CASE REPORT
JOP. J Pancreas (Online) 2011 May 6; 12(3):247-249.
The Role for Prudence Before Describing Novel Infectious Etiologies for Acute Pancreatitis. The Experience of One Institution Before Describing Influenza B Pancreatitis
Imran Sheikh1, Ayesha Kanwal1, Annette Kyprianou2
Departments of 1Medicine and 2Gastroenterology, Case Western Reserve University School of Medicine at MetroHealth Medical Center. Cleveland, OH, USA
ABSTRACT
Context While the majority of acute pancreatitis is secondary to alcohol and gallstones in the developed world, infectious causes are recognized and recent evidence has linked influenza A to acute pancreatitis. Case report We report a patient with acute pancreatitis deemed secondary to influenza B virus; however considering this would be the first reported case, retesting showed that the initial PCR was falsely positive and a system-wide contamination discovered that unearthed other false negatives. Conclusions While research must continue to describe novel infectious etiologies of acute pancreatitis, caution must be exercised before new associations are described. New tests are leading to increasing incidence and prevalence of disease and while such testing generally has high sensitivity and specificity, the role for false results still exists.
INTRODUCTION
Acute pancreatitis is an inflammatory response of the pancreas that can be induced by various conditions including chronic alcohol abuse, gallstones, smoking, hypertriglyceridemia, drugs, or tumors. Even though alcohol and gallstones account for almost 75% of cases of pancreatitis, in about 15-25% of patients the cause remains idiopathic [1, 2]. Some of these cases of idiopathic pancreatitis are now being linked to infectious agents; viral causes (coxsackie, cytomegalovirus, hepatitis B, herpes simplex, human immunodeficiency virus, mumps, varicella-zoster), bacterial causes (legionella, leptospira, mycoplasma and salmonella), as well as fungal and parasitic causes (ascaris, aspergillus, cryptosporidium and toxoplasma) [3, 4]. Recently, influenza A has been linked to acute pancreatitis [5]. We report such a case of acute pancreatitis deemed secondary to influenza B virus based on a polymerase chain reaction (PCR) test that was later found to be falsely positive.
CASE REPORT
A 22-year-old female with a medical history significant for hypothyroidism, depression and gastroesophageal reflux disease presented to our emergency department with a three day history of severe epigastric pain associated with nausea and vomiting that began after a meal shared with her family. Her pain was constant and stabbing in nature, radiating to her left upper abdominal quadrant but not her back. She complained of associated nausea and vomiting which had since resolved, and her symptoms were not shared with her family members. She noted recent fevers with a maximum temperature of 38.0 oC with chills and sweats the night prior and a headache on presentation. She was an occasional drinker and her last use of alcohol was over a week ago. She denied familial pancreatic pathology, a history of trauma, recent surgery, diarrhea or other abdominal symptoms but did complain of a sore throat without associated upper respiratory tract symptoms shortly after presentation. She had been taking levothyroxine, omeprazole and citalopram chronically and had an allergy to sulfa drugs.
Upon examination her blood pressure was 126/81 mmHg, heart rate 113 beats per minute, temperature 38.3 oC, respiratory rate 16 per minute, oxygen saturation 98% on room air. Her abdomen had normoactive bowel sounds and was soft with mild tenderness to palpation in the epigastrium without guarding, rebound or elicitation of Murphy’s sign. The remainder of her exam was normal as were baseline laboratory studies including a complete blood count, kidney and liver function, cholesterol panel and urine pregnancy test. Serum lipase was 280 IU/L (reference range: 0-128 IU/L), serum amylase was 58 IU/L (reference range: 30-150 IU/L). Serum IgG4 was 15 mg/dL (reference range: 11-112 mg/dL), an HIV test was declined, and a respiratory viral panel PCR was positive for influenza B.
