CASE REPORT
JOP. J Pancreas (Online) 2011 Jul 8; 12(4):410-412.
Delayed Pancreatic Fistula After Pancreaticoduodenectomy. A Case Report
Yasuhiro Ito, Tomoyuki Irino, Tomohisa Egawa, Shinobu Hayashi, Atsushi Nagashima
Department of Surgery, Saiseikai Yokohamashi Tobu Hospital. Kanagawa, Japan
ABSTRACT
Context Pancreatic fistulas still occur despite refinements in both surgical technique and perioperative management after a pancreaticoduodenectomy. However, the occurrence of delayed pancreatic fistulas is very rare. Case report A 62-year-old woman diagnosed with a lower biliary carcinoma had undergone a pylorus-preserving pancreaticoduodenectomy. The postoperative course was uneventful and the patient was discharged from the hospital after 16 days. One year after surgery, she was admitted to our hospital with a fluid collection around the pancreaticojejunal anastomosis. A catheter was inserted percutaneously and the fluid collection was drained. The amylase value of the discharge was significantly elevated (119,500 IU/L). One week later, a fistulography showed no significant collection and the tube was clamped. The patient was discharged from the hospital without symptoms. Conclusions It is important to consider the occurrence of a delayed pancreatic fistula if the patient suffers from any symptoms. It is then necessary to proceed rapidly.
INTRODUCTION
Pancreaticoduodenectomy is performed in many hospitals. The morbidity and mortality rates of a pancreaticoduodenectomy have decreased in recent years. A pancreatic fistula still occurs in 5 to 40% of patients despite refinements in surgical technique and perioperative management [1, 2, 3, 4]. Most fistulas occur in the perioperative period. Delayed pancreatic fistulas after a pancreaticoduodenectomy are very rare. We report a case of a delayed pancreatic fistula after a pancreaticoduodenectomy.
CASE REPORT
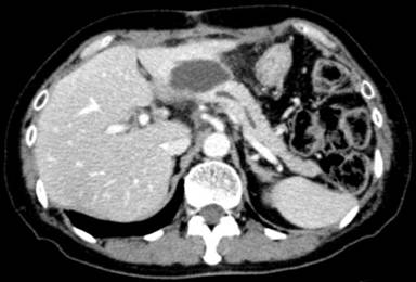
A 62-year-old woman with abdominal pain was found to have a lower biliary carcinoma. A pylorus-preserving pancreaticoduodenectomy (using the Traverso technique) with a lymph node dissection was performed. Pancreaticojejunal anastomosis was performed in an end-to-side fashion. The pancreatic duct and the jejunal mucosa were fixed. The stump of the pancreas and the jejunal wall were approximated with interrupted sutures, which were inserted through the anterior wall of the pancreas through the pancreatic parenchyma to the posterior wall. Sutures were then passed through the seromuscular layer of the jejunum, in the posterior-to-anterior direction, wide enough to cover the cut surface of the pancreas. A catheter with multiple side-holes was inserted into the pancreatic duct and sutured into place as an external stent. The stent tube was guided externally through the stump of the jejunal loop and fixed to the abdominal wall. Histological and immunohistochemical studies resulted in the diagnosis of a biliary carcinoma with lymph node metastases. The postoperative course was uneventful and the patient was discharged from the hospital 16 days postoperatively. The external stent of the pancreatic duct was removed on the 28th postoperative day. After removal, there was no output of fluid from the drain. After discharge, the patient was followed up with computed tomography (CT), ultrasonography (US), and laboratory examinations every 3 months in the outpatient ward. No notable findings were obtained (Figure 1). One year after surgery, she was admitted to our hospital for abdominal pain. All laboratory parameters, including the serum levels of tumor markers, were normal. Abdominal CT and US revealed a fluid collection around the pancreaticojejunal anastomosis (Figure 2). The size of the fluid collection was 45x33x20 mm. US-guided drainage of the fluid collection was performed. A catheter was inserted percutaneously and the fluid collection was drained. Discharge showed a gram-negative rod in the culture, and the amylase value of the discharge was significantly elevated (119,500 IU/L). Contrast radiography of the drainage tube showed no significant collection (Figure 3) and the tube was clamped. The patient was discharged from the hospital without symptoms. We evaluated the pancreatic fistula by CT and US. There was no fluid collection around the pancreaticojejunostomy.

