CASE REPORT
JOP. J Pancreas (Online) 2011 May 6; 12(3):244-246.
An Unusual Case of a Coexistent Serous Cystadenoma and Intraductal Papillary Mucinous Neoplasm of Pancreas. EUS to the Rescue!
Prabhleen Chahal1, Assad J Saad2, Rohan D Jeyarajah2
1Digestive Disease Institute, Cleveland Clinic Foundation. Cleveland, OH, USA. 2Methodist Medical Center. Dallas, TX, USA
ABSTRACT
Context Synchronous cystic neoplasms of pancreas are a highly rare occurrence. Case report We report a very rare case of coexistent serous cystadenoma and multi-side branch intraductal papillary mucinous neoplasm (IPMN). Conclusion To our knowledge, there has been only one previous case report in the literature of a synchronous serous cystadenoma and a solitary IPMN lesion. This case report is intended to increase the awareness of this condition while alluding to the need for diligent examination by endosonographers. It also highlights the clinical impact of endosonography on the diagnosis and management of cystic legions in the pancreas.
INTRODUCTION
Cystic neoplasms of the pancreas have been well described and recognized pathologic entities. These include intraductal papillary mucinous neoplasms (IPMN), mucinous cystic neoplasm and other solid and cystic tumors of the pancreas which have malignant potential. On the other end of the spectrum of pancreatic cystic lesions are the serous cystadenoma which are generally regarded as benign without any malignant potential.
Serous cystadenomas generally are solitary cystic lesions. There has been rare reported association between the serous cystadenoma and pancreatic endocrine tumors, pancreatic ductal carcinoma, and other pancreatic disorders including chronic pancreatitis [1, 2, 3, 4, 5, 6, 7, 8, 9, 10, 11, 12, 13]. To our knowledge, only one previous case report of concurrent occurrence of serous cystadenoma and solitary IPMN lesion has been reported in the literature [14]. We report this very unusual case of coexistent serous cystadenoma and multi-side branch IPMN.
CASE REPORT
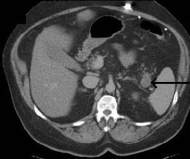
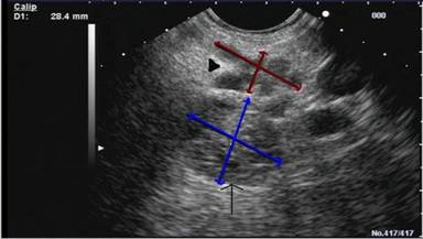
A 63-year-old white male presented with six-week history of intermittent, mild, right flank discomfort. His past medical and surgical history was unremarkable. He denied significant alcohol consumption. His physical examination apart from moderate obesity was unremarkable. A biphasic CT scan of abdomen performed for evaluation of pain revealed a 2 cm water density lesion located in the posterior pancreatic tail (Figure 1). His serum CA 19-9 and serum amylase levels were normal. He was referred to us for further evaluation of incidentally found pancreatic cystic lesion. He underwent endoscopic ultrasound (EUS) which revealed three cysts ranging in size from 4 mm to 10 mm in pancreas body (which were not identified on CT) and a multi-loculated cystic lesion measuring 2.1x1.4 cm (lesion #1)located in the pancreas tail (corroborating the CT findings). The main pancreatic duct caliber was normal. The sonographic features were suggestive of multi-side branch-IPMN (Figure 2, arrowhead). Immediately inferior to the largest multi-side branch-IPMN lesion and adjacent to the left kidney, a well-circumscribed, more solid-appearing lesion with anechoic (microcysts) intervening spaces was seen (lesion #2) (Figure 2, arrow). This lesion was not identified on his CT scan.
