ORIGINAL ARTICLE
JOP. J Pancreas (Online) 2011 Jul 8; 12(4):395-403.
The Pattern of Neural Elements in the Islets of Normal and Diseased Pancreas and in Isolated Islets
Parviz M Pour1,2, Murat Saruc3
1UNMC Eppley Cancer Center and 2Department of Pathology and Microbiology, University of Nebraska Medical Center. Omaha, NE, USA. 3Acibadem Hospital. Istanbul, Turkey
ABSTRACT
Context The association between islet cells and neural elements, the so-called “neuro-insular complex”, has been known for centuries. Objective We examined the expression of beta-III tubulin, in normal pancreases from organ donors, surgical specimens of chronic pancreatitis, surgical specimens of ductal type carcinoma, isolated and purified islets of a 57-year-old male and the pancreases of adult Syrian golden hamsters by immunohistochemistry using a monoclonal antibody to beta-tubulin. Results In the normal pancreas of humans and hamsters, beta-III tubulin was expressed in alpha- and beta-cells, but not in PP cells, neural fibers and gangliae. Occasionally, intra-and peri-insular neural elements were also found. In chronic pancreatitis and pancreatic cancer samples, the number of beta-cells and the immunoreactivity of the beta-III tubulin antibody in islet cells were decreased in most cases. In cultured human islets, devoid of neural elements, no correlation was found between the expression of beta-III tubulin and islet cell hormones. Conclusion Beta-III tubulin is only expressed in the islets derived from the dorsal pancreas and in neural elements. In chronic pancreatitis and pancreatic cancer swelling of intra- and peri-insular nerves occurs, possibly in response to the loss of beta-cells. The secretion of insulin and the expression of beta-tubulin seem to be regulated by nerves.
INTRODUCTION
Pancreatic islet cells share similarities with neurons in expressing neural markers, including neural cell adhesion molecules, neuron-specific enolase, the synaptophysin and chromogranin A [1], and the nerve growth factors and their receptors [2, 3, 4]. Microtubules assembled from two similar 50 kDa proteins, designated as alpha- and beta-III tubulin, are involved in a number of important biological processes, including segregation of chromosomes during cell division, cell motility, organelle transport, and the maintenance of cell shape. Both the up-regulation and the post-translational processing of class III beta-tubulin are believed to be essential throughout neural differentiation [5].
In a recent study, we found that one of the most specialized tubulins specific for neurons, the class III beta-tubulin, was expressed in cancer cells but more consistently in islet cells [6]. To examine the role of beta-III tubulin in the islets of healthy and diseased pancreases, we studied its expression in the normal pancreas, chronic pancreatitis and pancreatic cancer tissues, cultured normal human islets, and for comparison, in the pancreas of Syrian hamsters.
MATERIAL AND METHODS
Tissue Samples
Five normal pancreases from organ donors (one male and four females; age range: 17-65 years), who had no reported serious illnesses and had died on accidents, five surgical specimens of chronic (alcoholic) pancreatitis (four males, one female; age range: 29-74 years) all presenting a mass in the head of the pancreas, 26 surgical specimens of ductal type adenocarcinomas (13 males, 13 females; age range: 51-77 years), normal pancreases of three adult Syrian golden hamsters and isolated and purified islets of a 57-year-old male, who died on car accident and had no previous illness reports, were used. Sixteen pancreatic cancer specimens were from the head, nine from the body and one from the tail. All six tissues of chronic pancreatitis were from the head of the pancreas. In all cases of chronic pancreatitis and normal pancreases, and from 11 pancreatic cancer cases, the islets were measured and the number of neural cells within each islet was determined. Serial or step sections were performed in a few samples for comparison of the results. In pancreatic cancer samples islets in the tumor area (Region A) and in the adjacent tumor-free pancreatic tissue (Region B) free of inflammation, atrophy and fibrosis were evaluated.
There was no information available on the glucose metabolism or other clinical biochemistry data from the patients. All tissues were fixed in buffered formalin and prepared for histology by conventional methods and cut into 4 µ sections. In some cases, serial sections were prepared. Islets were prepared, cultured and stained as described previously [7, 8].
