of MDA reacted with two molecules of MPI to yield a stable chromophore with maximum absorbance at 586 nm. The reagents used included Reagent MPI, 10.3 mmol/L MPI in acetonitrile, MDA standard, 10 mmol/L 1,1,3,3-tetramethoxypropane in 20 mmol/L Tris-HCl, 500 mmol/L butylated-hydroxytoluene, in acetonitrile, 20 mmol/L Tris buffer pH 7.4, 0.9% NaCl, 37% (12 mol/L) HCl, methanol, high-pressure liquid chromatography grade, and acetonitrile, high-pressure liquid chromatography grade. Before the procedure, three volumes of the MPI reagent were diluted with one volume of 100% methanol. Tissue samples were rinsed with ice-cold isotonic saline before homogenization, which was carried out using Tris-buffered 20 mmol/L pH 7.4 and an Ultra-Turrax (Ika – Labortecnik) blender. One milliliter of buffer was used for 0.1 g of tissue. Ten milliliters of 500 mmol/L butylated hydroxy toluene was added to 1 mL of tissue homogenate to prevent sample oxidation. The homogenate was centrifuged at 3,000 rpm at 4°C for 10 min. Then 0.2 mL of sample (supernatant of tissue homogenate) and 0.65 mL of diluted MPI reagent were added to a polypropylene microcentrifuge tube. The mixture was vortexes and then 0.15 mL of 12 mol/L HCl was added. Tubes were incubated at 45°C for 60 min and centrifuged at 6,000 rpm for 15 min. Then 0.8 mL of the supernatant was measured at 586 nm. MDA standards for the standard curve were made by dilutions of the stock 10 mm tetramethoxypropane solution. The final concentrations were 2.08, 4.16, 8.33, 12.5, and 16.66 μmol/L and the assay procedure was followed as for the samples. The absorbance was 0.059, 0.124, 0.264, 0.4 and 0.545, respectively [31, 32].
TNF-α was determined after tissue homogenization by enzyme-linked immunosorbent assay. To avoid errors in the interpretation of the results, a specific swine antibody was used (anti-swine; Bio Source Co., Carlsbad, CA, USA) instead of human antibody against TNF- α [31, 32].
In addition at 0, 30, 60, 90 and 120 min after reperfusion, complete blood cell count, as well as measurements of serum biochemical parameters (glucose, creatinine, urea, total bilirubin, direct bilirubin, total calcium, amylase, lipase, SGOT/AST, SGPT/ALT, gamma-GT (GGT), LDH, CRP and insulin) were performed [31, 32].
ETHICS
All experiments described herein were approved by ELPEN Laboratories and the veterinary authorities of East Attica Region, in accordance with Greek Law No. 160, A-64, May 1991, European Union regulations, and the principles of the Helsinki declaration. All animals received humane care according to the criteria outlined in the "Guide for the Care and Use of Laboratory Animals (1996)" prepared by the National Academy of Sciences.
STATISTICAL ANALYSIS
Repeated-measures analysis of variance (ANOVA) was performed to assess the differences between groups, given the longitudinal nature of the dataset. Regarding the main outcome TNF-α, power calculation indicated that six animals per group were sufficient for the detection of a 35% increase in its tissue levels, to achieve a power equal to 80%. Mean and standard error were calculated for each variable and are presented in the manuscript for descriptive reasons. The statistical software STATA 11.1 (Stata Corp., College Station, TX, USA) was used for random number generation, as well as for all statistical analyses. Values of P<0.05 were considered statistically significant.
RESULTS
The results of the histopathological evaluation are presented in Table 1. No statistically significant differences were noted concerning edema (P=0.563), hemorrhage (P=0.241), leukocyte infiltration (P=0.256), acinar necrosis (P=0.231) and vacuolization (P=0.438) between the two groups. Figures 1 and 2 present representative pathological cases.
