CASE REPORT
JOP. J Pancreas (Online) 2011 May 6; 12(3):255-258.
Simultaneous Non-Functioning Neuroendocrine Carcinoma of the Pancreas and Extra-Hepatic Cholangiocarcinoma. A Case of Early Diagnosis and Favorable Post-Surgical Outcome
Simone Maurea1, Antonio Corvino1, Massimo Imbriaco1, Giuseppe Avitabile1, Pierpaolo Mainenti1, Luigi Camera1, Gennaro Galizia2, Marco Salvatore1
1Department of Biomorphological and Functional Sciences (DSBMF), University Federico II of Napoli (UNINA), Biostructures and Bioimages Institution (IBB), National Research Council (CNR); SDN Foundation (IRCCS). 2Division of Surgical Oncology, F Magrassi A Lanzara Department of Clinical and Experimental Medicine and Surgery, Second University of Naples School of Medicine. Naples, Italy
ABSTRACT
Context Thanks to the wide use of diagnostic imaging modalities, multiple primary malignancies are being diagnosed more frequently and different associations of malignancies have been reported in this setting. Case report In this paper, we describe the case of a patient with non-functioning well-differentiated neuroendocrine carcinoma of the head of the pancreas associated with extra-hepatic cholangiocarcinoma, in which an early diagnosis using magnetic resonance imaging allowed a good outcome. Conclusion The simultaneous association of neuroendocrine pancreatic tumors and cholangiocarcinoma has not yet been described; however, this association should be considered and, due to the high contrast of magnetic resonance imaging, this technique is recommended in such patient in order to reach an accurate diagnosis.
INTRODUCTION
To the best of our knowledge, simultaneous cholangiocarcinomas and neuroendocrine pancreatic tumors in the same patient have not yet been reported. However, the occurrence of two or more primary malignant tumors arising in the same patient is the well-accepted definition of multiple primary malignancies; the incidence of these lesions is being increasingly noted due to the wide use of diagnostic imaging modalities and different associations of tumor lesions have been reported [1, 2].
We describe the case of a patient with extra-hepatic cholangiocarcinoma associated with a non-functioning well-differentiated neuroendocrine carcinoma of the head of the pancreas with low grade malignancy, in which MR imaging detected both tumor lesions and led to the decision to perform surgery.
CASE REPORT
A 55-year-old male with a previous history of recurrent abdominal pain, jaundice and a significant increase in cholestasis laboratory indices underwent ERCP with positioning of a biliary stent in the middle third of the extra-hepatic common bile duct since a significant biliary stenosis had been found. Four months later, the patient was admitted to our institution without evidence of significant clinical symptoms to account for the nature of the biliary stenosis. Since the patient was stented, an initial evaluation revealed no obstructive jaundice; the conjunctivae were anicteric in the absence of hepatomegaly; his abdomen was soft, non-tender and not distended with normal bowel sounds; the gallbladder was not palpable and Murphy’s sign was negative. The remaining physical examination was unremarkable. He had no significant comorbidities; conventional laboratory evaluation as well as tumor markers (CA 19-9, CA 125, CEA, and alpha-fetoprotein) were normal. The patient initially underwent abdominal ultrasound which demonstrated slightly intra-hepatic bile duct dilatation especially in the left liver; the common bile duct was dilated (10.4 mm) and the presence of the previously positioned stent was visible; the liver echo-pattern appeared normal.
MR imaging was successively performed to evaluate and characterize the nature of the biliary stenosis by acquiring axial and coronal T1- and T2-weighted with/without fat saturation images integrated with MRCP T2-weighted hydro-cholangiographic sequences. In particular, the patient received 900 mL of superparamagnetic oral contrast material (Lumirem®, Guerbet, Paris, France) 20 min before the study. Post-contrast acquisition was performed after the intravenous administration of gadolinium diethylenetriamine pentaacetic acid (DTPA) in a volume of 20 mL with 2 mL/s acquiring T1 fast-field echo short-time inversion recovery (FFE-STIR) images. In particular, cross-sectional T1- and T2-weighted and MR cholangiography sequences showed dilatation of the biliary tree including the intrahepatic ducts, primarily of the left hepatic lobe and the common hepatic duct. Furthermore, MR images showed a lengthy stricture with luminal flow-signal preserved, irregular margins as well as abrupt and asymmetric narrowing in the middle third and intra-pancreatic segment of the common bile duct (Figure 1). A solid lesion along the common bile duct, at same level of the stricture, appearing as circumferential wall-thickening with a firm component projecting into the duct lumen, was also detected (Figure 2); after the administration of contrast medium, the lesion did not show significant enhancement in the arterial phase; however, late-phase images showed non-homogeneous enhancement (Figure 3). There was no evidence of positive lymph nodes or metastatic disease; the characteristics of the MR images were suggestive of a malignant primary stenosis probably by extra-hepatic cholangiocarcinoma. Furthermore, MR views demonstrated mild enlargement of the pancreas associated with a non-homogeneous signal intensity of the pancreatic tissue due to the presence of a hypointense nodule (Figure 3). A second ERCP examination was subsequently performed, which revealed a stricture immediately above and at the level of the intra-pancreatic common bile duct and the biliary stent was removed; brush cytology did not reveal atypical cells and the final report was not indicative of malignancy.


