CASE REPORT
JOP. J Pancreas (Online) 2011 May 6; 12(3):234-240.
Potential Use of Left Renal Vein Graft in Pancreaticoduodenectomy Combined with Long Segmental Resection of the Superior Mesenteric-Splenic-Portal Vein Confluence
Sung Hoon Choi1,2,3, Ho Kyoung Hwang1,2,3, Chang Moo Kang1,2,3, Woo Jung Lee1,2
1Division of Biliopancreas, Department of Surgery, Yonsei University College of Medicine; 2Pancreatobiliary Cancer Clinic, Institute of Gastroenterology, Yonsei University Health System; 3Young Yonsei Pancreatic Tumor Study Group. Seoul, Korea
ABSTRACT
Context Various techniques for reconstruction after superior mesenteric-splenic-portal vein confluence resection during pancreaticoduodenectomy have been introduced. A certain kind of vascular grafting may be necessary especially when long segmental resection of superior mesenteric-splenic-portal vein confluence is required. Case report we herein report the cases of two patients who underwent left renal vein grafting in a pancreaticoduodenectomy with combined resection of the long segment of the superior mesenteric-splenic-portal vein confluence for pancreatic head cancer following neoadjuvant concurrent chemoradiation therapy as well as their long-term outcomes with graft patency without deterioration of renal function. Conclusion Our experience with these two cases indicates that an autologous interposition graft using the left renal vein may be considered a safe and convenient conduit in the case of long segmental resection of the superior mesenteric-splenic-portal vein confluence during a pancreaticoduodenectomy following preoperative neoadjuvant chemoradiation therapy.
INTRODUCTION
A curative pancreaticoduodenectomy with negative margins offers the only latent cure for pancreatic head cancer. The oncologic outcome of a resection with positive margins is known to be as poor as in locally advanced pancreatic adenocarcinoma without surgical extirpation [1, 2, 3]. Pancreatic cancer invasion to the superior mesenteric-splenic-portal vein confluence is frequently encountered during a pancreaticoduodenectomy due to their close anatomical relationship. However, superior mesenteric-splenic-portal vein involvement in pancreatic cancer is no longer considered a contraindication to resection, thanks to recent advances in surgical techniques as well as perioperative management, and growing evidence demonstrates a better survival rate for en bloc removal with superior mesenteric-splenic-portal vein resection for isolated involvement of pancreatic cancer [3, 4, 5, 6]. Several studies have demonstrated that venous resection during a pancreaticoduodenectomy is technically acceptable with no increase in perioperative morbidity [3, 6, 7, 8].
After segmental resection of the superior mesenteric-splenic-portal vein system, a reconstruction method is decided upon according to the type and extent of the vascular resection, including primary end-to-end anastomosis, patch venoplasty and interposition grafting. In general, the majority of patients who undergo venous resection of the superior mesenteric-splenic-portal vein confluence can restore portal vein flow via primary end-to-end anastomosis by mobilization of the mesentery. However, portal vein end-to-end anastomosis is often impossible not only because of longer segment of portal vein resection but also due to immobilization of the mesentery or superior mesenteric vein vessels. Inflammation extension to the mesentery by acute or chronic pancreatitis or fibrotic changes around the superior mesenteric-portal vein vessels induced by preoperative neoadjuvant concurrent chemoradiation therapy can be potential factors in sufficiently immobilizing the mesentery and the superior mesenteric vein, leading to difficulty with primary end-to-end anastomosis. In these cases, it is incumbent that the surgeon do the grafting portal vein reconstruction. In such cases, a left renal vein graft should be chosen for portal vein reconstruction because the graft is more easily available and safer to use than other grafts [9, 10, 11, 12].
In this article, we report our experience with autologous vein interposition grafting using left renal vein. Follow-up imaging studies attest to the excellent outcome without deterioration of renal function and with maintenance of the graft patency.