Table 1. Histopathological parameters in the two groups.
a all values were equal to the mean; hence standard error equaled zero

|
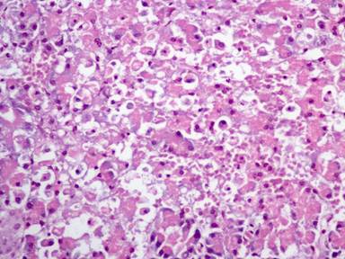
Figure 1. Effects of acute ischemia and reperfusion on pancreatic histology. This field is characterized by the complete distortion of the pancreatic parenchyma caused by the presence of conspicuous hemorrhage, moderate interlobular and intralobular edema and some small necrotic foci (approx. 20%). H&E x400. |

|
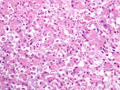
Figure 2. Effects of acute ischemia and reperfusion on pancreatic histology. The main feature in this field is the distortion of pancreatic histology. Note the significant hemorrhage, the moderate interlobular and intralobular edema and the presence of some necrotic foci (15-35%). H&E x400. |
Blood cell count and serum biochemical parameters are summarized in Table 2. None of the evaluated blood cell count parameters (P=0.403 for white blood cells, P=0.222 for hemoglobin, P=0.900 for hematocrit, P=0.684 for platelets) pointed to statistically significant differences between control and therapeutic group. In accordance with the above, all studied serum biochemical parameters (P=0.966 for glucose, P=0.661 for creatinine, P=0.848 for urea, P=0.915 for total bilirubin and P=0.742 for direct bilirubin, P=0.477 for total calcium, P=0.509 for amylase, P=0.912 for lipase, P=0.876 for SGOT/AST, P=0.387 for SGPT/ALT, P=0.938 for ALP, P=0.581 for GGT, P=0.666 for LDH, P=0.823 for CRP and P=0.926 for insulin) did not differ between control and therapeutic group.
Table 2. Blood cell count and biochemical serum parameters in the two study groups.
|
Parameter |
Time (min) |
Group A |
Group B |
P value |
|
Mean (SE) |
Mean (SE) |
|||
|
White blood cells (103cells/mL) |
0 |
13.86 (1.24) |
13.09 (1.23) |
0.403 |
|
|
30 |
13.24 (0.78) |
12.26 (1.06) |
|
|
|
60 |
14.83 (1.89) |
13.03 (1.23) |
|
|
|
90 |
14.71 (1.99) |
13.31 (1.13) |
|
|
|
120 |
15.65 (1.96) |
13.17 (0.70) |
|
|
Hemoglobin (g/dL) |
0 |
9.93 (0.10) |
10.35 (0.27) |
0.222 |
|
|
30 |
9.63 (0.08) |
10.02 (0.32) |
|
|
|
60 |
9.77 (0.09) |
10.05 (0.29) |
|
|
|
90 |
9.80 (0.12) |
10.20 (0.30) |
|
|
|
120 |
9.82 (0.12) |
10.32 (0.30) |
|
|
Hematocrit (%) |
0 |
31.90 (0.63) |
32.38 (0.83) |
0.900 |
|
|
30 |
31.17 (0.64) |
31.28 (1.05) |
|
|
|
60 |
31.48 (0.85) |
31.42 (0.85) |
|
|
|
90 |
31.57 (0.92) |
31.55 (0.72) |
|
|
|
120 |
31.67 (0.95) |
31.88 (0.80) |
|
|
Platelets (103cells/mL) |
0 |
282.7 (55.8) |
316.3 (35.0) |
0.684 |
|
|
30 |
283.0 (55.8) |
322.5 (39.2) |
|
|
|
60 |
281.7 (52.8) |
312.2 (41.6) |
|
|
|
90 |
276.8 (59.4) |
301.7 (38.3) |
|
|
|
120 |
