REVIEW
JOP. J Pancreas (Online) 2015 May 20; 16(3):218-226.
Solid-Pseudopapillary Neoplasm of the Pancreas: Case Series and Literature Review
José Roberto Alves, Enio Campos Amico
Department of Integrated Medicine, University Hospital Onofre Lopes, Federal University of Rio Grande do Norte. Natal, Brazil
ABSTRACT
The solid-pseudopapillary neoplasm of the pancreas is a rare disease, although since 2000, it has been often identified. The current study aims to present a 10-case series of solid-pseudopapillary neoplasm of the pancreas and a literature review on the topic. The cohort consisted of nine female patients and one male. The mean age in the group was 31.2 year-old. These patients underwent surgical treatment at the University Hospital between May 2007 and July 2014. Since there was a previous systematic literature review on solid-pseudopapillary neoplasm of the pancreas (prior to September 20th, 2012), a complementary review was done after this period using PubMed’s data base. The search identified 225 studies on this subject, but only 13 were selected for detailed analysis, after applying the inclusion and exclusion criteria. As a result, most of the information about the disease’s epidemiology, clinical manifestations, malignity risk factors, metastasis and relapse were gathered, however, early diagnosis remained a challenge. Radical surgical resection is established as the standard treatment protocol for the disease, it is also recommended to perform metastasectomy, vascular resections and/or resections of other compromised organs in order to ensure therapeutic success in 95% of the cases. However, a post-operative follow up of at least 5 years is required to identify the possibility of relapses. Further studies are still needed mainly to define this disease’s true prevalence among men, protocols for early diagnosis and the possible role of adjuvant therapies.
INTRODUCTION
The solid-pseudopapillary neoplasm (SPN) is an epithelial neoplasm consisting of discohesive polygonal cells that surround delicate blood vessels. These cells form a solid mass as well as pseudopapillary structures formed by morphologically consistent cells; hemorrhage and cystic degeneration are also present [1-4]. These cystic parts result from the degeneration of pre-existing solid components [1].
SPN is predominantly found in the pancreas. However, it may rarely (1.1-1.8%) occur in other organs such as: retroperitoneum, mesentery, omentum, ovaries, adrenal gland, liver, stomach and duodenum [1, 2, 5, 6,].
Despite being a rare neoplasm of unknown etiopathogenesis [2, 5, 7-9], since 2000 it has been more often identified by incidental findings related to technological advances and the increase in the number of requests for computed tomography (CT) and magnetic resonance (MRI) of the abdomen. These exams ended up being the basis for other studies that have presented more experiences with patients treated for SPN of the pancreas, although they were based on cases from a single institution [1, 4, 10-12] or on multicenter institutional retrospective case series [8]. Therefore, the current study aims to present a case series of patients treated by the authors and the most updated scientific evidences available about SPN of the pancreas.
LITERATURE REVIEW
Methodology
In 2014, Law JK et al. [9] published a systematic literature review on SPN. They assessed 484 studies published in English at PubMed and Scopus databases up to September 19th, 2012 in order to search for updated scientific evidences related to SPN of the pancreas. Inspired by the findings by Law JK et al. [9], as well as by our own clinical experience with 10 SPN pancreatic cases, we made a complementary literature review by searching articles in PubMed database, using time period after September 19 th, 2012 and the following strategy [9]: ("Pancreas"[Mesh] or "pancreas"[All Fields] or "pancreatic"[All Fields]) and ("pseudopapillary"[All Fields] or "pseudopapillary"[All] or "frantz's tumor"[All] or "frantz's tumour"[All Fields] or "papillary cystic"[All] or "papillary-cystic"[All Fields] or "solid cystic"[All Fields] or "solid-cystic"[All Fields] or "cystic solid"[All Fields] or "solid-papillary"[All Fields] or "solid papillary"[All Fields] or "papillary cystadenocarcinoma"[All Fields] or "Acinar cell cystadenocarcinoma"[All Fields] or "papillary epithelial neoplasm"[All Fields] or "solid epithelial neoplasm"[All Fields] or "Hamoudi"[All Fields]) and English[lang]. We linked the search results and the selection filter of the research period between September 20th 2012 and November 03rd 2014 (this was the day of the search). This search led to 225 studies that were later subjected to pre-established inclusion and exclusion criteria:
Inclusion
1) Publications in English presenting pancreatic SPN cases confirmed by histological or cytological diagnosis;
2) Systematic literature review studies published in English regardless the nationality of their authors, but that have presented adequate methodology;
3) Free access to the studies through the institutional login of Federal University of Rio Grande do Norte, Brazil
4) Publications based on studies that used cohorts consisting of 40 individuals or more.
