CASE REPORT
JOP. J Pancreas (Online) 2015 May 20; 16(3):303-306.
Pancreatic Panniculitis: A Rare Manifestation of Acute Pancreatitis
Ronak Patel, Ali Safdar Khan, Sami Naveed, Jason Brazleton, Mel Wilcox
University of Alabama at Birmingham. Birmingham, AL, USA
ABSTRACT
Context Pancreatic panniculitis is a very rare complication associated with pancreatic disease and perhaps even a presage to pancreatic pathology. Case report We present a case of pancreatic panniculitis in a 61 year old patient who was treated for sudden onset of abdominal pain associated with nausea and vomiting secondary to acute pancreatitis of unknown etiology. He subsequently developed skin lesions consistent with pancreatic panniculitis which gradually improved after resolution of his acute condition and treatment with topical steroid cream. Conclusion We discuss and review the literature along with highlighting for the readers the important clinical and histopathologic features of acute pancreatitis associated pancreatic panniculitis.
INTRODUCTION
Pancreatic panniculitis (PP), also known as pancreatic fat necrosis and enzymatic panniculitis is a rare, lobular panniculitis that infrequently develops in individuals with pancreatic disease [1]. It is an uncommon manifestation of pancreatic disease associated in 2-3% of pancreatic pathology [2]. The first reports in the English literature are from 1947 [3] although the oldest reports go back as far as 1883 [4]. It is a rare entity with fewer than 150 cases reported in the literature [5]. Due to the rarity of PP, the diagnosis can be missed in its early stages often leading to delay in treatment in certain instances. Its pathogenesis is still not well understood. PP typically presents with tender, edematous and erythematous subcutaneous nodules that spontaneously ulcerate and exude an oily brown substance that results from liquefaction necrosis of adipocytes. The lesions most commonly develop on the lower legs, though other sites like thighs, buttocks, arms, abdomen, chest and scalp have also been reported [6].
CASE REPORT
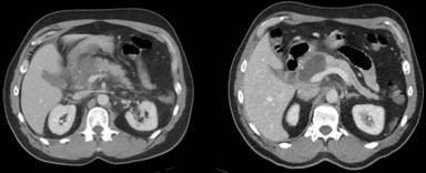
We present a 61-year-old patient who presented to an outside hospital with sudden onset of acute abdominal pain, nausea, and vomiting lasting for two days. Subsequently the patient was admitted with a diagnosis of acute pancreatitis of unknown etiology. At the time of admission laboratory evaluation revealed serum lipase to be significantly elevated at 5,367 units/L. CT scan of the abdomen was consistent with the diagnosis of acute pancreatitis as shown in Figure 1.

|
Figure 1. CT scan of the abdomen was consistent with the diagnosis of acute pancreatitis. |
Patient returned to the hospital with a relapse of his original symptoms and a fever of 101 degree Fahrenheit three weeks later. Repeat imaging studies showed pancreatic fluid collection (5x3 cm) in the head of the pancreas along with what he reported to be multiple ‘spider bites’ on his legs (Figure 2). He was placed on intravenous fluids, antibiotics (topical as well as Intravenous) and analgesics but due to the continuation of symptoms (abdominal pain, nausea) he was transferred to a tertiary care hospital for further management of severe pancreatitis and cellulitis.

|
Figure 2. Initial dermatologic manifestation on lower extremities. |
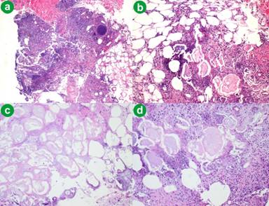
Dermatologic exam at that time revealed several scattered, tender erythematous subcutaneous nodules in bilateral lower extremities without ulceration. A punch biopsy of the lesions was performed which showed lobular panniculitis with prominent fat saponification and calcification necrosis. Scattered neutrophils and eosinophil’s were noted amongst the infiltrate (Figure 3).