291.8 (67.1) |
308.2 (45.8) |
|
|
Glucose (mg/dL) |
0 |
85.1 (5.3) |
79.9 (6.3) |
0.966 |
|
|
30 |
89.6 (6.7) |
89.6 (8.0) |
|
|
|
60 |
92.1 (7.7) |
93.9 (10.0) |
|
|
|
90 |
90.6 (7.9) |
92.4 (11.2) |
|
|
|
120 |
91.3 (8.7) |
95.5 (13.6) |
|
|
Creatinine (mg/dL) |
0 |
1.29 (0.06) |
1.39 (0.08) |
0.661 |
|
|
30 |
1.27 (0.06) |
1.40 (0.07) |
|
|
|
60 |
1.36 (0.08) |
1.47 (0.05) |
|
|
|
90 |
1.44 (0.09) |
1.41 (0.05) |
|
|
|
120 |
1.49 (0.08) |
1.36 (0.04) |
|
|
Urea (mg/dL) |
0 |
27.69 (2.12) |
27.07 (2.61) |
0.848 |
|
|
30 |
29.37 (2.40) |
29.90 (3.41) |
|
|
|
60 |
30.27 (2.07) |
31.79 (2.98) |
|
|
|
90 |
31.81 (2.44) |
33.84 (2.44) |
|
|
|
120 |
32.07 (2.24) |
31.87 (2.09) |
|
|
Total bilirubin (mg/dL) |
0 |
0.56 (0.08) |
0.58 (0.10) |
0.915 |
|
|
30 |
0.56 (0.11) |
0.57 (0.06) |
|
|
|
60 |
0.54 (0.11) |
0.61 (0.08) |
|
|
|
90 |
0.60 (0.13) |
0.62 (0.06) |
|
|
|
120 |
0.60 (0.15) |
0.55 (0.05) |
|
|
Direct bilirubin (mg/dL) |
0 |
0.32 (0.06) |
0.33 (0.08) |
0.742 |
|
|
30 |
0.28 (0.05) |
0.33 (0.03) |
|
|
|
60 |
0.31 (0.08) |
0.37 (0.08) |
|
|
|
90 |
0.32 (0.10) |
0.40 (0.05) |
|
|
|
120 |
0.35 (0.09) |
0.28 (0.05) |
|
|
Total calcium (mg/dL) |
0 |
9.53 (0.29) |
9.65 (0.14) |
0.477 |
|
|
30 |
9.31 (0.30) |
9.66 (0.15) |
|
|
|
60 |
9.34 (0.39) |
9.46 (0.28) |
|
|
|
90 |
9.39 (0.43) |
9.88 (0.40) |
|
|
|
120 |
9.29 (0.42) |
9.79 (0.37) |
|
|
Amylase (U/L) |
0 |
1622.3 (171.0) |
1626.8 (160.0) |
0.509 |
|
|
30 |
1614.9 (158.8) |
1574.0 (151.1) |
|
|
|
60 |
1671.5 (161.7) |
1560.1 (136.1) |
|
|
|
90 |
1715.1 (171.6) |
1479.4 (110.7) |
|
|
|
120 |
1753.6 (204.9) |
1399.8 (118.4) |
|
|
Lipase (U/L) |
0 |
30.67 (3.03) |
33.21 (3.63) |
0.912 |
|
|
30 |
32.50 (4.13) |
35.56 (4.94) |
|
|
|
60 |
33.07 (4.78) |
34.46 (5.08) |
|
|
|
90 |
35.29 (7.16) |
37.70 (5.19) |
|
|
|
120 |
43.77 (10.69) |
38.37 (4.08) |
|
|
SGOT (AST) (U/L) |
0 |
60.94 (4.79) |
66.43 (11.69) |
0.876 |
|
|
30 |
67.59 (7.60) |
64.02 (9.78) |
|
|
|
60 |
66.14 (5.97) |
64.68 (8.37) |
|
|
|
90 |
66.92 (7.37) |
65.02 (7.40) |
|
|
|
120 |
68.24 (7.94) |
61.07 (7.32) |
|
|
SGPT (ALT) (U/L) |
0 |
43.54 (3.64) |
46.90 (6.38) |
0.387 |
|
|
30 |
42.16 (3.62) |
48.06 (4.78) |
|
|
|
60 |
42.97 (3.30) |
49.69 (3.77) |
|
|
|
90 |
43.23 (2.92) |
48.97 (3.85) |
|
|
|
120 |
43.73 (3.74) |
46.49 (4.21) |
|
|
ALP (U/L) |
0 |
133.17 (13.66) |
138.17 (16.78) |
0.938 |
|
|
30 |
133.33 (12.22) |
140.00 (14.64) |
|
|
|
60 |
136.17 (12.31) |
139.33 (13.32) |
|
|
|
90 |
138.83 (12.69) |
143.33 (10.58) |
|
|
|
120 |
140.50 (13.64) |
128.33 (10.32) |
|
|
GGT (U/L) |
0 |
29.76 (3.15) |
31.22 (3.64) |
0.581 |
|
|
30 |
30.58 (4.09) |
31.05 (2.21) |
|
|
|
60 |
30.00 (3.66) |
32.72 (2.07) |
