CASE REPORT
JOP. J Pancreas (Online) 2015 May 20; 16(3):313-315.
Consecutive Laparoscopic En-Block Left Pancreato-Nephro-Splenectomy and Later Pancreaticoduodenectomy: Pushing Back the Limits of Laparoscopic Pancreatic Resections
Ignasi Poves1, Fernando Burdio1, Albert Frances2, Luis Grande1
Unit of Hepato-Biliary and Pancreatic Surgery, Departments of 1Surgery and 2Urology, Hospital del Mar, Autonomous University of Barcelona. Barcelona, Spain
ABSTRACT
Context Laparoscopic distal pancreatectomy is a widely accepted treatment for non-malignant lesions of the left pancreas. However, the role of laparoscopy in more complex procedures such as pancreaticoduodenectomy or treatment of pancreatic adenocarcinoma remains controversial. Case report A seventy-seven-year-old woman underwent surgery twice: first for a PADC of the tail infiltrating the spleen and left kidney, and then for a second PADC of the neck and head of the pancreas diagnosed during follow-up (11 months) of the first tumor. In both procedures a totally laparoscopic approach was applied. The first procedure was an en-bloc resection including the left kidney, spleen and left pancreas. Final diagnosis showed a PADC (49x42x40 mm) involving one of the 17 lymph nodes harvested (R0). Postoperative course was uneventful, and lasted five days. Later, due to the appearance of a new tumor in the right pancreas, an extended pylorus-preserving PD was performed with the patient in supine position with the legs apart. In the postoperative period she presented chylous ascites and required hospitalization for 17 days. Definitive biopsy showed a 2 cm PADC (PanIn 2 and 3 lesions in the rest of the gland). Two out of 21 nodes isolated were found to be affected (R0). No chemotherapy was administered after the second operation. Conclusions Our report may help to redefine the limits of laparoscopy in pancreatic oncologic surgery. It describes several features of added technical difficulty, and may prompt further reflection on the current limits and indications of laparoscopic pancreatectomy.
INTRODUCTION
The laparoscopic approach is establishing itself as the technique of choice in certain pancreatic resections [1-3]. The use of laparoscopic distal pancreatectomy (DP) is fully consolidated for the treatment of benign and premalignant lesions [4-5] and increasing numbers of centers are acquiring experience with the procedure. However, the role of laparoscopy in more complex surgery such as pancreaticoduodenectomy (PD) is still unclear, and its use is currently restricted to specific groups [6-7]. Similarly, the ideal laparoscopic approach in DP for pancreatic adenocarcinoma (PADC) remains to be established. Currently, though, the limits of laparoscopy in pancreatic surgery are being pushed back, and more and more cases and specific surgical techniques are being published [8-10].
CASE REPORT
We report the case of a 77-year-old woman who underwent surgery twice, first for PADC of the tail of the pancreas infiltrating the spleen and left kidney, and then for a second PADC of the neck and head of the pancreas diagnosed during follow-up of the first tumor. In both procedures a totally laparoscopic approach was applied.
The patient had a past history of hypertension, IgG kappa monoclonal gammopathy and appendectomy, and was diagnosed with an infiltrative mass at the confluence of the tail of the pancreas, spleen, and left kidney. The primary source of the mass could not be determined (Figure 1). Furthermore, in the lower pole of the left kidney a subcapsular lesion suggestive of renal carcinoma was incidentally diagnosed. The cancer staging study ruled out disease dissemination. We decided to perform a surgical en bloc resection including the left kidney, spleen, and left pancreas. The patient was placed in full right lateral decubitus, the habitual position for laparoscopic left nephrectomy.

|
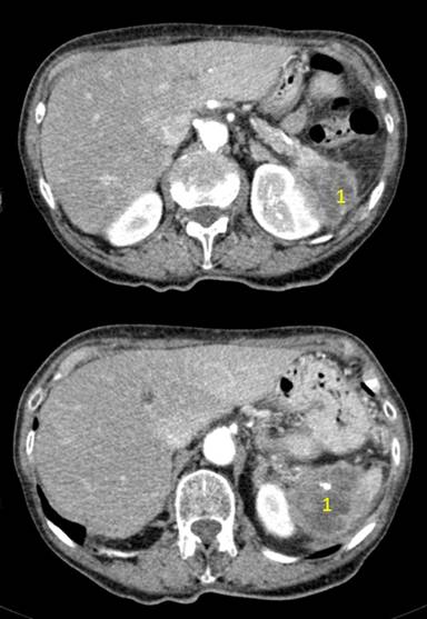
Figure 1. Preoperative imaging. Abdominal CT showing an infiltrative mass (1) Invading the tail of the pancreas, spleen and left kidney. |
The entire procedure was carried out in this position, with the insertion of four trocars (Figure 2). Resection was performed following the standard left nephrectomy technique: mobilization of the left colon and the splenic flexure, sectioning of the ureter and then sectioning of the left renal artery and left renal vein, one after the other. The entire left kidney was mobilized except for the upper pole. The short gastric vessels were then sectioned, exposing the tail and body of the pancreas. Preserving the transverse mesocolon, the lower and upper margins of the body and tail of the pancreas were dissected, creating a line of parenchymal section at the level of body of the pancreas. The splenic artery and vein were dissected individually and separated from the pancreas, and then sectioned one after the other using hem-o-loks. The pancreas was cut with a 2.5 mm linear stapler.