Exclusion
1) Studies with patients under 12 year-old;
2) Case report studies;
3) Studies that mentioned pancreatic cystic neoplasms, other neoplasms and/or pancreas cancer in general terms, except by the SPN;
After the inclusion and exclusion criteria were applied, thirteen studies were selected out of the 225 that were primarily found [1, 3, 4, 8-11, 12-18]. Two [15, 18] of these thirteen studies were taken under consideration, although we did not have complete free access to their texts, because they presented sufficient epidemiological and clinical data to help finding the expected inferences for comparisons with other studies (Table 1). One of these two texts is still in “in press” situation.
Table 1. Features of the patients with SPN in 13 selected studies.
|
Authors |
Type of Study |
No. |
Female/Male |
Mean age (years) |
Absence of symptoms |
Mean tumor size (cm) |
Most frequent location of the tumor |
Frequency of distant metastasis |
|
|
Ye J |
Uni-institutional retrospective study |
82 |
70/12 |
31 |
32 |
6.71 |
Head
of the pancreas |
1 |
|
|
Wang WB |
Uni-institutional retrospective study |
187 |
? |
30 |
? |
? |
? |
4 |
|
|
Cai J |
Uni-institutional retrospective study |
115 |
100/15 |
35 |
32 |
6.3 |
Tail
of the pancreas |
5 |
|
|
Kang CM |
Multicentric retrospective study |
351 |
317/34 |
36.8 |
154 |
5,7 |
Body
and tail of the pancreas |
5 |
|
|
Law JK |
Literature review |
2744 |
2408/336 |
28.5 |
593 |
8.6 |
Body
and tail of the pancreas |
118 |
|
|
Kim MJ |
Uni-institutional retrospective study |
106 |
85/21 |
36 |
54 |
4.5 |
Tail
of the pancreas |
? |
|
|
Park MJ |
Uni-institutional retrospective study |
72 |
60/12 |
35 |
NE |
4.6
(W) |
? |
NE |
|
|
Estrella JS |
Uni-institutional retrospective study |
64 |
54/10 |
33 |
9 |
6.6 |
Tail
of the pancreas |
5 |
|
|
Hu S |
Uni-institutional retrospective study |
102 |
86/16 |
30.2 |
39 |
7.6
(W) |
Head
and neck |
?
(W) |
|
|
Raman SP |
Uni-institutional retrospective study |
51 |
43/8 |
33.3 |
11 |
5.4 |
Tail
of the pancreas |
1 |
|
|
Park JK |
Uni-institutional prospective study |
60 |
55/5 |
34 |
? |
? |
? |
2 |
|
|
Wang LJ |
Uni-institutional retrospective study |
102 |
89/13 |
29*** |
51 |
? |
Body
and tail |
3 |
|
|
Yin Q |
Uni-institutional retrospective study |
82 |
65/17 |
33.1 |
42 |
6.0 |
Head
of the pancreas |
? |
|
No.: patients’ number; cm: centimeter; ?: no reported information (unknown) or information was not clearly described in the study; NE: not evaluated in the study; W: women; M: man
* Study assessed only metastases in the liver
** Studies presenting the head of the pancreas as the second most frequent location of the tumor
*** Women mean age = 27.3 years and men mean age = 42.9 years
Besides, according to the aforementioned methodology, in order to approach other subjects about pancreatic NSP that were not discussed by studies resulting from the current review [1, 3, 4, 8-12, 15-18] we searched for other past literature reviews [2, 5]. These other reviews regard other classical studies able to better represent tumor classification [19], to widen the discussion on metastasis [7, 8], to describe the use of abdominal ultrasound with intravenous contrast (CEUS) [20], positron emission tomographic/computed tomographic (PET/CT) [21] and the less aggressive surgical treatment [22].
Definition
The first three cases of SPN of the pancreas were described back in 1959 by Frantz [23]. As time went on, the disease got many names and was identified by means of the association of words such as "tumor" or "neoplasm", preceded by other terms as: cystic, papillary, solid-cystic, solid-papillary, epithelial-papillary, Frantz, Hamoudi, benign or malignant [1, 4, 8]. However, in 2010, the World Health Organization decided to finally classify the disease and call it Solid-pseudopapillary neoplasm (SPN) [19].
Epidemiology
The SPN of the pancreas may represent up to 2.7% of all pancreatic neoplasms [2, 8]. This tumor is more commonly found in women (8 times more common in women than in men) [2, 5, 7, 23] and it is prevalent in patients 20-30 year-old [2, 5, 9, 12, 16], regardless their gender. However, some studies showed higher prevalence in older patients, i.e., in their 30s-40s, regardless the gender [1, 4, 8, 8-12, 15-18]. The mean prevalence age ranged from 28.5 [9] to 36.8 years [8], for both genders. Six-year-old and seventy-year-old [18] were, respectively, the minimum and maximum ages recorded for patients with pancreatic SPN (Table 1).
