CASE REPORT
JOP. J Pancreas (Online) 2015 Mar 20; 16(2):205-208.
Seventy-two Cycles of FOLFIRINOX: Long Term Treatment in a Patient with Metastatic Adenocarcinoma of the Pancreatic Tail
Maximilian Tiller, Felix Gundling, Wolfgang Schepp, Martin Fuchs
Department of Gastroenterology, Hepatology and Gastrointestinal Oncology, Bogenhausen Academic, Teaching Hospital, Munich Municipal Hospital Trust. Munich, Germany
ABSTRACT
Context Pancreatic adenocarcinoma is one of the most lethal malignancies worldwide. In patients with unresectable tumor there are several strategies of palliative chemotherapy, either gemcitabine based regimens or FOLFIRINOX, which is supposed to be most efficient but also most toxic. Hence, management of toxicity is crucial to perform a therapy consisting of FOLFIRINOX. Case report We report on a 69-year-old female patient suffering from adenocarcinoma of the pancreatic tail with multiple liver metastases. Palliative chemotherapy comprising leucovorin, fluorouracil, oxaliplatin and irinotecan (FOLFIRINOX) was initiated in February 2011 and was tolerated very well. Subsequent computed tomography–scans showed significant reduction of the tumor load in the liver as well as in the primary pancreatic tumor. The serum levels of the tumor marker CA 19-9 were elevated initially and decreased concomitantly. Thus, chemotherapy was continued for more than 3 years, and up to 72 cycles were administered until April 2014. Due to intermittent neutropenia and mucositis the initial dose was reduced to 60% of the calculated standard dose. In April 2014, an intermediate staging by computed tomography and FDG-PET revealed significant reduction of the size of the primary pancreatic tumor compared with February 2011. Liver metastases could hardly be detected anymore. After pausing chemotherapy for 12 weeks, one liver metastasis reappeared and was treated by RFA in August 2014. Meanwhile, in October 2014 there is no radiological evidence on any existing tumor or metastasis. Conclusion Our report demonstrates that a sufficient tolerance of chemotherapy with FOLFIRINOX is achievable, what makes a long term treatment with FOLFIRINOX feasible and can lead to impressive results.
INTRODUCTION
Pancreatic adenocarcinoma is one of the most lethal malignancies worldwide and is regarded to be the fourth leading cause of cancer-related death in the U.S. [1]. The 5-year survival rate ranges from 2 to 6% in the U.S. and in Europe [2]. At present, only 20% of cases fulfil the criteria for resectability at the moment of primary diagnosis; 30-40% of the patients suffer from locally advanced disease where resection is no option anymore. Hence, the majority presents with metastatic disease at primary diagnosis [3]. Four different options are presently available for palliative chemotherapy of metastatic pancreatic cancer (MPC), three of them including gemcitabine either alone or in combination with NAB-paclitaxel or erlotinib. Compared to a 5-FU i.v. bolus therapy the gemcitabine based regimens prolong overall survival (OS) from 4.4 to 8.5 months (gemcitabine with NAB-paclitaxel) [4]. However, in the ACOORD11-trial Conroy et al. showed that a therapy comprising 5-FU, leucovorin, oxaliplatin and irinotecan (FOLFIRINOX) increases OS up to 11.1 months rendering FOLFIRINOX the most effective regimen available [5]. Increased toxicity limits this therapy by higher incidence of febrile neutropenia, thrombocytopenia, diarrhea and sensory polyneuropathia, respectively. This observation leads to the recommendation that only patients with a good performance status (PS), at least ECOG 1, and patients younger than 76 years be considered to receive FOLFIRINOX. However, after ACCORD11 no reliable data have been published regarding strategies of managing toxicity associated with the treatment of pancreatic cancer with FOLFIRINOX.
CASE REPORT
In January 2011 a 69-year-old female patient was admitted to our hospital due to persisting abdominal pain and elevated liver enzymes in the serum. Based on CT-scans (Figures 1 and 2) and laboratory diagnostics, adenocarcinoma of the pancreatic tail with multiple liver metastases was diagnosed. This diagnosis was confirmed histologically by biopsy of one of the liver metastases revealing poorly differentiated adenocarcinoma (Figure 3). Because of the clear constellation of diagnostic findings immunohistochemistry was dispensable. In our interdisciplinary tumor conference palliative chemotherapy was suggested. Because of the patients’ excellent performance status (ECOG 0) a first line therapy including folic acid, fluorouracil, oxaliplatin and irinotecan (FOLFIRINOX) was initiated in February 2011. In follow up staging CT scans showed significant shrinkage of the liver metastases and of the primary tumor, while serum CA 19-9 decreased concomitantly (Figure 4). After 2 years of chemotherapy, in February 2013, liver metastases could hardly be detected anymore, whereas the primary tumor in the pancreatic tail was still detectable and suspicious of residual cancer tissue. Thus, chemotherapy with FOLFIRINOX was continued. Subsequently, the lesion in the pancreatic tail stayed exactly the same size over another year of chemotherapy, while liver metastases did not recur as long as FOLFIRINOX was administered. In April 2014 we additionally performed an FDG-PET-CT-scan to find out whether the primary lesion in the pancreatic tail was still representing vital tumor tissue. Neither in the liver nor in the pancreatic tail FDG-uptake was increased (Figures 5, 6). Thus, we paused chemotherapy for 12 weeks and performed another CT-scan in August 2014 revealing a single metastasis in segment IVb of the liver. This metastasis was treated by radio frequency ablation (RFA). Six weeks later another CT-scan showed no sign of vital tumor tissue in the pancreas or the liver or elsewhere in our patient.