|
Figure 3. a. 4x magnification showing lobular panniculitis. b. 10x magnification. c. Fat saponification and calcification necrosis. d. Necrotic adipocytes “ghost cells”. |
An EUS showed hyperechoic foci in the body & tail of the pancreas while the head of pancreas was replaced by a mixed echogenic lesion with anechoic, hyper and hypoechoic areas. Fine needle aspiration revealed amorphous debris with calcification. No malignant cells were seen. He was discharged after four days of conservative inpatient management and was placed on prednisone for pancreatic panniculitis. He was unable to tolerate the Prednisone or Naproxen due to their side effects and was subsequently placed on topical 1% betamethasone ointment (BID). On recent follow up the lesions were seen to be almost completely resolved (Figure 4) and a repeat EUS showed a 6 cm pancreatic pseudocyst which was asymptomatic.

|
Figure 4. Resolution of the skin nodules after treatment and resolution of acute pancreatitis. |
DISCUSSION
Pancreatic Panniculitis is a rare complication in the setting of pancreatic disease, in which fat necrosis takes place in the subcutaneous tissue and elsewhere [7]. The exact pathophysiology is becoming clear but not entirely understood. The release of pancreatic enzymes, such as lipase, trypsin, amylase, phosphorilase and trypsin, may be involved in increasing the micro vascular permeability allowing hydrolysis of neutral fat. The resultant glycerol and free fatty acids, leads to fat necrosis and a brisk inflammatory response. The pathogenic role of pancreatic lipase is supported by the finding of the enzyme in the areas of subcutaneous necrosis, and also anti-lipase monoclonal antibodies within the necrotic tissue [8]. Pancreatic disorders are much more common when compared to pancreatic panniculitis which might indicate that there are still unrecognized factors involved in the development of PP. Also there are some PP cases in the literature that have been described with normal levels of pancreatic enzymes (Table 1) further supporting the likely involvement of other unidentified factors in the causality of this entity. An immune complex mechanism has been described in one patient with pancreatic panniculitis [9].
Table 1. Recent cases of PP and underlying characteristics.
|
Underlying Diagnosis |
Inflammatory markers |
Amylase |
Lipase |
Reference |
|
Acute pancreatitis; Crohn’s disease |
|
6647 U/L |
3,000 U/L |
8 |
|
SMA-Pancreatic duct fistula |
|
-- |
>7,000 U/L |
20 |
|
Gallstone pancreatitis |
CRP: 49.4 mg/L |
762 U/L |
-- |
14 |
|
--- |
--- |
4,900 U/L |
1,400U/L |
21 |
|
Metformin induced pancreatitis |
CRP: 258 mg/l |
462 U/L |
1,378 U/L |
22 |
|
Acinar cell carcinoma of the pancreas |
ESR: 46 mm/h |
Normal |
234 U/L |
16 |
|
Hep C therapy (PegIFN/RBV) |
|
241 U/L |
515 U/L |
23 |
|
Acinar cell carcinoma of the pancreas |
-- |
-- |
-- |
17 |
|
Chronic pancreatitis-unclear etiology |
|
1,073 U/L |
1,871 U/L |
24 |
|
Serous cystadenoma |
|
|
>3,000 U/L |
12 |
|
Acinar cell carcinoma of the pancreas |
|
|
13,008 U/L |
18 |
|
Acinar cell carcinoma of the pancreas |
|
Normal |
9,018 U/L |
19 |
|
IPMN |
|
Normal |
Normal |
25 |
|
Acinar cell carcinoma of the pancreas |
|
113 U/L |
1,508 U/L |
26 |
|
Post ERCP pancreatitis |
|
|
15,000 U/L |
27 |
|
Pseudo-papillary pancreatic tumor (Guber-Frantz tumor) |
|
635 U/L |
1,302 U/L |
28 |
|
Acute cellular and antibody-mediated pancreas allograft rejection |
|
1,063 U/L |
1,331 U/L |
29 |
|
Well-differentiated adenocarcinoma with minimal neuroendocrine features |
|
Normal |
8,000 U/L |
30 |
The dermatologic manifestations are independent of the severity of pancreatic pathology [10] and precede the diagnosis of pancreatic pathology about 40% of the times. The lesions are generally located in the lower extremities as tender, erythematous nodules that are red-brown in color, which may ulcerate with drainage of oily fluid [11, 12]. The clinical features of pancreatic panniculitis are similar despite the variety of pancreatic disorders it is associated with. It is important to differentiate PP from other forms of panniculitis such as Erythema nodosum, erythema induratum, lupus panniculitis, infectious, traumatic or alpha 1- antitrypsin deficiency panniculitis [13].