|
|
|
90 |
30.71 (4.67) |
33.25 (2.15) |
|
|
|
120 |
30.88 (4.59) |
35.68 (2.62) |
|
|
LDH (U/L) |
0 |
1148.5 (197.0) |
1295.5 (278.7) |
0.666 |
|
|
30 |
1137.5 (200.0) |
1377.5 (312.9) |
|
|
|
60 |
1171.2 (192.6) |
1342.7 (338.2) |
|
|
|
90 |
1150.3 (198.7) |
1309.2 (318.4) |
|
|
|
120 |
1162.0 (204.7) |
1262.7 (306.1) |
|
|
CRP (mg/L) |
0 |
55.02 (8.48) |
52.84 (10.61) |
0.823 |
|
|
30 |
58.82 (9.45) |
53.32 (11.69) |
|
|
|
60 |
58.62 (9.52) |
53.78 (12.85) |
|
|
|
90 |
58.57 (9.97) |
56.43 (12.13) |
|
|
|
120 |
53.23 (9.22) |
50.81 (12.12) |
|
|
Insulin (μU/mL) |
0 |
12.30 (3.47) |
12.83 (3.65) |
0.926 |
|
|
30 |
12.82 (3.57) |
12.67 (3.71) |
|
|
|
60 |
12.27 (3.44) |
12.58 (3.39) |
|
|
|
90 |
12.13 (3.39) |
12.97 (2.94) |
|
|
|
120 |
11.65 (3.48) |
12.40 (3.12) |
|
In addition to the pancreas samples, whose histopathological evaluation has been presented above, after euthanasia of the animals, other organ samples (liver, kidney and lung) were sent to the pathologist for evaluation. Normal histological findings were observed in all cases; however, this might be attributed to the acute phase of the experiment and due to the short survival of the laboratory animals, as detailed in our respective manuscript examining the effects of U-74389G upon liver ischemia in the swine model [32]. Table 3 summarizes the results regarding tissue MDA and TNF-α level. No significant differences were noted for either TNF-α (P=0.705) or MDA (P=0.628).
Table 3. Tissue TNF-α and MDA levels in the two study groups.
|
Parameter |
Time (min) |
Group A |
Group B |
P value |
|
Mean (SE) |
Mean (SE) |
|||
|
TNF-α (pg/mL of total protein) |
0 |
1.87 (0.55) |
2.08 (0.57) |
0.705 |
|
|
30 |
2.50 (0.93) |
2.06 (0.41) |
|
|
|
60 |
2.81 (1.11) |
2.66 (0.80) |
|
|
|
90 |
3.11 (1.12) |
2.30 (0.60) |
|
|
|
120 |
3.39 (1.60) |
2.52 (0.66) |
|
|
MDA (pmol/mg of total protein) |
0 |
52.2 (10.1) |
55.2 (11.3) |
0.628 |
|
|
30 |
50.1 (12.0) |
65.3 (9.7) |
|
|
|
60 |
65.8 (7.5) |
74.6 (10.6) |
|
|
|
90 |
64.7 (9.6) |
71.3 (14.6) |
|
|
|
120 |
74.4 (10.4) |
73.6 (17.8) |
|
DISCUSSION
The present study suggests that the lazaroid U-74389G does not seem to possess protective potential in the context of ischemia-reperfusion injury of the swine pancreas. All examined parameters, namely histopathologic pancreatitis severity, serum biochemical parameters and indicators of inflammation and oxidative stress (TNF-α and MDA) pointed to the same null direction. This pattern further confirms the lack of protective potential that was demonstrated in our previous work regarding U-74389G in ischemia-reperfusion injury of the swine pancreas without preconditioning [31].
