CASE REPORT
JOP. J Pancreas (Online) 2015 Mar 20; 16(2):209-212.
Undifferentiated (Spindle Cell) Pancreatic Carcinoma: A Case Report with Osteochondroid Differentiation
Xing Wang, Yong-hua Chen, Yun-qiang Cai, Xu-bao Liu
Department of Hepatopancreatobiliary Surgery, West China Hospital, Sichuan University. Chengdu, China
ABSTRACT
Context Undifferentiated (spindle cell) carcinomas of the pancreas are rare anaplastic variants of pancreatic ductal adenocarcinoma with a frequency of 2% of pancreatic exocrine tumors. Their clinicopathological features are limited and obtained by few previously case reports. We report a case of undifferentiated pancreatic carcinoma with a rare focal osteochondroid differentiation. Case report A sixty-six-year-old woman was admitted to our hospital for abdominal pain and nonspecific nausea for almost 40 days. Imaging studies revealed a well-defined cystic–solid mass with heterogeneous density involving the tail of the pancreas. We performed an en bloc distal pancreatectomy with splenectomy for radical excision, as well as regional lymphadenectomy. The resected specimen revealed a 4.0×5.0 cm exophytic clear-bordered neoplasm of the tail of the pancreas containing necrotic and calcified areas, without splenic invasion. The lymph node involvement was not detected (0/5) and the surgical margins were negative. Microscopy showed pleomorphism with giant cells, spindle-shaped cells with anaplasia, and osteochondroid differentiation. A diagnosis of undifferentiated (spindle cell) carcinoma of the pancreas with focal osteochondroid differentiation was made. The patient declined chemotherapy and extended lymphadenectomy. She suffered from liver and lymph nodes metastasis 9 months after surgery, and she subsequently died 4 months later due to high tumor burden. Conclusions Undifferentiated pancreatic carcinoma with osteochondroid differentiation is rare but associated with extremely poor prognosis. It should be included in the differential diagnosis of pancreatic mass lesions.
INTRODUCTION
Undifferentiated (spindle cell) carcinomas of the pancreas are rare anaplastic variants of ductal adenocarcinoma of the pancreas [1]. These tumors are associated with more aggressive biological behavior and poorer prognosis than the more common ductal adenocarcinoma [2]. According to the 2010 World Health Organization (WHO) classification of tumors, the spindle cell carcinoma of the pancreas is classified under the undifferentiated carcinomas of pancreas together with sarcomatoid carcinoma and carcinosarcoma [3]. In practice, it is hard to differentiate these subtypes of the pancreatic undifferentiated carcinoma, since most of these types of tumor possess a spindle element [4]. The clear clinicopathological features of undifferentiated carcinoma of the pancreas are limited and obtained by few previously published case reports. Undifferentiated carcinomas of the pancreas are extremely rare tumors with a frequency of 2% of pancreatic exocrine tumors. Furthermore, undifferentiated pancreatic carcinomas with focal osteochondroid differentiation are rarer. To our best of knowledge, there are only two similar cases which have been previously reported [5, 6]. We report a case of undifferentiated (spindle cell) carcinoma of the pancreas with focal osteochondroid differentiation.
CASE REPORT
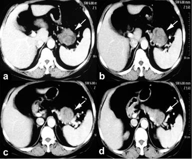
A sixty-six-year-old woman was admitted to our hospital who had suffered abdominal pain and nonspecific nausea for almost 40 days. Physical examination showed a vaguely palpable left upper abdominal mass with mild deep tenderness. Laboratory data including tumor marker (CA 19-9, CA 153, CEA, etc.) was normal. Abdominal ultrasound, magnetic resonance imaging (MRI) and computed tomography (CT) revealed a clear-bordered cystic–solid mass with heterogeneous density involving the tail of the pancreas (Figure 1). It measured approximately 4.0×5.0 cm, without any evidence of metastasis or invasion of the adjacent vessels and other tissues. We performed an en bloc distal pancreatectomy with splenectomy for radical excision, as well as regional lymphadenectomy. The postoperative pancreatic fistula and intra-abdominal abscess led to prolonged hospitalization (25 days), and was cured through percutaneous drainage and antibiotics. Gross examination revealed a 4.0×5.0 cm exophytic clear-bordered neoplasm of the tail of the pancreas containing necrotic and calcified areas, without invasion of the spleen (Figure 2). Three suspicious lymph nodes around the splenic artery and two around the splenic hilum were resected and evaluated for invasion. The lymph node involvement was not detected (0/5) and the surgical margins were negative (R0). The pathological examination revealed pleomorphism with giant cells and the spindle-shaped cells with anaplasia seen in hematoxylin and eosin (H&E) staining of tumor tissue (Figure 3). Immunohistochemical staining of tumor tissue was negative for smooth muscle actin (SMA), pancytokeratin (PCK), epithelial membrane antigen (EMA), S100, β-catenin and CD10, but weak positive for vimentin (Figure 4).

