ORIGINAL ARTICLE
JOP. J Pancreas (Online) 2011 Jul 8; 12(4):384-388.
CT Attenuation of Unilocular Pancreatic Cystic Lesions to Differentiate Pseudocysts from Mucin-Containing Cysts
Hamid Chalian, Hüseyin Gürkan Töre, Frank H Miller, Vahid Yaghmai
Department of Radiology, Northwestern Memorial Hospital, Northwestern University-Feinberg School of Medicine. Chicago, IL, USA
ABSTRACT
Context There is extensive overlap among the imaging characteristics of pseudocyst, mucinous cystic neoplasm (MCN) and side branch intraductal papillary mucinous neoplasm (IPMN) on CT images. Objective The purpose of this study was to evaluate the usefulness of attenuation measurement in differentiating pseudocysts from MCN and IPMN of pancreas on CT images. Patients Seventy-five pathologically proven unilocular pancreatic cysts including 31 pseudocysts, 29 MCN and 15 IPMN imaged with multidetector computed tomography (MDCT) before resection were evaluated. Main outcome measures Attenuation values were measured by conventional region of interest (ROI) method. Design Attenuation values (in Hounsfield unit, HU) were compared between the cyst pathologies. Receiver operating characteristic (ROC) curve analysis was performed to obtain the best attenuation threshold between mucin-containing cysts and pseudocysts. Correlation between attenuation values and cyst size was assessed. Results Maximum transaxial diameters of pseudocysts (4.5 cm), MCNs (3.7 cm) and IPMNs (4.0 cm) were comparable (P=0.919). Mean attenuation was 18.9 HU, 13.0 HU and 11.4 HU for pseudocyst, MCNs and IPMNs, respectively. Attenuations were significantly higher in pseudocysts versus mucin-containing (MCN+IPMN) cysts (P=0.001) and comparable between MCNs and IPMNs (P=0.390). ROC curve showed 14.5 HU the best cut-off (accuracy: 73.5%) for differentiating pseudocysts from mucin-containing cysts (P<0.001). Pancreatic cyst attenuation measurement did not significantly correlate with cyst size (r=-0.03, P=0.772). Conclusion Attenuation measurement may help in differentiating pseudocysts from unilocular mucin-containing simple cysts of the pancreas on CT images.
INTRODUCTION
Pancreatic cysts are being detected more frequently as an incidental finding at cross-sectional imaging [1, 2]. This is probably related to the recent improvements in high resolution imaging technologies such as multidetector computed tomography (MDCT). Incidental pancreatic cystic lesions have been reported to be detectable by 8.7% of MDCT images in the outpatient population imaged for diseases unrelated to the pancreas [2]. Inflammatory pseudocysts are common and complicate the course of chronic pancreatitis in up to 40% of patients [3]. However, pseudocysts may be detected incidentally in patients without known history of pancreatitis [4]. Serous cystadenomas, mucinous cystic neoplasms (MCN) and intraductal papillary mucinous neoplasms (IPMN) make up the majority of the non-inflammatory pancreatic cysts [5].
Clinical history of the patient, such as presence of previous pancreatitis, may be helpful in differentiating pancreatic cystic lesions. Imaging features help characterize different pancreatic cysts. In general, detecting a communication between a pancreatic cyst and main pancreatic duct favors the diagnosis of side branch IPMN [6]. Identification of microcystic morphology at imaging helps making a confident diagnosis of serous cystadenomas [7]. However, extensive overlap exists amongst the imaging characteristics of pseudocysts, MCNs and side branch IPMNs, when these cystic lesions are unilocular. Macari et al. found internal debris as a highly specific magnetic resonance (MR) finding for the differentiation of pseudocysts from non-inflammatory pancreatic cysts [8]. However, differentiation of pseudocysts from unilocular cystic neoplasms, especially MCNs and IPMNs is a major weakness of CT scanning [4, 9]. In this study we evaluated the role of cyst attenuation in differentiating unilocular pancreatic mucin-containing cystic neoplasms from pseudocysts at MDCT imaging.
METHODS AND MATERIALS
Study Sample
This is a retrospective Health Insurance Portability and Accountability Act (HIPAA) compliant study.
Patient selection was performed in our institution’s surgical record database search engine using the following key words: “pancreatic cyst” and “MDCT”. Surgically proven MCN, IPMN and pseudocysts of pancreas during the period of January 2000 to June 2009 that had at least one MDCT before resection were included. Pancreatic cysts less than 1 centimeter were excluded to reduce the possibility of volume averaging error. Cysts with calcification, mural nodule or septa were excluded. Patients with stents within the pancreatic or common bile duct were also excluded.