In the present setting, ischemic preconditioning involved repeated short episodes of warm ischemia and reperfusion before the long-term I/R injury. Compared to our previous work [31], a completely altered free radical and inflammatory context should be declared and stressed, as preconditioning is associated with milder ischemia-reperfusion pancreatitis, as a rule. Specifically, studies conducted by Dembinski et al. [36] have showed that ischemic preconditioning of the rat pancreas seems to be associated with decreased biochemical signs of pancreatitis, improved pancreatic blood flow, as well as reduced histological scores of pancreatic damage, together with reduced plasma lipase activity and decreases in plasma concentrations of proinflammatory interleukin-1 [36]; nevertheless, the findings regarding plasma concentrations of anti-inflammatory interleukin-10 (IL-10) remain controversial [36, 37]. Moreover, in the context of pancreas transplantation there are data indicating that ischemic preconditioning attenuates apoptosis in different models of pancreatic warm ischemia [7, 19, 20]. Of note, our time frame for ischemic preconditioning was based on the studies by Dembrinski et al. [36] where a preconditioning ischemia of 10 min (2 times of 5 min ischemic preconditioning with 5 min interval), followed by intervening reperfusion was found to have superior effects when compared with other procedures [36].
In our previous study conducted in the absence of ischemic preconditioning [31], we have shown that interlobular and intralobular edema was more pronounced in the lazaroid U-74389G group. Given that lazaroids at high concentrations may accelerate cell injury, the absence of this finding in our present study might be attributed to (or ameliorated by) ischemic preconditioning. Nevertheless, the remaining pathological parameters aiming to assess the effect of post-reperfusion tissue damage i.e., hemorrhage, leukocyte infiltration, acinar necrosis and vacuolization, did not point to significant differences between the two groups either in the present or the previous study.
Regarding the interpretation of therapeutic failure a variety of notions merit highlighting. First, the application of U-74389G was initiated 30 minutes after pancreatitis induction and therefore the short time interval may not have allowed the agent to effectively reduce lipid peroxidation. For instance, antioxidant agents have occasionally been administered before ischemia [31, 37-39]; nevertheless, in clinical practice, it is nearly impossible to begin treatment before the onset of ischemia [14, 31, 32], rendering our current setting closer to the inherent clinical limitations of pancreatitis. Second, despite the relative attenuation mediated by preconditioning, ischemia-reperfusion pancreatitis is a fulminant disease, whose rapid development of necrosis and early death may limit the anticipated efficacy of any pharmacologic intervention.
Despite its original conclusions, the present study bears certain limitations that need to be discussed. Evaluation of lazaroids at higher doses, adoption of earlier time points for the administration of treatment may allow the emergence of therapeutic effects; indeed, this effort did not encompass the measurement of intrapancreatic U-74389G concentrations. In addition, our study adopted two periods of preconditioning, similarly to the previous literature [15, 36]; a larger number of preconditioning periods (e.g. four) may modify the results, representing reduced oxidative burden. Furthermore, the rather small sample size (six subjects in each arm) should be declared; nevertheless, all performed tests were far from yielding even trends of borderline significance, underlining the true lack of associations, whereas the power calculation indicated that a sufficient power of 80% was achieved. Moreover, the examination of other lazaroid compounds may point to similarities or differences in their effectiveness compared to U-74389G. Finally, it should always be declared that conditions in the experimental setting do not obligatorily reflect the actual clinical conditions in the human context [36].