Lesion #2 measured 22 mm in the greatest diameter. Based on sonographic features of lesion #2; a differential diagnosis of likely serous cystadenoma versus other cystic solid lesions (neuroendocrine tumor) was rendered. An EUS guided fine needle aspiration (EUS-FNA) using a 22 G needle of lesion #1 yielded 3 mL of clear viscous fluid with an elevated CEA (203.7 ng/mL) and amylase (17,514 U/L) levels. EUS-FNA cytology was consistent with IPMN. The immediately inferior to the multi-side branch-IPMN location of the lesion #2 precluded safe and uncontaminated advancement of the FNA needle. A subsequent distal pancreatectomy and splenectomy confirmed synchronous microcystic serous cystadenoma and multi-side branch-IPMN (Figure 3). Patient remains asymptomatic at 18-month follow-up.

|
Figure 1. Axial CT image showing a mixed attenuation, well circumscribed lesion at the tip of pancreatic tail. |

|
Figure 2. Endosonographic image displaying coexistent IPMN (arrow-head) and microcystic serous cystadenoma (arrow). |

|
Figure 3. Histological slide demonstrating synchronous IPMN and serous cystadenoma. The arrow is on the IPMN and the arrowhead is on the serous (microcystic) adenoma. IPMN: tall columnar cells with basal nuclei and abundant mucinous cytoplasm lining a markedly dilated duct. Microcystic serous cystadenoma: multiple small cystic spaces lined by cells with round and central nuclei with clear cytoplasm. (H&E; original magnification: x25) |
DISCUSSION
There have been multiple case reports of association between serous cystadenoma and pancreatic neuroendocrine tumor [1, 2, 3, 4, 5, 6, 7, 8, 9, 10, 11]. Concurrent occurrence of serous cystadenoma and ductal adenocarcinoma, neuroendocrine carcinoma, gastric carcinoma, various underlying pancreatic conditions, has also been reported [12]. However, there has only been one previous case report of combined serous cystadenoma and IPMN [13]. Even though patients with IPMN frequently have been associated with extra-pancreatic and pancreatic tumors, serous association of cystadenoma with concomitant pancreatic neoplasm is a rare occurrence. Review of literature reveals that approximately 25-32% of patients with IPMN have associated extra-pancreatic tumors which include colorectal, gastric, lung, breast and cholangiocarcinoma [14]. Concomitant pancreatic tumors like pancreatic ductal adenocarcinoma and neuroendocrine tumors have also been reported to occur in approximately 10% of IPMN patients [15, 16]. However, synchronous presence of IPMN and serous cystadenoma is extremely rare. In almost all these previously reported cases the diagnosis of synchronous cystic and solid lesions in the pancreas was made on the basis of cross-section imaging. This could be explained as most of these reported cases diagnosed on cross-sectional imaging were comparatively larger in size. Our case is unique not only due to do rarity of this occurrence but also highlights the clinical impact of EUS and EUS-FNA in evaluation and management of cystic lesions of the pancreas as evident from the inability of biphasic pancreas protocol CT to ascertain the presence of multiple sub centimeter multi-side branch-IPMN lesions in body and tail of the pancreas and a synchronous microcystic serous cystadenoma which can falsely mimic as a solid lesion, and not uncommonly, can be missed on CT and even MR imaging. It is important to note that majority (up to 70%)of the serous cystadenoma are polycystic whereby they have multiple cysts measuring 2 cm in size or smaller and are separated by thin fibrous septa. Less common pattern include microcystic which is entirely made of small subcentimeter cysts, have a honeycomb pattern, are well circumscribed with soft-tissue or mixed attenuation on CT imaging and finally, least common is oligocystic pattern of serous cystadenoma which comprises of few large (more than 2 cm) cysts and can be confused with mucinous cystic lesions of pancreas. EUS played a critical part in this patient by correctly diagnosing the multi-side branch-IPMN lesions, their extent and a synchronous microcystic lesion. This directly impacted our patient’s clinical management. The endosonographers should be cognizant of possible concurrent occurrence of these cystic lesions in pancreas and this report behooves us to perform a diligent and thorough endosonographic examination.
