CASE REPORT
JOP. J Pancreas (Online) 2015 Mar 20; 16(2):185-188.
Small Bowel Perforation Caused by Pancreaticojejunal Anastomotic Stent Migration after Pancreaticoduodenectomy for Periampullary Carcinoma
Giulio Mari, Andrea Costanzi, Nicola Monzio, Angelo Miranda, Michele Rossi, Luca Rigamonti, Jacopo Crippa, Paola Sartori, Dario Maggioni
Department of General Surgery, AO Vimercate Hospital of Desio. Vimercate, MB, Italy
ABSTRACT
Context Pancreaticoduodenectomy is the gold standard for patients with resectable periampullary carcinoma. The protection of the anastomosis by positioning of an intraluminal stent is a technique used to lower the frequency of anastomotic fistulas. However the use of anastomotic stents is still debated and stent related complications are reported. Case report A fifty-three-year old male underwent pancreaticoduodenectomy (PD) for a T2N0 periampullary carcinoma with a pancreaticojejunal (duct to mucosa) anastomosis protected by a free floating 6 Fr Nelaton stent in the Wirsung duct. Twenty-three months after surgery the patient accessed Emergency Department for severe abdominal pain associated to temperature, high white blood cell count and an significant increase in C reactive protein. Method Abdominal CT scan shown the presence of a tubular stent in the mesogastrium/lower right quadrant. No evident free intra-abdominal air was detected. The patient was submitted to explorative laparotomy. After debridement for localized peritonitis the Nelaton trans anastomotic stent was found in the abdomen. There was no evidence of bowel perforation, but intestinal loops covered with fibrin and suspect for impending perforation were resected. Conclusion There is a lack of evidence about the true rate of post-operative complications related to pancreatic stenting. We believe that in patients presenting with abdominal pain or peritonitis that previously underwent PD with stent-guided pancreaticojejunal anastomosis, the hypothesis of stent migration should at least be taken into consideration.
INTRODUCTION
Pancreaticoduodenectomy (PD) is the gold standard for patients with resectable periampullary carcinoma [1-7]. Even if perioperative mortality related to kind of surgery is decreasing, morbidity rates remain high. The most common and frightening complications are associated with the pancreaticojejunal anastomosis. Pancreatic leaks or, in particular, fistulas can lead to potentially life-threatening peritonitis, sepsis, or bleeding [8].
Despite a reduction in the rate of clinically-evident pancreaticojejunal anastomotic fistulas, subclinical leaks which are defined by the presence of amylase-rich fluid in the peri-anastomotic drainage are still rather frequent [9-11].
Positioning an intraluminal stent in order to protect the anastomosis is a technique used to lower the frequency of anastomotic fistulas. It can be used either routinely, or only in selected cases, such as when the anastomosis is intra-operatively evaluated as having a high fistulization risk [12, 13].
Intraluminal trans-anastomotic pancreatic stents are an attempt to decrease the frequency of anastomotic leakage by protecting the pancreatic fluid flow towards the jejunal loop [14]. Pancreatic stents can be either free-floating or loosely tied to the Wirsung duct with a rapidly reabsorbable suture. Stenting can make a duct-to-mucosa anastomosis easier to perform and may be helpful in decompressing the pancreatic duct, especially in the immediate post-operative period when anastomotic oedema may lead to an anastomotic stenosis [15-17].
Scientific literature still questions the use of anastomotic stents because of reports of stent-related complications such as retained stents, ileal occlusion due to displacement or migration and stent occlusion [18].
We report a case of a localized peritonitis that occurred two years after pancreaticoduodenectomy due to a bowel perforation caused by a stent migration.
CASE REPORT
We report the case of a 53-year-old male patient affected by hypertension, diabetes, and dyslipidemia, who had undergone an aortobifemoral bypass in 2004, which was then repeated in 2012 due to the femoral branch occlusion, and an appendectomy during his childhood. His daily therapy consists of insulin, ticlopidine, rosuvastatin, fatty acid ethyl esters, pantoprazole, and pregabalin.
In August 2011, he underwent pancreaticoduodenectomy as treatment for a periampullary carcinoma, with the restoration of the gastro-intestinal anatomic continuity by means of a pancreaticojejunal (duct-to-mucosa) anastomosis with a free-floating Nelaton 6 Fr stent in the Wirsung duct, a bilio-digestive anastomosis decompressed by a Kehr No. 9 drainage tube (as proximal protection of the anastomosis), and a side-to-side gastrojejunal anastomosis.