The study was designed to evaluate the ability of attenuation quantification at MDCT in differentiating unilocular pseudocysts form mucin-containing cysts of pancreas. One-hundred and twenty-nine pathologically proven pancreatic cysts were included. Eleven cysts were excluded due to maximum transaxial diameter less than 1 centimeter. Thirty-one cysts were excluded due to the presence of mural nodules, internal calcification or stent within the pancreatic or common bile duct. Twelve cysts were excluded for having visible septa inside them. Study population consisted of 75 unilocular pancreatic cysts including 31 pseudocysts, 29 MCNs and 15 IPMNs. Attenuation values were determined by conventional region of interest.
MDCT Imaging Protocol
All MDCT scans were obtained using Somatom Sensation 64 or 16-slice scanners (Siemens Medical Solutions, Erlangen, Germany) using 120 kVp, dose modulation with 270 reference mA with rotation speed of 0.5 s (Siemens Medical Solutions, Erlangen, Germany) or LightSpeed 4-slice scanner (GE Healthcare, Waukesha, WI, USA) using 120 kVp, 210 mA and rotation speed of 0.8 s. Image acquisition consisted of tri-phasic pancreatic protocol that included unenhanced images of the abdomen, followed by pancreatic parenchymal phase of the abdomen obtained at 40 seconds and portal venous phase of the abdomen and pelvis obtained at 70 seconds. Pancreatic parenchymal phase was obtained using a 0.6 mm or 0.75 mm MDCT scanners (Siemens Medical Solutions, Erlangen, Germany) or 1.25 mm collimation MDCT scanner (GE Healthcare, Waukesha, WI, USA) and 2 or 2.5 mm slice thickness during intravenous administration of 125 mL of iohexol-350 (GE Healthcare, Waukesha, WI, USA; total dose of iodine: 43.75 g;) at the rate of 4 mL/s. Intravenous contrast was administered via an antecubital vein using an 18- or 20-gauge intravenous catheter and a mechanical injector (Stellant, Medrad, Indianola, PA, USA).
Image Analysis
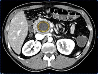
Image analysis was performed on a picture archiving and communication system (PACS) workstation (Centricity RA1000, GE HealthCare, Barrington, IL, USA) For each cystic lesion, attenuation was measured by drawing a circular or elliptical region of interest (ROI) (range: ROI area: 0.23-11.2 cm2, ROI pixels: 44-4,600) within the cyst’s greatest dimension in the trans-axial plane. Care was taken not to include the normal pancreatic tissue during placement of the ROI (Figure 1). Mean attenuation value (in Hounsfield units, HU) which represents the mean attenuation of all pixels within the ROI and maximum transaxial diameter of the cyst were recorded.

|
Figure 1. A 40-year-old man with pseudocyst in the head of the pancreas. Axial contrast-enhanced CT image exemplifies the cyst attenuation quantification by drawing ellipsoid region of interest (ROI). Care was taken to avoid the edges. Mean attenuation value, representing the mean attenuation of all pixels in ROI region, was recorded. |
Image analysis was performed by two readers in consensus (with six and two years of experience in CT interpretation, respectively) using the pancreatic parenchymal phase images. Readers were not involved in patient selection and were blind to the pathological diagnosis of the lesions. All studies that met the inclusion criteria were analyzed. Since pseudocysts change over time, we used the first available CT in our center for measurement of the attenuation and size.
ETHICS
This study was approved by our institutional review board. Patient informed consent was waived.
STATISTICS
Statistical analyses were performed using MedCalc for Windows, version 9.6.4.0 (MedCalc Software, Mariakerke, Belgium). Quantitative data were expressed as mean, 95% confidence interval (95% CI), and range. One-way analysis of variance (ANOVA) was performed to evaluate differences of maximum transaxial diameter and attenuation value over cyst pathologies. Tukey’s post hoc test was done to find significant pair-wise differences in case ANOVA showed a statistically significant difference. Receiver operating characteristic (ROC) curve analysis was done to identify the cut-off in CT attenuation for differentiating pseudocysts from mucin-containing cysts of the pancreas. The best cut-off of the ROC curve was evaluated by means of a maximum likelihood method [10]. To evaluate the effect of cyst size on attenuation values, correlation of maximum transaxial diameter with attenuation values was assessed by Pearson correlation coefficient. The chi-squared test was used to evaluate whether different cyst types have been evenly distributed in the pancreas. The significance level was set at two-tailed P=0.05.