|
Figure 1. Computed tomography revealed a clear-bordered cystic-solid mass with heterogeneous density involving the tail of the pancreas (arrow). |

|
Figure 2. Distal pancreatectomy with splenectomy specimen shows ossification (arrow) in the tumor edge. |

|
Figure 3. H&E stain with ×400 magnification, showing the presence of spindle-shaped cells with anaplasia and neoplastic giant cells. Neoplastic osteoblasts and irregular mitosis are seen. It is also showing a focal osteochondroid differentiation within the tumor. |

|
Figure 4. Immunohistochemical staining of the pancreatic tumor was weak positive for vimentin (magnification ×100). |
Additionally, the tumor contained a focal area of osteochondroid differentiation. According to the histological and immunohistochemical observations, a diagnosis of undifferentiated (spindle cell) carcinoma of the pancreas with focal osteochondroid differentiation was made.
The patient declined palliative chemotherapy and extended lymphadenectomy. The patient’s 3-month follow up systemic positron emission tomography (PETCT) was negative, and her 6-month follow up abdominal CT did not find evidence of metastasis or recurrence. The patient suffered from liver and lymph nodes metastasis 9 months after surgery, and passed away at 13 months after her surgical resection.
DISCUSSION
Undifferentiated pancreatic carcinoma has been recognized as a rare variant of ductal adenocarcinoma of the pancreas in the 2010 WHO classification of tumors [3, 7]. However, these tumors have even more aggressive biological behavior than the fatal ductal adenocarcinoma of the pancreas [2]. Mesenchymal differentiation is one of the most important features of these tumors [3, 8]. Our present case describes an undifferentiated (spindle cell) carcinoma with an extremely rare osteochondroid histologic component.
Given its aggressive biological behavior and poor prognosis, it is of prime importance to make early diagnosis for patients with undifferentiated carcinoma of the pancreas. Imaging techniques such as ultrasound, CT and MRI help in some way to explain the nature of the tumor. A clear-bordered cystic–solid mass with heterogeneous density is the most common imaging feature of undifferentiated (spindle cell) carcinoma of the pancreas. Calcification is another imaging feature when undifferentiated pancreatic carcinoma is associated with osteochondroid differentiation, although it was not obvious on CT/MRI and ultrasound in our present case. However, it is difficult to differentiate this tumor from solid-pseudopapillary tumor (SPT) of the pancreas by imaging techniques alone. Because the typical imaging presentation of SPT is also a capsulated heterogeneous pancreatic mass with cystic and solid components [9]. Calcification may be also present in some cases of SPT [10]. Endoscopic ultrasound-guided fine needle aspiration (EUS-FNA) is increasingly used for pre-operative diagnostic yield of pancreatic mass [11], including undifferentiated carcinoma and SPT of the pancreas [6, 10]. However, EUS-FNA is an invasive procedure, and the operators' experience plays an important role in quality of FNA biopsy thereby determining the correct diagnosis of the tumor. In addition, EUS-FNA has limits of the risk of tumor dissemination and scant sampling of the lesion, especially for cystic–solid lesions with fluid in it. Therefore, preoperative EUS-FNA is not routinely performed for evaluation of a pancreatic mass with mixed solid and cystic components, especially when it is highly suspicious of malignancy basing on imaging [12, 13]. Preoperative EUS-FNA was not used in our case. Pathological confirmation seems to be the reliable way to prove the diagnosis of undifferentiated carcinoma of the pancreas. However, SPT with high-grade malignant transformation shares similarities in histological presentation with undifferentiated carcinoma of the pancreas, including nuclear atypia and spindle cell components [12, 14]. Immunohistochemical stains for CD10, β-catenin, vimentin, synaptophysin and chromogranin are helpful to differentiate them [3]. Of these, CD10, β-catenin and vimentin are the most consistently positive markers for SPT. Nevertheless, vimentin has previously been reported to be positive in both SPT and undifferentiated carcinoma of the pancreas [3, 10, 15]. Immunohistochemical staining of the tumor in our case were negative for both CD10 and β-catenin, but weak positive for vimentin. Combining with the findings in the HE staining, we excluded the diagnosis of SPT and made a diagnosis of undifferentiated (spindle cell) carcinoma of the pancreas with focal osteochondroid differentiation.
