CASE REPORT
JOP. J Pancreas (Online) 2011 May 6; 12(3):241-243.
Heterotopic Pancreatic Neoplasm Presenting as an Obstructing Mass at the Fourth Portion of the Duodenum
Cameron Stock, Xavier M Keutgen, David Pisapia, Carl Crawford, Rasa Zarnegar
Division of Minimally Invasive and Endocrine Surgery, Department of Surgery, New York Presbyterian Hospital, Weill Cornell Medical Center. New York, NY, USA
ABSTRACT
Context Heterotopic pancreatic adenocarcinoma is a rare finding at laparotomy. Herein we present the case of a patient with malignant transformation of a heterotopic pancreas located in the fourth portion of the duodenum. Case report A 79-year-old woman was admitted to the surgery service with complaints of early satiety and abdominal fullness progressively worsening over the previous two years. A computed tomography scan of the abdomen and an upper endoscopy revealed an obstructing mass in the fourth portion of the duodenum, biopsies were negative for carcinoma. A segmentectomy of the third and fourth portions of the duodenum was performed. Post-operative histology revealed malignant transformation of a heterotopic pancreas. The patient had an unremarkable postoperative recovery and was discharged home. Conclusion In evaluation of patients with distal duodenal masses, we report that heterotopic pancreatic neoplasms should be considered in the differential diagnosis.
INTRODUCTION
Heterotopic pancreas has been noted to occur throughout the gastrointestinal tract. Most commonly heterotopic pancreas occurs in the stomach (25-62%) followed by the duodenum (25-35%), and jejunum (16%) [1, 2, 3]. All complications associated with the pancreas can occur in heterotopic pancreatic tissue including pancreatitis and cyst formation. Malignant degeneration of the heterotopic pancreatic tissue occurs rarely. To date, only 14 cases have been reported in the literature of heterotopic pancreatic adenocarcinoma localized to the duodenum, with all lesions described as being localized to either the first or second portion [3, 4]. Herein we present a case of heterotopic pancreatic adenocarcinoma localized to the fourth portion of the duodenum causing symptoms of gastric outlet obstruction.
CASE REPORT
A 79-year-old woman presented to our institution with complaints of abdominal fullness, early satiety, and intermittent left upper quadrant pain for the past two years. Her past medical history was significant for bladder cancer with endoluminal resection, an infrarenal aortic aneurysm, hypertension and asthma. She did not have a history of smoking or significant alcohol consumption. Family and social history were non-contributory. Physical exam was significant for a soft, distended abdomen, tender to palpation in the left upper quadrant. The rest of the physical exam was unremarkable.
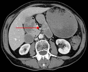
Initial laboratory tests were all within normal limits. She initially underwent a computed tomography (CT) scan of the abdomen that showed a duodenal obstruction at the ligament of Treitz (Figure 1). The patient then underwent an upper endoscopy that demonstrated a hemi-circumferential erythematous non-obstructing mass in the duodenum (Figure 2). Biopsies were taken that showed active enteritis and features of ischemia but no evidence of malignancy. Further blood testing was remarkable for a normal urine 5-hydroxyindoleacetic acid (5-HIAA) level and a slightly elevated chromogranin-A level 53 ng/mL (reference range: 0-50 ng/mL).
The patient was then taken to the operating room for an exploratory laparotomy. On exposure a mass was noted to be within the duodenal lumen, separate from the pancreas, but adherent to the superior mesenteric artery fat pad. A duodenotomy was performed and the mass was found not to involve the sphincter of Oddi. The mass was removed by resecting the third and fourth portions of the duodenum and proximal jejunum. Intestinal continuity was restored with a lateral side-to-side duodenojejunostomy.

|
Figure 1. CT scan of the abdomen and pelvis. Note the dilated stomach with retained food particles. Arrow points to the duodenal mass. |

|
Figure 2. Image of the mass from upper endoscopy. |
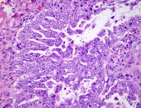
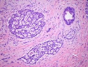
Pathological review was consistent with a heterotopic pancreatic adenocarcinoma, 3.0x2.5x2.0 cm in dimension and was noted to penetrate through the serosa into the mesenteric fat with four regional lymph nodes positive for metastasis (Figure 3). After staining with hematoxylin and eosin the heterotopic pancreatic tissue was noted to have islet cells consistent with a Heinrich Class I heterotopic pancreas (Figures 4 and 5).