Between May 2007 and July 2014, ten patients with confirmed diagnosis of SPN were surgically treated by the authors of the current article at University Hospital Onofre Lopes (UHOL). Our cohort consisted of nine women and one man. The group’s mean age was 31.2 year-old (range=15-69, SD=17.99) (Table 2).
Table 2. Personal series of 10 pancreatic SPN. |
||||||
|
No. |
Age |
Sex |
Preoperative imaging examination findings (CT or MRI of the abdomen) |
Tumor location |
Tumor size seen on ANP ex. (cm) |
Surgical treatment |
|
#1 |
19 |
F |
CT: image of mixed tumor (solid-cystic) in the pancreatic head, with extrinsic compression of the gallbladder. |
head |
9.5 |
Whipple’s operation |
|
#2 |
35 |
F |
CT: image of solid tumor in the pancreatic neck. |
neck |
3.5 |
Central pancreatectomy |
|
#3 |
48 |
F |
MRI: image of mixed tumor (solid-cystic) in the pancreatic head-neck transition. |
head and neck |
7 |
Whipple’s operation + portal v. resection with splenic v. graft + splenectomy |
|
#4 |
18 |
F |
CT: image of solid tumor in the pancreas body. |
body |
5.5 |
Body-tail pancreatectomy + CCT + splenectomy + enterectomy |
|
#5 |
69 |
F |
MRI: image of solid tumor in pancreatic tail. |
tail |
1.7 |
Body-tail pancreatectomy + splenectomy |
|
#6 |
20 |
F |
CT: image of solid tumor in pancreatic body. |
body |
9 |
Central pancreatectomy |
|
#7 |
16 |
F |
CT: image of mixed tumor (solid-cystic) in the pancreatic body-tail transition associated with mild compression of the large gastric curvature (Figure 2b) |
between body and tail |
4 |
Body-tail pancreatectomy + splenectomy |
|
#8 |
26 |
F |
CT: image of mixed tumor (solid-cystic) in pancreatic head. Presence of cholelithiasis. (Figure 2a) |
head |
7 |
Whipple’s operation + right hemicolectomy + CCT |
|
#9 |
46 |
M |
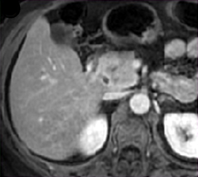
MRI: image of mixed tumor (solid-cystic) in pancreatic head with signs of SMV involvement (2 cm), without obstruction of bile ducts or Wirsung duct. Presence of bilateral nephrolithiasis (kidney stones: left = 0.16 cm and right = 0.53cm). (Figure 3) |
head |
4 |
Whipple’s operation + resection of portal v. seg. and SMV (patch with internal jugular v.) |
|
#10 |
15 |
F |
CT: image of mixed tumor (solid-cystic) in pancreatic body. |
body |
6.5 |
Body-tail pancreatectomy + splenectomy |
|
No.: case number; CT: computerized tomography; MRI: magnetic resonance imaging; ANP ex: anatomopathological examination; cm: centimeters; v.: vein; CCT: cholecystectomy; SMV: superior mesenteric vein; seg: segment; +: plus |
||||||
CLINICAL MANIFESTATIONS
According to the systematic review done by Yu et al. [2], one-third of SPN patients are asymptomatic. Most of the time, SPN of the pancreas is diagnosed by findings incidentally identified by complementary imaging exams of the abdomen (ultrasound, CT and MRI) requested by physicians from different specialties as routine evaluations or even during investigations of other diseases [7]. However, in the single institution retrospective series by Kim MJ et al. [10] the number of asymptomatic patients was bigger and represented 50.9% of the cohort (Table 1).
The disease’s clinical manifestations may be non-specific and coexist with two or more different symptoms. The most frequent symptoms are: pain and/or abdominal discomfort [1, 2, 4, 5, 7-12, 15-18], palpable abdominal mass [1, 2, 4, 5, 7-12, 15-18], nausea and/or vomiting [1, 2, 4, 5, 7, 9, 10]. Warning symptoms such as jaundice, anorexia, weight loss, asthenia and fever are uncommon when associated with pancreatic SPN [1, 2, 4, 7-9, 12].
Regarding our case series (n = 10), 60% of the patients were asymptomatic and abdominal pain was the most common symptom (Table 3).
|
Table 3. Our experience (10 patients): Clinical manifestations. |
||
|
Clinical manifestations |
Frequency |
|
|
Abdominal pain |
Non-specific |
1 |
|
Weight loss |
2 |
|
|
Palpable tumor to APE |
1 |
|
|
Vomiting |
1 |
|
|
Chronic diarrhea |
1 |
|
|
Asymptomatic |
|
4 |
|
APE: abdominal physical examination |
||
DIAGNOSIS
Although, most of the time, the pancreatic SPN is diagnosed incidentally because of your clinical presentation frequently asymptomatic or by the presence of non-specific clinical manifestations [1, 2, 4, 7, 12, 16, 17]. Figure 1, presents an algorithm to illustrate the use of ultrasound, CT and MRI of the abdomen as instruments used to diagnose the disease [2, 5, 7, 9]. Below is presented the most characteristic findings identified by these imaging exams.