CONCLUSION
In summary, our study shows that lazaroid U-74389G does not seem capable of protecting the swine pancreas from ischemia-reperfusion injury in the experimental model encompassing ischemic preconditioning. Protective effects derived from lazaroid compounds might strongly depend on the type of organ, the time frame and the experimental setting.
Received January 24th, 2015 – Accepted February 28th, 2015
Keywords Ischemia; Ischemic Preconditioning; Malondialdehyde; Pancreas; Reperfusion; Tumor Necrosis Factor-alpha; U 74389F
Acknowledgements We are grateful to Apostolos E Papalois who conceived, designed and acted as a guarantor of the study
Conflict of Interest Authors declare to have no conflict of interest.
Correspondence Dimosthenis T
Chrysikos
1st Department of Propaedeutic Surgery
School of Medicine
Hippokratio Hospital
University of Athens
114, Vas. Sofias Ave
Athens 11527
Greece
Phone: +30-697.306.3590
Fax: +30-210.770.7574
E-mail: dixrys@yahoo.gr
References
1. Slavin J, Ghaneh P, Sutton R, Hartley M, Rowlands P, Garvey C,Hughes M, Neoptolemos J.Management of necrotizing pancreatitis. World J Gastroenterol 2001; 7:476-481 [PMID: 11819813]
2. Zhou ZG, Chen YD. Influencing factors of pancreatic microcirculatory impairment in acute panceatitis. World J Gastroenterol 2002; 8:406-412. [PMID:12046059]
3. Drognitz O, Liu X, Obermaier R, Neeff H, von Dobschuetz E, Hopt UT, Benz S. Ischemic preconditioning fails to improve microcirculation but increases apoptotic cell death in experimental pancreas transplantation. Transpl Int 2004; 17:317-324. [PMID: 15221122]
4. Cuthbertson CM, Christophi C. Disturbances of the microcirculation in acute pancreatitis. Br J Surg 2006; 93:518-530. [PMID: 16607683]
5. Kinnala PJ, Kuttila KT, Gronroos JM, Havia TV, Nevalainen TJ, Niinikoski JH. Pancreatic tissue perfusion in experimental acute pancreatitis. Eur J Surg 2001; 167:689–694. [PMID: 11759740]
6. Plusczyk T, Witzel B, Menger MD, Schilling M. ETA and ETB receptor function in pancreatitis-associated microcirculatory failure, inflammation, and parenchymal injury. Am J Physiol Gastrointest Liver Physiol 2003; 285:G145-153. [PMID: 12799311]
7. Yaginuma N, Takahashi T, Saito K, Kyoguku M. The microvasculature of the human pancreas and its relation to Langerhans islets and lobules. Pathol Res Pract 1986; 181:77–84. [PMID: 3517840]
8. Zhou ZG, Chen YD, Sun W, Chen Z. Pancreatic microcirculatory impairment in experimental acute pancreatitis in rats. World J Gastroenterol 2002; 8:933-936. [PMID: 12378645]
9. Schiller WR, Anderson MC. Microcirculation of the normal and inflamed canine pancreas. Ann Surg 1975; 181:466–470. [PMID: 1130866]
10. Zhou ZG, Gao XH. Morphology of pancreatic microcirculation in the monkey: light and scanning electron microscopic study. Clin Anat 1995; 8:190–201.[PMID: 7606592]
11.Weidenbach H, Lerch MM, Gress TM, Pfaff D, Turi S, Adler G. Vasoactive mediators and the progression from oedematous to necrotising experimental acute pancreatitis. Gut 1995; 37:434–440. [PMID: 7590444]