The patient underwent surgical and oncological follow-up, made of periodic clinical examinations and abdominal-CT scans, which always proved negative for relapse.
In December 2012, the patient presented at the Emergency Department, complaining of epi-mesogastric pain, diarrhoea and nausea. He was admitted to the Internal Medicine Department, where after being diagnosed with gastroenteritis, he received antibiotic treatment until discharge.
After a period of 6 months, he began to report a mesogastric and episodic pain to his right side, associated to a change in bowel habit. Twenty-three months after PD, the patient was newly admitted to the Emergency Department, further complaining of fever and abdominal pain localized in the right abdomen.
Upon physical examination, rebound tenderness was found in the lower right quadrant, associated with a high white blood cell count and increased C reactive protein.
An abdominal ultrasound did not show free intra-abdominal air, but distended small bowel loops. Plain abdominal X-ray demonstrated small bowel occlusion with no sign of bowel perforation. A tubular image suggested that a foreign body may be present.
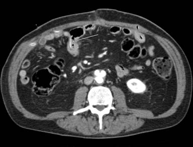
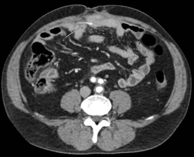
An abdominal CT scan was then performed, confirming the presence of tubular stent in the mesogastrium/right lower quadrant (Figure 1). The tube was strongly attached to small bowel loops that nearby seemed to have thickened walls. It was impossible to establish whether the tube was still intra-luminal or had migrated into the peritoneal cavity. No relevant free-fluid was detected in the abdomen.


|
Figure 1. After migration, stent perforated small bowel into the peritoneal cavity. (CT scan). |
Because of the onset of peritonitis, the patient was subjected to exploratory laparotomy. Localized peritonitis with tenacious adhesions between intestinal loops and an interloop abscess were found intra-operatively. No enteric material was found. After careful debridement, the 7 cm long 6 Fr Nelaton stent which had been placed through the pancreaticojejunal anastomosis during PD, was found (Figure 2). The stent was free in the abdominal cavity and lying on a bowel loop where signs of sores were present (Figure 3). There was no evidence of bowel perforation, but intestinal loops covered with fibrin and suspect for impending perforation were resected. The whole small bowel was checked for other possible perforations, but no further injuries were detected. After abdominal cavity lavage, a drain tube was placed and the abdominal wall closed. Post-operative recovery was uneventful and the patient was discharged on the 6th post-operative day.

|
Figure 2. Intra-operative findings: perforated bowel and free stent. |

|
Figure 3. Decubitus sign of the stent on the small bowel mesentery after its removal. |
DISCUSSION
Pancreaticojejunostomy is certainly one of the most challenging technical aspects of pancreaticoduodenectomy (PD). Its failure rates and the resulting morbidity and mortality are a serious concern for surgeons. Several technical variations have been developed, in trying to reduce postoperative pancreatic fistula rates [6, 19-21].
One of the most commonly used tips is the placement of a stent in the Wirsung across the anastomosis. According to some authors, stents may be useful in draining the pancreatic juice away from the anastomosis. Using them also allows for more precise suturing, protecting the pancreatic duct from injury and thus reducing the fistula rate [22, 23].
Stents can also help in sustaining the anastomotic oedema especially in the immediate post-operative period. There is no consensus about the usefulness of a pancreatic duct stent for internal drainage in reducing the pancreatic leakage rate after pancreaticoduodenectomy. Reports show few drawbacks to this method, such as accidental removal of the stent, obstruction or bending of the stenting tube, which might increase the incidence of pancreatic leakage. However, the overall pancreatic leakage rate in patients with a pancreatic stent is similar to that of patients without it [24]. Complications related to stent migration after PD is not routinely reported. Layec et al. described two cases of stent migration after PD which caused constant abdominal pain that required endoscopic removal [25]. Topazian et al. reported the endoscopic removal of a migrated stent from the retroperitoneum [26]. Hepatic abscess due to the migration of an internal stent into the open biliary anastomosis was also referred to [12, 27].
Stent occlusion, upstream migration associated with chronic pancreatitis [28], and bezoar formation around the stent causing intestinal obstruction are also described in literature [29].
As seen in this case report, a migrated stent can lead to bowel perforation. The onset can be slow and unclear if perforation does not happen suddenly. Therefore, peritonitis may be localized because of bowel adhesions that surround the perforated bowel loop. CT scan proved to be the best imaging tool to detect perforation and to describe the intra-abdominal position of the stent.