|
Figure 1. Diagnostic and therapeutic algorithm of the solid pseudopapillary neoplasia of the pancreas. US: ultrasound; CT: computerized tomography; MR: magnetic resonance; EUS: echoendoscopy; FNA: fine needle aspiration |
Abdominal Ultrasound
Abdominal ultrasound is able to identify a tumor, often single, solid, hypoechogenic with irregular shape but well defined or a solid lesion with cystic areas or, yet a lesion that is just cystic [5, 7, 12, 17]. Sometimes the lesion can be associated with calcifications [5, 7, 12, 17]. Additionally, it is seen increased diagnostic accuracy of the method when the abdominal ultrasound is associated with intravenous contrast (CEUS) [20]. Thus, in this case, if there is suspicion of pancreatic NSP, CEUS allows visualizing a peripheral hyperenhancing rim in the arterial phase [20].
Computed Tomography (CT) of the Abdomen
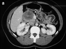
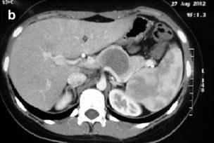
CT of the abdomen (Figures 2) can identify a circumscribed lesion, usually single, encapsulated, with evidences of internal hemorrhage with tomographic heterogeneous aspects due to the presence of solid and cystic components in different amounts and predominance [1, 15, 16, 17]. Thus, the lesion can consist just of solid components and it can pass through the mixed or solid-cystic form (most common general tomographic presentation) and reach the purely cystic aspect [1, 15, 16, 17]. According to studies by Hu S et al. [16] and Park MJ et al. [15], there is different prevalence between the types of tomographic presentations of pancreatic SPN lesions regarding gender. Thus, the solid-cystic form is the most frequent in women and in men, the form consisting just of solid components prevails [15, 16]. Still, the contrast or understrapper (hyper-density of the image shown in the CT) will be stronger if the amount of existing solid component in the lesion is bigger [1, 15, 16, 17]. Other features able to be evaluated and identified through the CT are: calcification in the capsule, periphery or in the center of the lesion [1, 15, 16, 17]; pancreatic parenchyma around the lesion with normal aspect associated with the non-dilated pancreatic and/or bile ducts [1, 15, 16, 17]; and invasions of vascular structures and neighbor organs, as well as metastases [4, 5, 7]. Finally, the vascularization of the tumor itself is often avascular or little to modestly hyper-vascular, but it is rarely seen [5]. Yet, it is worth talking about the role played by PET-CT when handling pancreatic NSP patients. Unfortunately, there are just a few studies about the use of PET-CT to evaluate these patients. Thus, the few existing studies on this theme are retrospectives with small casuistic [21]. We highlight the uni-institutional retrospective study by Kim Y, et al. [21] which considers the recommendation of PET-CT to evaluate pancreatic NSP patients in order to identify the subtle metastases, especially when it assesses patients with a tumor formed by predominantly solid components.


|
Figure 2. a. Abdominal computerized tomography showing the SPN in the pancreatic head in Case #8. b. Abdominal computerized tomography after body-tail pancreatectomy with splenectomy for SPN (Case #7). |
Magnetic Resonance Imaging (MRI) of the Abdomen
MRI (Figure 3) is recommended to request a MRI to all the patients with suspicion of SPN of the pancreas, besides the CT of the abdomen, in order to avoid possible diagnostic mistakes [1, 12, 16, 17, 24]. MRI presents information about images related to contrast behavior (understrapper), after it is administered. This information is similar to that of the CT. However, MRI add information that enable better determining the lesion’s resectability, the presence and integrity of the capsule (discontinuities), internal blood products and the cystic component [1, 12, 16, 17, 24]. The inherent features of the MRI method are characterized by the depiction of circumscribed and hypo-intense lesions in T1. However, still in T1, after the intravenous administration of gadolinium during the arterial phase, the lesion becomes progressively and slight enhancement, with heterogeneous aspect. But in the venous and late phase, the lesion gets little intense (Hypo-intense) due to the fact that the contrast gets little perceptible [12, 16, 17]. The solid tumors get gradually more strength. The cystic tumors were insignificantly enhanced during the portal venous and delayed phases [12]. However, these lesions appear hyper-intense in T2 [12, 16, 17].