|
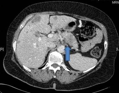
Figure 1. CT-scan of our patient in February 2011: tumor in pancreatic tail-region marked with the blue arrow. |

|
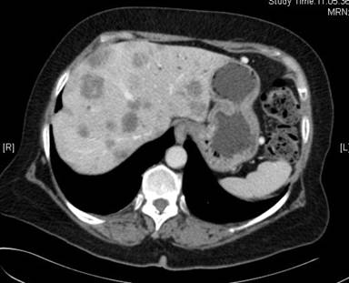
Figure 2. CT-scan of our patient in February 2011: several metastases in both lobes of the liver. |

|
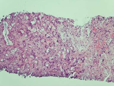
Figure 3. Histology of a liver biopsy (HE; 1:100) done in Feb. 2011. Liver tissue infiltrated a poorly differentiated adenocarcinoma, most probably originating from the pancreatic tail. |

|
Figure 4. Follow up laboratory parameters during chemotherapy (February 2011 to April 2014) and afterwards. CA 19-9: red line; neutrophils: yellow line; thrombocytes: magenta line |

|
Figure 5. PET-CT-scan in May 2014. The blue arrow marks the pancreatic tail-region. |

|
Figure 6. PET-CT-scan in May 2014. No increased signal within the liver parenchyma is detectable. |
Overall, our patient showed only moderate signs of toxicity, mainly mucositis grade 2 which, in combination with grade 2-3 thrombocytopenia, forced us to reduce chemotherapy dose in a first step to 75% of standard dose in October 2011. In addition, mucositis was treated by an oral washing solution, consisting of antiseptic and anaesthetic compounds. In November 2012, another decline of leucocytes and thrombocytes (grade 3) lead to a further reduction to 60% of standard dose and to omission of 5-fluorouracil. G-CSF support was not necessary in the further course. Polyneuropathy occurred since the beginning of the chemotherapy, manifesting by paraesthesia mainly of the finger tips. However, it never exceeded grade 2. Our patient was treated with vitamin B6, and paraesthesia became less over the whole period of treatment time. Excellent tolerance enabled us to continue this chemotherapeutic regimen for more than 3 years during which a total of 72 cycles of palliative chemotherapy with FOLFIRINOX were administered until April 2014.
DISCUSSION
Since the ACCORD11 trial, FOLFIRINOX is well known to be the most effective chemotherapy regimen in unresectable and advanced pancreatic carcinoma. On the other hand, FOLFIRINOX is associated with a higher toxicity compared to gemcitabine-based chemotherapies.
Several strategies of dose reduction and modification of FOLFIRINOX have been reported in other case series. To delay doses is one option, as done by Moorcraft et al. in 47% of 49 patients with MPC and locally advanced pancreatic cancer (LAPC) [6]. Furthermore, these authors performed dose reductions in 74% of patients, enabling 22 patients to receive more than 12 cycles of FOLFIRINOX (up to 26 cycles, median: 9 cycles). However, oxaliplatin was frequently discontinued after 9 cycles. Grade 3-4 neutropenia occurred in 29%, grade 3-4 diarrhea in 4% and grade 3-4 fatigue in 18% of patients. In comparison, Conroy et al. reported on grade 3-4 neutropenia in 45.7% of patients, diarrhea in 12.7% and fatigue in 23.6% [5]. Interestingly, the main reason for discontinuing FOLFIRINOX within Moorcraft´s study was disease progression (45%) but not toxicity (4%). Another retrospective case series was published by Gunturu et al. [7] in which only 6 out of 35 patients received the full dose with the first and subsequent cycles of chemotherapy. Dose reduction strategies were to diminish the doses of each chemotherapy compound separately, as required individually and furthermore to omit the 5-FU-bolus. Grade 3-4 neutropenia was observed in 11.4% of patients, grade 3-4 diarrhea in 2.9% and grade 3-4 fatigue in 5.7%. As the authors claim, efficacy of FOLFIRINOX was not compromised. Mahaseth et al. hypothesized that omission of 5-FU-bolus and administration of hematopoietic growth factors would decrease the toxicity of FOLFIRINOX [8]. They reviewed 60 patients with MPC and LAPC in whom grade 4 neutropenia, grade3-4 diarrhea and fatigue were reduced by 3%, 13% and 13%, respectively. In another case series Peddi et al. examined 61 patients, 19 of them with LPAC, all others with MPC [9]. Disease control was achieved in 72.5% of patients, 22.5% had a partial and 2.5% a complete response. 