|
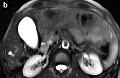
Figure 1. Conventional turbo spin eco T2-weighted coronal (a.) and cholangiopancreatography (b.) magnetic resonance sequences. MR views show a lengthy stricture with abrupt and asymmetric narrowing in the middle and lower third of the common bile duct; the proximal biliary tree is dilated. |


|
Figure 2. Cross-sectional T2-weighted fat-suppressed images. Axial T2-weighted turbo spin eco short-time inversion recovery (STIR) sequences show a circumferential wall-thickening of the common bile duct with a firm component projecting into the lumen. |

|
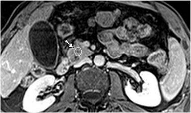
Figure 3. T1-weighted fast-field echo short-time inversion recovery (FFE STIR) post-contrast image shows a solid lesion with inhomogeneous late-phase enhancement (at the level of the intra-pancreatic biliary tract); moreover, MRI demonstrates mild enlargement diffusely involving the head of the pancreas associated with inhomogeneous signal intensity of the pancreatic tissue due to the presence of a hypointense nodule (arrow). |
Although no definite demonstration of malignancy was obtained, on the basis of MR findings which were highly suggestive of a malignant stenosis, the patient underwent surgical treatment: a Whipple’s pancreaticoduodenectomy with end-to-side gastrojejunostomy, T-L hepaticojejunostomy and T-L pancreaticojejunostomy were carried out. The resected specimens were submitted to the Department of Surgical Pathology for histological evaluation; they included the distal stomach, the duodenum, part of the proximal jejunum, part of the pancreas (head, neck and uncinate process) and the distal biliary tree (distal common hepatic duct, gallbladder and cystic duct). Histological examination revealed well-differentiated distal common bile duct adenocarcinoma, which was confined to the muscular wall without infiltrating the pancreatic head and other surrounding tissues; the margins were tumor free and there was no vascular invasion; all loco-regional lymph nodes were negative for malignancy. According to the TNM classification system, the tumor was staged as pT1 N0 M0, stage 1A. Macroscopically, a solid, yellow ochre, well-defined lesion measuring 0.4 cm was found within the pancreatic head; the surgical margins were clear. Microscopic examination of the regional lymph nodes near the mass revealed that they were all hyperplastic. Immunocytochemistry showed that the tumor cells were positive for chromogranin A, synaptophysin and neuron-specific enolase; moreover, the tumor tissue showed a negative reaction to vimentin. The final pathology report classified the tumor as a non-functioning well-differentiated neuroendocrine carcinoma of the pancreas. After the surgical procedure, the patient was managed according to standard postoperative procedure; the short-term postoperative course was complicated by gastrointestinal bleeding requiring arterial embolization and intra-abdominal drainage. The patient was discharged one month after initial admission; the patient has remained disease free for more than one year after the initial diagnosis.
DISCUSSION
In this paper, we report the particular case of a patient with multiple tumors in which a new association of malignancies was found; in fact, a small non-functioning neuroendocrine pancreatic tumor was found simultaneously with an extra-hepatic cholangiocarcinoma. In our patient, MR imaging was able to detect both tumor lesions allowing appropriate and timely surgical treatment, although a proven cytological diagnosis was not available; in this regard, the MR imaging characteristics were highly suggestive of a malignant stenosis caused by an extra-hepatic cholangiocarcinoma as well as of small pancreatic nodules and, thus, significant enough to suggest surgical treatment.
The first report regarding multiple primary malignancies was in 1889 by Billroth who described a patient with a spinocellular epithelioma of the right ear and a gastric carcinoma [3]. Since that time, multiple primary malignancies have been the object of medical research [2]; in particular, the technical innovation of diagnostic imaging has been employed in this setting and, thus, several distinct associations have been described [4].
The occurrence of a second tumor in patients with pancreatic cancer is described [5, 6, 7, 8]; in particular, in these studies, patients with intraductal papillary mucinous carcinoma had second malignancies in other organs in percentages ranging from 7 to 30%; however, only a single case of simultaneous cholangiocarcinoma was reported [8]. Conversely, the most frequently associated tumors were gastric and colorectal cancers, followed by pulmonary neoplasms. The tumor association that we observed in our report is different since the pancreatic lesion consisted of a different histological type represented by neuroendocrine tissue.