CASE REPORTS
Case #1
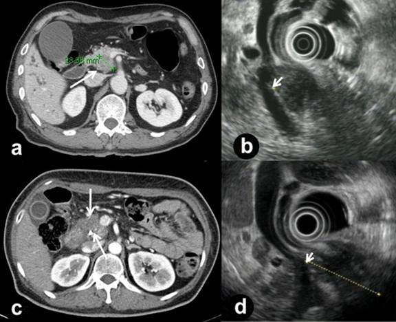
A 68-year-old man presented with epigastric and back pain of 1 month duration. His preoperative CT (Figure 1a) and PET scans revealed a 3.5 cm pancreatic head cancer with suspicious invasion into the portal vein without distant metastasis, and an endoscopic ultrasonography (EUS) showed the portal vein involvement of the tumor in detail (Figure 1b). The serum CEA level was 1.55 ng/mL (reference range: 0-5.00 ng/mL) and the CA 19-9 level was 757 U/mL (reference range: 0-37 U/mL). EUS-guided fine-needle biopsy confirmed an adenocarcinoma of the pancreas. He received neoadjuvant concurrent chemoradiation therapy according to our institutional policy for advanced pancreatic cancer. A partial response was identified on a follow-up study after the concurrent chemoradiation therapy, but vascular involvement was still suspected. We decided to perform a pancreaticoduodenectomy with a possible segmental resection of the superior mesenteric-splenic-portal vein confluence, and left renal vein interposition grafting.

|
Figure 1. Preoperative imaging studies. a. CT of Case #1 showing pancreatic head cancer (arrow) with suspicious invasion to the portal vein. b. EUS of Case #1 revealing the tumor abutting on the portal vein (arrow). c. CT of Case #2 demonstrating pancreatic head cancer (arrows) invading the superior mesenteric-splenic-portal vein confluence. d. EUS of Case #2 clearly demonstrating the tumor abutting on the superior mesenteric-splenic-portal vein confluence (arrow). |
Tumor involvement on the lateral border of the superior mesenteric-splenic-portal vein confluence was identified during the operation. It could have been direct tumor invasion or adhesions from the concurrent chemoradiation therapy, but it appeared to be impossible to isolate the vessels from the abutting area. In such circumstances, the access plane to the retroperitoneal margin should be changed from the lateral aspect to the medial (left lateral) aspect of the superior mesenteric-splenic-portal vein confluence. This dissection plane allowed for easy detachment of the uncinate process from the superior mesenteric artery. Division of the splenic vein completely freed the specimen except for the abutted segment of the superior mesenteric-splenic-portal vein confluence (Figure 2a), and the length of the vein to be resected was then measured. We usually prefer primary end-to-end anastomosis as long as it can be carried out without a graft. A long segment of the vein, however, had to be resected and we expected potential tension at the anastomosis site in this case. Therefore, we continued to harvest the left renal vein as previously planned. The left renal vein was easily exposed with further extension of the previously performed Kocher maneuver and a 3.0 cm long segment of the left renal vein was grafted just proximal to the left adrenal and gonadal veins after clamping (Figure 2b). The remaining stumps were repaired with a running 5-0 prolene suture. Proximal and distal vascular control was then achieved with Satinsky clamps, and a segment of the superior mesenteric-splenic-portal vein confluence was removed en bloc with the specimen (Figure 2c). The resected segment of the superior mesenteric-splenic-portal vein confluence was reconstructed using the left renal vein graft, and no tension was observed (Figure 2d). The clamping time of the portal flow required about 25 minutes to complete vascular reconstruction. We systemically heparinized before vascular clamping, and neutralized with protamine sulfate immediate after the removal of the vascular clamping. After venous reconstruction, the gastrointestinal reconstructions were completed. We routinely use low molecular weight heparin (Clexane®, Sanofi-Aventis, Paris, France) after a pancreaticoduodenectomy to prevent postoperative thromboembolism; it is administered via subcutaneous injection for four days starting at postoperative day three. No anticoagulant therapy with warfarin or aspirin was administered postoperatively for vascular resection.

|
Figure 2. Operative findings of Case #1. a. Division of the splenic vein completely freed the specimen except for the abutting segment of the superior mesenteric-splenic-portal vein confluence. Arrows indicate the resected splenic vein. b. A segment of the left renal vein was grafted. c. A segment of the superior mesenteric-splenic-portal vein confluence was removed en bloc with the specimen and was reconstructed using a left renal vein graft. d. No tension was observed after reconstruction. LRV: left renal vein; P: pancreas; PV: portal vein; SMA: superior mesenteric artery; SMV: superior mesenteric vein; SV: splenic vein; VC: vena cava |
The pathologic report confirmed a ductal adenocarcinoma of the pancreas and complete R0 resection. He had delayed gastric emptying during the postoperative period, but this was resolved with conservative management. A follow-up CT demonstrated a patent graft (Figure 3a), good collateral flow and a well-perfused left kidney (Figure 3b). Postoperative follow-up serum creatinine levels were maintained within the normal range (varing between 0.60 and 1.16 mg/dL; reference range: 0-50-1.40 mg/dL) (Figure 3c). Renal function preservation was verified by the development of collaterals on follow-up CT. He was revealed to have multiple liver metastasis 19 months after the operation, and died after 21 months.