Determination of Islet Size and the Number of Neuronal Cells
From 11 patients (six males, five females; age range: 55-77 years) the size of islets in the tumor area (Region A) and in the adjacent tumor-free pancreatic tissue (Region B) was determined using the Zeiss (Jena, Germany) Axiomat micro scale. Islets partially invaded by cancer cells were excluded. In each of these islets the number of neuronal cells was counted and the average was considered as a representative value for that case. Overall, 159 islets in the normal pancreas, 202 islets in chronic pancreatitis, 552 islets in the cancer area (Region A) and 253 islets in the pancreatic tissue free of tumor (Region B) were evaluated. In Region B, only islets in areas free from inflammation and fibrosis were studied.
Antibodies and Chemicals
Monoclonal class III beta-tubulin (IgG2) was purchased from Covance Corporation (Berkley, CA, USA; catalog number MMS-435P) in a dilution of 1:100. In a previous study, the specificity of the antibody staining was verified by RT-PCR and Western blotting [6]. Polyclonal, anti-glucagon, anti-polypeptide and monoclonal anti-insulin and anti-cytokeratin 19 were purchased from Biogenex (San Ramon, CA, USA). The culture medium M3:5TM was obtained from InCell Corporation Ltd. (San Antonio, TX, USA); fetal bovine serum came from Summit Biotechnology (Fort Collins, CO, USA); and penicillin, streptomycin, and trypsin-EDTA came from Sigma (St. Louis, MO, USA).
Immunohistochemistry
For the demonstration of beta-III tubulin, the sections were deparaffinized and rehydrated, and exposed to 3% (v/v) hydrogen peroxide for 30 min to eliminate pseudoperoxidase activity of erythrocytes. For antigen retrieval, heat treatment was applied in 10 mM citrate buffer, pH 6, for 10 min at 95°C. The sections were then blocked for 60 min with normal goat serum (Kirkegaard and Perry Laboratories, Gaithersburg, MD, USA) in a humidified chamber to prevent nonspecific absorption. The sections were incubated with the antibody overnight at 4°C. The biotinylated multi-link secondary antibody (BioGenex, San Ramon, CA, USA) was incubated for 10 min at 37°C. This step was followed by incubation with peroxidase-labeled streptavidin (Kirkegaard and Perry Laboratories, Gaithersburg, MD, USA) for 60 min, and the immunostaining was developed with diaminobenzidine substrate (Kirkegaard and Perry Laboratories, Gaithersburg, MD, USA). For proper visualization of the immunoreactive product no counterstaining was performed. For the determination of an optimal concentration of the antibody, different dilutions (1:50 and 1:100 dilutions) were used. The 1:50 dilution was found to be optimal without causing unspecific staining.
For the demonstration of pancreatic alpha- and beta-cells a multi-labeling technique was used as reported [9]. Histomarkred and Histomark blue (Kirkegaard and Perry Laboratories, Gaithersburg, MD, USA) were used as chromagens for this technique.
Preparation of Islet Culture
Islets were cultured as reported [7, 8, 10]. They were kept 19 days on a rocker to prevent their attachment to the bottom of the dish and then allowed to attach. Twenty islets of each were harvested at days 4, 5, 8, 14, 16 and 19 post culturing and one day after their attachment to the bottom of the dish. The attached cells were also examined after they reached a density of 80%. Histological and immunohistochemical preparation of the cells followed the published procedures [7, 8, 10].
ETHICS
Written informed consent was obtained from each patient. The study protocol conforms to the ethical guidelines of the "World Medical Association Declaration of Helsinki - Ethical Principles for Medical Research Involving Human Subjects" adopted by the 18th WMA General Assembly, Helsinki, Finland, June 1964, as revised in Tokyo 2004. No approval by the appropriate institutional review committee was needed.
STATISTICS
Data are reported as means and standard errors (SEs). A non-parametric test (Mann-Whitney) was used. Two-tailed P value less than 0.05 were considered significant. The SAS statistical package (SAS Institute Inc., Cary, NC, USA) was used for data analysis.