In the case presented, MR imaging detected the two tumor lesions which were located in the same anatomical region, the superior abdomen; in particular, the small neuroendocrine pancreatic tumor was barely visible only on the post-contrast T1-weighted images as a nodular area of hypo-intensity. This finding is not surprising since the majority of such tumors after contrast administration show hyperintensity in the arterial phase because they are hypervascularized [9, 10, 11] but, in our patient, the post-contrast MR images were acquired only in the late phase and thus the lesion appeared hypointense. On the other hand, MR images clearly demonstrated a malignant stenosis of the main biliary extra-hepatic duct with significantly reduced biliary flow on T2-hydrographic sequences and abnormal concentric solid tissue at the same level. Although brush cytology samples from ERCP were not diagnostic for biliary malignancy, the patient underwent a Whipple’s pancreaticoduodenectomy since the MR features were highly suspicious of a malignant biliary stenosis. Histological examination of the surgical specimens confirmed the MR suspicion of malignant lesions represented by a neuroendocrine pancreatic tumor and an extra-hepatic cholangiocarcinoma.
Regarding the ERCP management of our patient, some observations need to be made. First, why was the patient stented during his initial evaluation without a precise diagnosis? The clinical explanation for this procedure was the need to resolve the significant biliary stenosis; this approach is frequently performed in daily practice, but it is important to point out that biliary stenting without an exact diagnosis should be avoided. Furthermore, in our patient, a delay of four months between the first stenting and definitive treatment occurred. This is a certainly long interval for malignant disease and, hence, such a time gap should be absolutely avoided in favor of timely appropriate treatment. Finally, why was ERCP repeated during the second clinical evaluation after MR imaging? In this regard, the invasive endoscopic procedure was performed since MR findings suggested a malignant biliary stenosis and a cytological confirmation was thus required.
In conclusion, a neuroendocrine pancreatic tumor and an extra-hepatic cholangiocarcinoma may occur simultaneously; this association should thus be considered in multiple primary malignancies. In this setting, MR imaging is recommended since its high contrast capability allows the early detection of tumor lesions enabling appropriate and timely treatment to be carried out.
Received February 7th, 2011 - Accepted March 25th, 2011
Key words Diagnostic Imaging; Magnetic Resonance Imaging; Neoplasms, Multiple Primary
Conflicts of interest The authors have no potential conflicts of interest
Correspondence
Simone
Maurea
Dipartimento di Scienze Biomorfologiche e Funzionali
Università degli Studi di Napoli Federico II
via S. Pansini
80131 Naples
Italy
Phone: +39-81.746.3560/2039
Fax: +39-81.545.7081
E-mail: simone.maurea@unina.it
References
1. De Angelis R, Grande E, Inghelmann R, Francisci S, Micheli A, Baili P, et al. Cancer prevalence estimates in Italy from 1970 to 2010. Tumori 2007; 93:392-7. [PMID 17899871]
2. Scotti A, Borrelli A, Tedesco G, Di Capua F, Cremone C, Iovino MG, Renda A. Multiple primary malignancies: ''Non-codified'' associations. In Renda A, ed. Updates in Surgery. Multiple Primary Malignancies. Chapter 13. Springer-Verlag, 2009:195-210. [ISBN 978-8847010949]
3. Billroth T. Die allgemeine chirurgische Pathologie und Therapie in funfzig Vorlesungen. Ein Handbuch fur Studierende und Arzte. Berlin: Verlag von Georg Reimer 1863. Auflage, p. 908.
4. Tammaro V, Spiezia S, D'Angelo S, Maurea S, Ciolli G, Salvatore M. Diagnostic imaging techniques for synchronous multiple tumors. In Renda A, ed. Updates in Surgery. Multiple Primary Malignancies. Chapter 16. Springer-Verlag, 2009:231-244. [ISBN 978-8847010949]
5. Sugiyama M, Atomi Y. Extrapancreatic neoplasms occur with unusual frequency in patients with intraductal papillary mucinous tumors of the pancreas. Am J Gastroenterol 1999; 94:470-3. [PMID 10022648]
6. Yamaguchi K, Yokohata K, Noshiro H, Chijiiwa K, Tanaka M. Mucinous cystic neoplasm of the pancreas intraductal papillary-mucinous tumor of the pancreas. Eur J Surg 2000; 166:141-8. [PMID 10724492]
7. Eguchi H, Ishikawa O, Ohigashi H, Tomimaru Y, Sasaki Y, Yamada T, et al. Patients with pancreatic intraductal papillary mucinous neoplasm are at high risk of colorectal cancer development. Surgery 2006; 139:749-54. [PMID 16782429]
8. Kamisawa T, Tu Y, Egawa N, Nakajima H, Tsuruta K, Okamoto A. Malignancies associated with intraductal papillary mucinous neoplasm of the pancreas. World J Gastroenterol 2005; 11:5688-90. [PMID 16237766]
9. Herwick S, Miller FH, Keppke AL. MRI of islet cell tumors of the pancreas. AJR Am J Roentgenol 2006; 187:W472-80. [PMID 17056877]
10. Graziani R, Brandalise A, Bellotti M, Manfredi R, Contro A, Falconi M, et al. Imaging of neuroendocrine gastroenteropancreatic tumours. Radiol Med 2010; 115:1047-64. [PMID 20221711]
11. Kalb B, Sarmiento JM, Kooby DA, Adsay NV, Martin DR. MR imaging of cystic lesions of the pancreas. Radiographics 2009; 29:1749-65. [PMID 19959519]