A relatively minimally invasive approach, such as enucleation and central pancreatectomy, is a reasonable option for the other cystic-solid pancreatic masses (including SPT, neuroendocrine tumor and cystic neoplasm of the pancreas) [16, 17]. Extended lymphadenectomy is not routinely performed for these tumors as the risk of lymph nodes metastases is very low [12, 16]. However, radical pancreatectomy is the most important part of the treatment of undifferentiated pancreatic carcinoma so far [1]. Furthermore, radical tumor excision with a more formal lymphadenectomy may be the optimal surgical strategy for patient with presumed undifferentiated pancreatic carcinoma. In our case, a mass was treated with an en bloc tumor excision with regional lymphadenectomy. However, consistent with most of the patients in previous case reports [18, 19], our patient developed early metastasis and rapid progression of disease, even after complete surgical (R0) resection. It eventually leads to her death. And she died of tumor 13 months after surgery. The postoperative inflammatory complications (pancreatic fistula and intra-abdominal abscess), may play a role in the poor prognosis of our case [20]. Marcos et al. [15] described a 61-year-old woman in Germany, who underwent tumor resection with positive caudal resection margin for pancreatic spindle cell carcinoma. She received 7-months chemotherapy (gemcitabine) but subsequently died 11 months after surgery due to tumor recurrence. Oettle et al. [21] suggested that in patients with pancreatic carcinoma who undergo curative resection there is a delay in disease progression. But the impact of adjuvant chemotherapy on survival of spindle cell carcinoma of pancreas needs to be further investigated. The patient in our study declined palliative chemotherapy. The curative effect of the radiotherapy has previously been reported to be different when it was used in the management of spindle cell carcinomas of different organs (including the esophagus, uterus and prostate) [22-24]. The impact of adjuvant radiotherapy on survival of spindle cell carcinoma of pancreas remains unclear.
Compared with undifferentiated pancreatic carcinoma without osteochondroid, undifferentiated pancreatic carcinoma with osteochondroid has some unique imaging and pathology features (ossification). Recognition of some features displayed in the present case may be useful in differentiating this unusual fatal tumor from the low-grade malignant SPT.
CONCLUSION
Undifferentiated pancreatic carcinoma with osteochondroid differentiation is extremely rare and is associated with poor prognosis. It should be included in the differential diagnosis of pancreatic mass lesions (especially for solid-pseudopapillary tumor of the pancreas).
Received January 7th, 2015 – Accepted February 25th, 2015
Keywords Carcinoma; Pancreas
Acknowledgement The research special fund for public welfare industry of health (201202007)
Conflict of Interest Authors declare to have no conflict of interest
Correspondence Xu-bao Liu
No 37, Guo Xue Alley
Chengdu
Sichuan, 610041
China
Phone: +86-28.8542.2477
Fax: +86-28.8542.2474
E-mail: abc_1030@163.com
References
1. Jo S. Huge undifferentiated carcinoma of the pancreas with osteoclast-like giant cells. World journal of gastroenterology: WJG 2014; 20: 2725-2730. [PMID: 24627610]
2. Paal E, Thompson LD, Frommelt RA, et al. A clinicopathologic and immunohistochemical study of 35 anaplastic carcinomas of the pancreas with a review of the literature. Annals of diagnostic pathology 2001; 5:129-140. [PMID: 11436166]
3. Bosman FT, Carneiro F, Hruban RH, Theise ND. WHO Classification of Tumours of the Digestive System. 4th ed. Lyon International Agency for Research on Cancer (IARC). 2010.
4. Kane JR, Laskin WB, Matkowskyj KA, et al. Sarcomatoid (spindle cell) carcinoma of the pancreas: A case report and review of the literature. Oncology letters 2014; 7:245-249. [PMID: 24348857]
5. Molberg KH, Heffess C, Delgado R, et al. Undifferentiated carcinoma with osteoclast-like giant cells of the pancreas and periampullary region. Cancer 1998; 82:1279-1287. [PMID: 9529019]
6. Manduch M, Dexter DF, Jalink DW, et al. Undifferentiated pancreatic carcinoma with osteoclast-like giant cells: report of a case with osteochondroid differentiation. Pathology, research and practice 2009; 205:353-359. [PMID: 9529019]
7. Verbeke CS, Menon KV. Osteoclast-like giant cell tumour of the pancreas: an undifferentiated carcinoma of duct epithelial origin. Pancreatology: official journal of the International Association of Pancreatology 2006; 6:254. [PMID: 16534249]
8. Pan ZG, Wang B. Anaplastic carcinoma of the pancreas associated with a mucinous cystic adenocarcinoma. A case report and review of the literature. JOP: Journal of the pancreas 2007; 8:775-782. [PMID: 17993730]