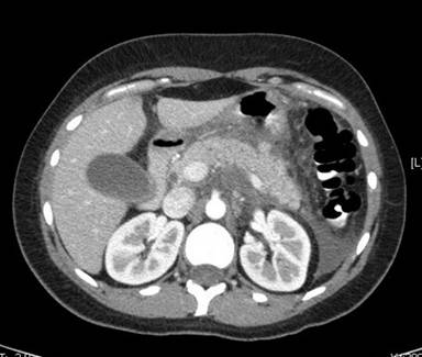
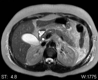
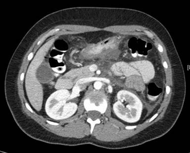
An ultrasound of the right upper quadrant was unremarkable, without evidence of cholelithiasis. Abdominal computed tomography (CT) scan revealed significant inflammatory changes including peripancreatic fluid and fat stranding that extended into the pericolic gutter as well as thickening of the posterior gastric wall, left perinephric stranding, and periportal edema with normal pancreatic anatomy. Magnetic resonance cholangiopancreatography (MRCP) performed two days after admission revealed similar peri-pancreatic inflammatory changes and normal pancreatic anatomy. There was no evidence of gallstone or sphincter dysfunction. The changes discussed above are represented in Figures 1, 2, and 3.

|
Figure 1. Extensive peripancreatic inflammatory changes and stranding is evident on the CT image shown here. Fluid is seen in the pericolic gutter and surrounding the liver. |

|
Figure 2. Previous CT changes seen in Figure 1 show T2 enhancement on MRCP. |

|
Figure 3. Normal junction of pancreatic duct and common bile duct is seen in this CT image. |
Our patient’s hospital course was complicated by fever (maximum temperature 38.7 oC), hypotension (blood pressure: 88/67 mmHg) and tachycardia (heart rate 121 beats per minute) but she responded well to fluids and oseltamivir. Her serum lipase trended down to 42 IU/L prior to discharge and she was able to tolerate a solid diet prior to discharge. At a 1-month follow-up she remained symptom free.
DISCUSSION
Acute pancreatitis is a common condition accounting for over 230,000 hospital admissions annually with an average hospital length of stay lasting 5.2 days in the United States [6]. It is clinically suspected in a patient presenting with two of the following three criteria: symptoms such as epigastric pain consistent with the disease; a serum amylase or lipase greater than three times the upper limit of normal; or radiologic imaging consistent with the diagnosis, usually using CT or MRI [7].
The etiological differential is exceedingly broad and in the developed world alcohol and gallstone disease account for over 75% of cases [1, 8]. Conversely, infectious agents are implicated in less than one percent of cases and etiologies have been linked to viral causes (coxsackie, cytomegalovirus, hepatitis B, herpes simplex, human immunodeficiency virus, mumps, varicella-zoster), bacterial causes (Legionella, Leptospira, Mycoplasma and Salmonella), as well as fungal and parasitic causes (ascaris, aspergillus, cryptosporidium and toxoplasma) [3, 4].
In an English-literature review of infectious causes of pancreatitis, Parenti et al. suggests a diagnostic criterion, using that criteria definite pancreatitis exists if radiological, surgical, or autopsy evidence is present and that an infectious etiology is likely if the characteristic syndrome caused by the infectious agent is present [3].
In our patient, the history, physical examination, laboratory and radiological studies preclude more common causes such as alcohol and gallstones as well as rarer etiologies like autoimmune pathology, familial disorders, hypercalcemia, hypertriglyceridemia, iatrogenesis, pancreas divisum, pregnancy, smoking, trauma and vascular disease. Her findings suggesting influenza (fever, chills, headache, sore throat) combined with a positive PCR for influenza B and response to anti-viral therapy initially suggested causality and the patient was suspected of having acute pancreatitis secondary to influenza B. A recent case report by Blum et al. suggested a similar possible link between acute pancreatitis and influenza A subtype H1N1 [5] but this would be the first reported case of influenza B pancreatitis. Considering this, our conservative thinking led to further investigation before describing any new associations. It is known that idiopathic causes represent 15-25% cases of pancreatitis [1, 2] and some of these cases may be secondary to infectious agents, any such association should be proven beyond doubt before being reported.