|
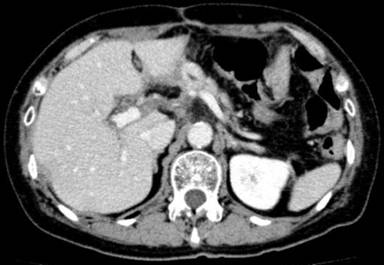
Figure 1. Abdominal CT scan showing no remarkable findings. |

|
Figure 2. Abdominal CT scan showing a fluid collection in front of the pancreaticojejunal anastomosis. |

|
Figure 3. Fistulography showing the disappearance of the fluid collection around the pancreaticojejunal anastomosis. We confirmed the presence of an internal fistula into the intestine. |
DISCUSSION
The rates of morbidity and mortality associated with pancreaticoduodenectomy procedures have decreased, especially in high volume centers [5, 6, 7]. Pancreatic anastomotic leakage is the most important complication after pancreaticoduodenectomy. Leakage sometimes causes the development of other abdominal complications, such as intra-abdominal bleeding, intra-abdominal abscess, sepsis and organ failure [8, 9], and is among the common causes of perioperative morbidity and mortality. Despite refinements in surgical technique and improved perioperative management of the safety and efficacy of pancreatic surgery, pancreatic fistulas remain an unsolved dilemma. Many reviews of the management of pancreatic fistulas evaluate preventive approaches, such as surgeon volume [10], stenting [2, 11, 12, 13, 14], and the period of drain insertion [15]. It remains controversial. Hence, considerable time has been devoted to preventing pancreatic fistulas.
Pancreatic fistulas generally occur during the perioperative period. There are case reports of a delayed pancreatic fistula after splenectomy [16, 17], but the occurrence of a delayed pancreatic fistula after a pancreaticoduodenectomy is very rare [18].
A pancreatic fistula is attributed to pancreatic juice leakage a a result of disruption of the pancreatic duct and the rupture of a pancreatic cyst which causes elevation of pancreatic pressure. After surgery, pancreatic leakage leads to an accumulation of pancreatic juice around the pancreaticojejunal anastomosis. In some cases, it can develop posteriorly because the pancreas covered the retroperitoneum. Pancreatic juice sometimes flows into the pleural cavity through the pancreaticopleural fistula, causing chronic pancreatitis, pancreatic injury and pancreatic cancer [19]. In the perioperative period, pancreatic leakage can easily spread into the abdominal cavity. But, it has rarely been reported that pancreaticopleural fistulas occur after pancreatic resection. This is likely because a pancreatic resection will form adhesions which prevent the pancreatic juice from leaking through the pancreaticojejunal anastomosis.
In our case, postoperative examinations in the follow-up period showed no recurrence and no metastasis after the pancreaticoduodenectomy. One year later, the patient suffered from abdominal pain and fluid collection in front of the pancreaticojejunal anastomosis, as detected by CT and US. Fortunately, the fluid collection flowed from the surface of the anastomosis. Percutaneous US-guided drainage was performed easily. One week later, a fistulography showed the disappearance of the fluid collection around the pancreaticojejunal anastomosis, and we confirmed the internal fistula into the intestine. Most pancreatic fistulas are managed non-operatively by conservative treatment. However, surgical treatment is sometimes required [20]. The exact reason for a delayed pancreatic fistula is unclear. But, it appears that a small initial amount of leakage is aggravated by infection. Barreto et al. [21] discussed the gray zone between a pancreatic fistula and post-operative collections. They suggested that the causes of a delayed pancreatic fistula were drains failing to drain due to blockage, displaced or misplaced drains, and vascular factors.
A delayed pancreatic fistula after a pancreaticoduodenectomy occurs rarely. Early detection and management is therefore difficult. It is important to consider the occurrence of a delayed pancreatic fistula if the patient suffers from fever, abdominal pain and elevation of serum amylase levels. In such a clinical situation, prompt action is required.