When perforation was detected, the laparotomic approach was preferred to laparoscopy since bowel adhesions consequent to the previous surgical procedure and induced by the long lasting bowel inflammation were expected. Even in the absence of an evident breaking point in the small bowel where perforation occurred, the most likely perforation site comprehensive of other injured and inflamed bowel segments was resected. The stent in this case was a 7cm long 6 Fr, tailored on Wirsung diameter, matching the depth of the remnant pancreatic duct. A larger and longer stent would have probably taken longer to pass through the entire bowel, but it was tailored to properly fit the Wirsung duct in order to minimize any risk of pancreatic leakage [30, 31]. There is a lack of evidence about the true rate of post-operative complications related to pancreatic stenting. We believe that in patients presenting with abdominal pain or peritonitis who previously underwent PD with stent-guided pancreaticojejunal anastomosis, the hypothesis of stent migration should at least be taken into consideration.
Moreover, any radiological inquiry during an oncological follow-up should be performed focusing on the position of the devices placed intra-operatively. Radiologists should be encouraged to look for them and to report any change in their position.
Received May 22nd, 2014 – Accepted June 28th, 2014
Keywords Intestinal Perforation; Stents
Conflict of Interest Authors declare to have no conflict of interest
Correspondence Mari Giulio
Department of General Surgery
AO Vimercate Hospital of Desio
Vimercate
Italy
Phone: +39-036.238.3221
E-mail: giul_mari@yahoo.it
References
1. Martin JA, Haber GB Ampullary adenoma: clinical manifestations, diagnosis, and treatment. Gastrointest Endosc Clin N Am 2003; 13:649-669. [PMID: 14986792]
2. Shinkawa H, Takemura S, Kiyota S, Uenishi T, Kaneda K, Sakae M et al. Long-term outcome of surgical treatment for ampullary carcinoma. Hepatogastroenterology 2012; 59:1010-1012. [PMID: 22580650]
3. Askew J, Connor S. Review of the investigation and surgical management of resectable ampullary adenocarcinoma. HPB (Oxford) 2013. [PMID: 23458317]
4. La Torre M, Ramacciato G, Nigri G, Balducci G, Cavallini M, Rossi M et al. Post-operative morbidity and mortality in pancreatic surgery. The role of surgical Apgar score. Pancreatology 2013; 13:175-179. [PMID: 23561976]
5. Dominguez-Comesaña E, Gonzalez-Rodriguez FJ, Ulla-Rocha JL, Lede-Fernandez A, et al. Morbidity and mortality in pancreatic resection. Cir Esp 2013; 91:651-658. [PMID: 21421096]
6. Birkmeyer JD, Siewers AE, Finlayson EV, Stukel TA, Lucas FL, Batista I, et al. Hospital volume and surgical mortality in the United States. N Engl J Med. 2002; 346:1128–1137. [PMID: 11948273]
7. Al-Taan OS1, Stephenson JA, Briggs C, Pollard C, Metcalfe MS, Dennison AR et al. Laparoscopic pancreatic surgery: a review of present results and future prospects. HPB (Oxford) 2010; 12:239-243. Review [PMID: 20590893]
8. Roulin D, Cerantola Y, Demartines N, Schäfer M. et al. Systematic review of delayed postoperative hemorrhage after pancreatic resection. J Gastrointest Surg 2011; 15:1055-1062 [PMID: 21267670]
9. Hackert T, Werner J, Büchler MW. Postoperative pancreatic fistula. Surgeon 2011; 9:211-217. [PMID: 16003309]
10. Shrikhande SV, D'Souza MA. Pancreatic fistula after pancreatectomy: evolving definitions, preventive strategies and modern management. World J Gastroenterol 2008; 14:5789-5796. [PMID: 18855976]
11. Molinari E1, Bassi C, Salvia R, Butturini G, Crippa S, Talamini G, et al. Amylase value in drains after pancreatic resection as predictive factor of postoperative pancreatic fistula: results of a prospective study in 137 patients. Ann Surg 2007; 246: 281-287. [PMID: 17667507]
12. Price LH1, Brandabur JJ, Kozarek RA, Gluck M, Traverso WL, Irani S. Good stents gone bad: endoscopic treatment of proximally migrated pancreatic duct stents. Gastrointest Endosc 2009; 70:174-179. [PMID: 19559842]