19.7% of patients developed grade 3 to 4 neutropenia, 3.3% grade 3 to 4 diarrhea, and 4.9% suffered of grade 3-4 fatigue. In this study, the FOLFIRINOX-regimen was modified in 50.8% of patients by excluding chemotherapy compounds (mainly deletion of 5-FU) and by reducing the dose of irinotecan). Furthermore, 41 patients (67.2%) received G-CSF.
In our case, the excellent tolerance for FOLFIRINOX is certainly singular and extraordinary and cannot be generalized for all patients receiving FOLFIRINOX. Yet, it shows that toxicity is manageable, and long term admission of FOLFIRINOX is feasible. We feel that close-meshed monitoring of tumor response and toxicity, general dose reduction of the FOLFIRINOX regimen, omission of the 5-FU-bolus over the course of chemotherapy if necessary, and sufficient medical supply concerning occurrence and treatment of adverse events can make FOLFIRINOX more tolerable. In our patient, this approach enabled us to continue FOLFIRINOX for more than three years, resulting in an impressive shrinkage of the primary tumor as well as of its metastases.
CONCLUSION
Our report stresses the need for more randomized and controlled data about toxicity, tolerance of toxicity, strategies for dose alteration and possible predictors of response in FOLFIRINOX chemotherapy. Further, we demonstrate that a long term treatment is feasible and will achieve impressive results in tumor response.
Received January 10th, 2015 – Accepted February 24th, 2015
Keywords Adenocarcinoma
Conflict of Interest Authors declare to have no conflict of interest
Correspondence Maximilian Tiller
Department of Gastroenterology, Hepatology and Gastrointestinal Oncology
Bogenhausen Academic Teaching Hospital
Munich Municipal Hospital Trust
Englschalkingerstrasse, 77
81925 Munich
Germany
Phone: +49-89.9270.2061
Fax: +49-89.9270.2486
E-mail: maximilian.tiller@klinikum-muenchen.de
References
1. Jemal A, Siegel R, Xu J, Ward E. Cancer statistics, 2010. CA Cancer J Clin 2010; 60:277-300. [PMID: 20610543]
2. Siegel R, Naishadham D, Jemal A. Cancer statistics. CA Cancer J Clin 2012; 62:10e29. [PMID: 22237781]
3. Hidalgo M. Pancreatic cancer. N Engl J Med 2010; 362:1605e17. [PMID: 20427809]
4. Cagatay A, Suayib Y. Current and future systemic treatment options in metastatic pancreatic cancer. J Gastrointest Oncol 2014; 5:280-295 [PMID: 25083302]
5. Conroy T, Desseigne F, Ychou M, Bouché O, Guimbaud R, Bécouarn Y, Adenis A, Raoul JL, et al., Groupe Tumeurs Digestives of Unicancer; PRODIGE Intergroup. FOLFIRINOX versus Gemcitabine for Metastatic Pancreatic Cancer. N Engl J Med 2011; 364:1817-25. [PMID: 21561347]
6. Moorcraft SY, Khan Km Peckitt C, Watkins D, Rao S, Cunningham D, Chau I. FOLFIRINOX for locally advanced or metastatic pancreatic ductal adenocarcinoma: the Royal Marsden experience. Clin Colorectal Cancer 2014; 13:232-8. [PMID: 25442814]
7. Gunturu KS, Yao X, Cong X, Thumar JR, Hochster HS, Stein SM, Lacy J. FOLFIRINOX for locally advanced and metastatic pancreatic cancer: single institution retrospective review of efficacy and toxicity. Med Oncol 2013; 30:361. [PMID: 23271209]
8. Mahaseth H, Brutcher E, Kauh J, Hawk N, Kim S, Chen Z, Kooby DA, Maithel SK, et al. Modified FOLFIRINOX regimen with improved safety and maintained efficacy in pancreatic adenocarcinoma. Pancreas. 2013; 42:1311-5. [PMID: 24152956]
9. Peddi PF, Lubner S, McWilliams R, Tan BR, Picus J, Sorscher SM, et al. Multiinstitutional experience with FOLFIRINOX in pancreatic adenocarcinoma. JOP 2012; 13. [PMID: 22964956]