|
Figure 2. Positioning of the trocars and incision. For en bloc resection of the tail of the pancreas, spleen and left kidney (a.) and for pancreaticoduodenectomy (b.). Wart close to the umbilicus and prior McBurney incision demonstrating that this is the same patient (*). Incisions made by the trocars in the previous intervention shown in a. (+). |
Once the pancreas and its vessels were sectioned, the whole surgical specimen remained attached to the retroperitoneal and lateral region of abdomen by the splenic ligaments. After sectioning these ligaments, the en bloc resection of the specimen was completed. The specimen, protected in a bag, was extracted via a 5 cm suprapubic transverse incision (Figure 2). Operative time was 211 minutes. No transfusion was required. The postoperative course was uneventful and lasted five days. The definitive biopsy showed a PADC of 49x42x40 mm infiltrating the peripancreatic fatty tissue, spleen and left kidney. Lymph node involvement was detected in one of the 17 nodes harvested and PanIn 3 lesions were seen in the pancreatic duct and the rest of the gland. The mass in the left kidney was a clear cell carcinoma, 20 mm in diameter (Figure 3); all resection margins were negative. Adjuvant chemotherapy with gemcitabine was subsequently initiated.

|
Figure 3. En bloc resection specimen of the pancreas, spleen and left kidney. (1) Pancreatic resection margin, (2) incidental renal carcinoma, (3) spleen, (4) primary pancreatic tumor, (5) left kidney, (6) left ureter, (7) splenic artery, (8) splenic vein, (9) left renal artery, (10) left renal vein. |
After 11 months of follow-up, a control CT-scan of the abdomen detected a 2 cm enlargement of the distal main duct of the pancreatic remnant with a sharp change in its caliber and without any apparent mass effect. Endoscopic ultrasound showed a nodular lesion of 15 mm diameter in the neck of the pancreas obstructing the duct; endoscopic ultrasound-guided cytology indicated a PADC. Another staging study ruled out distance metastasis, and so a complete resection of the pancreatic remnant was performed, consisting in a pylorus-preserving PD extending to the left pancreatic remnant via laparoscopic approach (Figure 4). The patient was placed in the supine position with the legs apart, the standard position used by our group for laparoscopic PD. Reconstruction of the digestive tract was performed with a single loop ascending behind the mesentery for the end-to-side hepatico-jejunostomy, which was anastomosed with two continuous polyglycolic acid 4/0 sutures. The end-to-side antecolic duodeno-jejunostomy was performed with interrupted polyglycolic acid 3/0 sutures. An iterative transversal suprapubic incision was performed for the removal of the resection specimen via an extraction bag (Figure 2). Operative time was 397 minutes.

|
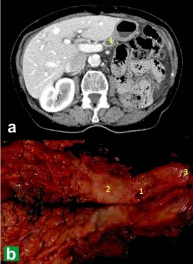
Figure 4. Diagnostic imaging and resected specimen for pancreaticoduodenectomy. a. Abdominal CT showing dilatation of the pancreatic duct (1). b. Surgical resection specimen: (2) pancreatic tumor, (3) distal margin of the pancreatic remnant. |
In the postoperative period the patient presented chylous ascites and required hospitalization for 17 days. No transfusion was required. As in the previous pancreatic resection, the definitive biopsy of this new tumor showed a new PADC with other PanIn 2 and 3 lesions in the rest of the gland. Probably, this new PADC had been present in the first operation as a PanIn 3 lesion. Two out of 21 nodes isolated were found to be affected. No chemotherapy was administered after the second operation. The patient has insulin-dependent diabetes mellitus. Although 31 months after the first pancreatic resection the patient is alive, local recurrence was detected 26 months after the first operation.
DISCUSSION
Resection of complex, bulky lesions in contact with vascular structures and/or PADC is still considered a limitation for laparoscopy. Laparoscopic PD is a complex technique that is currently performed at only a few centers and by very few surgeons. Nevertheless, the results published are promising [6-7], and interest in the procedure is growing. Other techniques for laparoscopic pancreatic resection have also been described [10-12].