|
Figure 3. Magnetic resonance imaging of the abdomen in Case #9 showing the tumor. |
Fine Needle Aspiration Biopsy (FNAB) Guided by Echoendoscopy (EUS)
Although it has limited availability in most of medical services, FNAB guided by EUS is recommended when the tumor is located in the head of the pancreas [9]. FNAB guided by EUS may work as a way to generate pre-operative histological confirmations when the diagnosis for SPN of the pancreas is uncertain or to improve surgical planning. It enables the indication of less aggressive surgical-therapeutic approaches. The surgical resection is the most economic procedure, for instance, the performance of only one enucleation of the tumor [2, 4, 5, 7, 8, 10] (Figure 1). However, we must take under consideration that FNAB guided by EUS is not always successful in the histological confirmation of the SPN of the pancreas [9]. This is corroborated by Law JK [9] when he shows successful rate of 69.5% (73 cases, n=105).
Immunochemical Study
Sometimes, the final diagnosis of SPN of the pancreas may come after associating findings of anatomical and histopathological studies and the results from the immunohistochemical studies [4]. Even though, the use of immunohistochemical studies to diagnose SPN of the pancreas presents difficulties, since the disease is a neoplasm expressed by different specific markers of neuroendocrine tumors such as the expression (positivity) of a-1-antitrypsin, a-1-antichymotrypsin; the progesterone receptor; β-catenin, CD 10 (neural endopeptidase), neuron-specific enolase, CD 56 (adhesion molecules of neural cells) and vimentin [2, 4, 5, 7, 10-12] (Figure 1). Thus, sometimes, the immunohistochemical diagnosis of SPN may actually occur in the absence of expression markers (negativity) such as AE1/AE3 cytokeratins, synaptophysin, chromogranin A and trypsin [11]. Although chromogranin A is rarely expressed in SPN [8], it may express itself in approximately 2-10.1% of the cases [11, 12].
Finally, when we are looking for diagnosing SPN of the pancreas, despite the availability and use of CT and MRI of the abdomen as well as the FNAB guided by EUS (Figure 1), when the tumor presents diameter smaller than 3 cm, its cystic component will be hardly detected even if it is there [4]. It can make the diagnosis of SPN even harder and sometimes it may lead the physician to other wrong hypothetical diagnoses such as adenocarcinoma of the pancreas. In this case, the therapeutic proposition will be improperly changed [4].
Sixty percent (60%) of our patients were diagnosed with SPN of with the use CT and MRI scans of the abdomen (Table 2 and Figures 2a and 3). All the patients in our cohort had normal values of the following laboratory studies: complete blood count, coagulation panel (Prothrombin time; International normalized ratio; Partial thromboplastin time; Number of platelets; Bleeding time) amylase, serum creatinine, blood urea, serum albumin, liver profile and also had normal pre-operative tumor markers (like CEA and CA 19.9). The anatomic and pathological examination corroborated the diagnosis of SPN in 90% of the cases. Immunohistochemical studies were necessary to get the final diagnostic confirmation in only one case.
Risk Factors for Malignancy, Metastases and Recurrence
According to the World Health Organization, SPN of the pancreas must be considered malignant when the tumor is associated with invasions to neighbor organs and tissues, microscopic perineural and/or vascular invasions and/or with metastases [3, 19].
Although patients with SPN have low malignant prognostic and high changes of healing after adequate surgical treatment, relapses may occur [2]. Thus, it is possible to find metastases during follow ups with patients surgically treated in up to 15% of the cases [3] (Table 1). So far, no patient in our cohort presented signs of recurrence during follow up.
Metastasis of SPN are very rare [3]. The most common metastatic site is the liver [3, 24]. The frequency in this organ is followed by occurrences in the mesentery, omentum, lymph nodes and in the peritoneum [2, 3, 17, 24]. Nevertheless, there is the possibility of finding local invasion in other organs such as the duodenum, stomach, spleen and in large abdominal blood vessels [1].
The risk factors in SPN that are related to an aggressive or potentially more malignant behavior, thus increasing chances of recurrence are: the identification in the first surgery of metastasis or deep invasion in the pancreatic parenchyma or in peripancreatic tissues [3, 8, 18]; existing vascular invasions, mainly when it happens on the muscle layer of blood vessel muscle walls [1, 2, 11, 17, 24]; pathological classification (high-grade malignant and stage IV) [8, 10]; existing bigger tumors, particularly when the lesion is bigger than 5 centimeters [3, 5, 10, 11, 24]; tumor lesion with incomplete capsule (the presence of discontinuity focus) [1, 24]; the occurrence of diffuse growth of the tumor lesion [2]; the expression of positive ki-67 in the immunohistochemical study [2, 7]; and the presence of cellular and genetic changes in neoplastic cells (for instance, DNA aneuploidy, double loss of the X chromosome, trisomy of chromosome 3, non-balanced translocation of chromosomes 13 and 17, nuclear pleomorphism, mitotic rate, necrosis and differentiation) [2, 5]. Therefore, as for the recurrence risk factors, the Word Health Organization (2010) has defined that malignant NSP with more chance of further recurrence is that in which the patient present an group of unfavorable microscopes and grading of tumor Stage IV (P<0.001) [8].