RESULTS
Normal Pancreas
In the normal human pancreases, the immunoreactivity of the beta-tubulin antibody (beta-TA) was restricted to islet cells, neural fibers and ganglia in all specimens (Figure 1). However, the reactivity was dependent on the dilution of the beta-TA. In a higher dilution (1:100) the immunoreactivity of islet cells, but not of neural cells, decreased. In the optimal dilution (1:50), islet cells showed a fine granular cytoplasmic staining of moderate or weak staining in contrast to the intense dark staining of neural cells. In multi-labeled slides, the majority of insulin and glucagon cells were co-stained with beta-TA with a few cells reactive to the beta-TA only (Figure 2). A single or a few small cells of triangular or spindle form, were noted in the core and/or the periphery of some islets. These cells showed a strong homogenous staining and presented fine processes that extended between the islet cells. The staining patterns of these cells were identical to those of neural cells (Figure 1). The number of these cells differed between the islets from zero to four per islet (Figure 3). The islets containing PP cells did not express beta-III tubulin (Figure 2).

|
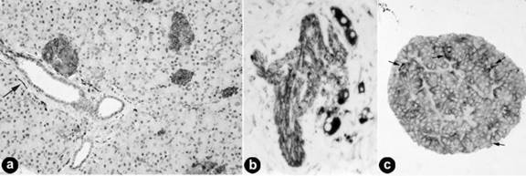
Figure 1. Reactivity of islet cells with anti-beta-tubulin antibody (beta-TA). All photos are converted to a grayscale model. a. Normal human pancreas processed with anti-tubulin antibody. All islet cells are stained strongly. Stronger stained small or larger sections of neural fibers are scattered throughout the tissue and in the peri-ductal area (arrow). ABC method; beta-TA (1:50 dilution), x70. b. Normal pancreas. Strong staining of nerve fibers and ganglia. Avidin-biotin complex method; beta-TA (1:50 dilution); x120. c. A normal islet of the Syrian hamster showing staining of virtually all islet cells. A few small and darker stained neural cells (arrows) are present. Avidin-biotin complex method; beta-TA (1:50 dilution); x80. |

|
Figure 2. Multi-labeling of normal pancreatic islets. a. anti-insulin (blue) and beta-TA (brown). The color shift (brownish blue) indicates that most islet cells contain both insulin and beta-tubulin. However, there are a few cells, representing glucagon cells, stained with beta-TA only (arrows). Avidin-biotin complex method; 1:50 dilution; x80. b. Immunoreactivity of islet cells in the islets of PP-rich areas with anti-PP (red) and beta-TA (blue). None of the blue-stained PP cells are co-stained with the beta-TA as there are no color shifts. Avidin-biotin complex methods; 1:50 dilution; x120. c. An islet in the cancer area (Region A) stained with anti-insulin (blue) and beta-TA (brown). Note that the immunoreactivity of anti-insulin is reduced to a few cells, while beta-tubulin is present in most cells. Avidin-biotin complex method; 1:50 dilution; x120. d. In five cases of pancreatic cancer the expression of insulin (blue) and beta-tubulin (brown) was similar to the islets of the normal pancreas. Avidin-biotin complex method; 1:50 dilution; x120. e. Human islets in culture. Day 3. staining of islet cells with anti-insulin (blue) and beta-TA (red). The purple color indicates the co-expression of insulin and beta-tubulin. There are many weakly blue stained cells between the darker stained cells. The upper portion of the islet is necrotic. Avidin-biotin complex method; 1:100 dilution; x120. f. Day 12. The number of insulin cells (blue) co-expressing beta-tubulin (purple) has decreased and many cells express beta-tubulin only (red). There are many duct-like structures in the central core of the islets. Note that some cells lining the duct structures (arrow) are stained weakly with beta-TA. Avidin-biotin complex method; 1:100 dilution; x120. g. Day 5. The number of insulin cells (blue) decreased significantly and many cells express beta-tubulin (red). Avidin-biotin complex method; 1:100 dilution; x80. h. Day 5. A few glucagon cells (blue) intermingled with cells expressing beta-tubulin alone (red) or co-expressing glucagon (purple). Most parts of the islets are necrotic. Note ductular structures (top), surrounded by a few cells expressing beta-tubulin. Avidin-biotin complex method; 1:100 dilution; x120. i. The same islet as in h. showing cells that express insulin (blue), beta-tubulin (red), or both (purple). Avidin-biotin complex method; 1:100 dilution; x120. |

|
Figure 3. The number of neural cells/islet (number of dark cells/number of islet cells) in specimen from the normal pancreas, chronic pancreatitis and pancreatic cancer (mean±SE). Please see the text concerning the large standard errors. Region A: cancer area; Region B: tumor-free area; CP: chronic pancreatitis; NP normal pancreas from organ donor |
In the hamster pancreas, the reactivity of the beta-TA was similar to that of the human pancreas, including the presence of occasional darker and homogenously stained neural elements inside and outside of the islets.