Received May 7th, 2011 - Accepted May 17th, 2011
Conflicts of interest The authors have no potential conflicts of interest
Correspondence
Yasuhiro Ito
Department of Surgery
Saiseikai Yokohamashi Tobu Hospital
3-61-1 shimosueyoshi, Tsurumi-ku
Yokohama-shi, Kanagawa 230-0012
Japan
Phone: +81-45.576.3000
Fax: +81-45.576.3586
E-mail: yasuito@ca3.so-net.ne.jp
References
1. Lowy AM, Lee JE, Pisters PW, Davidson BS, Fenoglio CJ, Stanford P, et al. Prospective randomized trial of Octreotide to prevent pancreatic fistula after pancreaticoduodenectomy for malignant disease. Ann Surg 1997; 226:632-41. [PMID 9389397]
2. Roder JD, Stein HJ, Böttcher KA, Busch R, Heidecke CD, Siewert JR. Stented versus nonstented pancreaticojejunostomy after pancreatoduodenectomy. A prospective study. Ann Surg 1999; 229:41-8. [PMID 9923798]
3. Cameron JL, Pitt HA, Yeo CJ, Lillemoe KD, Kaufman HS, Coleman J. One hundred and forty-five consecutive pancreaticoduodenectomies without mortality. Ann Surg 1993; 217:430-8. [PMID 8098202]
4. Montorsi M, Zago M, Mosca F, Capussotti L, Zotti E, Ribotta G, et al. Efficacy of octreotide in the prevention of pancreatic fistula after elective pancreatic resection. A prospective, controlled, randomized clinical trial. Surgery 1995; 117:26-31. [PMID 7809832]
5. Gordon TA, Burleyson GP, Tielsch JM, Cameron JL. The effects of regionalization on cost and outcome for one general high-risk surgical procedure. Ann Surg 1995; 221:43-9. [PMID 7826160]
6. Sosa JA, Bowman HM, Gordon TA, Bass EB, Yeo CJ, Lillemoe KD, et al. Importance of hospital volume in the overall management of pancreatic cancer. Ann Surg 1998; 228:429-38. [PMID 9742926]
7. Lieberman MD, Kilburn H, Lindsey M, Brennan MF. Relation of perioperative deaths to hospital volume among patients undergoing pancreatic resection for management. Ann Surg 1995; 222:638-45. [PMID 7487211]
8. van Berge Henegouwen MI, De Wit LT, Van Gulik TM, Obertop H, Gouma DJ. Incidence, risk factors, and treatment of pancreatic leakage after pancreaticoduodenectomy: drainage versus resection of the pancreatic remnant. J Am Coll Surg 1997; 185:18-24. [PMID 9208956]
9. Gouma DJ, van Geenen RC, van Gulik TM, de Haan RJ, de Wit LT, Busch OR, Obertop H. Rates of complications and death after pancreaticoduodenectomy: risk factors and the impact of hospital volume. Ann Surg 2000; 232:786-95. [PMID 11088073]
10. Eppsteiner RW, Csikesz NG, McPhee JT, Tseng JF, Shah SA. Surgeon volume impacts hospital mortality for pancreatic resection. Ann Surg 2009; 249:635-40. [PMID 19300225]
11. Winter JM, Cameron JL, Campbell KA, Chang DC, Riall TS, Schulick RD, et al. Does pancreatic duct stenting decrease the rate of pancreatic fistula following pancreaticoduodenectomy? Results of a prospective randomized trial. J Gastrointest Surg 2006; 10:1280-90. [PMID 17114014]
12. Poon RT, Fan ST, Lo CM, Ng KK, Yuen WK, Yeung C, Wong J. External drainage of pancreatic duct with a stent to reduce leakage rate of pancreaticojejunostomy after pancreaticoduodenectomy: a prospective randomized trial. Ann Surg 2007; 246:425-33. [PMID 17717446]
13. Tani M, Kawai M, Hirono S, Ina S, Miyazawa M, Shimizu A, Yamaue H. A prospective randomized controlled trial of internal versus external drainage with pancreaticojejunostomy for pancreaticoduodenectomy. Am J Surg 2010; 199:759-64. [PMID 20074698]
14. Smyrniotis V, Arkadopoulos N, Kyriazi MA, Derpapas M, Theodosopoulos T, Gennatas C, et al. Does internal stenting of the pancreaticojejunostomy improve outcomes after pancreatoduodenectomy? A prospective study. Langenbecks Arch Surg 2010; 395:195-200. [PMID 20082094]
15. Kawai M, Tani M, Terasawa H, Ina S, Hirono S, Nishioka R, et al. Early removal of prophylactic drains reduces the risk of intra-abdominal infections in patients with pancreatic head resection: prospective study for 104 consecutive patients. Ann Surg 2006; 244:1-7. [PMID 16794381]
16. Jin SG, Chen ZY, Yan LN, Zeng Y. Delayed internal pancreatic fistula with pancreatic pleural effusion postsplenectomy. World J Gastroenterol 2010; 16:4494-6. [PMID 20845520]
17. Yagmurdur MC, Gür G, Aytekin C, Karakayali H, Boyacioglu S, Bilgin N. Atypical presentation of chronic pancreatic fistula: a case successfully managed with long-acting somatostatin. Turk J Gastroenterol 2003; 14:200-3. [PMID 14655067]
18. Casadei R, Bassi F, Calculli L, Zanini N, Greco VM, Minni F. Report of three cases of chronic pancreatic fistulas treated with prolamine as a sclerosing substance following pancreatic resection. JOP. J Pancreas (Online) 2006; 7:41-6. [PMID 16407617]
19. Oh YS, Edmundowicz SA, Jonnalagadda SS, Azar RR. Pancreaticopleural fistula: report of two cases and review of the literature. Dig Dis Sci 2006; 51:1-6. [PMID 16416200]
20. Alexakis N, Sutton R, Neoptolemos JP. Surgical treatment of pancreatic fistula. Dig Surg 2004; 21:262-74. [PMID 15308865]
21. Barreto G, D'Souza MA, Shukla PJ, Shrikhande SV. The gray zone between postpancreaticoduodenectomy collections and pancreatic fistula. Pancreas 2008;37:422-5. [PMID 18953256]