|
Figure 3. Follow-up of Cases #1 and #2. a. CT of Case #1 demonstrating a patent portal flow (arrow). b. CT of Case #1 showing development of collaterals (arrow) and a well-perfused left kidney. c. Postoperative follow-up serum creatinine levels of Case #1 were maintained within the normal range. d. CT of Case #2 showing a patent portal flow (arrow). e. CT of Case #2 revealing well-developed collaterals (arrow) and good perfusion of the left kidney. f. The postoperative follow-up serum creatinine levels of Case #2 were maintained within the normal range. Cr: creatinine; BUN: blood urea nitrogen; LRV: left renal vein; POD#1mon: 1-month postoperative; POD#1yr: 1-year postoperative; PreOP: preoperative |
Case #2
A 48-year-old woman was admitted with weight loss of one month duration and jaundice of five days duration. Her preoperative CT also demonstrated pancreatic head cancer invading the superior mesenteric-splenic-portal vein confluence (Figure 1c), and mild uptake was identified on a PET scan. EUS clearly showed the 4.0 cm pancreatic head cancer abutting on the superior mesenteric-splenic-portal vein confluence (Figure 1d). The serum CEA level was 3.40 ng/mL and the CA 19-9 level was 660 U/mL. Adenocarcinoma of the pancreas was confirmed by EUS-guided fine-needle biopsy. Neoadjuvant concurrent chemoradiation therapy for advanced pancreatic cancer was carried out, and stable disease was identified on follow-up studies after concurrent chemoradiation therapy.
Vascular involvement of the pancreatic head cancer was still suspected; therefore, she also underwent a pancreaticoduodenectomy combined with a segmental resection of the superior mesenteric-splenic-portal vein confluence and left renal vein interposition grafting using almost the same technique as in Case #1 (Figure 4). The length of the left renal vein graft was 3.5 cm and the portal flow clamping time was 20 minutes. Clexane® was also administered for four days without warfarin or heparin.

|
Figure 4. Operative findings of Case #2. a. Division of the splenic vein completely freed the specimen except for the abutting segment of the superior mesenteric-splenic-portal vein confluence. Arrows indicate the resected splenic vein. b. A segment of the left renal vein was grafted. c. A segment of the superior mesenteric-splenic-portal vein confluence was removed en bloc with the specimen. d. No tension was observed after reconstruction. LRV: left renal vein; P: pancreas; PV: portal vein; SMA: superior mesenteric artery; SMV: superior mesenteric vein; SV: splenic vein; VC: vena cava. |
The histopathological examination of the en bloc specimen disclosed a ductal adenocarcinoma of the pancreas and an R0 resection. She was discharged on the 16th operative day after an uneventful recovery. A follow-up CT scan one month postoperatively also showed a patent graft (Figure 3d), good collateral flow and a well-perfused left kidney (Figure 3e). Postoperative follow-up serum creatinine levels were maintained within the normal range (between 0.33 and 0.86 mg/dL) (Figure 3f). She showed no evidence of recurrence at her last follow-up (23 months postoperatively).
DISCUSSION
Isolated superior mesenteric-splenic-portal vein confluence involvement by malignancy is no longer regarded as a contraindication for resection of pancreatic head cancer, even though some argue that the prognosis depends on the depth of invasion [13]. Isolated venous involvement of the tumor is distinct from invasion of the circumferential (left lateral) wall of the superior mesenteric-splenic-portal vein confluence or the superior mesenteric artery, which demonstrates frequent involvement of the mesenteric neural plexus and makes it impossible to achieve a tumor free margin [3, 13, 14]. Therefore, surgical strategy for isolated venous involvement is thought to have potential oncologic benefits [15].