RESULTS
Demographics
Seventy-five patients with pathologically proven unilocular pancreatic cystic lesions (31 pseudocysts, 29 MCN and 15 IPMN) that underwent MDCT before resection were included. Different cyst types were not evenly distributed in the pancreas (P=0.002): 21 (28.0%) cysts were located in the head, 34 (45.3%) in the body and 20 (26.7%) in the tail of pancreas. Study population consisted of 30 males and 45 females, with a mean age of 56 years (95% CI: 52-61 years; range: 19-84 years). No significant difference was observed in the mean age between females (55 years; 95% CI: 49-61 years; range: 19-84 years) and males (57 years; 95% CI: 52-62 years; range: 31-77 years) (P=0.605).
Maximum Transaxial Diameter
Mean values for maximum transaxial diameter was 3.9 cm (95% CI: 3.2-4.5 cm; range: 1.1-16.4 cm) in the whole cohort, 4.5 cm (95% CI: 2.7-5.3 cm; range: 1.1-16.4 cm) in pseudocysts, 3.7 cm (95% CI: 2.8-4.6 cm; range: 1.2-10.4 cm) in MCN and 4.0 cm (95% CI: 3.1-4.7 cm; range: 2.1-7.4 cm) in IPMN (P=0.919).
Cyst Attenuation
Attenuation of pseudocysts (mean: 18.9 HU; 95% CI: 15-22.7 HU; range: 2.4-56.1 HU) was significantly higher than MCN (mean: 13 HU, 95% CI: 10.6-15.5 HU; range: 4.5-34.7 HU; P=0.014) and IPMN (mean: 11.4 HU; 95% CI: 8.8-14.1 HU; range: 5.9-23.3 HU; P=0.013). Attenuation of the MCN was comparable with attenuation of IPMN (P=0.390). Attenuation of the mucin-containing cysts (MCN+IPMN) (mean: 12.5 HU, 95% CI: 10.7-14.3 HU; range: 4.5-34.7 HU) was significantly lower than pseudocysts (P=0.001) (Figure 2). There were no outliers in the study population. ROC curve analysis (AUC=0.735%; P<0.001 vs. the null hypothesis of AUC=0.5) showed an accuracy of 73.5% and 14.5 HU was identified as the best cut-off to differentiate pseudocysts from mucin-containing cysts of pancreas. Sensitivity (32/43, 74.4%) and specificity (23/32, 71.9%) of this cut-off were also measured (Figure 3).

|
Figure 2. Chart depicting mean and 95%CI of the attenuation in pseudocyst (18.9 HU; 95%CI: 15-22.7 HU), MCN (13 HU; 95%CI: 10.6-15.5 HU) and IPMN (11.4 HU; 95%CI: 8.8-14.1 HU). |

|
Figure 3. Receiver operating characteristic (ROC) curve depicting the CT attenuation cut-off (14.5 HU) for differentiating pseudocysts form mucin-containing cysts (AUC=0.735; P<0.001 vs. the null hypothesis of AUC=0.5). |
Attenuation was not correlated with maximum transaxial diameter in the entire cohort (r: -0.03; P=0.772), pseudocysts (r: -0.08; P=0.665), MCN (r: 0.24, P=0.202) or IPMN (r: 0.29, P=0.290).
DISCUSSION
Advances in imaging technologies have resulted in more frequent detection of pancreatic cystic lesions [11, 12]. Most pancreatic cysts have an inflammatory origin. Serous cystadenomas, MCNs and IPMNs consist more than 90% of non-inflammatory pancreatic cysts [13]. Management of the inflammatory pancreatic cysts is quite different from non-inflammatory pancreatic cysts. Mucin-containing pancreatic cysts have malignant potential [14, 15] and may be resected, depending on the risk factors such as lesion size or age of the patient [13, 16]. Therefore, distinction of these cysts from pseudocysts of the pancreas is essential for their appropriate management [14].
History of pancreatitis for identification of pseudocysts, although useful, is not a consistent clinical finding and can be seen in IPMNs and mucinous cystic neoplasms. A number of findings at imaging have been found to be useful for differentiating pseudocysts form pancreatic cystic lesions [7, 14, 17]. However, extensive overlap exists among the imaging characteristics of pseudocysts, MCNs and side branch IPMNs on CT images, making their differentiation difficult. Serous cystadenoma has a benign nature and has imaging characteristics that help distinguish it from other cystic lesions of pancreas [7, 17]. Identification of microcystic morphology at imaging helps making a confident imaging diagnosis of most serous cystadenomas which are microcystic [7]. Since most serous cystadenomas are identifiable based on their typical imaging features, we did not include serous cystadenomas in this study. When clinical and imaging evaluation does not help identify the nature of the pancreatic cysts, endoscopic ultrasonography with aspiration of the cyst fluid will help characterize the cyst type [18, 19].