Finally, according to the study by Law et al. [9], the mean time to recurrence of the tumor was just over 4 years; however, the mean follow-up reported for patients was only 3 years. These findings suggest that the recurrence rate may be underestimated in the literature [9]. The data from this study suggest that all patients with SPN should be followed up for a minimum of 5 years [9].
TREATMENT
The radical surgical resection is standard treatment, even when surgical excision of the metastatic tumors (metastatectomies), vascular resection and the resection of infiltrated neighbor organs are. Even patients with unresectable metastasis may achieve a long-term survival [7]. In addition, radiofrequency ablation and liver transplantation to extend survival may be used even in patients with inoperable metastasis lesions, such as unresectable liver metastasis [10].
However, there is no need for lymphadenectomy [2, 4, 10, 11] because, according to the study by Yu PF et al. [2], the lymph nodal metastasis is rare (0.61% of the cases) [2]. However, in case of patients with risk factors for malignity or suspect lymph nodes, the limited lymphadenectomies must be performed in order to avoid relapses [10].
Different surgical procedures are indicated depending on the location of the tumor in the pancreas [2, 4, 7, 9, 10, 12]. The distal pancreatectomy, with or without splenectomy and the central pancreatectomy will be done in cases of tumors located in the body and in the tail of the pancreas; and the duodenopancreatectomy will be used for tumors in the head of the pancreas [2, 7]. Intra-operative frozen section may help to ascertain the adequate resection of the margins [2]. However, enucleations must be applied to selected cases mainly in smaller tumors with no signs of invasion [2, 4, 8]. For example, in Japan, 35% of SPNs originated in the pancreatic head have been treated with enucleation, and over 60% of them have been resected by classic or pylorus-preserving pancreaticoduodenectomy [5, 22]. The use of laparoscopy may be an optional approach in reference centers. It is a feasible and safe procedure to be performed mainly for distal pancreatectomy and enucleations [4, 9, 10].
All patients in our 10-cases series underwent surgical treatment, the head of the pancreas (Table 2 and Figure 4a) and the pancreatic body (Table 2 and Figure 4b) were the usual location of the tumor. Consequently, the most common used therapeutic surgical procedures performed were: Whipple’s operation, performed for tumors in the head of the pancreas; and body-tail pancreatectomy with splenectomy, performed for tumors in the body and tail of the pancreas (Figures 2b and 5) (Table 2). It is worth emphasizing that two out of the 4 patients with tumor in the head of the pancreas; underwent Whipple’s operation along with vascular resection followed by reconstruction with splenic vein graft [15] and internal jugular vein patch (Table 2 and Figure 6). There was no death in this cohort (Table 2).


|
Figure 4. Image featuring the view of the abdominal cavity inventory showing SPN pancreatic. Pancreatic head tumor identified in the Case #8 (a.). Pancreatic body tumor (green arrow) identified in the Case #6 (b.). Pancreatic tail (yellow arrow). |

|
Figure 5. Surgical specimen after body-tail pancreatectomy with splenectomy for SPN (Case #7). |

|
Figure 6. Intraoperative picture demonstrating a SPN in pancreatic head attached to the portal vein (white arrow) (Case #9). Pancreatic body after the organ resection (green arrow). |
More than 95% of the patients with SPN limited to the pancreas are cured by complete surgical excision [5, 7, 9] related to less than 2% mortality [9], even in situations of possibly localized invasions and limited metastases [2, 7]. Thus, subsequent surgical treatment is not contraindicated; even in “supposedly unresectable” cases, patients tend to live long [2, 7]. Moreover, when the occurrence of the tumor is local, it will be seen in the 4 first years after surgery in less than 10 % of the cases [2, 9].
Chemotherapy and radiotherapy to the adjuvant treatment of SPN are, so far, poorly described in other studies and they are rarely indicated in unresectable cases of patients with good clinical conditions and good general physical state [2, 4, 5, 9] (Figure 1). 5-fluorouracil and gemcitabine were the two most commonly used chemotherapeutic agents [9]. However, there are no proved evidences on the effectiveness of these procedures, thus, reinforcing the importance of an adequate surgical treatment [16].
DISCUSSION
Despite the methodological limitations of the present and prior literature reviews [2, 5, 9], it is easy to infer that, due to the low incidence of SPN of the pancreas, the best evidences currently available are substantiated by predominantly case series and retrospective studies [1, 4, 8-12, 15-18, 24]. It is worth remembering that, despite the already published case-series throughout the time were review was still going on, these publications were not taken under account because they presented less than 40 patients in there cohorts (Methodology/Inclusion criteria/item 4). Since 2000, the number of identified pancreatic SPN cases is growing due to technological advances and to the bigger number of requests for complementary imaging exams for abdomen evaluation (ultrasound, CT and MRI). It is possible that more and more studies associated with bigger cohorts and maybe with studies of prospective methodological nature will be published. Such fact will improve nowadays evidences of the herein mentioned disease [7, 9].