Options for a venous conduit for reconstruction after superior mesenteric-splenic-portal vein confluence resection include prosthetic, autologous or cryopreserved cadaveric vein grafts. Despite its ready availability and valid size match, the use of a prosthetic graft such as polytetrafluoroethylene (PTFE) is not indicated due to the potential risk of infection and thrombosis [16]. The portal vein has medium velocity but a high volume flow. Therefore, some reports have demonstrated that the use of PTFE interposition grafts did not increase the risk of thrombosis [17]. However, Smoot et al. [18] reported a higher percentage of thrombosis in PTFE grafts, and they changed to the left renal vein as the preferred conduit. As for selecting potential autologous grafts for the superior mesenteric-splenic-portal, the internal jugular, femoral, great saphenous, gonadal, common iliac, external iliac and splenic veins are all candidates [8, 11, 12, 16, 19]. However, the great saphenous and gonadal veins have a size disparity which requires some modification to be applied as a portal vein graft. Therefore, these veins cannot be used in the same way as the internal jugular vein and the others listed above. Furthermore, harvesting these autologous veins requires creating an additional wound and is associated with other postoperative complications, such as lymphedema and venous thrombosis. From this point of view, the left renal vein has several advantages, such as suitable length, comparable caliber to superior mesenteric-splenic-portal vein confluence, easy accessibility during pancreaticoduodenectomy and the fact that it is a safe procedure [9, 10, 11, 12, 20]. Furthermore, all routes for central venous access can be maintained when using the left renal vein, which is especially important in patients who have undergone a major operation such as a pancreaticoduodenectomy. Left renal vein grafting is also justified because the left renal vein has various collateral branches, such as the inferior phrenic and adrenal tributaries, the gonadal vein, renal-azygos communication, and splenorenal communication; therefore, there is no deterioration of renal function after harvesting the left renal vein [10, 12, 20, 21]. The follow-up CT in our cases clearly showed that the development of collaterals enabled the preservation of the renal function. The segment of the left renal vein can be extended onto the portion just distal to the renal-azygos branch to preserve the gonadal and renal-azygos venous drainage essential for preservation of the renal function [9, 22]. This usually provides a segment of about 3-4 cm in length of renal vein graft [10, 11]. Harvesting of the graft and resection of the involved segment of the superior mesenteric-splenic-portal vein confluence should follow the completion of the dissection of the retroperitoneal margin so as to properly assess the need for interposition grafting and minimize the clamping time of the portal flow. In our cases, left renal vein resection did not increase the serum creatinine level during long-term follow-up, and the graft patency and well-maintained collateral flow was confirmed by follow-up radiologic images. The patients’ survival outcome was acceptable.
In conclusion, our preliminary experience with these two patients indicates that autologous interposition grafting using the left renal vein can be considered as a safe and convenient conduit for segmental resection of the superior mesenteric-splenic-portal vein confluence during pancreaticoduodenectomy following preoperative neoadjuvant concurrent chemoradiation therapy in pancreatic cancer initially designated as being non-resectable.
Received January 7th, 2011 - Accepted February 11th, 2011
Key words Neoadjuvant Therapy; Pancreatic Neoplasms; Pancreaticoduodenectomy; Renal Veins; Transplants
Disclosure The authors have no conflicts of interest or financial ties to disclose
Correspondence
Chang Moo Kang
Department of Surgery
Yonsei University College of Medicine
Ludlow Faculty Research Building #204
250 Seongsanno, Seodaemun-gu
Seoul, 120-752
South Korea
Phone: +82-2.2228.2135
Fax: +82-2.313.8289
E-mail: cmkang@yuhs.ac
References
1. Yeo CJ, Cameron JL, Lillemoe KD, Sitzmann JV, Hruban RH, Goodman SN, et al. Pancreaticoduodenectomy for cancer of the head of the pancreas. 201 patients. Ann Surg 1995; 221:721-31. [PMID 7794076]