Our results show that CT attenuation values may be helpful in distinguishing unilocular mucin-containing cystic lesions of the pancreas from pancreatic pseudocysts. Our results suggest CT attenuation of 14.5 HU a significant cut-off that is 74% accurate for differentiating pseudocysts form mucin-containing cysts of the pancreas. Procacci et al. have reported the accuracy of 60% for CT findings in diagnosing cystic pancreatic lesions [20]. The contribution of attenuation to the accuracy of diagnosis when accounting for all morphological features of these cystic lesions needs further evaluation. Significantly higher attenuation values were observed in pseudocysts compared with the mucin-containing cysts of pancreas. In a previous study, Macari et al. reported detectable internal debris on MR images of 13 out of 20 pseudocysts. They found that presence of internal dependent debris was a highly specific finding for the differentiation of pancreatic pseudocysts versus non-inflammatory cysts on MR images [8]. The debris inside the pseudocysts is due to the necrotic portions of pancreatic tissue remained within the cyst during the cyst formation. Unlike MR images on which debris is easily depicted [8, 21], internal debris is not well identifiable on CT images; however, presence of debris and hemorrhagic or proteinaceous material might explain the higher attenuation values of pseudocysts on CT images in our study. Mucinous cystic neoplasm and IPMN of pancreas had similar attenuation. However, IPMN may usually be distinguished from other cystic neoplasms of the pancreas by its connection to the pancreatic duct [6].
Our study had limitations. Apart from the intrinsic limits of any retrospective study, some other limitations should be mentioned. Region of interest measurement samples the largest portion of the cysts so it may be subject to sampling bias. This may be particularly true when there is a difference in attenuation in different parts of the cysts. We also did not evaluate the attenuation value of unilocular serous cystadenoma. Although there are specific imaging features that help differentiate macrocystic serous cystadenoma form MCN and pseudocysts [17], attenuation value might aid in this regard and requires further study. CT attenuation values may vary between different scanners [22]. We did not evaluate inter-scanner variability of CT attenuation in this study.
In conclusion, the results of our study suggest that unilocular pseudocysts tend to have higher attenuation value than unilocular mucin-containing cysts of the pancreas. We found CT attenuation of 14.5 HU a statistically significant cut-off for differentiating pseudocysts form mucin-containing cysts of the pancreas. Therefore, attenuation measurement may aid in differentiating these cystic lesions on CT images.
Received March 9th, 2011 - Accepted April 29yh, 2011
Keywords Cysts, Pancreas; Densitometry; Pancreatic Pseudocyst
Abbreviations HIPAA: Health Insurance Portability and Accountability Act; HU: hounsfield unit; IPMN: intraductal papillary mucinous neoplasm; MCN: mucinous cystic neoplasm; MDCT: multidetector computed tomography; PACS: picture archiving and communication system; ROI: region of interest
Acknowledgment of grant Dr. Hamid Chalian and Dr. Hüseyin Gürkan Töre were supported by educational grant from Siemens Healthcare, Erlangen, Germany
Conflict of interest The authors have no potential conflict of interest
Correspondence
Vahid
Yaghmai
Department of Radiology
Northwestern Memorial Hospital
Northwestern University-Feinberg School of Medicine
676 North Saint Clair Street Suite 800
Chicago, IL 60611
USA
Phone: +1-312.695.2425
Fax. +1-312.695.5645
E-mail: v-yaghmai@northwestern.edu
References
1. Kimura W, Nagai H, Kuroda A, Muto T, Esaki Y. Analysis of small cystic lesions of the pancreas. Int J Pancreatol 1995;18:197-206.
2. Laffan TA, Horton KM, Klein AP, Berlanstein B, Siegelman SS, Kawamoto S, et al. Prevalence of unsuspected pancreatic cysts on MDCT. AJR Am J Roentgenol 2008; 191:802-7.
3. Boerma D, Obertop H, Gouma DJ. Pancreatic pseudocysts in chronic pancreatitis. Surgical or interventional drainage? Ann Ital Chir 2000;71:43-50.
4. Habashi S, Draganov PV. Pancreatic pseudocyst. World J Gastroenterol 2009;15:38-47.
5. Brugge WR, Lauwers GY, Sahani D, Fernandez-del Castillo C, Warshaw AL. Cystic neoplasms of the pancreas. N Engl J Med 2004;351:1218-1226.