Received February 3rd, 2011 - Accepted February 24th, 2011
Key words Cystadenoma, Serous; Neoplasms, Cystic, Mucinous, and Serous; Pancreatic Cyst
Conflicts of interest The authors have no potential conflicts of interest
Correspondence
Prabhleen
Chahal
Digestive Disease Institute
Cleveland Clinic Foundation
9500 Euclid avenue/A. 31
Cleveland, OH 44125
USA
Phone: +1-216.444.9261
Fax: +1-216.444.6284
E-mail: chahalp@ccf.org
References
1. Kim YW, Park YK, Lee S, Park JH, Lee SM, Hong SW, et al. Pancreatic endocrine tumor admixed with a diffuse microcystic adenoma. A case report. J Korean Med Sci 1997; 12:469-72. [PMID 9364309]
2. Blandamura S, Parenti A, Famengo B, Canesso A, Moschino P, Pasquali C, et al. Three cases of pancreatic serous cystadenoma and endocrine tumour. J Clin Pathol 2007; 60:278-82. [PMID 16644876]
3. Alasio TM, Vine A, Sanchez MA, Dardik H. Pancreatic endocrine tumor coexistent with serous microcystic adenoma: report of a case and review of the literature. Ann Diagn Pathol 2005; 9:234-8. [PMID 16084460]
4. Heresbach D, Robert I, Le Berre N, Raoul JL, Siproudhis L, Bretagne JF, et al. Cystic tumors and endocrine tumor of the pancreas. An unusual association. Gastroenterol Clin Biol 1993; 17:968-71. [PMID 8125232]
5. Hough DM, Stephens DH, Johnson CD, Binkovitz LA. Pancreatic lesions in von Hippel-Lindau disease: prevalence, clinical significance, and CT findings. AJR Am J Roentgenol 1994; 162:1091-4. [PMID 8165988]
6. Keel SB, Zukerberg L, Graeme-Cook F, Compton CC. A pancreatic endocrine tumor arising within a serous cystadenoma of the pancreas. Am J Surg Pathol 1996; 20:471-5. [PMID 8604814]
7. Ustün MO, Tuğyan N, Tunakan M. Coexistence of an endocrine tumour in a serous cystadenoma (microcystic adenoma) of the pancreas, an unusual association. J Clin Pathol 2000; 53; 800-2. [PMID 11064680]
8. Baek SY, Kang BC, Choi HY, Lee SW. Pancreatic serous cystadenoma associated with islet cell tumour. Br J Radiol 2000:73; 83-86. [PMID 10721327]
9. Slukvin II, Hafez GR, Niederhuber JE, Warner TF. Combined serous microcystic adenoma and well-differentiated endocrine pancreatic neoplasm: a case report and review of the literature. Arch Pathol Lab Med 2003; 127:1369-72. [PMID 14521452]
10. Goh BK, Tan YM, Kumarasinghe MP, Ooi LL. Synchronous serous cystadenoma and pancreatic endocrine tumor: a case report and literature review. Dig Dis Sci 2006; 51:422-6. [PMID 16534691]
11. Mohan H, Garg S, Punia RP, Dalal A. Combined serous cystadenoma and pancreatic endocrine neoplasm. A case report with a brief review of the literature. JOP. J Pancreas (Online) 2007; 8: 453-7. [PMID 17625299]
12. Agarwal N, Kumar S, Dass J, Arora VK, Rathi V. Diffuse pancreatic serous cystadenoma associated with neuroendocrine carcinoma: a case report and review of literature. JOP. J Pancreas (Online) 2009; 10:55-8. [PMID 19129617]
13. Goh BKP, Loh HL, Soo KC. Synchronous pancreatic serous cystic tumor, intraductal papillary mucinous tumor and gastric carcinoma: Report of a case. Pancreas 2005; 31:195-7. [PMID 16025009]
14. Sugiyama M, Atomi Y. Extrapancreatic neoplasms occur with unusual frequency in patients with intraductal papillary mucinous tumors of the pancreas. Am J Gastroenterol 1999; 94:470-3. [PMID 10022648]
15. Marrache F, Cazals-Hatem D, Kianmanesh R, Palazzo L, Couvelard A, O'Toole D, et al. Endocrine tumor and intraductal papillary mucinous neoplasm of the pancreas: a fortuitous association? Pancreas 2005; 31:79-83. [PMID 15968252]