Chronic Pancreatitis
In the chronic pancreatitis specimen, most of the tissue was composed of scarred dense fibrous tissue with small islands of atrophic acini and scattered islets, which were significantly smaller than in the normal pancreas (Figure 4). As in our previous study [10], in all five samples, the number of beta-cells and the reactivity of both anti-insulin and anti-beta-III tubulin were reduced significantly. The number of glucagon cells was increased compared to the islets in the normal pancreas. In these islets, a larger number of strongly and homogonously stained cells, identical to extra-insular neural cells and fibers, were noted in the center or periphery of the islets (Figure 5). Compared to normal pancreatic tissues, the size of these neural elements was larger, making them easier to detect. In the islet periphery, there were ganglion cells and triangular cells, resembling Cajal cells, with short or long processes that extended between the islet cells. These fibers showed patterns consistent with varicose nerves (Figure 5). In islets with a reduced beta-cell number, the immunoreactivity of islet cells with the beta-TA was decreased. None of the dark-stained (neural) elements was reactive with any islet hormone antibodies.

|
Figure 4. The size of islets in specimen from the normal pancreas, chronic pancreatitis and pancreatic cancer (mean±SE). Region A: cancer area; Region B: tumor-free area; CP: chronic pancreatitis; NP normal pancreas from organ donor |

|
Figure 5. Chronic pancreatitis. The reactivity of islet cells with the beta-TA. All photographs are converted to grayscale images. a. Three islets of various size containing many of few neural cells immunoreactive with beta-TA (black) either in the center (top), on the islet periphery (right) or both (bottom). The staining of islet cells with the antibody is much weaker (gray). There was no correlation between the islet size and the number of neural cells. Note the presence of many neural fibers around the islets. Avidin-biotin complex method; 1:100 dilution; x80. b. Two ganglion cells in the periphery of an islet are connected with a nerve fiber (arrow). Neural fibers are also present in both islets showing typical varicose patterns (for example arrow). The staining of islet cells with the antibody is weak. Avidin-biotin complex method; 1:100 dilution; x120. c. An islet with numerous neural cells and neural fibers with varicose pattern (arrows). Weaker staining of islet cells. Avidin-biotin complex method; 1:100 dilution; x120. d. Many neural cells primarily in the center of an islet showing various shapes and neural fiber extensions. Avidin-biotin complex method; 1:100 dilution; x120. |
As in the normal pancreas, there was great variation in the number of neural cells in the islets ranging from 0 to 10 per islet (Figure 5, Figure 3).
Pancreatic Cancer
The islets within the cancer area were either of normal size, hypertrophic, atrophic, degenerated or partially or totally destroyed by cancer cells. In general, the size of islets in both cancer areas (Region A) and in tumor-free pancreatic tissue (Region B) was significantly smaller than the islets in the normal pancreas (Figure 4). As was also found in our previous reports [10, 11, 12], the number of beta-cells and/or their staining intensity were decreased in all but five cases, while the number of alpha-cells was increased. As in chronic pancreatitis, in all but five cases, the immunoreactivity of islet cells with beta-TA was reduced (Figure 6c). Also, in these islets, many enlarged neural elements, similar to those seen in chronic pancreatitis, were identifiable. In five cases, similar to the normal pancreas, only a few neural cells, but many islet cells, were strongly stained with beta-TA (Figure 6d).