|
Figure 3. Gross examination reveals a mass at the fourth portion of the duodenum. |

|
Figure 4. Histologic examination of specimen showing ductal structures and adenocarcinoma (H&E staining; magnification 40x). |

|
Figure 5. Histologic findings on pathologic examination demonstrates the presence of pancreatic islets (H&E staining; magnification 10x). |
The patient recovered without incident and was discharged home in stable condition. The patient was referred to medical oncology for adjuvant chemotherapy.
DISCUSSION
Heterotopic pancreas was first identified by Shultz in 1727, however, histological confirmation of this anomaly was not made until 1859 with a report by Klob [4, 5]. In 1909, Heinrich subsequently classified heterotopic pancreatic tissue into three types [6]. Class I is defined by the presence of typical pancreatic tissue with acini, ducts, and islet cells present in similar arrangement to normal pancreas. Class II contains large numbers of acini, few ducts, and no islets. Class III is characterized by the presence of numerous ducts, few acini, and no islets. Our patient had pathologic findings consistent with a Heinrich Class I heterotopic pancreas.
Heterotopic pancreas is a rare finding at laparotomy [7]. Patients with heterotopic pancreas most often present with vague symptoms of abdominal pain or signs of gastric outlet obstruction [8]. Preoperative diagnosis of heterotopic pancreatic malignancy is difficult, and is most often made on final pathology. In patients presenting with clinical symptoms of upper gastrointestinal obstruction, CT and/or barium swallow are useful in defining the presence of a mass. However, based on appearance alone, CT and ultrasonographic findings are non-specific for the detection of malignant degeneration in heterotopic pancreatic tissue [9]. Upper endoscopy can reliably identify heterotopic pancreatic tissue, which commonly appears as a broad based submucosal mass containing a central umbilication [10]. However, upper endoscopy often fails to diagnose heterotopic pancreatic malignancy, as the heterotopic pancreatic tissue is often localized deep to the duodenal mucosa, and therefore proves difficult to biopsy using standard biopsy forceps. Studies have shown that only 40-50% of patients with heterotopic pancreatic adenocarcinoma have cytological evidence of malignancy on pre-operative endoscopic biopsy [4]. Previous reports have noted that patients with mucosal ulceration present on endoscopy are more likely to have positive cytology [8]. While our patient had signs of mucosal inflammation on pre-operative endoscopy, no ulceration was present and the biopsies taken were negative for malignancy. Based on these limitations, some authors have advocated the use of endoscopic ultrasound in guiding FNA biopsy for cytologic diagnosis if suspicion is high for heterotopic pancreas [4]. Currently it is unclear if serum markers such as CA 19-9 and CEA should play a role in the work-up for suspected heterotopic pancreatic adenocarcinoma. Most studies typically show that these markers are not to be elevated. However, they may be useful to distinguish gastric carcinoma from heterotopic pancreatic carcinoma when the histologic characteristics of a resected gastric mass make it difficult to determine the cell type of origin [2].
Tumors of the third and fourth portion of the duodenum are extremely rare [11, 12]. The most common tumors of the small intestine are adenocarcinomas and carcinoids, which rarely involve the distal duodenum. Masses involving the second portion of the duodenum require a pancreaticoduodenectomy due either to involvement of the sphincter of Oddi or to shared blood supply between the pancreas and the duodenum.