13. Choe YM, Lee KY, Oh CA, Lee JB, Choi SK, Hur YS et al. Risk factors of pancreatic leakage after pancreaticoduodenectomy World J Gastroenterol 2005; 11:2456-2461. [PMID: 15832417]
14. Shrikhande SV, Qureshi SS, Rajneesh N, Shukla PJ. Pancreatic anastomoses after pancreaticoduodenectomy: Do we need further studies? World J Surg 2005; 29:1642-1649. Review [PMID: 7524375]
15. Zhou Y1, Zhou Q, Li Z, Chen R. Internal pancreatic duct stent does not decrease pancreatic fistula rate after pancreatic resection: a meta-analysis. Am J Surg 2013; 205:718-725 Review. [PMID: 23433889]
16. Imaizumi T1, Harada N, Hatori T, Fukuda A, Takasaki K. Stenting is unnecessary in duct-to-mucosa pancreaticojejunostomy even in the normal pancreas. Pancreatology 2002; 2:116–121. [PMID: 12123091]
17. Biehl T, Traverso LW. Is stenting necessary for a successful pancreatic anastomosis? Am J Surg 1992; 163:530–532. [PMID: 1575313]
18. Cameron JL, Riall TS, Coleman J, Belcher KA. One thousand consecutive pancreaticoduodenectomies. Ann Surg 2006; 244:10–15. [PMID: 16794383]
19. Abu Hilal M1, Malik HZ, Hamilton-Burke W, Verbeke C, Menon KV. Modified Cattell’s pancreaticojejunostomy, buttressing for soft pancreases and an isolated biliopancreatic loop are safety measurements that improve outcome after pancreaticoduodenectomy: a pilot study. HPB (Oxford) 2009; 11:154–160. [PMID: 19590641]
20. Katsaragakis S1, Larentzakis A, Panousopoulos SG, Toutouzas KG, Theodorou D, Stergiopoulos S et al. A new pancreaticojejunostomy technique: A battle against postoperative pancreatic fistula. World J Gastroenterol 2013; 19:4351–4355. [PMID: 23885146]
21. Takano S, Ito Y, Watanabe Y, Yokoyama T, Kubota N, Iwai S. Pancreaticojejunostomy versus pancreaticogastrostomy in reconstruction following pancreaticoduodenectomy. Br J Surg 2000; 87:423–427. [PMID: 10759736]
22. Bassi C1, Butturini G, Molinari E, Mascetta G, Salvia R, Falconi M et al. Pancreatic fistula rate after pancreatic resection. The importance of definitions. Dig Surg 2004; 21:54–59. [PMID: 10931023]
23. Hamanaka Y, Suzuki T. Total pancreatic duct drainage for leak proof pancreatojejunostomy. Surgery 1994; 115:22-26. [PMID: 8284756]
24. Roder JD, Stein HJ, Böttcher KA, Busch R, Heidecke CD, Siewert JR. Stented versus nonstented pancreaticojejunostomy after pancreatoduodenectomy: a prospective study. Ann Surg 1999; 229:41-48. [PMID: 9923798]
25. Layec S1, D'Halluin PN, Pagenault M, Sulpice L, Meunier B, Bretagne JF. Removal of transanastomotic pancreatic stent tubes after pancreaticoduodenectomy: a new role for double-balloon enteroscopy. Gastrointest Endosc 2010; 72:449-451. [PMID: 20541191]
26. Topazian M, Baron TH, Fidler JL, Chari S. Endoscopic retrieval of a migrated pancreatic stent from the retroperitoneum. Gastrointest Endosc 2008; 67:728-729. [PMID: 18243190]
27. Rezvani M1, O'Moore PV, Pezzi CM. Late pancreaticojejunostomy stent migration and hepatic abscess after Whipple procedure. J Surg Education 2007; 64:220-222. [PMID: 17706575]
28. Ammori BJ, White CM. Proximal migration of transanastomotic pancreatic stent following pancreaticoduodenectomy and pancreaticojejunostomy. Int J Pancreatology 1999; 25:211-215. [PMID: 10453422]
29. Biffl WL, Moore EE. Pancreaticojejunal stent migration resulting in ‘‘bezoar ileus.’’ Am J Surg 2000; 180:115-116. [PMID: 11044524]
30. Mok KT1, Wang BW, Liu SI. Management of pancreatic remnant with strategies according to the size of pancreatic duct after pancreaticoduodenectomy. Br J Surg 1999; 86:1018-1019. [PMID: 10460636]
31. Yoshimi F1, Ono H, Asato Y, Ohta T, Koizumi S, Amemiya R et al. Internal stenting of the hepaticojejunostomy and pancreaticojejunostomy in patients undergoing pancreat-oduodenectomy to promote earlier discharge form hospital. Surg Today 1996; 26:665-667. [PMID: 8855507]