|
Figure 6. Pancreatic cancer. Immunoreactivity of islet cells with the beta-TA. In all sections, the avidin-biotin complex method and a dilution of 1:100 were used. All figures are converted to grayscale images. a. Three islets in the cancer area (Region A) with several neural cells within and in the periphery of islets. Weaker staining of islet cells and of cancer cells (center). x80. b. An islet primarily composed of neural cell with several varicose nerves (arrows) in the center and periphery. x120. c. A ganglion cell in the islet periphery extending its fibers between the weaker stained islet cells. There are several varicose nerves (arrows). Note the connection of the islet with a larger nerve fiber (right). x180. d. An atrophic islet in Region A surrounded by fibrous tissue. Several neural cells and fibers are seen. x120. e. In five pancreatic cancer specimens the staining of islet cells with beta-TA was strong and in granular form as in the normal pancreas. There were only a few discernible neural cells and fibers in these islets. x120. f. Cultured human islets at day 16. The central portion of all three islets was necrotic and the cells arranged in the islet periphery expressed beta-tubulin with occasional insulin and glucagon cells in between. x50. |
As in the normal pancreas and chronic pancreatitis cases, the number of identifiable intra- and peri-insular neural cells varied considerably and to a larger extent (Figure 3). The differences in the number of neural cells within the islets in the normal and diseased pancreas were unrelated to the islet size. Their delectability was due to the increase in their size but not numbers. Although islets were of similar size in Region A and Region B, more neural elements were detectable in Region A than in Region B. These neural elements were also larger than those in the normal pancreas (Figure 3). As reported earlier [6], cancer cells in humans and hamsters were also immunoreactive with beta-TA.
Cultured Human Islets
Initially, as in the normal islets, beta-tubulin was expressed in both alpha- and beta-cells. As in our pervious study [8], a few days after the culture, the number of these cells decreased gradually while the number of undifferentiated and duct-like elements expressing cytokeratin 19 increased. However, the beta-TA-reactive cells did not follow the same trend as the endocrine cells. At each culture day the number of cells expressing beta-tubulin was larger than that of the endocrine cells. Although the degenerating endocrine cells lost the beta-tubulin expression, many cells devoid of islet hormones were stained with the beta-TA. A faint staining with this antibody was also seen in some cells forming ductular structures (Figure 2). At day 16, the central core of the islets was depleted from the cells while cells immunoreactive with antibodies to islet hormone and beta-III tubulin occupied the islet periphery. At days 16 and 19 the cells populating the islet periphery were predominantly of the beta-III tubulin type with a few alpha- and beta-cells in between. The remaining part of the islet was either necrotic or contained cells immunoreactive with anti- cytokeratin 19 (Figure 2).
A few short delicate fibers immunoreactive with beta-TA were noticed only on day 4. Otherwise, neural cells, similar to those seen in native islets, were not found on any other days.
DISCUSSION
The expression of some neural markers in islet cells [1, 2] is considered a reflection of a relationship between endocrine and neural cells. The association between islet cells and neural elements, the so-called “neuro-insular complex”, has been known for centuries [13, 14, 15, 16, 17, 18, 19]. The intimate connection of cholinergic, adrenergic and sensory nerves to individual islet cells has been well documented in several species [13, 14, 15, 16, 19]. Based on these studies, it appears that the function of islet cells is also under control by vegetative and sensory nerves, which are linked to certain nuclei in the brain and spinal cord [17].
Our results are in agreement with previous findings on the presence of neural cells and neural fibers in pancreatic islets. The reactivity of beta-TA was compatible with the patterns demonstrated by electron microscopy, immunocytochemistry [15, 16, 19, 20], cholinesterase, tyrosine hydrolase and acetylcholinesterase histochemistry, and anti-calcitonin gene-related peptide-like and anti-neuropeptide Y antibody immunoreactivity, including the presence of varicose nerves [13, 15, 16, 20].