Though there is no current consensus, a previous report showed that for patients with duodenal adenocarcinoma localized to the distal duodenum who undergo a segmentectomy, similar rates of local recurrence, disease free survival, and overall mortality were achieved when compared with those patients who underwent a pancreaticoduodenectomy [13]. Furthermore, in that study that looked at 25 patients undergoing duodenal resection for masses in the third or fourth portions of the duodenum, the 16 patients who had a segmentectomy had decreased morbidity compared to those who underwent a pancreaticoduodenectomy. Due to the rarity of heterotopic pancreatic adenocarcinoma occurring in the distal duodenum the optimal surgical procedure remains to be defined.
In summary we present the case of a patient with a malignant transformation of a heterotopic pancreas in the fourth portion of the duodenum. Preoperative endoscopic work-up failed to reveal the presence of malignant pancreatic cells. However, the patient was experiencing symptoms of gastric outlet obstruction and therefore underwent a distal duodenal segmentectomy. The optimal management of tumors of the distal duodenum is currently controversial, although segmentectomy with adequate anatomic reconstruction seems to yield good oncologic results. This procedure is also associated with lower rates of post-operative morbidity and may therefore be better tolerated by elderly patients with various comorbidities.
Received January 27th, 2011 - Accepted February 16th, 2011
Key words Adenocarcinoma; Duodenum; Pancreas
Disclosure The authors declare no conflict of interest and/or relationships with people or businesses that could influence or bias the outcome of this paper
Correspondence
Rasa
Zarnegar
Division
of Minimally Invasive and Endocrine Surgery
Department of Surgery
New York Presbyterian Hospital
Weill Cornell Medical Center
525 E. 68th Street
New York, NY 10065
USA
Phone: +1-212.746.5187
Fax:
+1-212.746.9948
E-mail: raz2002@med.cornell.edu
References
1. Makhlouf HR, Almeida JL, Sobin LH. Carcinoma in jejunal pancreatic heterotopia. Arch Pathol Lab Med 1999; 123:707-11. [PMID 10420228]
2. Papaziogas B, Koutelidakis I, Tsiaousis P, Panagiotopoulou K, Paraskevas G, Argiriadou H, et al. Carcinoma developing in ectopic pancreatic tissue in the stomach: a case report. Cases J 2008; 1:249. [PMID 18928565]
3. Inoue Y, Hayashi M, Arisaka Y, Higuchi K, Egashira Y, Tanigawa N. Adenocarcinoma arising in a heterotopic pancreas (Heinrich type III): a case report. J Med Case Reports 2010; 4:39. [PMID 20205891]
4. Bini R, Voghera P, Tapparo A, Nunziata R, Demarchi A, Capocefalo M, Leli R. Malignant transformation of ectopic pancreatic cells in the duodenal wall. World J Gastroenterol 2010; 16:1293-5. [PMID 20222176]
5. Klob J. Pancreas accessorium. Zeitschrift der Kaiserl. Königl. Gesellschaft der Aerzte zu Wien 1859; 15:732.
6. Von Heinrich H. Ein beitrag zur histologie des sogenanten akzessorichen pankreas. Virchows Arch Path Anat 1909; 198:392-401.
7. De Castro Barbosa JJ, Dockerty MB, Waugh JM. Pancreatic heterotopia: review of the literature and report of 41 authenticated surgical cases, of which 25 were clinically significant. Surg Gynecol Obstet 1946; 82:527-42. [PMID 21024692]
8. Matsuki M, Gouda Y, Ando T, Matsuoka H, Morita T, Uchida N, Kuriyama S. Adenocarcinoma arising from aberrant pancreas in the stomach. J Gastroenterol 2005; 40:652-6. [PMID 16007401]
9. Kung JW, Brown A, Kruskal JB, Goldsmith JD, Pedrosa I. Heterotopic pancreas: typical and atypical imaging findings. Clin Radiol 2010; 65:403-7. [PMID 20380941]
10. Thoeni RF, Gedgandas RK. Ectopic pancreas: usual and unusual features. Gastrointest Radiol 1980; 5:37-42. [PMID 6965644]
11. Gore RM. Small bowel cancer. Clinical and pathologic features. Radiol Clin North Am 1997; 35:351-60. [PMID 9087208]
12. Neugut AI, Marvin MR, Rella VA, Chabot JA. An overview of adenocarcinoma of the small intestine. Oncology (Williston Park) 1997; 11:529-36. [PMID 9130275]
13. Tocchi A, Mazzoni G, Puma F, Miccini M, Cassini D, Bettelli E, Tagliacozzo S. Adenocarcinoma of the third and fourth portions of the duodenum: results of surgical treatment. Arch Surg 2003; 138:80-5. [PMID 12511157]