CASE REPORT
JOP. J Pancreas (Online) 2015 May 20; 16(3):295-298.
Diffuse Pancreatic Mucinous Cystic Neoplasm Treated by Total Pancreatectomy
Hongyi Chen1, Julie Teague2, Laurence Weinberg3, Mehrdad Nikfarjam1
Departments of 1Surgery, 2Pathology and 3Anaesthesia, University of Melbourne, Austin Health, Heidelberg. Melbourne, Victoria, Australia
ABSTRACT
Context Multifocal or diffuse mucinous cystic neoplasm are uncommon and may be difficult to distinguish from multifocal intra-ducal mucinous neoplasm or diffuse serous cystadenoma. Case report A forty-seven-year old lady with vague abdominal pain was noted to have cystic lesions ranging from 5 to 20 mm throughout her pancreas. The cysts had enlarged over several years of observation. There was no evidence of pancreatic duct dilatation or communication with the pancreatic duct on magnetic resonance imaging. Cyst fluid analysis for carcinoembryonic antigen and amylase were non-diagnostic. A total pancreatectomy was performed, with histology confirming numerous cysts lined by mucus producing cells, without obvious ovarian-like stroma. The stroma did however demonstrate positive staining for oestrogen receptor and smooth muscle actin. These findings were most consistent with a mucinous cystic neoplasm, despite the apparent absence of typical ovarian like stroma. Conclusion Multifocal or diffuse pancreatic mucinous cystic neoplasm are uncommon and may be suspected when imaging demonstrates multiple pancreatic cysts without communication with the pancreatic duct or pancreatic duct dilation. Surgical resection is indicated due to the increased risk of malignancy.
INTRODUCTION
Mucinous cystic neoplasm (MCN) of the pancreas constitute approximately 2% to 5% of all pancreatic tumours and 10% of all pancreatic cystic neoplasm [1]. They are typically seen in females 40 to 50 years of age. The lesions are most often present in the body or tail of the pancreas and are rarely multifocal [2]. They are considered pre-malignant tumours, with the risk of malignancy correlating with increasing age, size and presence of solid nodules [3]. The risk of invasive cancer is considered to be less than 15%, with virtually no malignancy in MCNs less than 4 cm without mural nodules [4, 5]. It is unclear whether the risk of malignancy is greater in the setting of multifocal MCNs.
Multifocal cystic lesions involving the pancreas are most commonly noted in the setting of side-branch intraductal papillary mucinous neoplasms (IPMN) [2]. Magnetic resonance imaging of the pancreas usually demonstrates communication between the main pancreatic duct and the cysts, which can be diagnostic. Multifocal or diffuse pancreatic cystic lesions may occur in patients with serous cystadenomas (SCA). Diffuse involvement of the pancreas by SCA is recognized in association with von Hippel-Lindau (VHL) syndrome [6]. Diffuse involvement of the pancreas by MCN, to our knowledge, has not been described. Therefore, we describe a case of multifocal pancreatic cysts involving the entire pancreas. This patient was treated by surgical resection, and histology showed features most in keeping with diffuse MCN.
CASE REPORT
A forty-seven-year old-female with intermittent abdominal pain and recently diagnosed diabetes underwent computed tomography (CT) that revealed diffuse cystic involvement of the pancreas. She had no history of definitive pancreatitis and blood tests including full blood examination, liver function tests, and urea and electrolytes were within normal levels. Serum calcium and lipase levels were also normal. Serum tumour markers including carcinoembryonic antigen (CEA), carbohydrate antigen (CA-19.9), and chromogranin A were within normal limits. The cysts involved the entire pancreas, with the pancreatic body measuring 37 mm in maximum thickness on abdominal CT imaging. The cyst had enlarged when compared to a maximum pancreatic body thickness of 28mm on CT imaging performed 2 years earlier for a similar complaint. She had been lost to follow-up after the initial diagnosis of pancreatic cysts.
Her medical history included diet controlled diabetes of 12 months duration, without obvious risk factors. She had hyperthyroidism related to a non-specific thyroiditis, treated several months earlier by total thyroidectomy. She was investigated for possible pheochromocytoma given a history of intermittent tachycardia and hypertension, with the finding of normal serums and urinary catecholamines. With the finding of diffuse cystic involvement of the pancreas, the possibility of VHL was considered. Genetic testing however excluded VHL Syndrome. There was also no clear history suggestive of pancreatic exocrine insufficiency.