However, so far, some epidemiologic features of the SPN show some differences such as the mean age when the disease mostly appears. It was seen that the bigger global prevalence (taking both genders under consideration) happens in the third decade of life. It may be justified by the bigger number of men in some cohorts, as it was presented by Hu S, et al. [16] and Wang LJ, et al. [12]; or even by the fact that the disease occurs in older men, during their 30’s and 40’s [5-7; 9-11, 13-18]. However, when just women are taken under consideration, the disease is prevalent in patients during their 20’s and 30’s [5-7; 9-11, 13-18]. Even though, in our cohort we had 4 women (44.4%, i.e., 4 out of 9 women) under 20 year-old.
There are some challenges to overcome with regard to diagnosis for SPN, especially when the tumor does not appear in its classical solid-cystic form on radiological imaging [1, 15-17]. Such unusual presentation was seen in 40% of our cases (UHLO). Thus, we must carefully evaluate the solid pancreatic tumors, mainly when they are found in women and associated with normal pancreatic parenchyma and the absence of dilated pancreatic and bile ducts, because SPN may appear afterwards [4, 16, 17] (Table 2). Perhaps, situations like this can justify the motivation to use FNAB guided by EUS associated with a specific immunohistochemical study to evaluate SPN (a-1-antitrypsin, a-1-antichymotrypsin, progesterone receptor, ß-catenin, neural endopeptidase, specific neuron enolase, adhesion molecules of neural cells and vimentin), generate reliability in the relation between different diagnosis and pancreatic adenocarcinoma; despite the possible complications related to FNAB and its little availability in the medical services [2, 4, 5, 7, 9, 10] and in our hospital (UHLO).
Finally, it is established that pancreatic SPN requires complete tumor resection as treatment, even when the excision of surrounding organs is needed. Small intestine and colon resection were performed in 20% of the patients in our cohort. Vascular resection (resection of segments of the portal vein associated with the superior mesenteric vein; and splenic vein) was performed in other two patients in the cohort (20%). However the procedures did not increase death rates, similarly to the almost null mortality rates shown in previous literature reviews [9]. Moreover, such radical surgical treatment enables achieving a longer life [2, 7] and total healing in 95% of the SPN cases [5, 7, 9], even in case of relapse [2, 7].
CONCLUSION
Despite the lack of studies with strong scientific evidence about SPN of the pancreas, it is possible stating that such disease is a lesion often identified among young women. The disease is mostly identified by abdominal imaging examinations (CT and/or MRI) and it may present different appearances: purely solid tumors, purely cystic and solid-cystic tumors (the most frequent type).
The pancreatic SPN has great curability when the surgical treatment is radical; however without the need for lymphadenectomies even when it is applied to patients with malignant clinical manifestations, such as the invasion of vascular structures and/or the invasion of neighbor organs and/or metastases.
Finally, a minimum 5-year follow up after the surgical treatment is recommended to identify possible signs of recurrence of the SPN.
Received December 10th, 2014 – Accepted March 25th, 2015
Keywords Cystadenoma; Cystadenocarcinoma; Pancreas; Pancreatic Neoplasm
Authors’ Contribution José Roberto Alves (a) performed a few surgeries in patients of the herein used cohort, (b) searched for the literature, (c) developed, analyzed and interpreted the data, (d) wrote the manuscript (e) performed the critical review of the article’s intellectual content, and (f) performed the revisions and answered the JOP reviewers; (g) approved the final version to be published. Enio Campos Amico (a) performed all the surgeries in patients of the herein used cohort, (b) performed the critical review of the current study, (c) helped writing the manuscript.
Funding Support No funding source was involved in the preparation of the current study or in the decision to submit it to publication.