PP is usually confirmed with a subcutaneous biopsy and if the characteristic features of this entity are identified earlier on, an invasive biopsy could be averted [14]. The main histopathologic feature is a mostly lobular panniculitis without vasculitis. But, in the very early stage, a septal pattern has been described, which results from enzymatic damage of the endothelial septa, allowing pancreatic enzymes to cross from blood to fat lobules resulting in coagulative necrosis of the adipocytes, which leads to pathognomonic "ghost cells" (enucleated necrotic cells that have a thick wall with a fine basophilic granular material within their cytoplasm from dystrophic calcification) [15].
Specific subgroups have known to have a higher association (alcoholic men [1], patients with acinar neoplasms [16-19]), and PP may be the harbinger of pancreatic pathology by several days [15] or even months.
The treatment of PP is mainly directed towards the underlying pancreatic pathology, following which a complete to near complete resolution of symptoms is experienced as illustrated in our report. Corticosteroids may provide some symptomatic relief however NSAID’s or immuno suppressors are usually not effective for the treatment of skin lesions [10]. As more cases of PP are recognized and better characterized, the underlying mechanisms may also be better understood perhaps leading to better vigilance to its incidence, causes and treatment.
Received February 22th, 2015 – Accepted March 28th, 2015
Keywords Panniculitis, Nodular Nonsuppurative; Pancreatic Pseudocyst; Pancreatitis
Conflicting Interest The authors had no conflicts of interest
Correspondence Ronak Patel
Department of Internal Medicine
University of Alabama at Birmingham
Montgomery Health Center
Montgomery, AL
USA
Phone: +1-919.416.5097
E-mail: ronakpatel@uabmc.edu
References
1. García-Romero D, Vanaclocha F. Pancreatic Panniculitis. Dermatologic Clinics 2008; 26:465-470. [PMID: 18793978]
2. Requena L, Sánchez Yus E. Panniculitis. Part II. Mostly lobular panniculitis. J Am Acad Dermatol 2001; 45:325-361. [PMID: 11511831]
3. Szymanski FJ, Bluefarb SM. Nodular fat necrosis and pancreatic diseases. Arch Dermatol 1961; 83: 224-229. [PMID: 13774711]
4. Chiari H. Über die sogenannte fettnekrose. Prag Med Wochenschr 1883; 8: 255-256.
5. Chee C. Panniculitis in a patient presenting with a pancreatic tumor and polyarthritis: a case report. J Med Case Reports 2009; 3:7331. [PMID: 19830189]
6. Bagazgoitia L, Alonso T, Ríos-Buceta L, Ruedas A, Carrillo R, Muñoz-Zato E. Pancreatic panniculitis: an atypical clinical presentation. Eur J Dermato 2009; 19:191–192. [PMID: 19106060]
7. Preiss JC, Faiss S, Loddenkemper C, et al. Pancreatic panniculitis in an 88-year-old man with neuroendocrine carcinoma. Digestion 2002; 66:193-196 [PMID: 12481166]
8. Laureano A, Mestre T, el Ricardo, Rodrigues AM, Cardoso J. Pancreatic panniculitis – a cutaneous manifestation of acute pancreatitis. J Dermatol Case Rep 2014; 8: 35-37. [PMID: 24748910]
9. Zellman GL. Pancreatic panniculitis. J Am Acad Dermatol 1996; 35:282-283. [PMID: 8708043]
10. Makhoul E, Yazbeck C, Urbain D, Mana F, Mahanna S, Akiki B, Elias E. Pancreatic panniculitis: a rare complication of pancreatitis secondary to ERCP. Arab Journal of Gastroenterology 2014; 15:38-9. [PMID: 24630514]