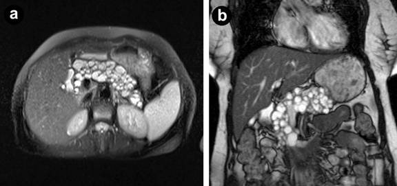
Magnetic resonance cholangiopancreatography (MRCP) was performed with no evidence of cyst communication with the pancreatic duct and no evidence of solid nodules (Figure 1). Endoscopic ultrasound performed showed similar findings with a zero CEA level on aspiration and an amylase level of 365 IU/L. Mucin could not be demonstrated in the aspirate. Given the findings of enlarging cysts, recent diagnoses of diabetes, with the risk of concurrent pancreatic malignancy the patient was offered a total pancreatectomy.

|
Figure 1. Magnetic resonance cholangiopancreatography demonstrating diffuse cystic lesions throughout the pancreas in transverse (a.) and coronal sections (b.). No clear communication with the pancreatic duct or pancreatic duct dilatation is noted. |
Macroscopically the pancreas measured 150x48x20 mm. Multiple cysts five to 20 mm diameter was present throughout. The pancreatic duct was not dilated measuring 2 to 3mm diameter. No communication between the cysts and the pancreatic duct was demonstrated (Figure 2).

|
Figure 2. Excisions pancreas specimen (a.) demonstrating numerous cysts thought the head, body and tail. b. Sectioning of the pancreas demonstrates multiple cysts without any clear communication with the pancreatic duct and no evidence of pancreatic duct dilatation. |
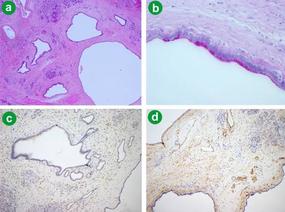
On histology dilated cystic spaces predominantly lined by pancreaticobiliary type epithelium were demonstrated, with focal mucinous Di-PAS positive epithelium (Figure 3). The cysts were surrounded by a densely fibrous and hyalinised stroma. The typical ovarian type stroma that consists of spindle cells with little cytoplasm and round to slightly elongated nuclei was not seen. The stromal tissue was positive for oestrogen receptor and smooth muscle actin (SMA) (Figure 3cd). The findings were consistent with multifocal MCN involving entire pancreas. The patient had an uncomplicated post-operative course and was discharged home at day 13. The patient remains well, now 3 years post total pancreatectomy.

|
Figure 3. a. Section of the pancreas demonstrating dilated cystic spaces, surrounded by dense fibrous and hyalinised stroma. Background residual pancreatic acini are present (Hematoxylin and eosin x40). b. Focal patchy PAS positivity is present in columnar cells lining the cystic spaces (PAS staining x400). c. Oestrogen receptor immunohistochemical stain: strong nuclear staining is identified in the stromal cells (x100). d. SMA immunohistochemical stain: cytoplasmic staining is present in the stromal cells (x100). |
DISCUSSION
Pancreatic cysts are increasingly detected by abdominal imaging performed for investigation of vague abdominal complaints [1, 7]. In the majority of cases incidental cysts represent side branch IPMN that are not infrequently multifocal [2]. Other causes of multifocal pancreatic cysts are less common and may include multiple developmental cysts in the setting of polycystic liver or kidney disease and serous cystadenomas [2, 6, 8]. The occurrence of multifocal MCN diffusely replacing the entire pancreas, to our knowledge, has not been previously described. This appears to represent a new entity.
In the setting of diffuse mixed side-branch and main duct IPMN, cyst replacement of the majority of the pancreas is described [2]. Communication between side branch cysts and the main duct can be observed on MRCP, and in such cases distinguishes IPMN from MCN and SCA. IPMN tend to have equal male to female occurrence, whereas the male to female ration is reported to be 1:9 and 1:3 in the case of MCN and SCA respectively [9]. Diffuse SCA involving the entire pancreas is described and occurs most commonly setting of VHL syndrome [6, 10]. In a recent review of 23 patients with VHL, SCA were noted in 47% of patients with diffuse involvement in 73% of these cases [6, 10]. The imaging features noted in our case was initially thought to represent diffuse SCA and our patient was investigated for the possibility of VHL syndrome, which was excluded by genetic testing, with final histology confirming diffuse MCN.