12.Sunamura M, Yamauchi J, Shibuya K, Chen HM, Ding L, Takeda Κ, Kobari M, Matsuno S. Pancreatic microcirculation in acute pancreatitis. J Hepatobiliary Pancreat Surg 1998; 5:62–68. [PMID: 9683756]
13. Henderson JR, Moss MC. A morphometric study of the endocrine and exocrine capillaries of the pancreas. Q J Exp Physiol 1985; 70:347–356. [PMID: 3898188]
14. Bockman DE. Microvasculature of the pancreas. Relation to pancreatitis. Int J Pancreatol 1992; 12:11–21. [PMID:1527446]
15. Warzecha Z, Dembiński A, Ceranowicz P, Dembiński M, Cieszkowski J, Kuśnierz-Cabala B, Naskalski JW, Jaworek J, Konturek SJ, Pawlik WW, Tomaszewska R. Influence of ischemic preconditioning on blood coagulation, fibrinolytic activity and pancreatic repair in the course of caerulein-induced acute pancreatitis in rats. J Physiol Pharmacol 2007; 58:303-319. [PMID: 17622699]
16. Vollmar B, Menger MD. Microcirculatory dysfunction in acute pancreatitis. A new concept of pathogenesis involving vasomotion-associated arteriolar constriction and dilation. Pancreatology 2003; 3:181–190. [PMID: 12817573]
17. Menger MD, Rücker M, Vollmar B. Capillary dysfunction in striated muscle ischemia/reperfusion: on the mechanisms of capillary ‘‘no-reflow’’. Shock 1997; 8:2–7. [PMID: 9249906]
18. Nolte D, Zeintl H, Steinbauer M, Pickelmann S, Messmer K. Functional capillary density: an indicator of tissue perfusion? Int J Microcirc Clin Exp 1995; 15:244–249. [PMID: 8852622]
19. Hoffmann TF, Leiderer R, Waldner H, Arbogast S, Messmer K. Ischemia reperfusion of the pancreas: a new in vivo model for acute pancreatitis in rats. Res Exp Med (Berl) 1995; 195:125–144 [PMID: 8570908]
20. Hoffmann TF, Leiderer R, Waldner H, Messmer K. Bradykinin antagonists HOE-140 and CP-0597 diminish microcirculatory injury after ischaemia– reperfusion of the pancreas in rats. Br J Surg 1996; 83:189-195 [PMID: 8689161]
21. Ishimaru K, Mitsuoka H, Unno N, Inuzuka K, Nakamura S, Schmid-Schönbein GW. Pancreatic proteases and inflammatory mediators in peritoneal fluid during splanchnic arterial occlusion and reperfusion. Shock 2004; 22:467-471. [PMID: 15489640]
22. Leindler L, Morschl E, László F, Mándi Y, Takács T, Jármai K, Farkas G. Importance of cytokines, nitric oxide, and apoptosis in the pathological process of necrotizing pancreatitis in rats. Pancreas 2004; 29:157-161. [PMID: 15257108]
23. Alhan E, Türkyilmaz S, Erçin C, Kural BV. Effects of lazaroid U-74389G on acute necrotizing pancreatitis in rats. Eur Surg Res 2006; 38:70-75. [PMID: 16557023]
24. Keck T, Werner J, Banafsche R, Stalmann A, Schneider L, Gebhard MM, Herfarth C, Klar E. Oxygen radicals promote ICAM-1 expression and microcirculatory disturbances in experimental acute pancreatitis. Pancreatology 2003; 3:156–163. [PMID: 12748425]
25. Obermaier R, von Dobschuetz E,Drognitz O, Hopt UT, Benz S. Ischemic preconditioning attenuates capillary no-reflow and leukocyte adherence in postischemic pancreatitis. Langenbecks Arch Surg 2004; 389:511-516. [PMID: 14716491]
26. Cleveland JC Jr, Raeburn C, Harken AH. Clinical applications of ischemic preconditioning: from head to toe. Surgery 2001; 129:664–667. [PMID: 11391362]