The reactivity of beta-TA with islet cells differed significantly from other neural markers in that beta-III tubulin was demonstrated in both insular and neural cells. However, the immunoreactivity of the antibody in these different cell types varied in intensity and distribution. While the reactive material was fine granular cytoplasmic with a moderate or weak intensity in islet cells, in neural cells and fibers it was homogenous and intensely darker. The difference could be related to the site of immunoreactivity (membrane or cytoplasmic) or the concentration of the protein. The latter possibility was suggested by a weaker immunoreactivity of the islet cells but not of neural cells when used at a lower beta-TA concentration. In fact, for the demonstration of neural elements in islets, a higher dilution (1:100) was used when neural cells were stained with a strong intensity while the staining of the islet cells was weak.
The present findings provide new information on the neuro-insular interaction in the normal and diseased pancreas. In chronic pancreatitis and pancreatic cancer, where the number of beta-cells are generally decreased and alpha-cells are increased [10, 11, 21, 22], the immunoreactivity of islet cells with beta-TA was reduced. Also, significantly more neural elements were identifiable than in the normal islets. However, this apparent increase was certainly relative and due to an increase in their size making them easier to identify. The wide variation in the number of identifiable neural cells in the islets is an expected phenomenon. Due to the different location of the neural cells in the three-dimensional plane of the spherical islets, only a few neural elements are visible in every tissue section. Their enlargement, along with the reduced number of islets cells in both chronic pancreatitis and pancreatic cancer [10, 11, 21, 22], provided more space to make them more visible. Hence, the apparent increase of the neural elements in chronic pancreatitis and pancreatic cancer was relative. In pancreatic cancer specimen the presence of neural cells was not restricted to the islets surrounded by cancer cells (Region A) but was also seen in islets in the tumor-free pancreatic tissue around the cancer (Region B).
An increase in the number of neural cells with sprouting and varicosities within the islets has been reported in transgenic mice over-expressing nerve growth factor in beta-cells [23]. Shorr and Bloom [24] were the first to demonstrate neural hyperactivity and swollen nerve endings in alloxan-diabetic rats. The authors speculated that the neural hyperactivity in these animals is an attempt to stimulate the secretion of insulin from the post-alloxan-depleted beta-cells. This could be the likely reason for our observation, as in both chronic pancreatitis and pancreatic cancer the number of beta-cells is reduced [10, 11, 21, 22]. According to published data, while parasympathetic cholinergic nerves run to the beta-cell core and vagal stimulation promotes insulin release, adrenergic nerves are found primarily at the mantle, with sympathetic stimulation causing glucagon release and inhibiting insulin release [25]. Since, in our material, neural cells were primarily found within the islet and less frequently at the mantel, it can be assumed that the enlargement primarily affects the cholinergic nerves in response to the reduced number or depletion of insulin. On the other hand, the increased glucagon cells in these islets could be due to the hyperactivity of the adrenergic nerves. If this is the case, then a complex interaction exists between cholinergic and adrenergic nerves innervating the islets.
The swelling of the nerves could be in response to inflammation and fibrosis surrounding the islets. Similar alterations in the islets in the tissue free from tumor and fibrosis argue with this assumption as does the possible paracrine effect of some diabetogenic substances released from cancer cells [26]. Whether the alteration of intra- and peri-insular nerves is restricted to the local areas or affects the central nuclei linked to these nerves [17], is questionable at this time. Hypothetically, damage to the central nuclei in pancreatic cancer and chronic pancreatitis patients could lead to the alteration of all islets and explain the frequent occurrence of altered glucose metabolism or diabetes in these patients. Unfortunately, we did not have the tumor-free pancreatic tissue remote from the cancer in our surgical material for comparison. Also, we had no information on the glucose metabolism of the patients.
In this context, another noteworthy observation was that in five pancreatic cancer specimens the described alterations in islet and neural cells were minimal or absent. This could reflect the known differences in islet cell alterations and glucose metabolism in pancreatic cancer patients [27].