Cyst fluid analysis was undertaken to further determine the nature of the pancreatic cysts in our case. A CEA level of 192 ng/mL as a threshold, in one study was shown to differentiate mucinous from non-mucinous cysts with an accuracy of 80% [11]. CEA was not detected in the fluid aspirated in our case and no mucin was identified. We elected to proceed to surgery after exclusion of VHL syndrome, despite no definite proof that the cysts were mucinous in nature, given documented enlargement of the cysts, continued vague abdominal symptoms, and concerns of possible underlying malignancy. The patient’s recent development of diabetes mellitus, in the absence of clear risk factors raised further concerns of possible occult pancreatic malignancy [12]. Features associated with an increased risk of malignancy such as large tumour size (>4 cm), septal thickening and present of intracystic excrescences on imaging studies were not observed in our patient [13].
Pre-operative suspicion of MCN in this case was low, given that MCN are generally unifocal [2]. Cases of diffuse pancreatic involvement by MCN have not been reported. Occurrence of multifocal MCN is rare with only 5 cases of multiple MCN identified on review of published literature from 1990 to 2014 [14-18]. In four cases, two MCNs were identified. The remaining case identified three separate lesions involving the pancreatic neck, tail and body [18]. MCN are thought to have a development origin from deposits of the left primordial gonad within the dorsal pancreas that are in very close proximity during the fourth and fifth weeks of development, explaining the finding of ovarian like stoma surrounding the cysts in the majority of cases [19]. They are therefore most frequently noted in female patients and usually involve the pancreatic body and tail, with only 5% to 10% of MCNs involving the pancreatic head [19].
Histologically MCN are characterized by a mucinous-type epithelium that is typically flat. Intracellular mucin can be demonstrated in these lesions by periodic acid-Shiff (PAS) staining. The cysts are typically surrounded by tissue that resembles ovarian stoma, characterized by densely packed spindle cells with sparse cytoplasm and uniform, elongated nuclei [20]. The ovarian-type stroma in MCN often stains positively for estrogen and progesterone receptors, actin, desmin, and vimentin[19]. In our case the entire pancreas was replaced with cystic structures surrounded by a dense hyalinised stroma that histologically was not typical for the ovarian-like stroma seen in MCN, however immunohistochemical staining with oestrogen and SMA is in keeping with ovarian-type stroma [19]. PAS positivity, demonstrating mucin\in the cyst lining cells was present. No communication with the pancreatic ducts was demonstrated to suggest an IPMN. International guidelines generally require the presence of an ovarian like stroma for a diagnosis of MCN [2]. Our case appears to be an exception to this or else represent a new entity.
Multifocal cysts within the pancreas occur, but very rarely replace the entire pancreas. IPMN and SCA are the most common cusses diffuse pancreatic cysts. IPMN can usually be identified by cyst communication with pancreatic duct and has an equal occurrence in male and females. SCA can produce a similar appearance, but usually show no evidence of cyst communication with the pancreatic duct and are more common in females and usually occur in the setting of VHL syndrome. A case of diffuse MCN involving the entire pancreas is rare and to date has not been reported. The features of positivity for estrogen, actin and PAS staining was most suggestive of MCN in our case despite the absence of an obvious ovarian like stroma.
Received January 12rd, 2015 – Accepted March 30th, 2015
Keywords Pancreatic Cyst; Pancreatectomy
Conflicting Interest The authors had no conflicts of interest
Correspondence Mehrdad Nikfarjam
University Department of Surgery
Austin Health, LTB 8
Studley Rd, Heidelberg
Melbourne, Victoria 3084
Australia
Phone: +61-3.9496.5466
Fax: +61-3.9458.1650
E-mail: mehrdad.nikfarjam@gmail.com
References
1. Adsay NV, Klimstra DS, Compton CC. Cystic lesions of the pancreas. Introduction. Seminars in diagnostic pathology 2000; 17: 1-6.