We stress that, in the second pancreatic resection, we found minimal adhesions in the abdominal cavity deriving from the first pancreatic resection performed one year previously. One of the advantages of the laparoscopic approach in pancreatic surgery, as in other types of digestive surgery, is that it produces fewer adhesions than open techniques.
In our view, the case we report may help to redefine the limits of laparoscopy in resections of the pancreas, since it presents several features of added technical difficulty: malignancy (requiring radical cancer treatment and extensive lymphadenectomy), infiltration of neighboring organs (requiring multivisceral resection), surgical re-resection with curative intent, and resection of the head of the pancreas. Our patient’s postoperative evolution demonstrates that this approach may be beneficial in a larger number of patients than previously believed. Just as Kendrick et al. showed that laparoscopy in pancreatic surgery could be used to perform major vascular resection [8], the experience reported here may prompt further reflection on the current limits of the technique.
Received February 13th, 2015 – Accepted March 31st, 2015
Keywords Pancreatic Carcinoma; Pancreaticoduodenectomy
Abbreviations DP: distal pancreatectomy; PD: pancreaticoduodenectomy
Conflicting Interest The authors had no conflicts of interest
Correspondence Ignasi Poves
Department of Surgery
Hospital del Mar
Autonomous University of Barcelona
Passeig Marítim 25-29
Barcelona 08003
Spain
Phone: +34-93.248.3207
Fax: +34-93.248.3433
E-mail: ipoves@parcdesalutmar.cat
References
1. Fernández-Cruz L, Cosa R, Blanco L, Levi S, López-Boado MA, Navarro S: Curative laparoscopic resection for pancreatic neoplasms: a critical analysis from a single institution. J Gastrointest Surg 2007; 11:1607-21. [PMID: 17896167]
2. Poves I, Burdío F, Dorcaratto D, Grande L: Results of the laparoscopic approach in left-sided pancreatectomy. Cir Esp 2013; 91:25-30. [PMID: 23218526]
3. Palanivelu V, Rajan PS, Rangarajan M, Vaithiswaran V, Senthilnathan P, Parthasarathi R, Praveen Raj P: Evolution in techniques of laparoscopic pancreaticoduodenectomy: a decade long experience from a tertiary center. J Hepatobiliary Pancreat Surg 2009; 16:731-40. [PMID: 19652900]
4. Jin T, Altaf K, Xiong JJ, Huang W, Javed MA, Mai G, Liu XB, Hu WM, Xia Q: A systematic review and meta-analysis of studies comparing laparoscopic and open distal pancreatectomy. HPB (Oxford) 2012, 14:711–724. [PMID: 23043660]
5. Venkat R, Edil BH, Schulick RD, Lidor AO, Makary MA, Wolfgang CL: Laparoscopic distal pancreatectomy is associated with significantly less overall morbidity compared to the open technique. A systematic review and meta-analysis. Ann Surg 2012; 255:1048–1059. [PMID: 22511003]
6. Kendrick ML, Cusati D: Total laparoscopic pancreaticoduodenectomy: feasibility and outcomen in an early experience. Arch Surg 2010; 145:19-23. [PMID: 20083750]
7. Asbun HJ, Stauffer JA: Laparoscopic vs open pancreaticoduodenectomy: overall outcomes and severity of complications using the accordion severity grading system. J Am Coll Surg 2012; 215:810-819. [PMID: 22999327]
8. Kendrick ML, Sclabas GM: Major venous resection during total laparoscopic pancreaticoduodenectomy. HPB (Oxford) 2011; 13:454-8. [PMID: 21689228]
9. Poves I, Burdío F, Membrilla E, Alonso S, Grande L: Laparoscopic radical antegrade modular pancreatosplenectomy. Cir Esp 2010; 88:51-3. [PMID: 19783242]
10. Rotellar F, Pardo F, Benito A, Martí-Cruchaga P, Zozaya G, Cienfuegos JA: Laparoscopic resection of the uncinate process of the pancreas: the inframesocolic approach and hanging maneuver of the mesenteric root. Surg Endosc 2011; 25:3426-7. [PMID: 21614666]
11. Rotellar F, Pardo F: Laparoscopic middle pancreatectomy minimizes the procedure and maximizes the benefit. Surgery 2010; 147:895. [PMID: 20494216]
12. Mazza O, Santibañes M, Cristiano A, Pekolj J, Santibañes E: Laparoscopic enucleation of a peripheral branch intraductal papillary mucinous neoplasm situated in the pancreatic head. A new alterantive. Cir Esp 2014; 92:291-3. [PMID: 23827930]