CASE REPORT
JOP. J Pancreas (Online) 2011 Jul 8; 12(4):407-409.
Autoimmune Neutropenia Associated with Autoimmune Pancreatitis
Shuzo Sato1, Atushi Irisawa2, Ai Sato1, Goro Shibukawa1, Rei Suzuki1, Tadayuki Takagi1, Tsunehiko Ikeda1, Masaki Sato1, Takuto Hikichi3, Katsutoshi Obara3, Hiromasa Ohira1
1Division of Medicine and 2Preparatory Office for Aizu Medical Center, Department of Gastroenterology and Rheumatology; 3Department of Endoscopy; Fukushima Medical University School of Medicine. Fukushima, Japan
ABSTRACT
Context We report a rare case of autoimmune neutropenia associated with autoimmune pancreatitis. Case report A 61-year-old man was referred to our hospital with slight epigastralgia. He had been admitted to another hospital with exacerbation of diabetes and jaundice. Blood tests showed low white blood cell and neutrophil counts (1,800 µL-1 and 3%, respectively), and elevated transaminase, biliary enzyme, amylase and lipase levels. Serum IgG and IgG4 levels were elevated to 2,693 mg/dL and 454 mg/dL, respectively. Abdominal CT showed diffuse pancreatic swelling, and MRCP revealed diffuse narrowing of the main pancreatic duct and dilation of the common bile duct. An additional EUS-FNA was performed in our hospital. Laboratory data, imaging and histopathological findings confirmed the diagnosis of autoimmune pancreatitis. However, the low white blood cell count continued. For additional investigation, a bone marrow examination was performed, indicating a granulocyte maturation disorder. Moreover, anti-neutrophil antibodies were positive. Therefore, a diagnosis of autoimmune neutropenia associated with autoimmune pancreatitis was made. After steroid therapy, the anti-neutrophil antibodies disappeared and the white blood cell count was within the reference limit. No recurrence of disease has been observed since then. Conclusion Autoimmune neutropenia, which is positive for anti-neutrophil antibodies, can be associated with autoimmune pancreatitis.
INTRODUCTION
Autoimmune pancreatitis is considered a distinct type of pancreatitis with an autoimmune pathogenesis [1]. Patients with autoimmune pancreatitis often develop extrapancreatic lesions such as biliary lesions, sialadenitis, retroperitoneal fibrosis, swelling of lymph nodes, chronic thyroiditis, and interstitial nephritis, suggesting that autoimmune pancreatitis may be a systemic disease (IgG4-related sclerosing disease) [2]. Moreover, several cases of immune thrombocytopenia complicated with autoimmune pancreatitis have been described [3, 4]. The pathogenesis of thrombocytopenia associated with autoimmune pancreatitis is still unclear; however, autoimmune processes are suggested. On the other hand, cases of autoimmune neutropenia complicated by autoimmune pancreatitis have not yet been reported. We herein report a very rare case of autoimmune neutropenia associated with autoimmune pancreatitis which was positive for anti-neutrophil antibodies.
CASE REPORT
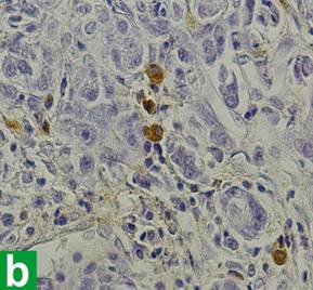
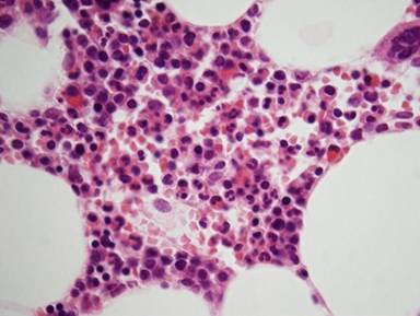
A 61-year-old man was referred to our hospital with slight epigastralgia in February 2008. Diabetes mellitus had been diagnosed in 2007. His white blood cell count was within the normal limit in August 2007. In January 2008, he had been admitted to another hospital with exacerbation of the diabetes and jaundice. Blood testing showed low white blood cell and neutrophil counts: 1,800 µL-1 (reference range: 3,800-9,800 µL-1) with 0% bands (reference range: 0-19%), 3% segmented (reference range: 27-72%), 7% atypical lymphocytes (reference value: 0%), 41% lymphocytes (reference range: 20-50%), 43% monocytes (reference range: 1-14%), 5% eosinophils (reference range: 0-6%) and 1% basophiles (reference range: 0-1%). Elevated transaminase, biliary enzyme, amylase, and lipase levels were also detected. The red blood cell and platelet counts were within the reference limits. Serum immunoglobulin G (IgG) and IgG4 levels were elevated to 2,693 mg/dL (reference range: 870-1,170 mg/dL) and 454 mg/dL (reference range: 4-108 mg/dL), respectively. The titer of ANA was 1:320 (reference range: less than 1:160). Negative results were obtained for anti-SS-A and SS-B antibodies, and anti-DNA antibodies. Abdominal CT showed diffuse pancreatic swelling, and MRCP revealed diffuse narrowing of the main pancreatic duct and dilation of the common bile duct due to lower bile duct stenosis. Gallium scintigraphy showed accumulation in the pancreas and extrapancreatic regions, such as the bilateral submaxillary glands and pulmonary hilar lymph nodes. These laboratory and imaging findings indicated autoimmune pancreatitis. To reach a definite diagnosis, EUS-FNA was performed in our hospital (Figure 1a). The specimens obtained showed fibrosis of the pancreatic parenchyma with slight lymphocyte infiltration. In addition, infiltration of IgG4-positive plasma cells was identified (Figure 1b). Laboratory data, imaging and histopathological findings confirmed the diagnosis of autoimmune pancreatitis. However, as blood cell counts showed granulocytopenia, additional bone marrow examinations were performed. A bone marrow clot specimen showed no abnormal cells or differentiation of the blood cells (Figure 2) although segmented granulocytes were hardly seen in the bone marrow smear specimen, indicating a granulocyte maturation disorder. Moreover, serum anti-neutrophil antibodies were positive. As anti-neutrophil antibodies are usually seen in autoimmune neutropenia, a diagnosis of autoimmune neutropenia associated with autoimmune pancreatitis was finally made. After steroid administration (prednisolone, 30 mg/day), all symptoms and abnormal laboratory data improved (Figure 3). Anti-neutrophil antibodies became negative after 3 months of steroid administration. No recurrence of disease has since been observed with oral administration of prednisolone at 7.5 mg/day.