The function of beta-III tubulin in islet cells is unknown. It may serve as a microtubule for the movement and secretion of hormone granules. The decreased immunoreactivity of islet cells with both the beta-TA and insulin suggest that nerves also regulate the expression of beta-III tubulin in islet cells directly or indirectly. Findings in cultured islets support this possibility, as in the de-nerved (cultured) islets the expression of beta-III tubulin was independent of the presence of insulin or glucagon. The lack of beta-III tubulin in pancreatic polypeptide-secreting (PP) cells, on the other hand, indicates that either beta-III tubulin has no role in hormone secretion or this function is cell specific. The strict arrangement of beta-III tubulin-expressing cells in the periphery of cultured islets, where the exposure to culture medium is maximal, suggests that local factors, perhaps the presence of insulin in culture medium, determine the expression of beta-III tubulin in islet cells.
The examination of the beta-tubulin expression in the de-nerved islet was a logical way to assess the influence of the nervous system on the function of islet cells. Contrary to the in vivo condition, there was no correlation between the number of alpha-cells, beta-cells and beta-tubulin-expressing cells in cultured islets. At each day of the culture, the number of beta-TA reactive cells was larger than that of the endocrine cells. As in our previous studies, the trans-differentiated islet cells expressed the ductal cell marker cytokeratin 19 but not islet hormones. Since some of the cells forming the ductular structures expressed beta-III tubulin, it is possible that the beta-tubulin-expressing cells present intermediary cells between the endocrine and exocrine cells.
From the results of this study we conclude that the swelling of insular nerves in the islets with the reduced number of insulin cells is a sign of hyperactivity for the stimulation of insulin release. The reduced immunoreactivity of the islet cells with both anti-insulin and beta-TA could be an indication of the co-expression and co-release of insulin and beta-III tubulin controlled by insular nerves. Whether or not the alteration of peri- and intra-insular nerves damages the central nuclei, as has been documented experimentally [17], is unclear. Hypothetically, the occurrence of altered glucose tolerance in most pancreatic cancer and chronic pancreatitis patients could be due to the alteration of the central nuclei in response to the beta-cell damaging effects of inflammatory and malignant diseases of the pancreas.
Received February 22nd, 2011 - Accepted May 30th, 2011
Key words beta III-tubulin protein, human; Insulin-Secreting Cells; Islets of Langerhans; Pancreatic Neoplasms; Pancreatitis, Chronic; Tissue Donors
Abbreviations TA: tubulin antibody; PP: pancreatic polypeptide-secreting
Acknowledgement This study was supported by grants from the National Cancer Institute’s SPORE Grant P50CA72712, the National Cancer Institute Laboratory Cancer Research Center Support Grant CA367127, and the American Cancer Society Special Institutional Grant
Conflict of interest The authors have no potential conflict of interest
Correspondence
Parviz
M Pour
986805 Nebraska Medical Center
University
of Nebraska Medical Center
Omaha, NE 68198-6805
USA
Phone: +1-402.559.4495
Fax: +1-402.559.4651
E-mail: ppour@unmc.edu
References
1. Tezel E, Nagasaka T, Nomoto S, Sugimoto H, Nakao A. Neuroendocrine-like differentiation in patients with pancreatic carcinoma. Cancer 2000; 89:2230-6.
2. Schneider MB, Standop J, Ulrich A, Wittel U, Friess H, Andren-Sandberg A, Pour PM. Expression of nerve growth factors in pancreatic neural tissue and pancreatic cancer. J Histochem Cytochem 2001; 49:1205-10.
3. Koizumi H, Morita M, Mikami S, Shibayama E, Uchikoshi T. Immunohistochemical analysis of trka neurotrophin receptor expression in human non-neuronal carcinomas. Pathol Int 1998; 48:93-101.
4. Shibayama E, Koizumi H. Cellular localization of the trk neurotrophin receptor family in human non-neuronal tissues. Am J Pathol 1996; 148:1807-18.
5. Dustin P. Microtubules. Sci Am 1980; 243:66-76.
6. Standop J, Itami I, Saruc M, Yalniz M, Pour PM. 6th Conference of European Hepato-Pancreati-Biliary Association. Heidelberg, Germany, 2005.
7. Schmied BM, Ulrich A, Matsuzaki H, Ding X, Ricordi C, Moyer MP, et al. Maintenance of human islets in long-term culture. Differentiation 2000; 66:173-80.