9. Reddy S, Wolfgang CL. Solid pseudopapillary neoplasms of the pancreas. Advances in surgery 2009; 43:269-282.
10. Cai Y, Ran X, Xie S, et al. Surgical management and long-term follow-up of solid pseudopapillary tumor of pancreas: a large series from a single institution. Journal of gastrointestinal surgery: official journal of the Society for Surgery of the Alimentary Tract 2014; 18:935-940. [PMID: 24519038]
11. Law JK, Stoita A, Wever W, et al. Endoscopic ultrasound-guided fine needle aspiration improves the pre-operative diagnostic yield of solid-pseudopapillary neoplasm of the pancreas: an international multicenter case series (with video). Surgical endoscopy 2014; 28:2592-2598. [PMID: 24718662]
12. Kim MJ, Choi DW, Choi SH, et al. Surgical treatment of solid pseudopapillary neoplasms of the pancreas and risk factors for malignancy. The British journal of surgery 2014; 101:1266-1271. [PMID: 25052300]
13. Fais PO, Carricaburu E, Sarnacki S, et al. Is laparoscopic management suitable for solid pseudo-papillary tumors of the pancreas? Pediatric surgery international 2009; 25:617-621. [PMID: 19479267]
14. Tang LH, Aydin H, Brennan MF, et al. Clinically aggressive solid pseudopapillary tumors of the pancreas: a report of two cases with components of undifferentiated carcinoma and a comparative clinicopathologic analysis of 34 conventional cases. The American journal of surgical pathology 2005; 29:512-519. [PMID: 15767807]
15. Gelos M, Behringer D, Philippou S, et al. Pancreatic carcinosarcoma. Case report of multimodal therapy and review of the literature. JOP: Journal of the pancreas 2008; 9:50-55. [PMID: 18182744]
16. Serrano PE, Serra S, Al-Ali H, et al. Risk factors associated with recurrence in patients with solid pseudopapillary tumors of the pancreas. JOP: Journal of the pancreas 2014; 15:561-568. [PMID: 25435571]
17. Tanaka M, Fernandez-del Castillo C, Adsay V, et al. International consensus guidelines 2012 for the management of IPMN and MCN of the pancreas. Pancreatology: official journal of the International Association of Pancreatology 2012; 12:183-197. [PMID: 22687371]
18. Wada T, Itano O, Oshima G, et al. A male case of an undifferentiated carcinoma with osteoclast-like giant cells originating in an indeterminate mucin-producing cystic neoplasm of the pancreas. A case report and review of the literature. World journal of surgical oncology 2011; 9:100. [PMID: 21902830]
19. Hirano H, Morita K, Tachibana S, et al. Undifferentiated carcinoma with osteoclast-like giant cells arising in a mucinous cystic neoplasm of the pancreas. Pathology international 2008; 58:383-389. [PMID: 18477218]
20. Bell SW, Walker KG, Rickard MJ, et al. Anastomotic leakage after curative anterior resection results in a higher prevalence of local recurrence. The British journal of surgery 2003; 90:1261-1266. [PMID: 14515297]
21. Oettle H, Post S, Neuhaus P, et al. Adjuvant chemotherapy with gemcitabine vs observation in patients undergoing curative-intent resection of pancreatic cancer: a randomized controlled trial. Jama 2007; 297:267-277. [PMID: 17227978]
22. Ogasawara N, Tamura Y, Funaki Y, et al. Rapidly growing esophageal carcinosarcoma reduced by neoadjuvant radiotherapy alone. Case reports in gastroenterology 2014; 8:227-234. [PMID: 25076867]
23. Galaal K, van der Heijden E, Godfrey K, et al. Adjuvant radiotherapy and/or chemotherapy after surgery for uterine carcinosarcoma. The Cochrane database of systematic reviews 2013; 2:CD006812. [PMID: 23450572]
24. Ozturk H. Primary spindle cell sarcoma of the prostate and (18) F-fluorodeoxyglucose-positron-emission tomography/computed tomography findings. Urology annals 2015; 7:115-119. [PMID: 25657562]