6. Sahani DV, Kadavigere R, Blake M, Fernandez-Del Castillo C, Lauwers GY, Hahn PF. Intraductal papillary mucinous neoplasm of pancreas: Multi-detector row ct with 2d curved reformations--correlation with mrcp. Radiology 2006;238:560-569.
7. Curry CA, Eng J, Horton KM, Urban B, Siegelman S, Kuszyk BS, Fishman EK. CT of primary cystic pancreatic neoplasms: Can ct be used for patient triage and treatment? AJR Am J Roentgenol 2000; 175:99-103.
8. Macari M, Finn ME, Bennett GL, Cho KC, Newman E, Hajdu CH, Babb JS. Differentiating pancreatic cystic neoplasms from pancreatic pseudocysts at mr imaging: Value of perceived internal debris. Radiology 2009;251:77-84.
9. Siegelman SS, Copeland BE, Saba GP, Cameron JL, Sanders RC, Zerhouni EA. CT of fluid collections associated with pancreatitis. AJR Am J Roentgenol 1980; 134:1121-32.
10. Pezzilli R, Billi P, Miniero R, Fiocchi M, Cappelletti O, Morselli-Labate AM, et al. Serum interleukin-6, interleukin-8, and beta 2-microglobulin in early assessment of severity of acute pancreatitis. Comparison with serum C-reactive protein. Dig Dis Sci 1995; 40:2341-8.
11. Fernandez-del Castillo C, Targarona J, Thayer SP, Rattner DW, Brugge WR, Warshaw AL. Incidental pancreatic cysts: Clinicopathologic characteristics and comparison with symptomatic patients. Arch Surg 2003;138:427-423; discussion 433-424.
12. Sahani D, Prasad S, Saini S, Mueller P. Cystic pancreatic neoplasms evaluation by ct and magnetic resonance cholangiopancreatography. Gastrointest Endosc Clin N Am 2002;12:657-672.
13. Fernandez-del Castillo C, Warshaw AL. Cystic tumors of the pancreas. Surg Clin North Am 1995;75:1001-1016.
14. Sahani DV, Kadavigere R, Saokar A, Fernandez-del Castillo C, Brugge WR, Hahn PF. Cystic pancreatic lesions: A simple imaging-based classification system for guiding management. Radiographics 2005;25:1471-1484.
15. Farnell MB. Surgical management of intraductal papillary mucinous neoplasm (ipmn) of the pancreas. J Gastrointest Surg 2008;12:414-416.
16. Sadakari Y, Ienaga J, Kobayashi K, Miyasaka Y, Takahata S, Nakamura M, Mizumoto K, Tanaka M. Cyst size indicates malignant transformation in branch duct intraductal papillary mucinous neoplasm of the pancreas without mural nodules. Pancreas 2010;39:232-236.
17. Cohen-Scali F, Vilgrain V, Brancatelli G, Hammel P, Vullierme MP, Sauvanet A, Menu Y. Discrimination of unilocular macrocystic serous cystadenoma from pancreatic pseudocyst and mucinous cystadenoma with ct: Initial observations. Radiology 2003;228:727-733.
18. Moparty B, Logrono R, Nealon WH, Waxman I, Raju GS, Pasricha PJ, Bhutani MS. The role of endoscopic ultrasound and endoscopic ultrasound-guided fine-needle aspiration in distinguishing pancreatic cystic lesions. Diagn Cytopathol 2007;35:18-25.
19. Pais SA, Attasaranya S, Leblanc JK, Sherman S, Schmidt CM, DeWitt J. Role of endoscopic ultrasound in the diagnosis of intraductal papillary mucinous neoplasms: Correlation with surgical histopathology. Clin Gastroenterol Hepatol 2007;5:489-495.
20. Procacci C, Biasiutti C, Carbognin G, Accordini S, Bicego E, Guarise A, Spoto E, Andreis IA, De Marco R, Megibow AJ. Characterization of cystic tumors of the pancreas: Ct accuracy. J Comput Assist Tomogr 1999;23:906-912.
21. Miller FH, Keppke AL, Dalal K, Ly JN, Kamler VA, Sica GT. MRI of pancreatitis and its complications: Part 1, acute pancreatitis. AJR Am J Roentgenol 2004; 183:1637-44.
22. Birnbaum BA, Hindman N, Lee J, Babb JS. Multi-detector row ct attenuation measurements: Assessment of intra- and interscanner variability with an anthropomorphic body CT phantom. Radiology 2007; 242:109-119.