|
Figure 1. a. EUS-FNA was performed. b. Immunohistochemical examination revealed infiltration of IgG4-positive plasma cells in the pancreatic tissue with fibrotic changes. |

|
Figure 2. Hematoxylin and eosin-stained bone marrow clot showing no abnormal findings (slightly hypo-normocellular bone marrow). The nucleated bone marrow cell count was 6.2x104 µL-1 and the megakaryocyte count was 20 µL-1, respectively (x400). |

|
Figure 3. Clinical course. |
DISCUSSION
To date, many extrapancreatic lesions including immune thrombocytopenia have been reported in patients with autoimmune pancreatitis although concurrent development of immune neutropenia and autoimmune pancreatitis seems extremely rare. Neutropenia can be classified into congenital and acquired forms, with the latter subdivided into primary or secondary according to the pathogenesis: drug-induced, post-infectious, autoimmune, chronic idiopathic, hypersplenism, complement activation, nutritional deficiency and diseases affecting the bone marrow [5]. The criteria for autoimmune neutropenia diagnosis are as follows: a decrease in the circulating absolute neutrophil count to less than 1,500 µL-1 caused by serum anti-neutrophil antibodies [6]. Primary autoimmune neutropenia is most frequent in newborns, and is usually diagnosed during the first few months. Secondary autoimmune neutropenia is usually seen in systemic autoimmune disorders, infectious diseases, solid or hematological neoplasms, neurological diseases, post-transplantation, and with use of certain drugs [5]. The present case is considered to represent secondary autoimmune neutropenia accompanied by autoimmune pancreatitis because anti-neutrophil antibodies diminished after steroid therapy with the improvement of autoimmune pancreatitis symptoms. Systemic autoimmune reactions in autoimmune pancreatitis may induce the production of various autoantibodies, including anti-neutrophil antibodies. The mechanisms of neutrophil destruction is unclear; however, anti-neutrophil antibodies can reportedly bind to the surface of granulocytes, followed by phagocytosis of sensitized granulocytes by macrophages, and finally resulting in the peripheral depletion of neutrophils [7, 8]. Unfortunately, we failed to find unequivocal evidence of neutrophil destruction in the bone marrow clot specimen. Additional investigation is needed to clarify the cause of this phenomenon. In conclusion, autoimmune pancreatitis can be accompanied by autoimmune neutropenia; therefore, anti-neutrophil antibodies should be examined when a low neutrophil count is detected in patients with autoimmune pancreatitis. Steroid therapy is effective for both pathogeneses.
Received April 15th, 2011 - Accepted May 13th, 2011
Key words Autoimmune Diseases; Immunoglobulin G; Neutropenia; Pancreatitis
Conflict of interest The authors have no potential conflict of interest
Correspondence
Shuzo
Sato
Division
of Medicine
Department
of Gastroenterology and Rheumatology
Fukushima
Medical University School of Medicine
Fukushima
960-1295
Japan
Phone: +81-24.547.1202
Fax: +81-24.547.2955
E-mail: shuzo@fmu.ac.jp
References
1. Shimosegawa T, Kanno A. Autoimmune pancreatitis in Japan: overview and perspective. J Gastroenterol 2009;44:503-17. [PMID 19377842]
2. Kamisawa T, Okamoto A. Autoimmune pancreatitis: proposal of IgG4-related sclerosing disease. J Gastroenterol 2006;613-25. [PMID 16932997]
3. Murase K, Katsunaga T, Hayashi T, Ishiwatari H, Araki N, Iyama S, et al. Successful treatment of autoimmune pancreatitis complicated with autoimmune thrombocytopenia and interstitial pneumonia by prednisolone. Intern Med 2008;47:1033-8. [PMID 18520116]
4. Miyatani H, Yoshida Y, Ikeda M, Sagihara N. Improvement of thrombocytopenia in a patient with autoimmune pancreatitis after Helicobacter pylori eradication. Intern Med 2008;47:321-2. [PMID 18277039]
5. Caposoni F, Sarzi-Puttini P, Zanella A. Primary and secondary autoimmune neutropenia. Arthritis Res Ther 2005;7:208-14. [PMID 16207350]
6. Bux J, Kissel K, Nowak K, Spengel U, Mueller-Eckhardt C. Autoimmune neutropenia: clinical and laboratory studies in 143 patients. Ann Hematol 1991;63:249-52. [PMID 1958748]
7. Shimizu H, Sawada K, Katano N, Sasaki K, Kawai S, Fujimoto T. Intramedullary neutrophil phagocytosis by histiocytes in autoimmune neutropenia of infancy. Acta Haematol 1990;84:201-3. [PMID 2125787]
8. Shastri KA, Logue GL. Autoimmune neutropenia. Blood 1993;81:1984-95. [PMID 8471760]