Conflicting Interest The authors had no conflicts of interest
Correspondence José Roberto Alves
Department of Integrated Medicine
University Hospital Onofre Lopes
Federal University of Rio Grande do Norte
Av. Nilo
Peçanha
620 – Petrópolis
Natal - RN
Brasil-59012-300
Phone: +55 (084) 8166-1115
E-mail: joserobertoalves1980@gmail.com
References
1. Ye J, Ma M, Cheng D, et al. Solid-pseudopapillary tumor of the pancreas: clinical features, pathological characteristics, and origin. J Surg Oncol 2012; 106: 728-735. [PMID: 22688864]
2. Yu PF, Hu ZH, Wang XB, et al. Solid pseudopapillary tumor of the pancreas: a review of 553 cases in Chinese literature. World J Gastroenterol 2010; 16:1209-1214. [PMID: 20222163]
3. Wang WB, Zhang TP, Sun WQ, et al. Solid pseudopapillary tumor of the pancreas with liver metastasis: clinical features and management. Eur J Surg Oncol 2014; 40:1572-1577. [PMID: 24961631]
4. Cai J, Ran X, Xie S, et al. Surgical management and long-term follow-up of solid pseudopapillary tumor of pancreas: a large series from a single institution. J Gastrointest Surg 2014; 18:935-940. [PMID: 24519038]
5. Papavramidis T, Papavramidis S. Solid pseudopapillary tumors of the pancreas: review of 718 patients reported in English literature. J Am Coll Surg 2005; 200:965-972. [PMID: 15922212]
6. Zhu H, Xia D, Wang B, et al. Extrapancreatic solid pseudopapillary neoplasm: Report of a case of primary retroperitoneal origin and review of the literature. Oncol Lett 2013; 5:1501-1504. [PMID: 23760027]
7. Chakhachiro ZI, Zaatari G. Solid-pseudopapillary neoplasm - A pancreatic enigma. Arch Pathol Lab Med 2009; 133:1989–1993. [PMID: 19961258]
8. Kang CM, Choi SH, Kim SC, et al. Predicting recurrence of pancreatic solid pseudopapillary tumors after surgical resection – A multicenter analysis in Korea. Ann Surg 2014; 260:348-355. [PMID: 24743622]
9. Law JK, Ahmed A, Singh VK, et al. A systematic review of solid-pseudopapillary neoplasms – Are these rare lesions? Pancreas 2014; 43:331-337. [PMID: 24622060]
10. Kim MJ, Choi DW, Choi SH, et al. Surgical treatment of solid pseudopapillary neoplasms of the pancreas and risk factors for malignancy. Br J Surg 2014; 1266-1271. [PMID: 25052300]
11. Estrella JS, Li L, Rashid A, et al. Solid pseudopapillary neoplasm of the pancreas: clinicopathologic and survival analyses of 64 cases from a single institution. Am J Surg Pathol 2014; 38:146-157. [PMID: 24418850].
12. Wang LJ, Bai L, Su D, et al. Retrospective analysis of 102 cases of solid pseudopapillary neoplasm of the pancreas in China. J Int Med Res 2013; 41:1266-1271. [PMID: 23812113]
13. Amico EC, Alves JR, João SA. Splenic vein graft for the reconstruction of the mesenteric-portal trunk after gastroduodenopancreatectomy. Rev Col Bras Cir 2014; 41:381-383. [PMID: 25467106]
14. Amico EC, Alves JR, João AS, et al. Complications after pancreatectomies: prospective study after ISGFP and ISGPS new classifications. Arq Bras Cir Dig 2013; 26: 213-218. [PMID: 24190380]
15. Park MJ, Lee JH, Kim JK, et al. Mutidetector CT imaging features of solid pseudopapillary tumours of the pancreas in male patients: distinctive imaging features with female patients. Br J Radiol. 2014; 87:20130513. [PMID: 24472726]
16. Hu S, Huang W, Lin X, et al. Solid pseudopapillary tumour of the pancreas: distinct patterns of computed tomography manifestation for male versus female patients. Radiol Med 2014; 119:83-89. [PMID: 24277508]
17. Raman SP, Kawamoto S, Law JK, et al. Institutional experience with solid pseudopapillary neoplasms: focus on computed tomography, magnetic resonance imaging, conventional ultrasound, endoscopic ultrasound, and predictors of aggressive histology. J Comput Assist Tomogr 2013; 37:824-833. [PMID: 24045264]
18. Park JK, Cho EJ, Ryu JK, et al. Natural history and malignant risk factors of solid pseudopapillary tumors of the pancreas. Postgrad Med 2013; 125:92-99. [PMID: 23816775]
19. Bosman FT, Carneiro F, Hruban RH, et al. WHO Classification of tumours of the digestive system. International Agency for Research on Cancer: Lyon, 2010. [NLMID: 101553728]
20. Jiang L, Cui L, Wang J, et al. Solid Pseudopapillary Tumors of the Pancreas: Findings From Routine Screening Sonographic Examination and the Value of Contrast-Enhanced Ultrasound. J Clin Ultra-sound. 2014. [PMID: 25502923]
21. Kim Y, Kim S, Paen JC, et al. Comparison of F-18-FDG PET/CT findings between pancreatic solid pseudopapillary tumor and pancreatic ductal adenocarcinoma. Radiology 2014; 83: 231-235. [PMID: 24290142]
22. Akiyama H, Ono K, Takano M, et al. Solid pseudopapillary tumor of the pancreatic head causing marked distal atrophy. Int J Pancreatol 2002; 32:47–52. [PMID: 12630770]
23. Frantz V. Tumor of the pancreas. Atlas of Tumor Pathology. 1st series. Washington, DC: US Armed Forces Institute of Pathology; 1959:32Y33.
24. Yin Q, Wang M, Wang C, et al. Differentiation between benign and malignant solid pseudopapillary tumor of the pancreas by MDCT. Eur J Radiol 2012; 81: 3010-3018. [PMID: 22520082]