2. Willett CG, Lewandrowski K, Warshaw AL, Efird J, Compton CC. Resection margins in carcinoma of the head of the pancreas. Implications for radiation therapy. Ann Surg 1993; 217:144-8. [PMID 8094952]
3. Fuhrman GM, Leach SD, Staley CA, Cusack JC, Charnsangavej C, Cleary KR, et al. Rationale for en bloc vein resection in the treatment of pancreatic adenocarcinoma adherent to the superior mesenteric-portal vein confluence. Pancreatic Tumor Study Group. Ann Surg 1996; 223:154-62. [PMID 8597509]
4. Nakagohri T, Kinoshita T, Konishi M, Inoue K, Takahashi S. Survival benefits of portal vein resection for pancreatic cancer. Am J Surg 2003; 186:149-53. [PMID 12885608]
5. Fukuda S, Oussoultzoglou E, Bachellier P, Rosso E, Nakano H, Audet M, Jaeck D. Significance of the depth of portal vein wall invasion after curative resection for pancreatic adenocarcinoma. Arch Surg 2007; 142:172-9. [PMID 17309969]
6. Tseng JF, Raut CP, Lee JE, Pisters PW, Vauthey JN, Abdalla EK, et al. Pancreaticoduodenectomy with vascular resection: margin status and survival duration. J Gastrointest Surg 2004; 8:935-49. [PMID 15585381]
7. Bachellier P, Nakano H, Oussoultzoglou PD, Weber JC, Boudjema K, Wolf PD, Jaeck D. Is pancreaticoduodenectomy with mesentericoportal venous resection safe and worthwhile? Am J Surg 2001; 182:120-9. [PMID 11574081]
8. Lee DY, Mitchell EL, Jones MA, Landry GJ, Liem TK, Sheppard BC, et al. Techniques and results of portal vein/superior mesenteric vein reconstruction using femoral and saphenous vein during pancreaticoduodenectomy. J Vasc Surg 2010; 51:662-6. [PMID 20080375]
9. Miyazaki M, Itoh H, Kaiho T, Ambiru S, Togawa A, Sasada K, et al. Portal vein reconstruction at the hepatic hilus using a left renal vein graft. J Am Coll Surg 1995; 180:497-8. [PMID 7719560]
10. Ohwada S, Hamada K, Kawate S, Sunose Y, Tomizawa N, Yamada T, et al. Left renal vein graft for vascular reconstruction in abdominal malignancy. World J Surg 2007; 31:1215-20. [PMID 17453283]
11. Smoot RL, Christein JD, Farnell MB. An innovative option for venous reconstruction after pancreaticoduodenectomy: the left renal vein. J Gastrointest Surg 2007; 11:425-31. [PMID 17436125]
12. Suzuki T, Yoshidome H, Kimura F, Shimizu H, Ohtsuka M, Kato A, et al. Renal function is well maintained after use of left renal vein graft for vascular reconstruction in hepatobiliary-pancreatic surgery. J Am Coll Surg 2006; 202:87-92. [PMID 16377501]
13. Nakao A, Harada A, Nonami T, Kaneko T, Inoue S, Takagi H. Clinical significance of portal invasion by pancreatic head carcinoma. Surgery 1995; 117:50-5. [PMID 7809836]
14. Nagakawa T, Mori K, Nakano T, Kadoya M, Kobayashi H, Akiyama T, et al. Perineural invasion of carcinoma of the pancreas and biliary tract. Br J Surg 1993; 80:619-21. [PMID 8518906]
15. Cusack JC Jr, Fuhrman GM, Lee JE, Evans DB. Managing unsuspected tumor invasion of the superior mesenteric-portal venous confluence during pancreaticoduodenectomy. Am J Surg 1994; 168:352-4. [PMID 7943594]
16. Leon LR Jr, Hughes JD, Psalms SB, Guerra R, Biswas A, Prasad A, Krouse RS. Portomesenteric reconstruction during Whipple procedures: review and report of a case. Vasc Endovascular Surg 2007; 41:537-46. [PMID 18166637]
17. Stauffer JA, Dougherty MK, Kim GP, Nguyen JH. Interposition graft with polytetrafluoroethylene for mesenteric and portal vein reconstruction after pancreaticoduodenectomy. Br J Surg 2009; 96:247-52. [PMID 19224515]
18. Smoot RL, Christein JD, Farnell MB. Durability of portal venous reconstruction following resection during pancreaticoduodenectomy. J Gastrointest Surg 2006; 10:1371-5. [PMID 17175456]
19. Chae YS, Choi JS, Kim KS, Seong JS, Lee WJ, Kim BR. Preoperative chemoradiation and pancreaticoduodenectomy with portal vein resection for localized advanced pancreatic cancer. Yonsei Med J 2003; 44:551-6. [PMID 12833599]
20. Choudry H, Avella D, Garcia L, Han D, Staveley-O'Carroll K, Kimchi E. Use of the left renal vein as a practical conduit in superior mesenteric vein reconstruction. J Surg Res 2008; 146:117-20. [PMID 18028958]
21. McCombs PR, DeLaurentis DA. Division of the left renal vein. Guidelines and consequences. Am J Surg 1979; 138:257-63. [PMID 464227]
22. Ohwada S, Takeyoshi I, Ogawa T, Ohya T, Saitoh A, Kawashima K, et al. Hepatic vein reconstruction at inferior vena cava confluence using left renal vein graft. Hepatogastroenterology 1998; 45:1833-6. [PMID 9840158]