2. Tanaka M, Fernandez-del Castillo C, Adsay V, Chari S, Falconi M, Jang JY, et al. International consensus guidelines 2012 for the management of IPMN and MCN of the pancreas. Pancreatology: official journal of the International Association of Pancreatology (IAP) 2012; 12: 183-97. [PMID: 22687371]
3. Zamboni G, Hirabayashi K, Castelli P, Lennon AM. Precancerous lesions of the pancreas. Best practice & research Clinical gastroenterology 2013; 27: 299-322. [PMID: 23809247]
4. Reddy RP, Smyrk TC, Zapiach M, Levy MJ, Pearson RK, Clain JE, et al. Pancreatic mucinous cystic neoplasm defined by ovarian stroma: demographics, clinical features, and prevalence of cancer. Clinical gastroenterology and hepatology : the official clinical practice journal of the American Gastroenterological Association 2004; 2: 1026-31. [PMID: 15551256]
5. Crippa S, Salvia R, Warshaw AL, Dominguez I, Bassi C, Falconi M, et al. Mucinous cystic neoplasm of the pancreas is not an aggressive entity: lessons from 163 resected patients. Annals of surgery 2008; 247: 571-9. [PMID: 18362619]
6. Graziani R, Mautone S, Vigo M, Manfredi R, Opocher G, Falconi M. Spectrum of magnetic resonance imaging findings in pancreatic and other abdominal manifestations of Von Hippel-Lindau disease in a series of 23 patients: a pictorial review. JOP : Journal of the pancreas 2014; 15: 1-18. [PMID: 24413778]
7. Lee KS, Sekhar A, Rofsky NM, Pedrosa I. Prevalence of incidental pancreatic cysts in the adult population on MR imaging. The American journal of gastroenterology 2010; 105: 2079-84. [PMID: 20354507]
8. Nijs EL, Callahan MJ. Congenital and developmental pancreatic anomalies: ultrasound, computed tomography, and magnetic resonance imaging features. Seminars in ultrasound, CT, and MR 2007; 28: 395-401. [PMID: 17970555]
9. Goldsmith JD. Cystic neoplasms of the pancreas. American journal of clinical pathology 2003; 119: S3-16. [PMID: 12951841]
10. Antonini F, Fuccio L, Fabbri C, Macarri G, Palazzo L. Management of serous cystic neoplasms of the pancreas. Expert review of gastroenterology & hepatology 2014: 1-11. [PMID: 24981593]
11. Brugge WR, Lauwers GY, Sahani D, Fernandez-del Castillo C, Warshaw AL. Cystic neoplasms of the pancreas. The New England journal of medicine 2004; 351: 1218-26.
12. Batabyal P, Vander Hoorn S, Christophi C, Nikfarjam M. Association of diabetes mellitus and pancreatic adenocarcinoma: a meta-analysis of 88 studies. Annals of surgical oncology 2014; 21: 2453-62. [PMID: 24609291]
13. Warshaw AL, Compton CC, Lewandrowski K, Cardenosa G, Mueller PR. Cystic tumors of the pancreas. New clinical, radiologic, and pathologic observations in 67 patients. Annals of surgery. 1990; 212: 432-43. [PMID: 2171441]
14. Parra-Herran CE, Garcia MT, Herrera L, Bejarano PA. Cystic lesions of the pancreas: clinical and pathologic review of cases in a five year period. JOP : Journal of the pancreas 2010; 11: 358-64. [PMID: 20601810]
15. Asciutti S, Kanninen TT, Clerici G, Nardi E, Castellani D, GC DIR, et al. Acute pancreatitis with a mucinous cystoadenoma of the pancreas in pregnancy. Anticancer research 2010; 30: 1025-8.
16. Goh BK, Tan YM, Cheow PC, Chung YF, Chow PK, Wong WK, et al. Cystic neoplasms of the pancreas with mucin-production. European journal of surgical oncology : the journal of the European Society of Surgical Oncology and the British Association of Surgical Oncology 2005; 31: 282-7.
17. Colovic R, Barisic G, Colovic N, Markovic V, Nadj G. Double mucinous cystadenoma of the pancreas associated with thecoma of the ovary. Acta chirurgica Iugoslavica 2002; 49: 95-7. [PMID: 12587492]
18. Wayne M, Gur D, Ascunce G, Abodessa B, Ghali V. Pancreatic mucinous cystic neoplasm with sarcomatous stroma metastasizing to liver: a case report and review of literature. World journal of surgical oncology 2013; 11: 100. [PMID: ]
19. Zamboni G, Scarpa A, Bogina G, Iacono C, Bassi C, Talamini G, et al. Mucinous cystic tumors of the pancreas: clinicopathological features, prognosis, and relationship to other mucinous cystic tumors. The American journal of surgical pathology 1999; 23: 410-22. [PMID: 10199470]
20. Compagno J, Oertel JE. Mucinous cystic neoplasms of the pancreas with overt and latent malignancy (cystadenocarcinoma and cystadenoma). A clinicopathologic study of 41 cases. American journal of clinical pathology 1978; 69: 573-80. [PMID: 665578]