27. Schulz HU, Hoenl H, Schrader T, Kropf S,Halangk W,Ochmann C,Matthias R, Letko G, Roessner A, Lippert H, Niederau C. Randomized, placebo-controlled trial of lazaroid effects on severe acute pancreatitis in rats. Crit Care Med 2001; 29:861-869. [PMID: 11373483]
28. Braughler JM, Pregenzer JF, Chase RL, Duncan LA, Jacobsen EJ, McCall JM. Novel 21-amino steroids as potent inhibitors of iron-dependent lipid peroxidation. J Biol Chem 1987; 262:10438–10440. [PMID: 3611075]
29. Clark WM, Hazel JS, Coull BM. Lazaroids: CNS pharmacology and current research. Drugs 1995; 50:971-983 [PMID: 8612475]
30. Niederau C, Schulz HU, Klonowski H. Lazaroids protect isolated rat pancreatic acinar cells against damage induced by free radicals. Pancreas 1995; 11:107-121. [PMID: 7479666]
31. Chrysikos DT, Sergentanis TN, Zagouri F, Psaltopoulou T, Flessas I, Agrogiannis G, Alexakis N, Bramis I, Patsouri EE , Patsouris ES, Korontzi M, Katsarou A, Zografos GC, Papalois AE. The Effect of U-74389G on Pancreas Ischemia-Reperfusion Injury in a Swine Model. J Surg Res 2014; 187:450-457.[PMID: 24332939]
32. Tsaroucha AK, Papalois A, Vernadakis S, Adamopoulos S, Papadopoulos K, Lambropoulou M, Constadinidis T, Kyriazi A, Papadopoulos N, Simopoulos C. The effect of U-74389G on liver recovery after acute liver ischemia-reperfusion injury in a swine model. J Surg Res 2009; 151:10-4. [PMID: 18468628]
33. Cosenza CA, Cramer DV, Cunneen SA, Tuso PJ, Wang HK, Makowka L. Protective effect of the lazaroid U74006F in cold ischaemia-reperfusion injury of the liver. Hepatology 1994; 19:418-425. [PMID: 8294099]
34. Troisi R, Jacobs B, Berrevoet F, Vereycken R, De Hemptinne B, Hesse UJ. The role of hepato-coeliac arterial reconstruction in porcine segmental pancreatic autotransplantation. Transplant Proc 1997; 29:3625-3626. [PMID: 9414864]
35. Troisi R, Maene L, Jacobs B, Berrevoet F, Claus H, De Hemptinne B, Hesse UJ. Haemodynamic profiles of hepato-coeliac arterial reconstruction in porcine segmental pancreatic autotransplantation. Transplant Proc 1998; 30:582-583. [PMID: 9532185]
36. Dembiński A, Warzecha Z, Ceranowicz P, Tomaszewska R, Dembiński M, Pabiańczyk M, Stachura J, Konturek SJ. Ischemic preconditioning reduces the severity of ischemia/reperfusion-induced pancreatitis. Eur J Pharmacol 2003; 473:207-216. [PMID:12892840]
37. Warzecha Z, Dembinski A, Ceranowicz P, Dembinski M, Sendur R, Cieszkowski J, Sendur P, Tomaszewska R. Heparin inhibits protective effect of ischemic preconditioning in ischemia/reperfusion-induced acute pancreatitis. J Physiol Pharmacol 2012; 63:355-365. [PMID: 23070084]
38. Andreadou I, Poussios D, Papalois A, Gavalakis N, Aroni K, Gazouli M, Gorgoulis VG, Fotiadis C. Effect of U-74389G (21-lazaroid) on intestinal recovery after acute mesenteric ischaemia and reperfusion in rats. In Vivo 2003; 17:463-468. [PMID: 14598610]
39. Leventis I, Andreadou I, Papalois A, Sfiniadakis I, Gorgoulis VG, Korkolis DP, Hadjipavlou-Litina D, Kourounakis PN, Fotiadis C. A novel antioxidant non-steroidal anti-inflammatory agent protects rat liver against ischaemia-reperfusion injury. In Vivo 2004; 18:161-169. [PMID: 15113043]