8. Schmied BM, Ulrich A, Matsuzaki H, Ding X, Ricordi C, Weide L, et al. Transdifferentiation of human islet cells in a long-term culture. Pancreas 2001; 23:157-71.
9. Pour PM, Kazakoff K, Dulany K. A new technique for simultaneous demonstration of 4 tumor-associated antigens in pancreatic cancer cells. Zentralbl Pathol 1994; 140:397-401.
10. Schmied BM, Ulrich AB, Matsuzaki H, Li C, Friess H, Bochler MW, et al. Alteration of the langerhans islets in pancreatic cancer patients. Int J Pancreatol 2000; 28:187-97.
11. Pour PM, Schmied BM, Ulrich AB, Friess H, Andren-Sandberg A, Buchler MW. Abnormal differentiation of islet cells in pancreatic cancer. Pancreatology 2001; 1:110-6.
12. Schmied BM, Ulrich AB, Friess H, Buchler MW, Pour PM. The patterns of extrainsular endocrine cells in pancreatic cancer. Teratog Carcinog Mutagen 2001; 21:69-81.
13. Ushiki T, Watanabe S. Distribution and ultrastructure of the autonomic nerves in the mouse pancreas. Microsc Res Tech 1997; 37:399-406.
14. Watari N. Fine structure of nervous elements in the pancreas of some vertebrates. Z Zellforsch Mikrosk Anat 1968; 85:291-314.
15. Sternini C, Brecha N. Immunocytochemical identification of islet cells and nerve fibers containing calcitonin gene-related peptide-like immunoreactivity in the rat pancreas. Gastroenterology 1986; 90:1155-63.
16. Oomori Y, Iuchi H, Ishikawa K, Satoh Y, Ono K. Immunocytochemical study of tyrosine hydroxylase and dopamine beta-hydroxylase immunoreactivities in the rat pancreas. Histochemistry 1994; 101:313-23.
17. Luiten PG, ter Horst GJ, Koopmans SJ, Rietberg M, Steffens AB. Preganglionic innervation of the pancreas islet cells in the rat. J Auton Nerv Syst 1984; 10:27-42.
18. Honjin R. The innervation of the pancreas of the mouse, with special reference to the structure of the peripheral extension of the vegetative nervous system. J Comp Neurol 1956; 104:331-71.
19. Esterhuizen AC, Spriggs TL, Lever JD. Nature of islet-cell innervation in the cat pancreas. Diabetes 1968; 17:33-6.
20. Persson-Sjogren S, Forsgren S, Kjorell U, Taljedal IB. Intrinsic and extrinsic npy nerves in transplanted neuroinsular complexes. Peptides 1998; 19:1233-40.
21. Ulrich AB, Standop J, Schmied BM, Schneider MB, Lawson TA, Pour PM. Expression of drug-metabolizing enzymes in the pancreas of hamster, mouse, and rat, responding differently to the pancreatic carcinogenicity of bop. Pancreatology 2002; 2:519-27.
22. Ulrich AB, Schmied BM, Standop J, Schneider MB, Lawson TA, Friess H, et al. Differences in the expression of glutathione s-transferases in normal pancreas, chronic pancreatitis, secondary chronic pancreatitis, and pancreatic cancer. Pancreas 2002; 24:291-7.
23. Edwards RH, Rutter WJ, Hanahan D. Directed expression of ngf to pancreatic beta cells in transgenic mice leads to selective hyperinnervation of the islets. Cell 1989; 58:161-70.
24. Shorr SS, Bloom FE. Fine structure of islet-cell innervation in the pancreas of normal and alloxan-treated rats. Z Zellforsch Mikrosk Anat 1970; 103:12-25.
25. Bishop APJ. The anatomy, organization and ultrastructure of the islets of Langerhans. Oxford, UK: Blackwell Science. pp. 6.1, 1997.
26. Permert J, Larsson J, Westermark GT, Herrington MK, Christmanson L, Pour PM, et al. Islet amyloid polypeptide in patients with pancreatic cancer and diabetes. N Engl J Med 1994; 330:313-8.
27. Saruc M, Pour PM. Diabetes and its relationship to pancreatic carcinoma. Pancreas 2003; 26:381-7.