First described in 1940 [9], influenza B affects only humans and is a member of the Orthomyxoviridae family, differing from influenza A and C based on antigenic properties. Infection with influenza B is associated with known pulmonary complications. While non-pulmonary manifestations such as myositis and toxic shock syndrome as well as cardiac and central nervous system complications have been described, complications related to the gastrointestinal tract are limited to the description of Reye’s syndrome in children [10].
At our institution an assay approved by the United States Food and Drug Administration (FDA) is used for diagnostic purposes. The method employs multiplex PCR with target specific primer extension (TSPE) and tag sorting using the Luminex (Austin, TX, USA) 100 xMAPTM platform. The test is suggested to have a sensitivity of 97.8% and a specificity of 96.4% [11]. After attempting to confirm the influenza B PCR, confirmatory testing revealed contamination in the PCR extraction kit and upon retesting using a new PCR extraction kit the influenza panel was negative. In fact this contaminant revealed a system-wide error with other false positive influenza B results discovered in the recent time preceding this discovery.
Thus, caution must be exercised before new associations are described and while research must continue to describe novel infectious etiologies of acute pancreatitis, prudence should be exercised and confirmatory testing sought so that new infectious associations are confirmed based upon the guidelines described by Parenti et al. [3]. Our case highlights the inherent complication with novel tests leading to increasing incidence and prevalence of disease; while such testing generally have high sensitivity and specificity, the potential for false results still exists.
Received February 19th, 2011 - Accepted March 14th, 2011
Keywords Influenza, Human; Pancreatitis, Acute Necrotizing; Polymerase Chain Reaction
Conflict of interest statement The work herein submitted is certified by the authors in terms of originality. Furthermore all authors meet the criteria for authorship and accept responsibility for the scientific content submitted. There are no conflicts of interest or funding sources to disclose.
Correspondence
Imran
Sheikh
Department of Medicine
Case Western Reserve University School of Medicine at MetroHealth Medical
Center
Cleveland, Ohio
USA
Phone: +1-216.778.7800
Fax: +1-201.624.7474
E-mail: isheikh@metrohealth.org
References
1. Sarles H. Pancreatitis. Symposium of Marseille, 1963. Basel, Switzerland: Karger; 1965.
2. Sarles H. Revised classification of pancreatitis-Marseille 1984. Dig Dis Sci 1985; 30:573. [PMID 3996160]
3. Parenti DM, Steinberg W, Kang P. Infectious causes of acute pancreatitis. Pancreas 1996; 3:356-61. [PMID 8899796]
4. Rizzardi GP, Tambussi G, Lazzarin A. Acute pancreatitis during primary HIV-1 infection. N Engl J Med 1997; 336:1836-7. [PMID 9190500]
5. Blum A, Podvitzky O, Shalabi R, Simsolo C. Acute pancreatitis may be caused by H1N1 influenza A virus infection. Isr Med Assoc J 2010; 12:640-1. [PMID 21090525]
6. Buie VC, Owings MF, DeFrances CJ, Golosinskiy A. National Hospital Discharge Survey: 2006 Annual Summary. National Center for Health Statistics. Vital Health Stat 13 2010; 168.
7. Banks PA, Freeman ML, Practice Parameters Committee of the American College of Gastroenterology. Practice guidelines in acute pancreatitis. Am J Gastroenterol 2006; 101:2379-400. [PMID 17032204]
8. UK Working Party on Acute Pancreatitis. UK guidelines for the management of acute pancreatitis. Gut 2005; 54(Suppl. 3):iii1-9. [PMID 15831893]
9. Francis T Jr. A new type of virus from epidemic influenza. Science 1940; 92:405-8. [PMID 17794275]
10. Mandell GL, Bennett JE, Dolin R. Mandell, Douglas and Bennett's Principles and Practice of Infectious Diseases (7th edn). New York, NY, USA: Churchill Livingstone, 2010. [ISBN 978-0-443-06839-3]
11. Mahony J, Chong S, Merante F, Yaghoubian S, Sinha T, Lisle C, Janeczko R. Development of a respiratory virus panel test for detection of twenty human respiratory viruses by use of multiplex PCR and a fluid microbead-based assay. J Clin Microbiol 2007; 45:2965-70. [PMID 17596360]