11. Poelman SM, Nguyen K. Pancreatic panniculitis associated with acinar cell pancreatic carcinoma. J Cutan Med Surg 2008; 12:38–42. [PMID: 18258147]
12. Colantonio S, Beecker J. Pancreatic panniculitis. CMAJ 2012; 184:E159. [PMID: 22158400]
13. Lyon MJ. Metabolic panniculitis: alpha-1 antitrypsin deficiency panniculitis and pancreatic panniculitis. Dermatol Ther 2010; 23:368–374. [PMID: 20666824]
14. Guo ZZ, Huang ZY, Huang LB, Tang CW. Pancreatic panniculitis in acute pancreatitis. J Dig Dis 2014; 15:327-30. [PMID: 24620854]
15. Francombe J, Kingsnorth AN, Tunn E. Panniculitis, arthritis and pancreatitis. Br J Rheumatol 1995; 34:680–683. [PMID: 7670790]
16. Gorovoy IR, McSorley J, Gorovoy JB. Pancreatic panniculitis secondary to acinar cell carcinoma of the pancreas. Cutis 2013; 91:186-90. [PMID: 23763078]
17. Banfill KE, Oliphant TJ, Prasad KR. Resolution of pancreatic panniculitis following metastasectomy. Clin Exp Dermatol 2012; 37:440-1. [PMID: 22582914]
18. Stauffer JA, Bray JM, Nakhleh RE, Bowers SP. Image of the Month. Acinar cell carcinoma. Arch Surg 2011; 146:1099-1100. [PMID: 21931007]
19. Zheng ZJ, Gong J, Xiang GM, Mai G, Liu XB. Pancreatic Panniculitis Associated with Acinar Cell Carcinoma of the Pancreas: A Case Report. Ann Dermatol 2011; 23:225-8. [PMID: 21747626]
20. Holt BA, Hawes R, Varadarajulu S. Hemosuccus Pancreaticus Caused by Superior Mesenteric Artery Fistula Presenting as Pancreatic Panniculitis and Anemia. Clin Gastroenterol Hepatol 2014; S1542-3565(14)00447-9. [PMID: 24681082]
21. Sotoude H, Mozafari R, Mohebbi Z, Mirfazaelian H. "Pancreatic Panniculitis". Am J Emerg Med 2014 944.e1-2. [PMID: 24602897]
22. Alsubaie S, Almalki MH. Metformin induced acute pancreatitis. Dermatoendocrinol 2013; 5:317-8. [PMID: 24194972]
23. Pfaundler N, Kessebohm K, Blum R, Stieger M, Stickel F. Adding pancreatic panniculitis to the panel of skin lesions associated with triple therapy of chronic hepatitis C. Liver Int 2013; 33:648-9. [PMID: 23410147]
24. Souza FH, Siqueira EB, Mesquita L, Fabricio LZ, Tuon FF. Pancreatic panniculitis as the first manifestation of visceral disease-case report. An Bras Dermatol 2011; 86:S125-8. [PMID: 22068791]
25. Qian DH, Shen BY, Zhan X, Peng C, Cheng D. Liquefying panniculitis associated with intraductal papillary mucinous neoplasm. JRSM Short Rep 2011; 2:38. [PMID: 21637399]
26. Moro M, Moletta L, Blandamura S, Sperti C. Acinar Cell Carcinoma of the Pancreas Associated with Subcutaneous Panniculitis. JOP. J Pancreas (Online) 2011; 12:292-296. [PMID: 21546712]
27. Hu JC, Gutierrez MA. Pancreatic panniculitis after endoscopic retrograde cholangiopancreatography. Journal of the American Academy of Dermatology 2011; 64:e72-e74. [PMID: 21496686]
28. Vasdev V, Bhakuni D, Narayanan K, Jain R. Intramedullary fat necrosis, polyarthritis and panniculitis with pancreatic tumor: a case report. Int J Rheum Dis 2010; 13:e74-8. [PMID: 21199459]
29. Prikis M, Norman D, Rayhill S, Olyaei A, Troxell M, Mittalhenkle A. Preserved endocrine function in a pancreas transplant recipient with pancreatic panniculitis and antibody-mediated rejection. Am J Transplant 2010; 10:2717-22. [PMID: 21114649]
30. Gandhi RK, Bechtel M, Peters S, Zirwas M, Darabi K. Pancreatic panniculitis in a patient with BRCA2 mutation and metastatic pancreatic adenocarcinoma. Int J Dermatol 2010; 49:1419-20. [PMID: 21091678]